90
ТЕСТОВОЕ ЗАДАНИЕ 2.5 При окраске мазка крови по Романовскому-Гимзе в препарате выявляются лейкоциты, в
цитоплазме которых видны неспецифические и специфические гранулы. Укажите представителей данной группы форменных элементов.
А. Лимфоциты.
Б. Лимфоциты, эозинофилы, лейкоциты. В. Базофилы эритроциты.
Г. Нейтрофилы, эозинофилы, базофилы. Д. Тромбоциты, нейтрофилы.
ТЕСТОВОЕ ЗАДАНИЕ 2.6 В мазке крови человека выявили структуры,
обозначенные стрелками на рисунке. Назовите данные структуры.
А. Эритроциты. Б. Тромбоциты. В. Лейкоциты.
Г. Постклеточные структуры. Д. Симпласт.
ТЕСТОВОЕ ЗАДАНИЕ 2.7 В мазке крови человека выявили структуры,
обозначенные стрелками на рисунке. Назовите данные структуры.
А. Эритроциты. Б. Тромбоциты. В. Лейкоциты.
Г. Постклеточные структуры. Д. Симпласт.
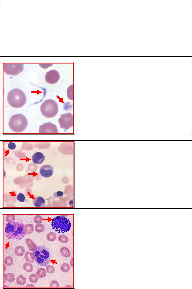
ТЕСТОВОЕ ЗАДАНИЕ 2.8 В мазке крови человека выявили структуры,
обозначенные стрелками на рисунке. Назовите данные структуры.
А. Эритроциты. Б. Тромбоциты. В. Агранулоциты. Г. Гранулоциты. Д. Моноциты.
91
ТЕСТОВОЕ ЗАДАНИЕ 2.9 При электронномикроскопическом исследовании
крови выявили лейкоцит с гранулами, которые обозначены на рисунке стрелками. Назовите данный лейкоцит.
А. Лимфоцит. Б. Базофил. В. Моноцит. Г. Эозинофил.
Д. Нейтрофил.
ТЕСТОВОЕ ЗАДАНИЕ 2.10 При наблюдении лейкоцита в культуре с
антигенами выявили процесс, изображенный на рисунке. Назовите данный процесс.
А. Иммунный контроль.
Б. Секреция содержимого гранул. В. Активная миграция.
Г. Пассивная миграция. Д. Фагоцитоз.
ТЕСТОВОЕ ЗАДАНИЕ 2.11 В мазке крови человека выявили структуры,
обозначенные стрелками на рисунке. Назовите данные структуры.
А. Эритроциты. Б. Тромбоциты. В. Агранулоциты. Г. Гранулоциты. Д. Моноциты.
ТЕСТОВОЕ ЗАДАНИЕ 2.12 При электронномикроскопическом исследовании
крови выявили лейкоцит, представленный на рисунке. Назовите данный лейкоцит.
А. Лимфоцит. Б. Базофил. В. Моноцит. Г. Эозинофил.
Д. Нейтрофил.
92
Актуальность: проблемы регуляции кроветворения занимают главное место в практической гематологии, поскольку именно достоверные современные данные об этапах и особенностях каждого вида гемопоэза помогут врачу верно установить уровень нарушения кроветворения и назначить адекватную терапию пациентам с гемобластозами. Актуальность изучения данного раздела диктует и ухудшение состояния окружающей среды (повышенный радиационный фон, загрязнение воздуха токсичными и агрессивными веществами, употребление генмодифицированных продуктов). Кроме того, современное развитие молекулярной биологии и ее внедрение в практику врача требует точных знаний об особенностях стволовых клеток и их производных.
