Материал: клинический+анализ+крови+3

Внимание! Если размещение файла нарушает Ваши авторские права, то обязательно сообщите нам

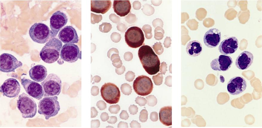
Острый лейкоз М3 (промиелоцитарный)

Окраска по Романовскому-Гимзе,

Миелопероксидаза,

крупные вишнёвые гранулы, много

реакция положительна

палочек Ауэра

минимум в 3% бластов

Острый лейкоз М4 (миеломонобластный)

Миелопероксидаза, положительна в миелобластах

Неспецифическая эстераза положительна в монобластах и промоноцитах

Острый миелоидный лейкоз М4Эо

Окраска азур-эозином по Романовскому. Атипичные эозинофилы имеют базофильные гранулы

Cl -ацетат эстераза. Реакция положительна в монобластах, промоноцитах и эозинофилах

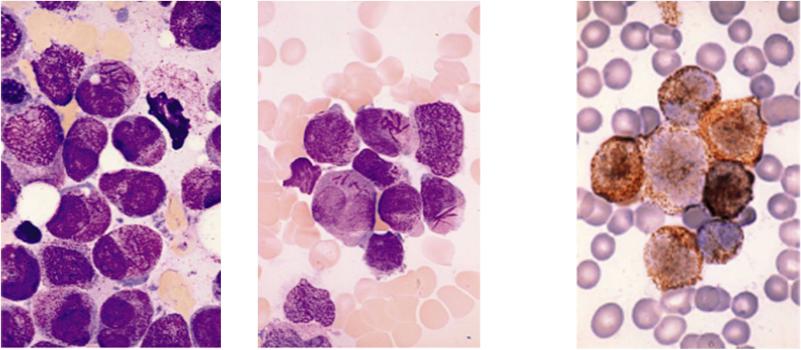
Острый миелоидный лейкоз М5

(М5а монобластный и М5в промоноцитарный)

М5а. Азур-эозин (слева) и -нафтилацетат-эстераза

М5в. Промоноциты и

(справа, резко положительная реакция).

атипичные моноциты

Острый миелоидный лейкоз М6

(эритромиелоз)

Азур-эозин. Эритрокариоцитов 50%, часто

PAS-реакция, положительна

наблюдается вакуолизация цитоплазмы

в гранулярной и диффузной

эритробластов. Миелобластов 20% от всех

форме.

клеток, исключая эритрокриоциты.