Материал: Патан Серов учебник

Внимание! Если размещение файла нарушает Ваши авторские права, то обязательно сообщите нам

происходит рубцевание, что приводит к сужению устьев венечных артерий и к коронарной недостаточности.

Нейросифилис представляет собой сифилитический процесс в нервной системе. Он может наблюдаться в любом периоде заболевания, но чаще в третичном. Различают гуммозную и простую формы сифилиса нервной системы, сосудистые поражения, прогрессивный паралич и спинную сухотку. Гуммы в головном мозге имеют характерное для них строение, размеры их различны - от просовидного узелка до голубиного яйца. Иногда находят диффузные гуммозные разрастания с поражением ткани мозга и его оболочек. Простая формасифилитического поражения выражается воспалительными лимфоцитарными инфильтратами как в ткани мозга, так и в его оболочках. Сосудистые поражения при нейросифилисе могут проявляться сифилитическимоблитерирующим эндартериитом и эндофлебитом. Вследствие циркуляторных нарушений в ткани головного и спинного мозга образуются очаги размягчения.

Прогрессивный паралич представляет собой позднее проявление сифилиса и характеризуется уменьшением массы головного мозга, истончением извилин, атрофией подкорковых узлов и мозжечка. Эпендима желудочков приобретает зернистый вид. При микроскопическом исследовании в ткани мозга обнаруживают воспалительные и дистрофические изменения, гибель нервных клеток, участки демиелинизации, нарушение архитектоники мозговой ткани. Отмечается пролиферация глии, причем клетки микроглии представлены палочковидными формами. В мягкой оболочке головного и спинного мозга также находят воспалительные изменения. В спинном мозге поражаются задние, реже - боковые столбы.

Спинная сухотка (tabes dorsalis) - позднее проявление сифилиса, при котором поражается спинной мозг. На поперечных срезах его задние столбы выглядят истонченными и имеют серую окраску. Обычно дистрофический процесс начинается в верхнепоясничном отделе спинного мозга и касается вначале клиновидных пучков (пучки Бурдаха), а в дальнейшем распространяется на задние столбы; задние корешки спинного мозга истончаются. В задних столбах миелиновые оболочки распадаются, высвобождаются нейтральные жиры, которые поглощаются глиозными

элементами, макрофагами и транспортируются в адвентициальные сосудистые пространства.

В мягкой мозговой оболочке спинного мозга находят воспалительные изменения. В участках воспаления и в веществе спинного мозга находят бледные трепонемы.

Врожденный сифилис

Врожденный сифилис развивается при внутриутробном заражении плода через плаценту от больной сифилисом матери. Этот вид сифилиса подразделяют на 3 формы: 1) сифилис мертворожденных недоношенных плодов; 2) ранний врожденный сифилис новорожденных и грудных детей; 3) поздний врожденный сифилис детей дошкольного и школьного возраста, а также взрослых. Тканевые изменения при врожденном сифилисе разнообразны. Одни из них

676

вызываются самой трепонемой, другие являются результатом задержки или нарушения развития (дисплазии) органов под влиянием возбудителя сифилиса.

При сифилисе мертворожденных недоношенных плодов смерть плода обычно наступает между VI и VII лунным месяцем в утробе матери. Это приводит к преждевременным родам мацерированным плодом. Причиной смерти является токсическое действие трепонемы.

