Материал: инт 04 (Основы ультразвуковой и радионуклидной семиотики заболеваний внутренних органов)

Внимание! Если размещение файла нарушает Ваши авторские права, то обязательно сообщите нам

Основы ультразвуковой и радионуклидной семиотики заболеваний внутренних органов

Информацию, необходимую для пополнения базисных знаний-умений, Вы найдете в материалах занятия №1.

 

Напоминаем, что анализ лучевых исследований внутренних органов обычно проводится по такой схеме:

 

1. Метод исследования.

2. Анатомическая область или орган исследования

2. Проекция исследования или срез.

3. Локализация очагов поражения.

4. Количество очагов поражения.

5. Характер тенеобразования.

6. Структура очага поражения.

7. Форма очага поражения.

8. Размеры очага поражения.

9. Контуры очага поражения.

10. Состояние окружающих органов и тканей.

11. Ведущий синдром.

12. Его морфологический субстрат.

 

А. Ультразвуковая семиотика заболеваний внутренних органов

 

Цель (общая): уметь оценить ультразвуковые признаки патологии внутренних органов.

Для этого необходимо уметь:

1) определять гипер-, гипо- и анэхогенные очаги в паренхиме органов;

2)  выявлять гиперэхогенный очаг в полостной системе:

3) определять увеличение анэхогенной зоны полостной системы:

4) выявлять изменения размеров органов;

 8) определять утолщение стенок полостной системы;

9) определять изменение формы органов;

10) трактовать морфологический субстрат ведущего синдрома.

 

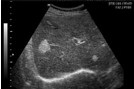
Гиперэхогенные очаги в паренхиме органов (рис. ниже) свидетельствуют о наличии участков обызвествления или разрастании патологической ткани (опухоль, метастаз). Гипоэхогенные участки также указывают на разрастания патологической ткани - опухоль, метастазы (рис. 5), или – на абсцесс. Анэхогенный очаг отличается от гипоэхогенного наличием эффекта так званого «дорсального усиления». Анэхогенная зона всегда обусловлена жидкостным образованием (киста). Киста имеет округлую форму и ровные контуры (рис. 6). 

Сонограмма печени. Определяется несколько гиперэхогенных очагов округлой формы – опухоль (гистологический диагноз – гемангиома).  

Сонограмма печени. Определяются несколько гипоэхогенных очагов с неровными контурами – метастазы.

Сонограмма молочной железы. Определяются два анэхогенных очага правильной округлой формы с ровными контурами – кисты.

 

В большинстве случаев первичная опухоль или метастазы выглядят как неоднородное по эхогенности образование неправильной округлой формы с неровными контурами (рис. ниже). Эхинококковая киста также имеет неоднородную структуру.

Если эхогенность печени диффузно неоднородна, это может свидетельствовать диффузном поражении паренхимы - жировом перерождении, гепатите, циррозе, отеке. 

Сонограмма почки эхинококковая киста

Выявление гиперэхогенного очага в полостной системе свидетельствует о конкременте (рис. ниже) или разрастании патологической ткани (рис. ниже) При наличии конкремента за ним определяется эхонегативная полоска – «дорожка», или «акустическая тень», которая отсутствует позади опухоли.

Сонограмма желчного пузыря с множеством конкрементов (пояснения см. в тексте).

Сонограмма мочевого пузыря. В полости пузыря определяется гиперэхогенное образование – опухоль.

Увеличение анэхогенной зоны полостной системы (рис. ниже) свидетельствует о нарушении оттока при обтурации камнем, опухолью, сдавливании извне, рубцовом сужении или гипотонии протоков.

Сонограмма почки  (пояснения см. в тексте).

Основы ультразвуковой и радионуклидной семиотики заболеваний внутренних органов

Б. Радионуклидная семиотика поражений внутренних органов

Цель (общая): уметь трактовать радионуклидную семиотику поражений внутренних органов. Для этого необходимо:

1) выявлять “холодные” очаги;

2) выявлять “горячие” очаги;

3) выявлять диффузное снижение накопления радиофармпрепарата;

4) определять диффузное увеличение накопления радиофармпрепарата;

5) определять уменьшение и увеличение органа;

6) выявлять изменения положения органа;

7) выделять ведущие радионуклидные синдромы патологии;

8) трактовать морфологический субстрат ведущего синдрома.

 

При сцинтиграфии накопления радиофармпрепарата может значительно снижаться в отдельных областях или диффузно во всем органе. Наличие ”холодных” очагов (рис. 11) является признаком объемных образований (опухоль, метастаз, киста, абсцесс).

Гепатосцинтиграмма. Определяется ”холодный” очаг – опухоль.

Диффузное поражение свидетельствует об уменьшении функционирующей паренхимы: воспаление, жировое перерождение, отек паренхимы, цирроз. В печени в последнем случае при гепатосцинтиграфии наблюдается также резкое повышение концентрации РФП в селезенке и ее увеличение (рис. ниже), что свидетельствует о снижении барьерной функции печени.

Гепатосцинтиграмма. Печень уменьшена, распределение в ней РФП диффузно снижено. Селезенка увеличена, в ней определяется значительное накопление РФП. Цирроз печени.

При сцинтиграфії щитовидной железы накопление в ней радиофармпрепарата может быть сниженным или повышенным в отдельных участках или диффузно во всем органе.

Наличие “холодных” очагов (рис. ниже) является причиной объемных образований (гормононепродуцирующая опухоль, киста). “Горячие” очаги (рис. ниже) свидетельствуют про гормонопродуцирующую опухоль или узловой зоб.

Сцинтиграмма щитовидной железы. В левой доле определяется “холодный” очаг – опухоль.

Сцинтиграмма щитовидной железы. В левой доле определяется “горячий” очаг – опухоль. 

Диффузное поражение щитовидной железы, как правило, обусловлено диффузным зобом или тиреоидитом. Накопления РФП в органе будет отображать повышение или снижение функции.