|
|
|
|
15 |
|
|
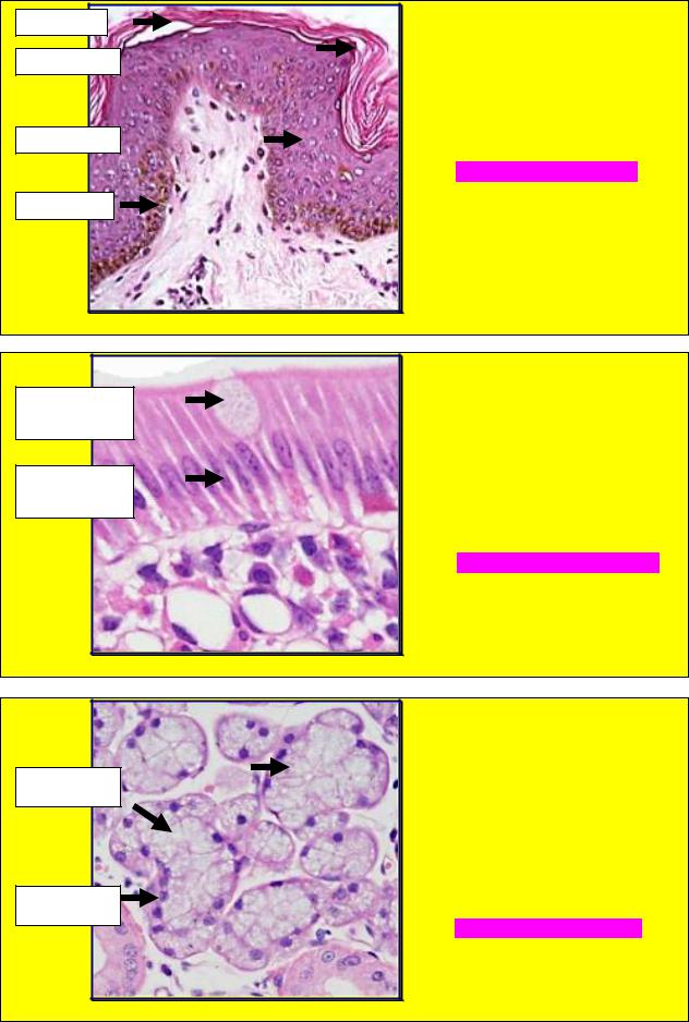
ЗАДАНИЕ 1.33 |
||
|
В |
препарате |
определяется |
|
|
ткань, состоящая из структур, |
|||
Мышечные |
обозначенных |
на |
рис.1.33. |
|
Укажите тип ткани. |
|
|||
волокна |
|
|||
А. Эпителиальная. |
|
|||
|
|
|||
|
Б. Ткань внутренней среды. |
|||
|
В. Кровь. |
|
|
|
|
Г. Мышечная. |
|
|
|
|
Д. Нервная. |
|
|
|
|
Рис.1.33 |
|
|
|
|
|
|
ЗАДАНИЕ 1.34 |
||
|
|
В |
препарате |
определяется |
|
|
|
ткань, состоящая из структур, |
|||
|
|
обозначенных |
на |
рис.1.34. |
|
|
Нервные |
Укажите тип ткани. |
|
||
|
|
|
|
|
|
|
клетки |
А. Эпителиальная. |
|
||
|
|
Б. Ткань внутренней среды. |
|||
|
|
В. Кровь. |
|
|
|
|
|
Г. Мышечная. |
|
|
|
Глиальные |
Д. Нервная. |
|
|
||
|
клетки |
|
|
|
|
|
|
Рис.1.34 |
|
|
|
1.5 |
Морфофункциональная классификация эпителиальных тканей. |
|
|
||
Поверхностный |
|
ЗАДАНИЕ 1.35 |
||||
В |
стене |
мочевого |
пузыря |
|||
слой клеток |
||||||
определяется |
пограничная |
|||||
|
||||||
|
ткань, состоящая из структур, |
|||||
|
обозначенных |
на |
рис.1.35. |
|||
|
Укажите тип ткани. |
|
||||
Промежуточный |
А. Эпителиальная. |
|
||||
слой клеток |
Б. Ткань внутренней среды. |
|||||
|
В. Кровь. |
|
|
|
||
|
Г. Мышечная. |
|
|
|||
Базальный |
Д. Нервная. |
|
|
|
||
|
|
|
|
|
||
слой клеток |
|
|
|
|
|
|
|
Рис.1.35 |
|
|
|
|
|
|
|
16 |
|
|
|
ЗАДАНИЕ 1.36 |
|
||
|
В стенке бронха |
определяется |
||
|
эпителиальная |
ткань, |
с |
|
Каемчатые клетки |
базальной мембраной которой |
|||
связаны клетки, |
обозначенные |
|||
|
||||
|
на рис.1.36. Укажить вид |
|||
|
эпителия. |
|
|
|
|
А. Однослойный. |
|
|
|
Бокаловидные |
Б. Многослойный. |
|
|
|
клетки |
В. Сенсорный. |
|
|
|
|
Г. Железистый. |
|
|
|
|
Д. Однослойный многорядный. |
|
||
|
Рис.1.36 |
|
|
|
|
ЗАДАНИЕ 1.37 |
|
||
Реснитчатые |
В стенке бронха |
определяется |
||
эпителиальная |
ткань, |
с |
||
клетки |
||||
базальной мембраной которой |
||||
|
||||
|
связаны клетки, |
обозначенные |
||
|
на рис.1.37. Укажить вид |
|||
|
эпителия. |
|
|
|
Вставочные |
А. Однослойный. |
|
|
|
Б. Многослойный. |
|
|
||
клетки |
|
|
||
В. Сенсорный. |
|
|
||
|
|
|
||
Базальные |
Г. Железистый. |
|
|
|
Д. Однослойный |
|
|
||
клетки |
|
|
||
многорядный. |
|
|
||
|
|
|
||
|
Рис.1.37 |
|
|
|
|
ЗАДАНИЕ 1.38 |
|
|
|
В стенке бронха |
определяется |
|
|
эпителиальная |
ткань, |
с |
|
базальной мембраной которой |