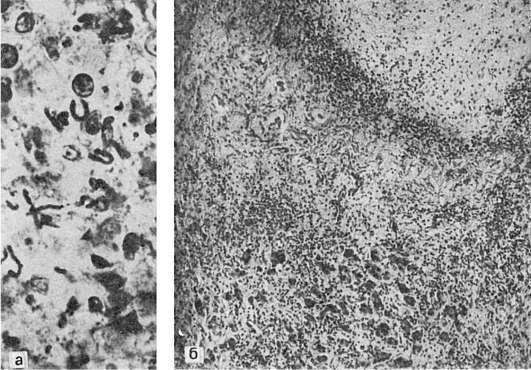
Ранний врожденный сифилис проявляется чаще всего на протяжении первых двух месяцев жизни. При нем поражаются почки, легкие, печень, кости, ЦНС. В коже появляются сифилиды папулезного и пустулезного характера. В легких развивается интерстициальная сифилитическая пневмония, ведущая к уплотнению ткани легкого с развитием в нем склеротических изменений. На разрезе легкие принимают белесоватый вид, что дало повод Р. Вирхову назвать этот процесс белой пневмонией. Поражение печени имеет характеринтерстициального гепатита (рис. 280) с гибелью гепатоцитов, межуточной круглоклеточной инфильтрацией, образованием милиарных гумм и склерозом. На разрезе она приобретает коричневатый цвет («кремневая печень»). В костях нарушается процесс предварительного обызвествления эпифизарного хряща и новообразования костной ткани; он сочетается с воспалительными изменениями в прилежащих к эпифизу отделах кости и сифилитическим эндопериваскулитом. Этот процесс развивается на границе диафиза и нижнего эпифиза бедра, в ребрах и грудине и носит название сифилитического остеохондрита. Границы кости и хряща имеют вид не ровной, а зазубренной линии. В ЦНС возникают сосудистые воспалительные изменения, поражение как вещества мозга, так и мозговых оболочек - сифилитический энцефалит и менингит.При раннем врожденном сифилисе к описанным выше изменениям органов может присоединяться высыпание мелких очажков, состоящих из подвергшейся некрозу ткани органа и распадающихся лейкоцитов; эти очажки, содержащие много трепонем, называют милиарными гуммами.

Поздний врожденный сифилис характеризуется деформацией зубов, в основе которой лежат гипоплазия эмали и образование полулунной выемки на обоих верхних центральных резцах или же на одном из них с

677

Рис.

280. Печень при врожденном сифилисе (препарат А.В. Цинзерлинга):

а - скопления трепонем (импрегнация серебром по Левадити); б - интерстициальный гепатит, склероз (портальный) печени

последующим искривлением. Зубы становятся бочкообразными: на уровне шейки зуб шире, чем на свободном крае; размеры зубов уменьшены - зубы Гетчинсона. Развиваются паренхиматозный кератит, глухота, которые в сочетании с измененными зубами составляют так называемую триаду Гетчинсона, характерную для позднего врожденного сифилиса. Изменения в органах сходны с проявлениями приобретенного сифилиса третичного периода. Отличия касаются вилочковой железы, в которой могут встречаться полости, наполненные серозной жидкостью с примесью нейтрофилов и лимфоцитов. Полости окружены валом из эпителиоидных клеток и носят название абсцессов Дюбуа.

Плацента при сифилисе роженицы изменена: ее масса увеличена (до 2250 г вместо 600 г), цвет желтовато-серый, консистенция кожистая. В ней обнаруживаются отек, клеточная инфильтрация, резкая гиперплазия ворсин, иногда в них образуются обсцессы; в стенках сосудов отмечаются воспалительные изменения.

Сепсис

Сепсис (от греч. sepsis - гниение) - общее инфекционное заболевание, возникающее в связи с существованием в организме очага инфекции и имеющее ряд отличий от других инфекционных болезней. Сепсис от-

личают этиологические, эпидемиологические, клинические, иммунологические и патологоанатомические особенности.

678

Этиологические особенности сепсиса заключаются в том, что его могут вызывать самые разнообразные возбудители: стафилококк, стрептококк, пневмококк, менингококк, синегнойная палочка, микобактерия туберкулеза, брюшнотифозная палочка, грибы и другие инфекты (кроме вирусов). Таким образом, сепсисполиэтиологичен.

В эпидемиологическом отношении сепсис не является заразной болезнью, он не воспроизводится в эксперименте.

Клиническое своеобразие сепсиса как инфекции состоит в том, что независимо от характера возбудителя проявления болезни остаются трафаретными, они обусловлены генерализацией инфекции и неадекватной реакцией организма на инфект. В течении заболевания отсутствует цикличность, столь характерная для многих инфекционных заболеваний. Сепсис не имеет определенных сроков инкубации. Ему свойственны разные сроки течения - от нескольких дней до нескольких месяцев и даже лет, в связи с чем выделяютострейший, острый, подострый и хронический сепсис.

