Материал: лекция

Внимание! Если размещение файла нарушает Ваши авторские права, то обязательно сообщите нам

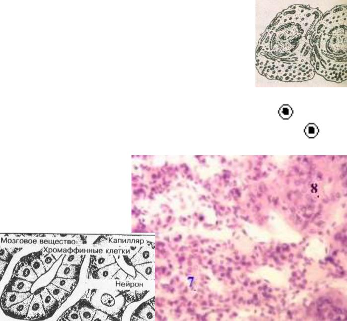
Мозговое вещество

1. Состоит из хромафинных клеток

более светлые клетки синтезируют

адреналин (эпинефроциты)

а более тёмные – норадреналин (норэпинефроциты)

Гормоны - в секреторных гранулах с плотной сердцевиной, размер гранул 100-500 нм.

Относятся к AПУДсистеме. Синтезируют пептиды –

энкефалины и др.

2. Содержит нейроглию,

вегетативные нервные клетки.

Развитие надпочечников

Морфологическая характеристика

Спасибо за внимание