||
|
связаны клетки, |
обозначенные |
|
|
на рис.1.38. Укажите вид |
||
|
эпителия. |
|
|
|
А. Однослойный. |
|
|
|
Б. Многослойный. |
|
|
|
В. Сенсорный. |
|
|
Базальный |
Г. Железистый. |
|
|
Д. Однослойный многорядный. |
|
||
слой клеток |
|
||
|
|
|
|
|
Рис.1.38 |
|
|
|
|
|
|
|
|
|
17 |
|
Роговой |
|
|
ЗАДАНИЕ 1.39 |
|
||||
|
|
|
|
|||||
Зернистый |
На |
поверхности |
кожи |
лица |
||||
определяется |
ткань, |
состоящая |
||||||
|
||||||||
|
из |
нескольких |
структурных |
|||||
|
слоев, |
представленных |
на |
|||||
Шиповатый |
рис.1.39. Определите функцио- |
|||||||
нальный тип данной ткани. |
|
|||||||
|
|
|||||||
|
А. Покровный эпителий. |
|
||||||
Базальный |
Б. Выстилающий эпителий. |
|
||||||
В. Железистый эпителий. |
|
|||||||
|
|
|||||||
|
Г. Миоэпителий. |
|
|
|
||||
|
Д. Сенсорный эпителий. |
|
||||||
|
Рис.1.39 |
|
|
|
|
|
|
|
|
|
|
ЗАДАНИЕ 1.40 |
|
||||
Бокаловидная |
В |
|
препарате |
|
слизистой |
|||
клетка |
оболочки |
тонкой |
кишки |
|||||
|
||||||||
|
определяется |
ткань, |
состоящая |
|||||
|
из одного слоя клеток, |
|||||||
Столбчатые |
обозначенных |
|
на |
рис.1.40. |
||||
клетки |
Определите |
функциональный |
||||||
|
||||||||
|
тип данной ткани. |
|
|
|||||
|
А. Покровный эпителий. |
|
||||||
|
Б. Выстилающий эпителий. |
|||||||
|
В. Железистый эпителий. |
|
||||||
|
Г. Миоэпителий. |
|
|
|
||||
|
Д. Сенсорный эпителий. |
|
||||||
|
Рис.1.40 |
|
|
|
|
|
|
ЗАДАНИЕ 1.41 |
|||
|
В паренхиме слюнной железы |
||||
Мукоциты |
ткань |
формирует |
округлые |
||
структуры, которые состоят из |
|||||
|
|||||
|
одного слоя крупных клеток, |
||||
|
обозначенных |
на |
рис.1.41 |
||
|
Определите |
функциональный |
|||
|
тип данной ткани. |
|
|||
Сероциты |
А. Покровный эпителий. |
||||
Б. Выстилающий эпителий. |
|||||
|
|||||
|
В. Железистый эпителий. |
||||
|
Г. Миоэпителий. |
|
|||
|
Д. Сенсорный эпителий. |
||||
|
Рис.1.41 |
|
|
|
|
|
|
|
|
|
18 |
|
Волосковые |
|
ЗАДАНИЕ 1.42 |
|
|
||
При |
микроскопии |
макулы |
||||
клетки |
||||||
|
сферического |
мешочка |
|
(орган |
||
|
равновесия) |
выявили |
|
пласт |
||
Поддерживаю |
клеток, |
изображенных |
на |
|||
рис.1.42. определите функцио- |
||||||
щие клетки |
||||||
нальный тип данной ткани. |
||||||
|
||||||
|
А. Покровный эпителий. |
|
|
|||
|
Б. Выстилающий эпителий. |
|||||
Базальные |
В. Железистый эпителий. |
|||||
Г. Миоэпителий. |
|
|
