Материал: Патан Серов учебник

Внимание! Если размещение файла нарушает Ваши авторские права, то обязательно сообщите нам

незрелых шизонтов, так и продуктов распада и пигмента, появляющихся после деления плазмодиев (ВойноЯсенецкий М.В., 1950). С паразитарными стазами связаны опасные для жизни изменения головного мозга, которые определяют развитие малярийной комы. Кора и другие участки серого вещества головного мозга имеют в таких случаях темную коричневосерую (дымчатую) окраску. В белом веществе встречаются многочисленные точечные кровоизлияния, которые окружают сосуды, заполненные агглютинированными эритроцитами с паразитами в цитоплазме или гиалиновыми тромбами. Вокруг таких сосудов, помимо кровоизлияний, появляются очаги некроза мозговой ткани. На границе некроза и кровоизлияния через 2 сут от начала

комы находят реактивное разрастание клеток глии, что ведет к формированию своеобразных узелков - так называемых гранулем Дюрка.

Осложнением острой малярии может быть гломерулонефрит, хронической - истощение,

амилоидоз.

Смерть наблюдается обычно при тропической малярии, осложненной комой.

Амебиаз

Амебиаз, или амебная дизентерия, - хроническое протозойное заболевание, в основе которого лежит хронический рецидивирующий язвенный колит.

Этиология и патогенез. Амебиаз вызывается простейшим из класса корненожек - Entamoeba histolytica.Возбудитель открыт Ф.А. Лешом (1875) в испражнениях больных амебиазом. Заболевание встречается главным образом в странах с жарким климатом, а в СССР - республиках Средней Азии. Заражение происходит алиментарным путем инцистированными амебами, защищенными от действия пищеварительных соков особой оболочкой, которая расплавляется в слепой кишке, где и наблюдаются обычно наиболее выраженные морфологические изменения.

Гистологические свойства амебы объясняют глубокое ее проникновение в стенку кишки и образование незаживающих язв. У некоторых лиц отмечается носительство амеб в кишечнике.

Патологическая анатомия. Попадая в стенку толстой кишки, амеба и продукты ее жизнедеятельности вызывают отек и гистолиз, некроз слизистой оболочки, образование язв. Некротически-язвенные изменения наиболее часто и резко выражены в слепой кишке (хронический язвенный колит). Однако нередки случаи, когда язвы образуются на всем протяжении толстой кишки и даже в подвздошной кишке. При микроскопическом

исследовании видно, что участки некроза слизистой оболочки несколько выбухают над ее поверхностью, они окрашены в грязно-серый или зеленоватый цвет. Зона некроза проникает глубоко в подслизистый и мышечный слои. При образовании язвы края ее становятся подрытыми и нависают над дном. По мере прогрессирования некроза размеры язвы увеличиваются. Амеб находят на границе между омертвевшими и сохранившимися тканями.

696

Характерно, что клеточная реакция в стенке кишки выражена слабо. Однако по мере присоединения вторичной инфекции возникает инфильтрат из нейтрофилов, появляется гной. Иногда развиваются флегмонозная и гангренозная формы колита. Глубокие язвы заживают рубцом. Характерны рецидивы заболевания.

Регионарные лимфатические узлы несколько увеличены, но амебы в них не обнаруживаются; амебы обычно находят в кровеносных сосудах стенки кишки.

Осложнения амебиаза делят на кишечные и внекишечные. Из кишечных наиболее опасны прободение язвы, кровотечение, образование стенозирующих рубцов после заживления язв, развитие воспалительных

инфильтратов вокруг пораженной кишки, которые нередко симулируют опухоль.

Из внекишечных осложнений наиболее опасным является развитие абсцесса печени.

Балантидиаз

Балантидиаз - инфекционное протозойное заболевание, характеризующееся развитием хронического язвенного колита. Редко отмечается изолированное поражение червеобразного отростка.

Этиология и патогенез. Возбудителем балантидиаза является инфузория Balantidium coli, описанная Р. Мальмстеном в 1857 г. Основной источник инфекции - свиньи, а также больной балантидиазом человек. Передается инфекция через загрязненную воду и контактным путем. Наблюдается заболевание чаще среди людей, занимающихся свиноводством. Проникнув в организм через рот, балантидии накапливаются преимущественно в слепой кишке, реже - в нижнем отделе тонкой кишки. Размножаясь в просвете кишки, они могут не вызывать симптомов болезни, что рассматривается как носительство. При внедрении балантидии в слизистую оболочку кишки, чему способствует выделяемая ими гиалуронидаза, образуются характерные язвы.

