Материал: Костный травматизм у мелких животных

Внимание! Если размещение файла нарушает Ваши авторские права, то обязательно сообщите нам

ДОПОЛНИТЕЛЬНЫЕТ (ЛАБОРАТОРНЫЕ) ИССЛЕДОВАНИЯ

Исследование крови.

У собаки кровь была получена из подкожной вены предплечья. В кровь, чтобы она не свернулась, был добавлен антикоагулянт цитрат натрия.

Показатель

Единица

Норма

Результаты

Гемоглобин

г/л

74-180

90

Эритроциты

млн/мкл

3.3-7.4

6.5

об%

22-52

37

СОЭ

мм/ч

 

0,3

Лейкоциты

тыс/мкл

7.2-18.6

17,7

Нейтрофилы палочкоядерные

%

 



ед/мкл

0-400

0

Нейтрофилы сегментоядерные

%

 



ед/мкл

1300-11000

3000

Эозинофилы

%

 



ед/мкл

0-2200

800

Базофилы

%

 



ед/мкл

0-100

0

Лимфоциты

%

 



ед/мкл

1600-6400

1600

Моноциты

%

 



ед/мкл

0-400

20

Миелоциты

 

нет

2

Ретикулоциты

%

0-7.1

5.5

Диаметр эритроцитов

мкм

 


Тромбоциты

тыс/мкл




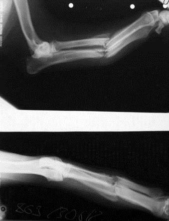
Рентгеновское исследование.

Проведённая рентген-диагностика выявила диафизарный перелом локтевой и лучевой костей левой грудной конечности.

ОПИСАНИЕ КЛИНИЧЕСКИХ ПРИЗНАКОВ ПАТОЛОГИЧЕСКОГО ОЧАГА

остеосинтез собака операция травматизм

На момент поступления больного животного в клинику на основании анамнеза и клинических признаков при первичном осмотре был поставлен предварительный диагноз: перелом костей предплечья левой грудной конечности.

Позже, уже при детальном, более углубленном обследовании животного на основании сложившейся клинической картины предварительный диагноз был подтвержден.

При визуальном осмотре: животное лишено возможности опираться на левую грудную конечность. А если и передвигается, то с ярко выраженной хромотой на вышеуказанную конечность.

При пальпации отмечалось следующее: ярко выраженная болезненность в области патологического очага, деформация кости в диафизе предплечья, костная крепитация, легкое укорочение конечности. Также при визуальном осмотре припухлость в месте предполагаемого перелома с незначительным повышением температуры относительно общей температуры тела, измерение которой (ректально) показало нормативный показатель - 38,7°С. Рентген-диагностика подтвердила предполагаемый диагноз.

Животное угнетено. Избегает лишних передвижений. Прием корма производится вяло, неохотно. Отмечается слабая жажда.


ОБЗОР ЛИТЕРАТУРЫ

Этиология.

Причины разных переломов делят на: производящие и предрасполагающие. К первым относятся различные механические воздействия (ушибы, удары, толчки, падение на твердую почву, поскальзывания, резкие мышечные сокращения, огнестрельные ранения, насильственное освобождение ущемленной конечности и др.), ко вторым-патологические и физиологические изменения костной ткани (авитаминоз, рахит, остеомаляция, остеосаркомы, остеомиелит, старческий возраст, беременность и т. п.).

Патогенез.

Патогенез переломов связан с повреждением окружающих костей мягких тканей, сухожилий, фасций, сосудов и нервов.

Любое повреждение сопровождается кровоплазмопотерей вследствие разрушения кровеносных сосудов, увеличение проницаемости капиллярного русла, развитие местного отёка и воспаления. Потеря крови при открытых переломах сопровождается характерными сдвигами гемодинамики снижением артериального давления и т. д. В целом компенсаторная симпатико-тоническая реакция на кровопотерю характеризуется рефлекторным и гуморальным спазмом периферических сосудов, увеличением притока тканевой жидкости. Повреждение нервов сначала вызывает острую боль, а затем анестезию конечности.

Детальное изучение метаболических реакций в органах и тканях показало, что в процессе перелома в организме происходит выраженное истощение энергетических и пластических запасов в органных и тканевых депо, расположенных как вблизи, так и на расстоянии от травмированного участка. Обменная реакция при переломе костей может быть выражена в некоторых случаях в значительной степени, а расход белковых, углеродных, минеральных и липидных веществ, воды, витаминов и других компонентов органов и тканей может достигать за сутки больших величин. Расходование энергетических и пластических ресурсов в организме возникает в результате распада тканей. Развивается фаза общей защитной реакции организма.

