Материал: Патан Серов учебник

Внимание! Если размещение файла нарушает Ваши авторские права, то обязательно сообщите нам

Гипофизарный нанизм (гипофизарный карликовый рост). Встречается при врожденном недоразвитии гипофиза или при разрушении его ткани в детском возрасте (воспаление, некроз). У больных отмечается общее недоразвитие при сохранившейся пропорциональности сложения, однако половые органы, как правило, недоразвиты.

Церебрально-гипофизарная кахексия (болезнь Симмондса). Проявляется в нарастающей кахексии, атрофии внутренних органов, снижении функции половых желез. Наблюдается главным образом у женщин в молодом возрасте и нередко после родов. В гипофизе, особенно в передней доле, находят очаги некроза, появляющиеся на почве эмболии сосудов, или рубцы на месте этих очагов. В ряде случаев разрушение передней доли гипофиза связано с сифилитическим, туберкулезным или опухолевым процессом. Помимо изменений, в гипофизе отмечаются дистрофические или воспалительные изменения в промежуточном мозге. Иногда изменения мозга преобладают над изменениями гипофиза. В таких случаях говорят о церебральной кахексии.

Болезнь Иценко-Кушинга. Это заболевание связано с развитием гипоталамических нарушений или с адренокортикотропной (обычно базофильной) аденомой, реже - аденокарциномой передней доли гипофиза. Благодаря гиперсекреции АКТГ происходит двусторонняя гиперплазия коры надпочечников с избыточной продукцией глюкокортикостероидов, играющих основную роль в патогенезе заболевания. Болезнь встречается чаще у женщин, проявляется прогрессирующим ожирением по верхнему типу (лицо и туловище), артериальной гипертензией, стероидным сахарным диабетом и вторичной дисфункцией яичников. Отмечают также остеопороз со спонтанными переломами костей, гипертрихоз и гирсутизм, багрово-синюшные полосы растяжения (стрии) на коже бедер и живота. Часто находят нефролитиаз и хронический пиелонефрит.

Адипозогенитальная дистрофия (от лат. adiposus - жировой и genitalis - половой),

или болезнь Бабинского-Фрелиха. В основе болезни лежат патологические изменения в гипофизе и гипоталамусе, развивающиеся в результате опухоли или нейроинфекции. Характеризуется прогрессирующим ожирением, недоразвитием половых органов и снижением функции

половых желез. Адипозогенитальная дистрофия может сочетаться с гипотиреозом, недостаточностью функции коры надпочечников и несахарным диабетом.

Несахарный диабет (diabetes insipidus). Заболевание возникает при поражении задней доли гипофиза (опухоль, воспаление, склероз, травма). Наряду с поражением задней доли гипофиза постоянно встречаются изменения промежуточного мозга. Проявляется несахарным мочеизнурением, которое связано с выключением функции антидиуретического гормона и потерей способности почек концентрировать мочу, что ведет к выделению большого количества мочи (полиурия) и повышенной жажде (полидипсия); с потерей воды и нарушениями минерального обмена связаны тяжелые последствия несахарного диабета.

561

Опухоли гипофиза. В большинстве случаев они являются гормональноактивными

(см. Опухоли эндокринных желез).

Надпочечники

В коре надпочечников образуются минералокортикостероиды (альдостерон), глюкокортикостероиды и половые гормоны, секреция которых контролируется соответственно адренокортикотропным и гонадотропными гормонами передней доли гипофиза. Усиление тропных влияний гипофиза или развитие гормонально-активной опухоли коры надпочечников приводит к их гиперфункции, а ослабление этих влияний или разрушение коры надпочечников - к гипофункции. Секреция гормонов мозгового слоя надпочечников (адреналин, норадреналин) стимулируется симпатической нервной системой. Гипофункция его хорошо компенсируется хромаффинной тканью, гиперфункция связана с опухолью

(феохромоцитомой) (см. Опухоли эндокринных желез).

Аддисонова болезнь (по имени английского врача Т. Аддисона, описавшего это заболевание в 1849 г.), илибронзовая болезнь. Заболевание обусловлено двусторонним поражением преимущественно коркового вещества надпочечников и выключением (акортицизм) или уменьшением (гипоадренокортицизм) продукции его гормонов. Наиболее часто причиной бронзовой болезни являются метастазы опухоли в оба надпочечника, аутоиммунное их поражение (первичная аддисонова болезнь), амилоидоз (эпинефропатический амилоидоз), кровоизлияния, некроз в связи с тромбозом сосудов, туберкулез. В отдельных случаях болезнь обусловлена нарушениями в гипоталамо-гипофизарной системе (уменьшение секреции АКТГ или кортикотропин-рилизинг-фактора) или имеет наследственный характер.

