Материал: клинический+анализ+крови+3

Внимание! Если размещение файла нарушает Ваши авторские права, то обязательно сообщите нам

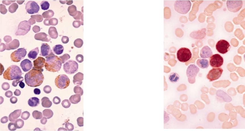
Острый лейкоз М3 (промиелоцитарный)

Окраска по Романовскому-Гимзе, крупные

Миелопероксидаза,

вишнёвые гранулы, много палочек Ауэра

реакция положительна

 

минимум в 3% бластов

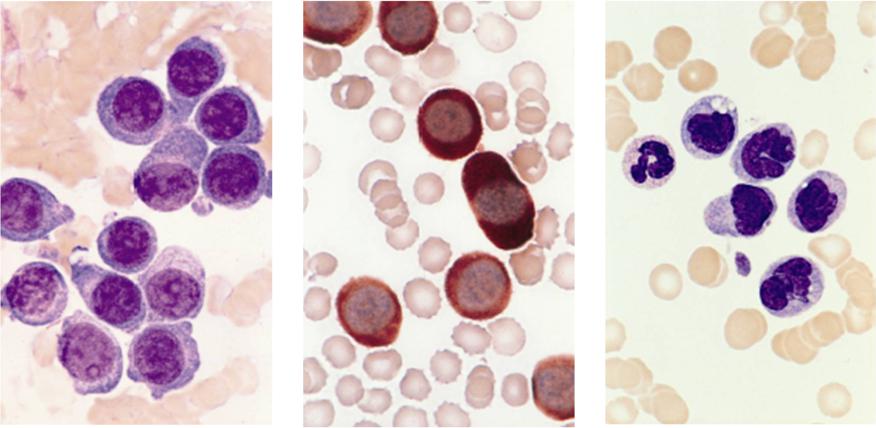
Острый лейкоз М4 (миеломонобластный)

Миелопероксидаза, положительна в миелобластах

Неспецифическая эстераза положительна в монобластах и промоноцитах

Острый миелоидный лейкоз М4Эо

Окраска азур-эозиномпо Романовскому. Атипичные эозинофилы имеют базофильные гранулы

Cl -ацетат эстераза. Реакция положительна в монобластах, промоноцитахи эозинофилах

Острый миелоидный лейкоз М5

(М5а монобластный и М5в промоноцитарный)

М5а. Азур-эозин (слева) и -нафтилацетат-эстераза

М5в. Промоноцитыи

(справа, резко положительная реакция).

атипичные моноциты

Острый миелоидный лейкоз М6

(эритромиелоз)

Азур-эозин. Эритрокариоцитов 50%, часто

PAS-реакция, положительна в

наблюдается вакуолизацияцитоплазмы

гранулярной и диффузной

эритробластов. Миелобластов 20% от всех

форме.

клеток, исключая эритрокриоциты.