Кроме того, как известно, с белковым обменом тесно связан обмен витаминов, электролитов, микроэлементов и других минеральных веществ, играющих важную роль в организме.

Изучение фермент-субстратных систем белкового и углеродного обмена в костной ткани, показало, что, принимая участие в регенеративных процессах, они обеспечивают синтез белков и необходимую для этого энергию. Изменение активности ферментов идет вместе с изменением субстратов костной ткани.

Клинические признаки.

Основными клиническими признаками, которыми руководствуются при диагностике переломов являются: нарушение функций, деформация, подвижность кости на протяжении, костная крепитация, боль, припухлость.

Все эти признаки могут быть выражены в различной степени. Некоторые из них могут отсутствовать, несмотря на наличие перелома.

Нарушение функции - наиболее постоянный и яркий симптом перелома. По данным Белова А. Д. (1990) это зависит от локализации и характера перелома. Оно возникает в результате острых болей, вызванных раздражением нервов костными осколками, концами отломков костей и активным сокращением мышц; нарушением статического аппарата; повреждением нервов или суставов. Обычно потеря функции наступает внезапно. Её клинические проявления различны. Переломы костей конечностей сопровождаются хромотой. Животное не может опираться на больную конечность при движении и во время покоя. При проводке оно прыгает на трех лапах и совершенно не дает поднять здоровую конечность противоположенной стороны.

Деформация выражена наиболее ярко в случаях смещения концов излома, рефлекторного сокращения мускулов, значительного кровоизлияния в ткани в области перелома. Клинически деформация характеризуется резким изменением контуров, анатомического рельефа, положения и размеров пораженного участка или всего органа в целом. Например, при переломе костей конечностей обращает на себя внимание ненормальная постановка, искривление и укорочение больной конечности.

Подвижность кости на её протяжении является самым характерным признаком полного перелома. Она легко определяется при диафизарных переломах трубчатых костей.

Костная крепитация является наиболее достоверным признаком перелома. Она вызывается трением одного конца отломка о другой и воспринимается как своеобразный хруст при сжимании песка рукой. Её можно обнаружить при активных и пассивных движениях, а так же при давлении на кость в области перелома. Костная крепитация отсутствует, если имеется: неполный, вколоченный или компрессионный перелом; мышечная интерпозиция между концами излома, или большое смещение их по длине; значительное кровоизлияние или воспалительный отек в области перелома. Костная крепитация исчезает по мере развитая костной мозоли.

Боль. Защитная болевая реакция животного при переломе бывает выражена в различной степени, в зависимости от вида животного, индивидуальных особенностей, локализации перелома, степени повреждения тканей и сопутствующих осложнений. В подавляющем большинстве случаев переломы костей конечностей и шейных позвонков сопровождаются сильными болями. Боль, возникающая на месте перелома, обычно кратковременна. Она очень сильна в момент возникновения и тотчас после перелома и быстро уменьшается или исчезает после представления животному покоя. Всякое смещение концов излома обостряет боли. Боли отсутствуют при шоке и переломах, сопровождающихся повреждением спинного мозга.

Припухлость. Почти всякий перелом сопровождается повреждением мягкой ткани и сосудов.

Сильно сократившиеся разорванные мышцы, смещение концов излома кости, и значительное внутритканевое кровотечение вызывают большую припухлость. Она может постепенно исчезнуть или достигнуть огромных размеров, если перелом осложняется гнойным процессом.

При неполных переломах можно обнаружить кожную рану, разрыв мышц, фасций и апоневрозов; разорванные мышцы, сокращаясь на различном уровне, создают раневые карманы, в которых содержатся сгустки крови, мелкие костные осколки.

Прогнозы при переломах.

Прогноз зависит от возраста, вида животного, локализации перелома и степени повреждения тканей, времени и характера оказанной лечебной помощи, раневых осложнений и других моментов.

У молодых животных переломы заживают обычно лучше, чем у старых. Переломы костей грудных конечностей срастаются быстро и лучше переломов костей тазовых конечностей. Открытые переломы легко осложняются раневой инфекцией, и поэтому предсказание бывает от сомнительного до плохого.

Полные переломы больших трубчатых костей у лошадей неизлечимы, тогда как у собак и кошек в 90% случаев заканчиваются выздоровлением.