При аддисоновой болезни находят гиперпигментацию кожи (меланодермия) и слизистых оболочек в связи с гиперпродукцией АКТГ и меланостимулирующего гормона, атрофию миокарда, уменьшение просветов аорты и магистральных сосудов. Обнаруживается адаптивная гиперплазия клеток островкового аппарата поджелудочной железы (гипогликемия),

атрофия слизистой оболочки желудка, особенно обкладочных клеток. Находят также гиперплазию лимфоидной ткани и вилочковой железы.

Смерть при аддисоновой болезни наступает от острой надпочечниковой недостаточности, кахексии(супраренальная кахексия) или недостаточности сердечно-

сосудистой системы.

Опухоли надпочечников. В большинстве своем они гормональноактивны (см. Опухоли эндокринных желез).

Щитовидная железа

Среди болезней щитовидной железы различают зоб (струма), тиреоидиты и опухоли. Эти заболевания могут сопровождаться гипертиреоидизмом

(тиреотоксикоз) или гипотиреоидизмом (микседема).

562

Зоб (струма) - это патологическое увеличение щитовидной железы.

Классификация зоба учитывает, с одной стороны, морфологические признаки, с другой - эпидемиологию, причины, функциональные и клинические особенности.

Руководствуясь морфологическими признаками, различают по внешнему виду диффузный,

узловой идиффузно-узловой (смешанный) зоб, по гистологическому строению - коллоидный и паренхиматозный.

Коллоидный зоб построен из разной величины фолликулов, заполненных коллоидом. В одних случаях фолликулы крупные кистоподобные, эпителий в них уплощен (макрофолликулярный коллоидный зоб), в других - мелкие (микрофолликулярный

коллоидный зоб), в третьих - наряду с крупными встречаются и мелкие фолликулы (макромикрофолликулярный коллоидный зоб). В коллоидном зобе возможно разрастание эпителия в виде сосочков (пролиферирующий коллоидный зоб). Со временем в ткани зоба возникают нарушения кровообращения, очаги некроза и обызвествления, разрастания соединительной ткани, иногда с образованием кости. Коллоидный зоб обычно узловой, плотнъгй на разрезе.

Паренхиматозный зоб характеризуется пролиферацией эпителия фолликулов, который разрастается в виде солидных структур с формированием мелких фолликулоподобных образований без коллоида или с очень небольшим его количеством. Он чаще диффузный, имеет вид однородной мясистой ткани серо-розового цвета. Возможны сочетания коллоидного и паренхиматозного зоба.

В зависимости от эпидемиологии, причины, функциональных и клинических особенностей различают эндемический зоб, спорадический зоб и диффузный токсический (тиреотоксический) зоб (болезнь Базедова, болезнь Грейвса).

Эндемический зоб развивается у лиц, проживающих в определенных, обычно гористых, местностях (некоторые районы Урала, Сибири, Средней Азии, в Европе - Швейцария и другие страны). Причиной развития зоба является недостаток йода в питьевой воде. Щитовидная железа значительно увеличивается, имеет строение коллоидного или паренхима-

тозного зоба. Функция железы обычно понижена. Если зоб появляется в раннем детском возрасте, то отмечается общее физическое и умственное недоразвитие - эндемический кретинизм.

Спорадический зоб появляется в юношеском или зрелом возрасте. Он может иметь строение диффузного, узлового или смешанного коллоидного или паренхиматозного. Заметного общего влияния на организм зоб не оказывает, однако при значительном разрастании он сдавливает соседние органы (пищевод, трахею, глотку), нарушает их функцию (ретроэзофагальный зоб, ретротрахеальный зоб и т.д.). В некоторых случаях может наступить так называемая базедофикация зоба (умеренная сосочковая пролиферация эпителия фолликулов и

563

скопление лимфоцитарных инфильтратов в строме железы). Спорадический зоб становится основой диффузного токсического зоба.

Диффузный токсический зоб (болезнь Базедова, болезнь Грейвса) - наиболее яркое проявление синдрома гипертиреоидизма, поэтому его называют также тиреотоксическим зобом. Причиной его развития являетсяаутоиммунизация: аутоантитела стимулируют клеточные рецепторы тиреоцитов. Это позволяет отнести диффузный токсический зоб к «антительным болезням рецепторов».

