Материал: Ответы по ПА

Внимание! Если размещение файла нарушает Ваши авторские права, то обязательно сообщите нам

Местный гемосидероз - состояние, развивающееся при внесосудистом разрушении эритроцитов (экстраваскулярный гемолиз), т.е. в очагах кровоизлияний. Оказавшиеся вне сосудов эритроциты теряют гемоглобин и превращаются в бледные круглые тельца («тени» эритроцитов), свободный гемоглобин и обломки эритроцитов идут на построение пигмента. Сидеробластами и сидерофагами становятся лейкоциты, гистиоциты, ретикулярные клетки, эндотелий, эпителий. Сидерофаги могут долго сохраняться на месте бывшего кровоизлияния, нередко они переносятся током лимфы в близлежащие лимфатические узлы, где задерживаются, и узлы становятся ржавыми. Часть сидерофагов разрушается, пигмент высвобождается и в дальнейшем снова подвергается фагоцитозу.

Гемосидерин образуется при всех кровоизлияниях, как мелких, так и крупных. В небольших кровоизлияниях, которые чаще имеют характер диапедезных, обнаруживается только гемосидерин. При крупных кровоизлияниях по периферии, среди живой ткани образуется гемосидерин, а в центре - кровоизлияния, где аутолиз происходит без доступа кислорода и участия клеток, появляются кристаллы гематоидина.

В зависимости от условий развития местный гемосидероз может возникать в пределах не только участка ткани (гематома), но и целого органа. Таков гемосидероз легких, наблюдающийся при ревматическом митральном пороке сердца, кардиосклерозе и др. Хронический венозный застой в легких ведет к множественным диапедезным кровоизлияниям, в связи с чем в межальвеолярных перегородках, альвеолах, лимфатических сосудах и узлах легких появляется большое число на- груженных гемосидерином клеток (см. Венозное полнокровие).

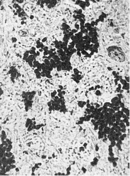
Гемосидероз легких. Цитоплазма гистиоцитов и альвеолярного эпителия (сидеробластов и сидерофагов) нагружена зернами пигмента

Близко к общему гемосидерозу своеобразное заболевание - гемохроматоз, который может быть первичным (наследственный гемохроматоз) или вторичным.

Первичный гемохроматоз - самостоятельное заболевание из группы болезней накопления. Передается доминантно-аутосомным путем и связано с наследственным дефектом ферментов тонкой кишки, что ведет к повышенному всасыванию пищевого железа, которое в виде гемосидерина откладывается в большом количестве в органах. Обмен железа эритроцитов при этом не нарушен. Количество железа в организме увеличивается в десятки раз, достигая 50-60 г. Развивается гемосидероз печени, поджелудочной железы, эндокринных органов, сердца, слюнных и потовых желез, слизистой оболочки кишечника, сетчатки глаза и даже синовиальных оболочек; одновременно в органах увеличивается содержание ферритина. В коже и сетчатке глаз увеличивается содержание меланина, что связано с поражением эндокринной системы и нарушением регуляции меланинобразования. Основными симптомами болезни являются бронзовая окраска кожи, сахарный диабет (бронзовый диабет) и пигментный цирроз печени. Возможно развитие и пигментной кардиомиопатии с нарастающей сердечной недостаточностью.

Вторичный гемохроматоз - заболевание, развивающееся при приобретенной недостаточности ферментных систем, обеспечивающих обмен пищевого железа, что ведет к распространенному гемосидерозу. Причиной этой недостаточности могут быть избыточное поступление железа с пищей (железосодержащие препараты), резекция желудка, хронический алкоголизм, повторные переливания крови, гемоглобинопатии (наследственные,заболевания, в основе которых лежит нарушение синтеза гема или глобина). При вторичном гемохроматозе содержание железа повышено не только в тканях, но и в сыворотке крови. Накопление гемосидерина и ферритина, наиболее выраженное в печени, поджелудочной железе и сердце, приводит к циррозу печени, сахарному диабету и кардиомиопатии.

12.Нарушения обмена билирубина, морфологическая характеристика. Желтухи.