||||
клетки |
|
|
||||
|
|
|
|
|
||
|
Д. Сенсорный эпителий. |
|
||||
|
Рис.1.42 |
|
|
|
|
|
1.6. Различные виды покровных эпителиев: источники развития, локализация, |
||||||
особенности строения. |
|
|
|
|
|
|
Эктодерма |
|
ЗАДАНИЕ 1.43 |
|
|
|
|
|
||
|
В препарате зародыша выявили |
|||
|
эмбриональные |
листки, |
||
|
обозначенные на рис.1.43, |
|||
Мезодерма |
которые |
могут |
быть |
|
источником образования одного |
||||
|
||||
|
типа ткани. Укажите данный |
|||
|
тип. |
|
|
|
|
А. Эпителиальные ткани. |
|||
|
Б. Ткани внутренней среды. |
|||
|
В. Соединительные ткани. |
|||
Энтодерма |
Г. Мышечные ткани. |
|
||
Д. Нервная ткань. |
|
|||
|
|
|||
|
Рис.1.43 |
|
|
|
|
ЗАДАНИЕ 1.44 |
|
|
В препарате кожи в составе |
|
|
волосяного фолликула выявили |
|
|
эпителий (стрелка), источник |
|
|
развития которого обозначен на |
|
Кожная эктодерма |
рис.1.44. Назовите гистогенети- |
|
ческий тип данной ткани. |
||
|
||
|
А. Эпидермальный. |
|
|
Б. Энтодермальный. |
|
|
В. Целонефродермальный. |
|
|
Г. Ангиодермальный. |
|
|
Д. Эпендимоглиальный. |
|
|
Рис. 1.44 |
|
19 |
|
|
ЗАДАНИЕ 1.45 |
|
Прехордальная |
В препарате пищевода выявили |
|
эпителий (скобка), источник |
||
пластинка |
||
развития которого обозначен на |
||
|
||
|
рис.1.45. Назовите гистогенети- |
|
|
ческий тип данной ткани. |
|
|
А. Эпидермальный. |
|
|
Б. Энтодермальный. |
|
|
В. Целонефродермальный. |
|
|
Г. Ангиодермальный. |
|
|
Д. Эпендимоглиальный. |
|
|
Рис. 1.45 |
|
|
ЗАДАНИЕ 1.46 |
||||
|
В |
препарате |
почки |
стенка |
||
Нефрогонотом |
почечных |
канальцев |
выстлана |
|||
эпителием (стрелки), источник |
||||||
|
||||||
|
развития которого обозначен на |
|||||
|
рис.1.46. Назовите гистогенети- |
|||||
|
ческий тип данной ткани. |
|||||
|
А. Эпидермальный. |
|
||||
|
Б. Энтодермальный. |
|
||||
|
В. Целонефродермальный. |
|||||
|
Г. Ангиодермальный. |
|
||||
|
Д. Эпендимоглиальный. |
|||||
|
Рис. 1.46 |
|
|
|
|
|
|
|
ЗАДАНИЕ 1.47 |
||||
Спланхнотом |
В |
препарате яичника в стенке |
||||
|
фолликула |
выявили |
эпителий |
|||
|
(стрелка), |
источник |
развития |
|||
|
которого обозначен на рис.1.47. |
|||||
|
Назовите |
гистогенетический |
||||
|
тип данной ткани. |
|
||||
|
А. Эпидермальный. |
|
||||
|
Б. Энтодермальный. |
|
||||
|
В. Целонефродермальный. |
|||||
|
Г. Ангиодермальный. |
|
||||
|
Д. Эпендимоглиальный. |
|||||
|
Рис. 1.47 |
|
|
|
|
|