Иммунологическая особенность сепсиса состоит в том, что иммунитет при нем не вырабатывается,организм в условиях повышенной реактивной готовности реагирует на инфекционный возбудитель неадекватно, преобладают гиперергические реакции.

Патологоанатомические особенности сепсиса сводятся к тому, чго местные и общие изменения при нем не имеют каких-либо специфических особенностей, тогда как при других инфекциях (сыпной и брюшной тифы, скарлатина, дизентерия и др.) эти изменения достаточно характерны.

Сепсис является одной из наиболее тяжелых и довольно частых инфекций. При нем отмечается высокая летальность. В последнее десятилетие заболевания сепсисом участились, что связывают с появлением устойчивых к антибиотикам штаммов бактерий и аутоинфекций в результате применения цитостатических препаратов, ведущих к недостаточности иммунной системы.

Патогенез. Для возникновения заболевания необходима бактериемия, что, однако, является только одной из предпосылок для развития сепсиса. Бактериемия наблюдается при ряде болезней (например, при брюшном тифе, туберкулезе и др.), но не ведет к развитию сепсиса. До недавнего времени считалось, что сепсис является выражением особого вида реакции организма на микроб, а не каких-то особых свойств инфекта, поэтому-то он и представляет собой не инфекцию в этиологическом смысле, а определенную форму развития в организме разных инфекций. В настоящее время эта реактологическая теория патогенеза сепсиса (Абрикосов А.И., 1944; Давыдовский И.В., 1956), согласно которой ведущая роль в его развитии принадлежит состоянию организма, а не микробу, встречает возражения. Доказано, что при сепсисе велика роль не только меняющейся реактивности макроорганизма, но и само-

го инфекта. Сепсис рассматривается как особая форма взаимодействия макро- и микроорганизма, при этом воздействию инфекта и реакции на него организма придается

679

равное значение. Гиперергическая реакция организма на инфект и отсутствие иммунитета объясняют генерализацию инфекции, ациклическое течение сепсиса, преобладание реакций общего плана и утрату способности локализовать инфекцию.

Патологическая анатомия. При сепсисе различают местные и общие изменения. Местные измененияразвиваются в очаге внедрения инфекции (входные ворота) или в отдалении от него. Образуется септический очаг, который представляет собой фокус гнойного воспаления (в некоторых случаях септический очаг отсутствует). Из септического очага инфекция быстро распространяется по лимфатическим и кровеносным сосудам.

Распространение инфекции по лимфатической системе ведет к развитию лимфангита,

лимфотромбоза и лимфаденита, а распространение ее по кровеносной системе (по венам) - к развитиюфлебита и тромбофлебита. Нередко возникает гнойный тромбофлебит, что ведет к расплавлению тромбов и тромбобактериальной эмболии.

Общие изменения при сепсисе имеют характер дистрофических, воспалительных и гиперпластических.Дистрофические изменения развиваются в паренхиматозных органах (печень, почки, миокард, мышцы, ЦНС) и проявляются различными видами дистрофии и некробиозом, которые нередко завершаются некрозом.

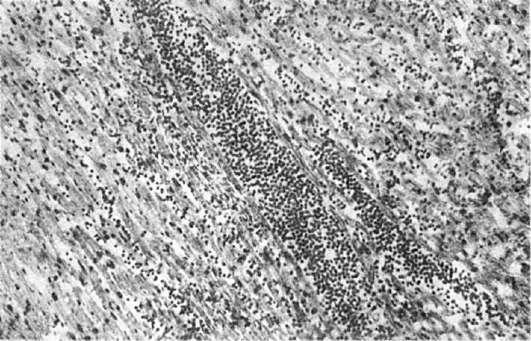
Воспалительные изменения представлены межуточными процессами (межуточный септический нефрит, гепатит, миокардит - рис. 281). На клапанах сердца может возникать острый полипозно-язвенный эндокардит (рис. 282) с расплавлением ткани и отрывом клапанов. Воспалительные изменения возникают в сосудах (васкулиты), что обусловливает появление множественных геморрагии. Однако геморрагический синдром

Рис.

281. Сепсис. Межуточный экссудативный миокардит

680