Билирубин - важнейший желчный пигмент. Его образование начинается в гистиоцитарно-макрофагальной системе при разрушении гемоглобина и отщеплении от него гема. Гем теряет железо и превращается в биливердин, при восстановлении которого образуется билирубин в комплексе с белком. Гепатоциты осуществляют захват пигмента, конъюгацию его с глюкуроновой кислотой и экскрецию в желчные капилляры. С желчью билирубин поступает в кишечник, где часть его всасывается и вновь попадает в печень, часть - выводится с калом в виде стеркобилина и мочой в виде уробилина. В норме билирубин встречается в растворенном состоянии в желчи и в небольшом количестве в плазме крови.

Билирубин представлен красно- желтыми кристаллами. Он не содержит железа. Для выявления его употребляют реакции, основанные на способности пигмента легко окисляться с образованием различно окрашенных продуктов. Такова, например, реакция Гмелина, при которой под воздействием концентрированной азотной кислоты билирубин дает сначала зеленое, а затем синее или пурпурное окрашивание.

Нарушение обмена билирубина связано с расстройством его образования и выделения. Это ведет к повышенному содержанию билирубина в плазме крови и желтому окрашиванию им кожи, склер, слизистых и серозных оболочек и внутренних органов - желтухе.

Механизм развития желтухи различен, что позволяет выделять три ее вида: надпеченочную (гемолитическую), печеночную (паренхиматозную) и подпеченочную (механическую).

Надпеченочная (гемолитическая) желтуха характеризуется повышенным образованием билирубина в связи с увеличенным распадом эритроцитов. Печень в этих условиях образует большее, чем в норме, количество пигмента, однако вследствие недостаточности захвата билирубина гепатоцитами уровень его в крови остается повышенным. Гемолитическая желтуха наблюдается при инфекциях (сепсис, малярия, возвратный тиф) и интоксикациях (гемолитические яды), при изоиммунных (гемолитическая болезнь новорожденных, переливание несовместимой крови) и аутоиммунных (гемобластозы, системные заболевания соединительной ткани) конфликтах. Она может развиваться и при массивных кровоизлияниях, геморрагических инфарктах в связи с избыточным поступлением билирубина в кровь из очага распада эритроцитов, где желчный пигмент выявляется в виде кристаллов. С образованием в гематомах билирубина связано изменение их окраски.

Гемолитическая желтуха может быть обусловлена дефектом эритроцитов. Таковы наследственные ферментопатии (микросфероцитоз, овалоцитоз), гемоглобинопатии, или гемоглобинозы (талассемия, или гемоглобиноз F; серповидноклеточная анемия, или гемоглобиноз S), пароксизмальная ночная гемоглобинурия, так называемые шунтовые желтухи (при дефиците витамина В12, некоторых гипопластических анемиях и др.).

Печеночная (паренхиматозная) желтуха возникает при поражении гепатоцитов, в результате чего нарушаются захват ими билирубина, конъюгация его с глюкуроновой кислотой и экскреция. Такая желтуха наблюдается при остром и хроническом гепатитах, циррозах печени, медикаментозных ее повреждениях и аутоинтоксикации, например при беременности, ведущих к внутрипеченочному холестазу. Особую группу составляют ферментопатические печеночные желтухи, возникающие при наследственных пигментных гепатозах, при которых нарушена одна из фаз внутрипеченочного обмена билирубина.

Подпеченочная (механическая) желтуха связана с нарушением проходимости желчных протоков, что затрудняет экскрецию и определяет регургитацию желчи. Эта желтуха развивается при наличии препятствий оттоку желчи из печени, лежащих внутри или вне желчных протоков, что наблюдается при желчнокаменной болезни, раке желчных путей, головки поджелудочной железы и сосочка двенадцатиперстной кишки, атрезии (гипоплазии) желчных путей, метастазах рака в перипортальные лимфатические узлы и печень. При застое желчи в печени возникают очаги некроза с последующим замещением их соединительной тканью и развитием цирроза (вторичный билиарный цирроз). Застой желчи приводит к расширению желчных протоков и разрыву желчных капилляров. Развивается холемия, которая вызывает не только интенсивную окраску кожи, но и явления общей интоксикации, главным образом от воздействия на организм циркулирующих в крови желчных кислот (холалемия). В связи с интоксикацией понижается способность крови к свертыванию, появляются множественные кровоизлияния (геморрагический синдром). С аутоинтоксикацией связано поражение почек, развитие печеночно-почечной недостаточности.

