Материал: клинический+анализ+крови+3

Внимание! Если размещение файла нарушает Ваши авторские права, то обязательно сообщите нам

ОЛЛ Цитохимическое и иммуноцитохимическое исследование бластов

CD 10– иммуно-

цитохимическое исследование на common рецептор, наличие которого свидетельствует о ОЛЛ В2

Реакция на пероксидазу в лимфобластах отрицательна, в нейтрофилах – положительна

Острый миелоидный лейкоз (ОМЛ)

Гемоглобин, г/л

60

 

 

Эритроциты, х1012

2,01

Цветовой показатель

0,9

 

 

Ретикулоциты, %

0,5

 

 

Лейкоциты, 109

22,6

Миелобласты, %

67

 

 

Промиелоциты, %

 

 

 

Миелоциты, %

 

 

 

Палочкоядерные

3

 

 

Сегментоядерные

23

 

 

Эозинофилы

 

 

 

Базофилы, %

 

 

 

Лимфобласты

 

 

 

Лимфоциты

2

 

 

Моноциты, %

5

 

 

Тромбоциты, 109

23

СОЭ, мм/час

41

 

 

Дополнительные сведения. В бластах: POX 76%, PAS – реакция диффузная, в 42%

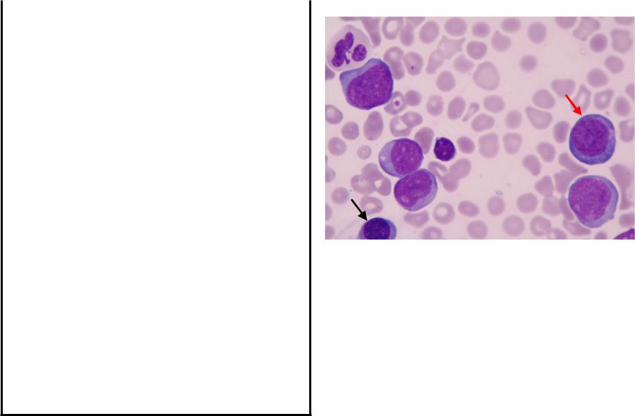
Окраска по Романовскому-Гимзе. Четыре миелобласта, нейтрофил, лимфоцит, эритробласт (красная стрелка) и полихроматофильный эритрокариоцит(чёрная стрелка).

Миелобластный лейкоз (ОМЛ)

Критерии диагноза

Острый миелоидный лейкоз

диагностируется при наличии

• в крови бластов 20% и более или

• в миелограммебластов 20% и более

При количестве бластов менее20% диагностируется

миелодиспластический синдром (МДС), за исключением (см.след.слайд)

Острый миелоидный лейкоз

Критерии диагноза

Исключение:

при типичных хромосомных аномалиях

– t(8;21), inv(16) или t(16;16), t(15;17),

аномалия 11q23

при М5в (промоноцитарный ОМЛ)

для диагностики ОМЛ процент бластов не имеет значения

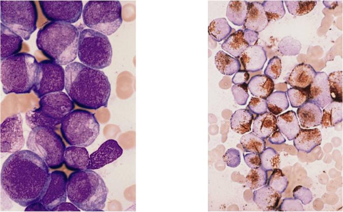
ОМЛ Цитологическое и цитохимическое исследование мазков костного мозга

Палочки Ауэра в

Миелопероксидаза

миелобластах

в миелобластах