Материал: Патан Серов учебник

Внимание! Если размещение файла нарушает Ваши авторские права, то обязательно сообщите нам

Гипопаратиреоз может быть связан с аутоиммунизацией, ведущей к гибели желез. Иногда он развивается после случайного удаления желез при операциях по поводу зоба, сопровождается тетанией.

Поджелудочная железа

Нарушения инкреторной функции островкового аппарата поджелудочной железы могут проявляться повышением или понижением функции составляющих его клеток. Чаще всего наблюдается понижение функции β-клеток, что ведет к сахарному диабету; реже в связи с развитием аденомы из β-клеток (β-инсулома) появляется гипогликемический синдром. При аденоме из G-клеток островков (синонимы: G-инсулома, гастринома, или ульцерогенная аденома) развивается характерный синдром ЭллисонаЗоллингера(изъязвления слизистой оболочки желудка, гиперсекреция желудочного сока, диарея).

Сахарный диабет

Сахарный диабет (сахарная болезнь) - заболевание, обусловленное относительной или абсолютной недостаточностью инсулина.

Классификация. Выделяют следующие виды сахарного диабета: спонтанный, вторичный, диабет беременных и латентный (субклинический). Среди спонтанного диабета различают диабет I типа (инсулинзависимый) и диабет II типа (инсулиннезависимыгй). Вторичным диабетом называют диабет при заболеваниях поджелудочной железы (панкреопривный диабет), болезнях органов эндокринной системы (акромегалия, синдром Иценко-Кушинга, феохромоцитома), сложных генетических синдромах (атаксия-телеангиэктазия Луи-Бар, миотоническая дистрофия и др.), при применении ряда лекарственных средств (лекарственный диабет). Одиабете беременных говорят при начавшемся при беременности нарушении толерантности к глюкозе, а о так называемом латентном (субклиническом) диабете - при нарушении толерантности глюкозы у, казалось бы, здоровых людей. Как самостоятельное заболевание рассматривается лишь спонтанный диабет.

Среди этиологических и патогенетических факторов - факторов риска - при сахарном диабете выделяют: 1) генетически детерминиро-

ванные нарушения функции и количества β-клеток (снижение синтеза инсулина, нарушение превращения проинсулина в инсулин, синтез аномального инсулина); 2) факторы внешней среды, нарушающие целостность и функционирование β-клеток (вирусы, аутоиммунные реакции; питание, приводящее к ожирению, повышение активности адренергической нервной системы).

Факторы риска при различных типах спонтанного диабета неоднозначны (табл. 13). Для диабета I типа,встречающегося обычно у молодых (ювенильный

диабет), характерны связь с вирусной инфекцией (высокие титры антител к вирусам Коксаки, краснухи, эпидемического паротита), генетическая предрасположенность(ассоциация с определенными антигенами гистосовместимости - В8,

566

B12, DW3, DW4 и др.), аутоиммунизация(наличие антител к β-клеткам). При диабете II типа, которым чаще болеют взрослые (пожилые) люди (диабет взрослых), основное значение приобретают обменные антиинсулярные факторы и снижение рецепторной активности клеток (β-клетки островков поджелудочной железы, инсулинзависимые клетки тканей), которое наследуется по аутосомнодоминантному типу. Однако ассоциация этого типа диабета с определенными антигенами гистосовместимости отсутствует.

Таблица 13. Факторы риска при различных типах спонтанного сахарного диабета

Факторы риска

Возраст

Вирусная инфекция

Генетические факторы

Аутоиммунизация

Рецепторная активность β-клеток островков и инсулинзависимых клеток тканей Ожирение

Спонтанный сахарный диабет

 

инсулинзависимый (I типа)

инсулиннезависимый (II т

До 30 лет

После 40 лет

Высокие титры антител к ряду

Антитела к вирусам в крови

вирусов в крови

отсутствуют

Наличие связи с определенными

Связь с определенными ант

антигенами гистосовместимости

гистосовместимости отсутст

Наличие в крови антител к β-

Антитела к β-клеткам в кров

клеткам

отсутствуют

Не изменена

Снижена

Отсутствует

Выражено

Инсулярная недостаточность определяет нарушение синтеза гликогена, повышение содержания сахара в крови (гипергликемия), появление его в моче (глюкозурия). В этих условиях значительная часть сахара (глюкоза) образуется за счет превращений жиров и белков, возникают гиперлипидемия, ацетон- и кетонемия,в крови накапливаются недоокисленные «балластные» вещества, развивается ацидоз. С нарушением обмена и аутоиммунизацией при диабете связано поражение сосудов, развитие диабетической макро- имикроангиопатии, которую можно рассматривать как

интегративный компонент диабета и одно из характерных его клиникоморфологических проявлений.