Патологическая анатомия. Изменения при балантидиазе сходны с таковыми при амебиазе, однако при балантидиазе, который встречается значительно реже амебиаза, поражение кишки не столь резко выражено. Вначале наблюдается поражение поверхностных слоев слизистой оболочки с образованием эрозий. В дальнейшем, по мере проникновения балантидии в подслизистый слой, развиваются язвы, которые имеют разную величину и форму, края их подрыты, на дне видны серо-грязные остатки некротических масс. Балантидии обнаруживаются обычно по соседству с очагами некроза, а также в криптах и толще слизистой оболочки вдали от язв. Они могут проникать в мышечный слой, в просвет лимфатических и кровеносных сосудов. Местные клеточные реакции при балантидиазе выражены слабо, среди клеток инфильтрата преобладают эозинофилы.

Осложнения. Важнейшее из осложнений балантидиаза - прободение язвы с развитием перитонита. Присоединение к язвенному процессу вторичной инфекции может привести к септикопиемии.

697

Эхинококкоз

Эхинококкоз (от греч. echinos - еж, kokkos - зерно) - гельминтоз из группы цестодозов, характеризующийся образованием эхинококковых кист в различных органах.

Этиология, эпидемиология и патогенез. Наибольшее значение в патологии человека и животных имеютEchinococcus granulosus, вызывающий гидатидозную форму эхинококкоза,

и Echinococcus multilocularis,вызывающий альвеолярную форму эхинококкоза,

или альвеококкоз. Гидатидозный эхинококкоз встречается чаще, чем альвеококкоз.

В развитии гидатидозного эхинококкоза у человека большая роль принадлежит облигатному хозяину половозрелого ленточного червя: в природе - плотоядным животным (волки, шакалы и др.), в культурных очагах - собаке. У них паразит обитает в кишечнике. Личинка альвеококка, отличающаяся от личинки гидатидозного эхинококка, обнаруживается у грызунов и человека. Охота и скотоводство на пастбищах, загрязненных фекалиями зараженных хищников, приводят к заражению скота (коровы, олени и др.), поедающего загрязненную траву, и собак, которым скармливают внутренности убитых диких животных. Это обусловливает появление смешанных очагов инвазии. Заражение человека происходит в очагах инвазии при тесном контакте с зараженными собаками, при разделке туш пораженных животных, пользовании загрязненными природными водоисточниками. Следует подчеркнуть, что альвеококкоз характеризуется определенной географической патологией. В нашей стране он чаще наблюдается в Якутии, Казахстане, очень редко - в Европейской части СССР. Очаги альвеококкоза встречаются также в некоторых странах Европы.

Патологическая анатомия. При гидатидозном эхинококкозе в органах появляются пузыри (или один пузырь) той или иной величины (от ореха до головы взрослого человека). Они имеют беловатую слоистую хитиновую оболочку и заполнены прозрачной бесцветной жидкостью. В жидкости белок отсутствует, но содержится янтарная кислота. Из внутреннего герминативного слоя оболочки пузыря возникают дочерние пузыри со сколексами. Эти дочерние пузыри заполняют камеру материнского пузыря (однокамерный эхинококк). Ткань органа, в котором развивается однокамерный эхинококк, подвергается атрофии. На границе с эхинококком разрастается соединительная ткань, образуя вокруг пузыря капсулу. В капсуле обнаруживаются сосуды с утолщенными стенками и очаги клеточной инфильтрации с примесью эозинофилов. В участках капсулы, прилегающей непосредственно к хитиновой оболочке, появляются гигантские клетки инородных тел, фагоцитирующие элементы этой оболочки. Чаще эхинококковый пузырь обнаруживается в печени, легких, почках, реже - в других органах.

