Материал: Патан Серов учебник

Внимание! Если размещение файла нарушает Ваши авторские права, то обязательно сообщите нам

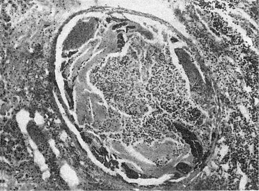
Рис.

282. Острый септический полипозно-язвенный эндокардит

связан при сепсисе не только с васкулитами, но и с интоксикацией, повышенной сосудистотканевой проницаемостью, анемией и т.д.

Гиперпластические процессы при сепсисе наблюдаются главным образом в кроветворной и лимфатической (иммунокомпетентной) тканях. Происходит гиперплазия костного мозга плоских костей. Желтый костный мозг трубчатых костей становится красным, в крови увеличивается количество лейкоцитов, иногда появляются молодые формы лейкоцитов, развивается так называемая лейкемоидная реакция. Гиперплазия лимфатической ткани приводит к увеличению размеров лимфатических узлов, селезенки, которая становится не только резко увеличенной, но и дряблой, на разрезе имеет красный цвет и дает обильный соскоб пульпы (септическая селезенка). Гиперпластические процессы в гистиоцитарномакрофагальной системе объясняют увеличение печени. В связи с гемолитическим действием некоторых бактериальных токсинов при сепсисе может возникнутьгемолитическая желтуха.

Классификация. При классификации сепсиса необходимо учитывать ряд признаков: 1) этиологический; 2) характер входных ворот инфекции (локализация септического очага); 3) клинико-морфологические.

По этиологическому признаку выделяют следующие виды сепсиса: стрептококковый, стафилококковый, пневмококковый, гонококковый, синегнойный, колибациллярный, брюшнотифозный, сибиреязвенный, туберкулезный, сифилитический, грибковый и др. Особенно большое значение в развитии сепсиса имеют стафилококк и синегнойная палочка, а

681

также ассоциация этих микробов. Это связано с широким и недостаточно рациональным применением в клинике антибиотиков, причем в больших дозах, а также цитостатических препаратов.

В зависимости от характера входных ворот инфекции (локализации септического очага) различают терапевтический (параинфекционный), тонзиллогенный, хирургический, маточный, отогенный, одонтогенный, пупочный, криптогенный сепсис. Криптогенным (от греч. kryptos - тай-

ный, скрытый) называют сепсис при отсутствии септического очага. Следует иметь в виду, что септический очаг не всегда локализуется в воротах инфекции и может находиться в отдалении от них (например, случаи сепсиса, развивающегося из абсцессов печени после бывшего ранее гнойного аппендицита или язвенного колита).

По клинико-морфологическим признакам выделяют 4 клинико-анатомические формы сепсиса: септицемию, септикопиемию, септический (бактериальный) эндокардит и хрониосепсис.

Септицемия

Септицемия - форма сепсиса, для которой характерны выраженный токсикоз (высокая температура, затемненное сознание), повышенная реактивность организма (гиперергия), отсутствие гнойных метастазов и быстрое течение.

Развитие септицемии часто связано со стрептококком. При вскрытии умерших от септицемии септический очаг, как правило, отсутствует или выражен слабо (входные ворота инфекции не обнаруживаются). Кожа и склеры нередко желтушны (гемолитическая желтуха), отчетливо выражены признаки геморрагического синдрома в виде петехиальной сыпи на коже, кровоизлияний в серозных и слизистых оболочках, во внутренних органах.

Характерна гиперплазия лимфоидной и кроветворной тканей. В связи с этим резко увеличиваются селезенка, которая дает обильный соскоб пульпы (септическая селезенка), и лимфатические узлы. В селезенке и лимфатических узлах находят не только пролиферацию лимфоидных и ретикулярных клеток, но и скопления зрелых и незрелых форм клеток гемопоэза. В костном мозге плоских костей и диафизах трубчатых костей отмечается усиленное кроветворение с образованием большого числа юных форм. Появляются также очаги внекостно-мозгового кроветворения. В паренхиматозных органах - сердце, печени, почках - развиваетсямежуточное воспаление (см. рис. 281). Строма этих органов отечна и инфильтрирована нейтрофилами, лимфоцитами, гистиоцитами. Для септицемии характерны повышение сосудисто-тканевой проницаемости, развитие фибриноидных изменений стенок сосудов, аллергических васкулитов, с чем в значительной мере связаны проявления геморрагического синдрома.

Септикопиемия

682

Септикопиемия - форма сепсиса, при котором ведущими являются гнойные процессы в воротах инфекции и бактериальная эмболия («метастазирование гноя») с образованием гнойников во многих органах и тканях; в отличие от септицемии признаки гиперергии проявляются весьма умеренно, поэтому заболевание не имеет бурного течения. Главная роль в развитии септикопиемии принадлежит стафилококку и синегнойной палочке.