Заживление переломов пястной, плюсневой, путовой и венечной костей с восстановлением работоспособности лошади наблюдается в 61,6% случаев.

Опыт показал, что своевременная хирургическая обработка переломов, правильная репозиция отломков, хорошо положенная гипсовая повязка, штифтование и применение средств общего и местного действия дают возможность сократить сроки лечения и восстановить утраченные функции поврежденной конечности. Эпифизарные переломы больших трубчатых костей заканчиваются, как правило, артритом и анкилозом.

Диагноз и дифференциальный диагноз.

Д, А, Новожилов (1967) отмечает, что широко распространенное мнение об относительной легкости распознавания переломов на основании клинического опыта не может быть принято безоговорочно: наряду с весьма отчетливыми проявлениями перелома, доступными для распознавания лицам без соответствующей подготовки, нередко встречаются повреждения, при которых диагностика перелома представляет значительные трудности даже для специалиста.

Дифференцировать различные виды переломов можно пальпацией, а уточнять диагноз при помощи рентгенологического исследования.

Открытый перелом отличается от закрытого тем, что при осмотре заметен дефект кожи со следами кровотечения.

Смещение обнаруживается иногда визуально, а чаще - при помощи пальпации, когда обнаруживается ненормальное положение отломков кости.

Полный перелом от неполного отличается подвижностью кости на её протяжении.

Необходимо исключить невриты, миозиты - при которых может быть резкая болезненность, выключение функции конечности, отёчность, но не будет безусловных признаков перелома - крепитация.

Отёк не имеет специфического значения для диагностики перелома, но помогает установить локализацию его. Он характерен для переломов костей конечностей и может не быть выражен при переломах костей других локализаций (позвоночник, таз, грудная клетка).

Лечение.

При переломах следует незамедлительно доставить собаку в ветеринарную лечебницу, предварительно остановив кровотечение и зафиксировав конечность в том положении, в котором она находится. Ни в коем случае не следует самостоятельно пытаться исправить конфигурацию тела (конечностей). Во-первых, собаке будет больно, во-вторых, можно повредить окружающие ткани еще больше.

Лечение переломов у собак (остеосинтез) проводится для того, чтобы поврежденная кость срослась анатомически правильно и в максимально короткие сроки. В настоящее время существует несколько видов остеосинтеза, которые зависят от характера и места повреждения костной ткани. В ранние сроки после перелома проводят консервативное лечение с помощью иммобилизующих повязок, предварительно точно составив все фрагменты костей. Проводится эта процедура под наркозом или местной анестезией, чтобы мышцы в поврежденных местах полностью расслабились. При открытых переломах в обязательном порядке осуществляют туалет раневой поверхности с промыванием антисептиками и удалением поврежденных, омертвевших тканей и осколков кости. Далее открытый перелом переводят в закрытый путем наложения на рану швов. Восстановив целостность кости, необходимо наложить обездвиживающую повязку и предоставить собаке полный покой. Чтобы собака не сорвала повязку, необходимо постоянно следить за ней или надеть плотный воротник, который не позволит ей добраться до повязки. Прописывают курсом антибиотики. При хорошем заживлении иммобилизирующую повязку можно снимать через месяц.

При сложных переломах не обойтись без методов остеосинтеза. Аппараты Илизарова или Киршнера позволяют скрепить кости с анатомической точностью, а в случае сильного загрязнения раны аппарат Илизарова просто незаменим. Снятие креплений после полного заживления может проходить без повторных операций и наркоза или с применением седации. С помощью спиц и полимера (быстротвердеющей массы) можно восстановить целостность костей у мелких животных. Такой метод легок в применении, а удаление фиксатора проходит без применения специальных препаратов.

Методы внутренней фиксации, когда специальные устройства помещают внутрь кости, зачастую потребуют повторной операции по удалению пластин и винтов. Но в некоторых случаях, когда пластины не нарушают целостность сросшихся костей, их оставляют на всю жизнь.

Профилактика.

Профилактика возникновения переломов у собак (лап и других частей тела) заключается в постоянном наблюдении за поведением животного. Не стоит выгуливать собаку вблизи дорог и без поводка, заставлять спрыгивать с большой высоты. Сбалансированный рацион поможет предупредить возникновение рахита, остеомаляции и авитаминоза.

ЭПИКРИЗ

Определение заболевания.

Перелом, fraktura (лат. fragere - разбивать) - частичное или полное нарушение целостности кости, сопровождающееся большим или меньшим повреждением мягких тканей.

Приобретенный перелом вследствие сильной травмы - Fracturae traumaticae .