При альвеококкозе онкосферы дают начало развитию сразу нескольких пузырей, причем вокруг них появляются очаги некроза. В пузырях альвеококкоза образуются выросты цитоплазмы, и рост пузырей происходит путем почкования наружу, а не внутрь материнского пузыря, как это имеет место при однокамерном эхинококке. В результате этого при альвеококкозе образуются все новые и новые пузыри, проникающие в ткань, что ведет к ее разрушению. Поэтому альвеококк называют также многокамерным эхинококком. Следовательно, рост альвеококка имеет инфильтрирующий характер и подобен

698

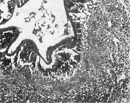
росту злокачественного новообразования. Выделяющиеся из пузырьков токсические вещества вызывают в окружающих тканях некроз и продуктивную реакцию. В грануляционной ткани много эозинофилов и гигантских клеток инородных тел, фагоцитирующих оболочки погибших пузырьков (рис. 289).

Рис.

289. Альвеококкоз. Среди некротических масс - пузыри эхинококка, окруженные зоной продуктивного воспаления

Первично альвеококк чаще встречается в печени: реже - в других органах. В печени он занимает целую долю, очень плотен (плотность доски), на разрезе имеет пористый вид с прослойками плотной соединительной ткани. В центре узла иногда образуется полость распада. Альвеококк склонен к гематогенному илимфогенному метастазированию. Гематогенные метастазы альвеококка при первичной локализации его в

печени появляются в легких, затем в органах большого круга кровообращения - почках, головном мозге, сердце и др. В связи с этим клинически альвеококк ведет себя как злокачественная опухоль.

Осложнения. При эхинококкозе осложнения чаще связаны с ростом пузыря в печени или метастазами альвеококка. Возможно развитие амилоидоза.

Цистицеркоз

Цистицеркоз - хронический гельминтоз из группы цестодозов, который вызывается цистицерками вооруженного (свиного) цепня (солитера).

699

Этиология, эпидемиология, патогенез. Цистицерк является личиночной стадией (финной) свиного цепня. Заболевание развивается у людей, а также у некоторых животных (свиньи, собаки, кошки), являющихся промежуточными хозяевами паразита и его финнозной стадии. Животные заражаются, поедая каловые массы человека, содержащие яйца гельминта. Человек заражается при употреблении в пищу мяса свиней, в котором паразитирует цистицерк. Развитие финны во взрослого паразита происходит в кишечнике человека. При паразитировании свиного солитера в кишечнике у человека может развиться цистицеркоз. Это происходит при

попадании яиц солитера в желудок, где их оболочка растворяется, зародыши проникают через стенку желудка в просвет сосудов, переносятся в различные ткани и органы, где и превращаются в цистицерки.

Патологическая анатомия. Цистицерки обнаруживаются в самых разнообразных органах, но чаще всего в головном мозге, глазе, мышцах, подкожной клетчатке. В мягких мозговых оболочках основания головного мозга наблюдается ветвистый (рацемозный)

цистицерк. Наиболее опасен цистицерк головного мозга и глаза.

При микроскопическом исследовании цистицерк имеет вид пузырька величиной с горошину. От его стенки внутрь отходит головка с шейкой. Вокруг цистицерка развивается воспалительная реакция. Инфильтрат состоит из лимфоцитов, плазматических клеток, фибробластов, эозинофилов. Вокруг инфильтрата постепенно появляется молодая соединительная ткань, которая созревает и образует вокруг цистицерка капсулу. В головном мозге в формировании капсулы вокруг цистицерка принимают участие клетки микроглии. С течением времени цистицерк погибает и обызвествляется.

Описторхоз

Описторхоз - заболевание человека и млекопитающих из группы трематодозов. Первое описание морфологии описторхоза принадлежит русскому патологоанатому К.Н. Виноградову

(1891).

Этиология, эпидемиология, патогенез. Для человека наибольшее значение имеет

инвазия Opistorchia felineus (двуустка кошачья). Человек и плотоядные животные, зараженные описторхозом, являются источником инвазии для моллюсков битиний, которые заглатывают яйца паразита, попавшие в воду с фекалиями больных людей и животных. В организме моллюсков размножаются личиночные стадии гельминта, что заканчивается выходом в воду церкариев. Они проникают через кожу рыб в их подкожную клетчатку и мышцы, превращаясь здесь в метацеркариев. Заражение описторхозом человека и млекопитающих происходит при употреблении в пищу сырой рыбы с личинками гельминта (метацеркариями). Оптимальной средой обитания для двуусток становятся желчные пути.

Патологическая анатомия. Основные изменения развиваются в желчных путях и паренхиме печени. Во внутрипеченочных желчных протоках, где находится большое число паразитов,

700