Материал: лекция

Внимание! Если размещение файла нарушает Ваши авторские права, то обязательно сообщите нам

Клубочковая зона

Клетки образуют округлые скопления – клубочки.

В цитоплазме клеток - мало липидных включений, развита гладкая ЭПС, много митохондрий.

Гормоны: минералкортикоидные – альдостерон:

усиливает всасывание натрия из первичной мочи в кровь, повышает АД.

Пучковая зона

Клетки спонгиоциты,- образуют пучки.

Содержат крупные липидные включения, развиты гладкая эпс, митохондрии с

тубулярными кристами.

Различают светлые и темные клетки.

Гормоны: глюкокортикоидные: кортизол, кортизон, кортикостерон.

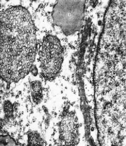
1. Наиболее полно все вышеперечисленные особенности пучковых клеток выявляются при

электронной микроскопии.

На снимке:

липидные капли (1),

гладкая ЭПС (2),

митохондрии (3) с кристами тубулярного типа (выглядят как везикулы).

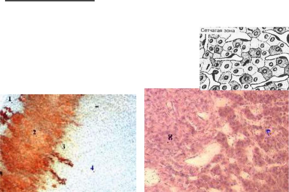
Сетчатая зона

Тяжи клеток образуют рыхлую сеть. Эндокриноциты имеют те же особенности. Имеются в зоне апоптозные тельца.

Гормоны: дегидроэпиандростерон,

прогестерон, эстрогены.

Ростковые зоны.

Первая область - непосредственно под капсулой.

Вторая область - между клубочковой и пучковой

зонами (суданофобная зона);