Материал: клинический+анализ+крови+3

Внимание! Если размещение файла нарушает Ваши авторские права, то обязательно сообщите нам

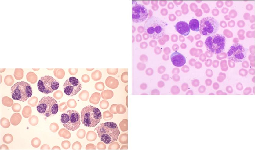
Большая эозинофилия

(эозинофильная лейкемоидная реакция)

Гемоглобин, г/л

120

 

 

Эритроциты, х1012

4,56

Цветовой показатель

0,79

 

 

Ретикулоциты, %

0,8

 

 

Лейкоциты, 109

56000

Промиелоциты, %

 

 

 

Миелоциты, %

 

 

 

Метамиелоциты, %

 

 

 

Палочкоядерные

 

 

 

Сегментоядерные

4

 

 

Эозинофилы

87

 

 

Базофилы, %

 

 

 

Лимфобласты

 

 

 

Лимфоциты

8

 

 

Моноциты, %

1

 

 

Тромбоциты, 109

240

СОЭ, мм/час

17

 

 

Дополнительные сведения: все эозинофилы сегментоядерные.

Пациент две недели назад употреблял в пищу язя холодного копчения.

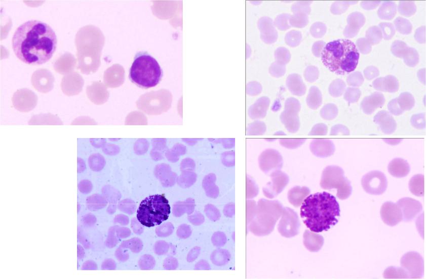
Гранулоциты – лейкоциты, имеющие в цитоплазме специфическую зернистость

Сегментоядерный нейтрофил

Сегментоядерный эозинофил

Лимфоцит

Сегментоядерные базофилы

Различная окраска обусловлена цветом предметного стекла

Схема нейтрофилопоэза, нейтрофильные

сдвиги (см.также следующий слайд)

В кровициркулируютпалочкоядерные и сегменто-ядерные нейтрофилы,ядрапоследних обычносостоят из 3-4 сегментов.

Нейтрофильныйсдвигвправо– это увеличение количества сегментов в ядре. Критерий сдвигавправо: на100 нейтрофилов 3клеток с 5 сегментами вядре илихотя бы один нейтрофил с 6 сегментами.

Можно использовать формулу:

(Barbara J Bain. Interactive Haematology Imagebank with Assessement)

Нейтрофильныйсдвигвлево– это увеличение в лейкоцитарной формуле количества палочкоядерных нейтрофилов и (или) появление ещё более незрелых нейтрофилов (метамиелоцитов, миелоцитов, промиелоцитов). Нейтрофильныйсдвиг влево наблюдаетсяприхроническом миелолейкозе, остром бактериальном воспалении,опухолях (особенно в случае метастазов вкостный мозг).

Нейтрофильные сдвиги

миелобласт

промиелоцит

миелоцит

метамиелоцит,

или юный

палочкоядерный

сегментоядерные

Для невинной аномалии Пельгера характерно преобладание нейтрофилов с двухсегментными ядрами и увеличение числа палочкоядерных (ложный сдвиг влево). Наблюдаются случаи, когда сегментации ядер не происходит, хотя они имеют «зрелую» структуру хроматина. Знание этой аномалии очень важно для острой инфекционной, в т.ч. хирургической патологии.

Эозинофилия крови(более1 тыс./мкл)

наблюдается при

паразитарных болезнях

аллергических реакциях

гемобластозах, редко при раках

васкулитах

бронхиальной астме

некоторых кожных заболеваниях

 

Большая эозинофилия у пациента с

 

ОЛЛ В2. Отмечается гипогрануляр-

 

ность и неправильная сегментация

 

ядер.

Большая эозинофилия при

В центре 3 лимфобласта.

 

остром описторхозе