При вскрытии умерших от септикопиемии, как правило, находят септический очаг, обычно расположенный в воротах инфекции, с гнойным

лимфангитом и лимфаденитом, причем ткань лимфатического узла нередко подвергается гнойному расплавлению. В области септического очага обнаруживается также гнойный тромбофлебит, который является источником тромбобактериальной эмболии. В связи с тем что источники последней появляются чаще в венах большого круга кровообращения, первые метастатические гнойники появляются в легких (рис. 283). Затем

при вовлечении в процесс легочных вен (тромбофлебит легочных вен) гнойники появляются в органах системы большого круга кровообращения - в печени (абсцессы печени), почках (гнойничковый нефрит), подкожной клетчатке, костном мозге (гнойный остеомиелит), в синовиальных оболочках (гнойный артрит), клапанах сердца (острый септический полипозноязвенный эндокардит, см. рис. 282). Гнойники могут распространяться на соседние ткани. Например, при абсцессе легкого развиваются гнойный плеврит и перикардит, при метастатическом абсцессе печени - гнойный перитонит; гнойники почки осложняются пери- и паранефритом, гнойники кожи - флегмоной и т.д. Гиперпластические процессы в лимфатической (иммунокомпетентной) и кроветворной тканях выражены слабее, чем при септицемии. Поэтому лимфатические узлы резко не увеличиваются, однако селезенка может быть типично септической, причем в пульпе ее обнаруживается большое число лейкоцитов (септический лейкоцитоз селезенки). В костном мозге омоложение его клеточного состава встречается редко. Межуточные воспалительные реакции в паренхиматозных органах весьма умеренны или отсутствуют.

683

Рис.

(препарат

А.В. Цинзерлинга)

Септический (бактериальный) эндокардит

Септический (бактериальный) эндокардит - особая форма сепсиса, для которой характерно септическое поражение клапанов сердца.

При септическом эндокардите выражена гиперергия, в связи с чем его можно рассматривать какбактериальную септицемию. Поскольку септический очаг находится на клапанах сердца, гиперергическому повреждению подвергается прежде всего сердечно-сосудистая система, что определяет своеобразие клинических и патологоанатомических проявлений этого заболевания.

Этиология и патогенез. В настоящее время наиболее частыми возбудителями бактериального эндокардита стали белый и золотистый стафилококк, зеленящий стрептококк (преимущественно L-формы и мутанты), энтерококк. Возросло значение грамотрицательных бактерий - кишечной и синегнойной палочек, клебсиеллы, протея, а также патогенных грибов. Взгляды на патогенез бактериального эндокардита за последние 40 лет подверглись значительной эволюции. Еще в 1942 г. А.И. Абрикосов считал эндокардит (sepsis lenta)гиперергической формой сепсиса. Вскоре на смену этому взгляду пришел диаметрально противоположный: большинство исследователей стали рассматривать септический эндокардит как проявление гиперергии, каксептицемию с септическим очагом на клапанах сердца. В настоящее время характер гиперергии расшифрован. Показано, что в ее основе лежат реакции гиперчувствительности, обусловленные воздействием циркулирующих в крови токсических иммунных комплексов, которые содержат антиген возбудителя. С

циркулирующими иммунными комплексами связывают многие проявления септического

684

эндокардита: генерализованные васкулиты, резкое повышение сосудистой проницаемости, тромбоэмболический синдром, клеточные реакции стромы и др.

Классификация. Септический (бактериальный) эндокардит разделяют по характеру течения и наличию или отсутствию фонового заболевания.

Исходя из характера течения заболевания выделяют острый, подострый и затяжной (хронический)септический эндокардит. Продолжительность острого септического эндокардита составляет около 2 нед, подострого - до 3 мес, затяжного - многие месяцы и годы.

Внастоящее время преобладают подострые и затяжные формы, острые почти исчезли.

Взависимости от наличия или отсутствия фонового заболевания септический эндокардит (особенно подострыи и затяжной) делят на два вида: 1) развивающийся на измененных (порочных) клапанах - вторичный септический эндокардит; 2) возникающий на интактных клапанах - первичный септический эндокардит, описанный в 1949 г. Б.А. Черногубовым (болезнь Черногубова). Вторичный септический эндокардит, по данным вскрытий, наблюдается в 70-80% случаев и преимущественно на фоне ревматического порока сердца; редко он развивается на фоне атеросклеротического, сифилитического или врожденного (тетрада Фалло, сохра-

нившийся артериальный проток и др.) порока. Первичный септический эндокардит отмечают в 20-30% случаев, причем в последнее десятилетие развитие его резко возросло.

Патологическая анатомия. Достаточно характерна и проявляется преимущественно изменениями в сердце, сосудах, селезенке и почках, а также рядом так называемых периферических признаков. Эти изменения сочетаются с тромбоэмболиями, инфарктами и множественными геморрагиями.

Основные изменения касаются клапанов сердца. Преобладает изолированный эндокардит, который, по данным вскрытий, встречается в 6075% случаев. В 50% случаев поражаются только аортальные клапаны, в 10-15% - митральный клапан, в 25-30% - аортальный и митральный клапаны, в 5% - другие клапаны. Следовательно, септический эндокардит очень часто (в 75-80%) развивается на аортальных клапанах. Как на склерозированных, так и на несклерозированных клапанах возникает полипозно-язвенный эндокардит (рис. 284). При этом обычно на склерозированных клапанах появляются обширные тромботические наложения в виде полипов, которые легко крошатся и рано пропитываются известью, что весьма характерно для этого заболевания. После удаления

этих наложений обнаруживаются язвенные дефекты в склерозированных и деформированных створках клапанов, иногда поверхностные, иногда с нарушением целости клапана, образованием острых аневризм створок или массивным их разрушением. Тромботические наложения располагаются не только на створках, но и на пристеночном эндокарде, а при поражении аортальных клапанов распространяются на интиму аорты.

685