13.Кальцинозы Виды, причины, патогенез, морфогенез, клинико-морфологические проявления, исходы.

Нарушения минерального обмена (минеральные дистрофии)

Минералы участвуют в построении структурных элементов клеток и тканей и входят в состав ферментов, гормонов, витаминов, пигментов, белковых комплексов. Они являются биокатализаторами, участвуют во многих обменных процессах, играют важную роль в поддержании кислотно-основного состояния и в значительной мере определяют нормальную жизнедеятельность организма.

Минеральные вещества в тканях определяют методом микросжигания в сочетании с гистоспектрографией. С помощью радиоавтографии можно изучить локализацию в тканях элементов, вводимых в организм в форме изотопов. Кроме того, для выявления ряда элементов, высвобождающихся из связей с белками и выпадающих в тканях, применяются обычные гистохимические методы

Наибольшее практическое значение имеют нарушения обмена кальция, меди, калия и железа.

Нарушения обмена кальция

Кальций связан с процессами проницаемости клеточных мембран, возбудимости нервно-мышечных приборов, свертывания крови, регуляции кислотно-основного состояния, формирования скелета и т.д.

Кальций абсорбируется с пищей в виде фосфатов в верхнем отрезке тонкой кишки, кислая среда которой обеспечивает всасывание. Большое значение для абсорбции кальция в кишечнике имеет витамин D, который катализирует образование растворимых фосфорных солей кальция. В утилизации кальция (кровь, ткани) большое значение имеют белковые коллоиды и рН крови. В высвобожденной концентрации (0,25-0,3 ммоль/л) кальций удерживается в крови и тканевой жидкости. Основная масса кальция находится в костях (депо кальция), где соли кальция связаны с органической основой костной ткани. В компактном веществе костей кальций является относительно стабильным, а в губчатом веществе эпифизов и метафизов - лабильным. Растворение кости и «вымывание» кальция проявляются в одних случаях лакунарным рассасыванием, в других - так называемым пазушным рассасыванием, или гладкой резорбцией. Лакунарное рассасывание кости осуществляется с помощью клеток - остеокластов; при пазушном рассасывании, как и при гладкой резорбции, происходит растворение кости без участия клеток, образуется «жидкая кость». В тканях кальций выявляют методом серебрения Косса. Поступление кальция с пищей и из депо уравновешивается экскрецией его толстой кишкой, почками, печенью (с желчью) и некоторыми железами.

Регуляция обмена кальция осуществляется нейрогуморальным путем. Наибольшее значение имеют околощитовидные железы (паратгормон) и щитовидная железа (кальцитонин). При гипофункции околощитовидных желез (паратгормон стимулирует вымывание кальция из костей), как и при гиперпродукции кальцитонина (кальцитонин способствует переходу кальция из крови в костную ткань), содержание кальция в крови снижается; гиперфункция околощитовидных желез, как и недостаточная продукция кальцитонина, наоборот, сопровождается вымыванием кальция из костей и гиперкальциемией.

Нарушения обмена кальция называют кальцинозом, известковой дистрофией, или обызвествлением. В его основе лежит выпадение солей кальция из растворенного состояния и отложение их в клетках или межклеточном веществе. Матрицей обызвествления могут быть митохондрии и лизосомы клеток, гликозаминогликаны основного вещества, коллагеновые или эластические волокна. В связи с этим различают внутриклеточное и внеклеточное обызвествление. Кальциноз может быть системным (распространенным) или местным.

Механизм развития. В зависимости от преобладания общих или местных факторов в развитии кальциноза различают три формы обызвествления: метастатическое, дистрофическое и метаболическое.

Метастатическое обызвествление (известковые метастазы) имеет распространенный характер. Основной причиной его возникновения является гиперкальциемия, связанная с усиленным выходом солей кальция из депо, пониженным их выведением из организма, нарушением эндокринной регуляции обмена кальция (гиперпродукция паратгормона, недостаток кальцитонина). Поэтому возникновение известковых метастазов отмечают при разрушении костей (множественные переломы, миеломная болезнь, метастазы опухоли), остеомаляции и гиперпаратиреоидной остеодистрофии, поражениях толстой кишки (отравление сулемой, хроническая дизентерия) и почек (поликистоз, хронический нефрит), избыточном введении в организм витамина D и др.