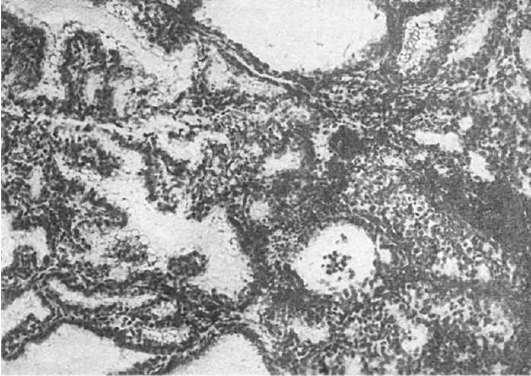
Морфологические особенности диффузного токсического зоба выявляются лишь при микроскопическом исследовании (рис. 240). К ним относятся превращение призматического эпителия фолликулов в цилиндрический; пролиферация эпителия с образованием сосочков, ветвящихся внутри фолликулов; вакуолизация и изменение тинкториальных свойств коллоида (плохо воспринимает красители) в связи с разжижением его и обеднением йодом; лимфоплазмоцитарная инфильтрация стромы, формирование лимфатических фолликулов с зародышевыми центрами.

Рис.

240. Диффузный токсический зоб (болезнь Базедова). Пролиферация эпителия с образованием сосочков; лимфоплазмоцитарная инфильтрация стромы

При болезни Базедова находят ряд висцеральных проявлений. В сердце, миокард которого гипертрофирован(особенно левого желудочка), в связи с тиреотоксикозом наблюдаются серозный отек и лимфоидная инфильтрация межуточной ткани, а также внутриклеточный отек мышечных волокон - тиреотоксическое сердце. В исходе его

развивается диффузный межуточный склероз. В печени также наблюдается серозный отек с

редким исходом в фиброз (тиреотоксический фиброз печени). Дистрофические изменения нервных клеток, периваскулярные клеточные инфильтраты обнаруживают

564

в промежуточном и продолговатом мозге.Нередко находят увеличение вилочковой железы, гиперплазию лимфоидной ткани и атрофию коры надпочечников.

Смерть при диффузном токсическом зобе может наступить от сердечной недостаточности, истощения. Во время операции удаления зоба может развиться острая надпочечниковая недостаточность.

Тиреоидиты. Это группа заболеваний, среди которых основное значение имеет тиреоидит Хасимото, или болезнь Хасимото - истинное аутоиммунное заболевание. Аутоиммунизация связана с появлением аутоантител к микросомальному антигену и поверхностным антигенам тиреоцитов, а также тиреоглобулину. Аутоиммунный процесс, детерминированный антигенами гистосовместимости DR, ведет к диффузной инфильтрации ткани железы лимфоцитами и плазматическими клетками (см. рис. 80), образованию в ней лимфоидных фолликулов. Паренхима железы в результате воздействия преимущественно иммунных эффекторных клеток погибает, замещается соединительной тканью. В далеко зашедших случаях морфологическая картина может напоминать тиреоидит (зоб) Риделя.

Тиреоидит Риделя (зоб Риделя) характеризуется первичным разрастанием в железе грубоволокнистой соединительной ткани, что ведет к атрофии фолликулярного эпителия (фиброзный зоб). Железа становится очень плотной («железный», «каменный»

зоб). Фиброзная ткань из щитовидной железы может распространяться на окружающие ее ткани, имитируя злокачественную опухоль.

Опухоли щитовидной железы. Преобладают эпителиальные опухоли, как доброкачественные, так и злокачественные (см. Опухоли эндокринных желез).

Околощитовидные железы

Наибольшее практическое значение имеет синдром гиперфункции околощитовидных желез - гиперпаратиреоз,морфологическим выражением которого является гиперплазия или опухоль (аденома) этих желез; возможен гиперпаратиреоз и аутоиммунного генеза.

Различают первичную и вторичную гиперплазию околощитовидных желез. Первичная гиперплазия, чащеаденома железы, ведет к развитию паратиреоидной остеодистрофии. Вторичная гиперплазия желез возникает как реактивное, компенсаторное явление в связи с накоплением в орга-

низме извести при первичном разрушении костей (метастазы раковых опухолей, миеломная болезнь, рахит) и заболеваниях почек (хроническая почечная недостаточность).

В основе паратиреоидной остеодистрофии (Русаков А.В., 1927), или фиброзной остеодистрофии, лежат нарушения обмена кальция и фосфора в связи с гиперпродукцией паратгормона аденомой желез. Под влиянием этого гормона происходит мобилизация минеральных солей из кости; процессы резорбции кости преобладают над ее новообразованием, при этом формируется преимущественно остеоидная ткань,происходит глубокая перестройка костей (см. Болезни костно-мышечной системы).

565