Патологическая анатомия. При сахарном диабете наблюдаются прежде всего изменения островкового аппарата поджелудочной железы, изменения печени, сосудистого русла и почек. Поджелудочная железа нередко уменьшена в размерах, возникает ее липоматоз (см. рис. 36) и склероз. Большинство островков подвергается атрофии и гиалинозу, отдельные островки компенсаторно гипертрофируются. Однако в ряде случаев железа выглядит неизмененной и лишь с помощью специальных методов гистохимического исследования удается обнаружить дегрануляцию β-клеток (рис. 241). Печень обычно несколько увеличена, гликоген в гепатоцитах не выявляется, отмечается ожирение печеночных клеток. Сосудистое руслоизменяется в связи с реакцией его на скрытые и явные нарушения обмена веществ, а также на циркулирующие в крови иммунные комплексы. Развивается диабетическая макро- и микроангиопатия. Диабетическая макроангиопатия проявляется атеросклерозом артерий

567

эластического и мышечно-эластического типов. Изменения при диабетической микроангиопатии сводятся к плазморрагическому повреждению базальной мембраны микроциркуляторного русла с содружественной реакцией эндотелия и перителия, завершающемусясклерозом и гиалинозом, при этом появляется свойственный диабету липогиалин. В некоторых случаях резко выраженная пролиферация эндотелия и

перителия сочетается с лимфогистиоцитарной инфильтрацией стенки микрососуда, что позволяет говорить о васкулите.

Микроангиопатия при диабете имеет генерализованный характер. Стереотипные изменения микрососудов обнаруживаются в почках, сетчатке глаз, скелетных мышцах, коже, слизистой оболочке желудочно-кишечного

Рис.

241. Инсулярная недостаточность при сахарном диабете (эксперимент). В цитоплазме β- клеток (βΚ) много вакуолей (В), канальцы эндоплазматической сети (ЭС) и комплекса Гольджи (КГ) растянуты, митохондрии (М) гомогенизированы; инкреторная функция β-клеток понижена,

568

инкрет-гранул мало, они видны (показано стрелками) лишь вблизи плазматической мембраны (ПМ). Я - ядро. Электронограмма. х40 000 (по Бьеркману и др.)

тракта, поджелудочной железе, головном мозге, периферической нервной системе и других органах.

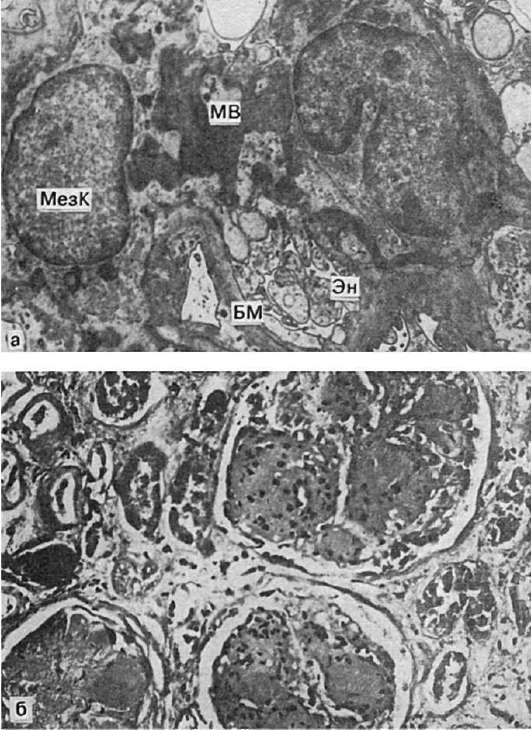
Наиболее ярко выражены и имеют некоторую специфику морфологические проявления диабетической микроангиопатии в почках. Они представлены диабетическим гломерулонефритом и гломерулосклерозом. В основе их лежит пролиферация мезангиальных клеток в ответ на засорение мезангия «балластными» продуктами обмена и иммунными комплексами, а также повышенное образование ими мембраноподобного вещества (рис. 242). В финале развиваются гиалиноз мезангия и гибель клубочков. Диабетический гломерулосклероз может быть диффузным, узловатым (см. рис. 242) или смешанным. Он имеет определенное клиническое вы-

569

Рис.

242. Диабетический гломерулосклероз (узловая форма):

а - отложения мембраноподобного вещества (MB), окружающие мезангиальные клетки (МезК); базальные мембраны (БМ) не утолщены; Эн - эндотелий капилляра. Электронограмма. х10 000; б - микроскопическая картина; очаговый склероз и гиалиноз мезангия

ражение в виде синдрома Киммельстила-Уилсона, проявляющегося высокой протеинурией, отеками, артериальной гипертонией.

570