Соли кальция при метастическом обызвествлении выпадают в разных органах и тканях, но наиболее часто - в легких, слизистой оболочке желудка, почках, миокарде и стенке артерий. Это объясняется тем, что легкие, желудок и почки выделяют кислые продукты и их ткани вследствие большей щелочности менее способны удерживать соли кальция в растворе, чем ткани других органов. В миокарде и стенке артерий известь откладывается в связи с тем, что их ткани омываются артериальной кровью и относительно бедны углекислотой.

Внешний вид органов и тканей мало изменяется, иногда на поверхности разреза видны беловатые плотные частицы. При известковых метастазах соли кальция инкрустируют как клетки паренхимы, так и волокна и основное вещество соединительной ткани. В миокарде и почках первичные отложения извести находят в митохондриях и фаголизосомах, обладающих высокой активностью фосфатаз (образование фосфата кальция). В стенке артерий и в соединительной ткани известь первично выпадает по ходу мембран и волокнистых структур. Вокруг отложений извести наблюдается воспалительная реакция, иногда отмечают скопление макрофагов, гигантских клеток, образование гранулемы.

При дистрофическом обызвествлении, или петрификации, отложения солей кальция имеют местный характер и обычно обнаруживаются в тканях, омертвевших или находящихся в состоянии глубокой дистрофии; гиперкальциемия отсутствует. Основная причина дистрофического обызвествления - физико-химические изменения тканей, обеспечивающие абсорбцию извести из крови и тканей жидкости. Наибольшее значение придается ощелачиванию среды и усилению активности фосфатаз, высвобождающихся из некротизированных тканей.

Известковые метастазы в миокарде:

а - обызвествленные мышечные волокна (черного цвета) (микроскопическая картина); б - соли кальция (СК) фиксированы на кристах митохондрий (М).

При дистрофическом обызвествлении в тканях образуются разных размеров известковые сростки каменной плотности - петрификаты; в ряде случаев в петрификатах появляется костная ткань (оссификация). Петрификаты образуются в казеозных очагах при туберкулезе, гуммах, инфарктах, фокусах хронического воспаления и т.д. Дистрофическому обызвествлению подвергаются также рубцовая ткань (например, клапанов сердца при его пороке, атеросклеротических бляшек), хрящи (хондрокальциноз), погибшие паразиты (эхинококк, трихины), мертвый плод при внематочной беременности (литопедион) и др.

Механизм метаболического обызвествления (известковая подагра, интерстициальный кальциноз) не выяснен: общие (гиперкальциемия) и местные (дистрофия, некроз, склероз) предпосылки отсутствуют. В развитии метаболического обызвествления главное значение придают нестойкости буферных систем (рН и белковые коллоиды), в связи с чем кальций не удерживается в крови и тканевой жидкости даже при невысокой его концентрации, а также наследственно обусловленной повышенной чувствительности тканей к кальцию - кальцергии, или кальцифилаксии (Селье Г., 1970).

Различают системный и ограниченный интерстициальный кальциноз. При интерстициальном системном (универсальном) кальцинозе известь выпадает в коже, подкожной клетчатке, по ходу сухожилий, фасций и апоневрозов, в мышцах, нервах и сосудах; иногда локализация отложений извести бывает такой же, как при известковых метастазах. Интерстициальный ограниченный (местный) кальциноз, или известковая подагра, характеризуется отложением извести в виде пластинок в коже пальцев рук, реже ног.

Дистрофическое обызвествление стенки артерии. В толще атеросклеротической бляшки видны отложения извести

Исход. Неблагоприятен: выпавшая известь обычно не рассасывается или рассасывается с трудом.

Значение. Имеют значение распространенность, локализация и характер обызвествлений. Так, отложение извести в стенке сосуда ведет к функциональным нарушениям и может явиться причиной ряда осложнений (например, тромбоза). Наряду с этим отложение извести в казеозном туберкулезном очаге свидетельствует о его заживлении, т.е. имеет репаративный характер.

14.Гиалиновые изменения. Внутриклеточный и внеклеточный гиалин: морфогенез, морфологическая характеристика.

Гиалиноз

При гиалинозе (от греч. hyalos - прозрачный, стекловидный), или гиалиновой дистрофии, в соединительной ткани образуются однородные полупрозрачные плотные массы (гиалин), напоминающие гиалиновый хрящ. Ткань уплотняется, поэтому гиалиноз рассматривается и как разновидность склероза.

Гиалин - это фибриллярный белок. При иммуногистохимическом исследовании в нем обнаруживают не только белки плазмы, фибрин, но и компоненты иммунных комплексов (иммуноглобулины, фракции комплемента), а также липиды. Гиалиновые массы устойчивы по отношению к кислотам, щелочам, ферментам, ШИК-положительны, хорошо воспринимают кислые красители (эозин, кислый фуксин), пикрофуксином окрашиваются в желтый или красный цвет.

Механизм гиалиноза сложен. Ведущими в его развитии являются деструкция волокнистых структур и повышение тканево-сосудистой проницаемости (плазморрагия) в связи с ангионевротическими (дисциркуляторными), метаболическими и иммунопатологическими процессами. С плазморрагией связаны пропитывание ткани белками плазмы и адсорбция их на измененных волокнистых структурах с последующей преципитацией и образованием белка - гиалина. В образовании сосудистого гиалина принимают участие гладкомышечные клетки. Гиалиноз может развиваться в исходе разных процессов: плазматического пропитывания, фибриноидного набухания (фибриноида), воспаления, некроза, склероза.

Классификация. Различают гиалиноз сосудов и гиалиноз собственно соединительной ткани. Каждый из них может быть распространенным (системным) и местным.

Гиалиноз сосудов. Гиалинозу подвергаются преимущественно мелкие артерии и артериолы. Ему предшествуют повреждение эндотелия, его мембраны и гладкомышечных клеток стенки и пропитывание ее плазмой крови.

Микроскопическое исследование. Гиалин обнаруживают в субэндотелиальном пространстве, он оттесняет кнаружи и разрушает эластическую пластинку, средняя оболочка истончается, в финале артериолы превращаются в утолщенные стекловидные трубочки с резко суженным или полностью закрытым просветом

Гиалиноз сосудов селезенки:

а - стенка центральной артерии фолликула селезенки представлена гомогенными массами гиалина; б - фибрин среди гиалиновых масс при окраске по методу Вейгерта; в - фикса- ция в гиалине IgG иммунных комплексов (люминесцентная микроскопия); г - массы гиа- лина (Г) в стенке артериолы; Эн - эндотелий; Пр - просвет артериолы. Электронограмма.

Гиалиноз мелких артерий и артериол носит системный характер, но наиболее выражен в почках, головном мозге, сетчатке глаза, поджелудочной железе, коже. Он особенно характерен для гипертонической болезни и гипертонических состояний (гипертонический артериологиалиноз), диабетической микроангиопатии (диабетический артериологиалиноз) и заболеваний с нарушениями иммунитета. Как физиологическое явление местный гиалиноз артерий наблюдается в селезенке взрослых и пожилых людей, отражая функционально-морфологические особенности селезенки как органа депонирования крови.

Сосудистый гиалин - вещество преимущественно гематогенной природы. В его образовании играют роль не только гемодинамические и метаболические, но и иммунные механизмы. Руководствуясь особенностями патогенеза гиалиноза сосудов, выделяют 3 вида сосудистого гиалина:

1) простой, возникающий вследствие инсудации неизмененных или малоизмененных компонентов плазмы крови (встречается чаще при гипертонической болезни доброкачественного течения, атеросклерозе и у здоровых людей);

2) липогиалин, содержащий липиды и β-липопротеиды (обнаруживается чаще всего при сахарном диабете);

3) сложный гиалин, строящийся из иммунных комплексов, фибрина и разрушающихся структур сосудистой стенки (характерен для болезней с иммунопатологическими нарушениями, например для ревматических заболеваний).

Гиалиноз собственно соединительной ткани. Развивается обычно в исходе фибриноидного набухания, ведущего к деструкции коллагена и пропитыванию ткани белками плазмы и полисахаридами.