3.1. Эмбриональный гемопоэз (развитие крови, как ткани), его этапы. |
|
|||
|
Хорион |
|
ЗАДАНИЕ 3.1 |
|
|
В |
препарате |
зародыша |
|
|
выявляются зачатки, обозна- |
|||
|
ченные на рис.3.1, в мезенхиме |
|||
Стебель |
которых |
начинается |
развитие |
|
|
||||
|
клеток крови. Назовите этап |
|||
|
эмбрионального гемопоэза. |
|||
|
А. Мезобластический. |
|||
|
Б. Печеночный. |
|
||
|
В. Костномозговой. |
|
||
|
Г. Экстраваскулярный. |
|||
|
Д. Зародышевый. |
|
||
Желточный |
|
|
|
|
мешок |
|
|
|
|
|
Рис. 3.1 |
|
|
|
ЗАДАНИЕ 3.2 |
|
|
В эмбриональном материале в |
||
стенке внезародышевого органа |
||
(скобка) выявляются клетки, |
||
обозначенные |
стрелкой |
на |
рис.3.2, что позволяет органу |
||
осуществлять |
гемопоэз. |
|
Назовите данные клетки. |
|
|
А. Жировые. |
|
|
Б. Ретикулярные. |
|
|
В. Костномозговые. |
|
|
Г. Стволовые стромальные. |
|
|
Д. Стволовые клетки крови. |
||
Рис. 3.2 |
|
|
|
|
|
|
|
|
93 |
|
1.Округление |
|
|
ЗАДАНИЕ 3.3 |
||||
мезенхимных |
В |
течение |
|
первичной |
|||
клеток. |
|
||||||
(мезобластической) |
стадии |
||||||
2.Укорочение |
|||||||
гемопоэза |
в |
мезенхимных |
|||||
отростков клеток. |
|||||||
|
|
|
|
|
|
||
3.Конденсация |
клетках |
|
стенки |
желточного |
|||
клеток. |
мешка |
|
выявили |
|
изменения, |
||
4.Уплощение |
обозначенные |
|
на |
рис.3.3. |
|||
клеток. |
|
||||||
Назовите данные изменения. |
|||||||
5.Формирование |
|||||||
А. Индукция. |
|
|
|
||||
межклеточных |
|
|
|
||||
|
|
|
|
|
|
||
контактов. |
Б. Детерминация. |
|
|
||||
|
В. Дифференцировка. |
||||||
|
Г. Апоптоз. |
|
|
|
|||
|
Д. Миграция. |
|
|
|
|||
|
Рис. 3.3 |
|
|
|
|
|
|
Эндотелиальные |
|
|
ЗАДАНИЕ 3.4 |
||||
клетки |
|
|
|||||
В мезенхиме желточного мешка |
|||||||
|
|||||||
|
выявили структуру, в составе |
||||||
|
которой |
имеются |
клетки, |
||||
|
обозначенные |
|
на |
рис.3.4. |
|||
Первичные |
Назовите данную структуру. |
||||||
эритробласты |
А. Кровяной островок. |
||||||
|
|||||||
|
Б. Первичный кровеносный |
||||||
|
сосуд. |
|
|
|
|
||
|
В. Эритроидный островок. |
||||||
|
Г. Островок гранулоцитопоэза. |
||||||
|
Д. Герминативный центр. |
||||||
|
Рис. 3.4 |
|
|
|
|
|
Базофильный |
|
|
ЗАДАНИЕ 3.5 |
|
||
|
|
|
|
|
|
|
эритробласт |
Первичный |
При |
микроскопии |
в |
стенке |
|
|
желточного |
мешка |
|
выявили |
||
|
эритроцит |
|
||||
|
различные |
виды |
|
клеток, |
||
Проэритро- |
|
|
||||
|
обозначенные на рис.3.5, для |
|||||
бласты |
|
|||||
|
которых |
родоначальной |
||||
|
|
|||||
|
|
является |
стволовая |
|
клетка |
|
|
|
крови. Укажите вид гемопоэза. |
||||
|
|
А. Мегалобластический. |
||||
Полихромато- |
|
Б. Нормобластический. |
|
|||
фильный |
|
|
||||
|
В. Медуллярный. |
|
|
|||
эритробласт |
|
|
|
|||
|
Г. Экстраваскулярный. |
|
||||
|
|
|
||||
|
|
Д. Интраваскулярный. |
|
|||
|
Рис. 3.5 |
|
|
|
|
|
|
|
|
|
|
|
|
94 |
|
Базофильный |
Оксифильный эритробласт |
|
ЗАДАНИЕ 3.6 |
|
|
|||
эритробласт |
|
|
|
|||||
|
|
|
|
|||||
|
|
В препарате желточного мешка |
||||||
|
|
выявили |
|
различные |
виды |
|||
|
|
клеток, |
|
обозначенные |
на |
|||
|
|
рис.3.6, |
|
для |
которых |
|||
Вторичный |
|
родоначальной |
является |
|||||
|
|
|
|
|
|
|
||
эритроцит |
|
стволовая |
клетка |
крови. |
||||
|
|
Укажите вид гемопоэза. |
|
|
||||
|
|
А. Мегалобластический. |
|
|
||||
|
|
Б. Нормобластический. |
|
|
||||
|
|
В. Медуллярный. |
|
|
|
|||
|
|
Г. Экстраваскулярный. |
|
|
||||
|
|
Д. Интраваскулярный. |
|
|
||||
|
Рис. 3.6 |
|
|
|
|
|
|
|
|
Клетки |
|
ЗАДАНИЕ 3.7 |
|
|
|||
Базофильный |
гранулоцитопоэза |
|
|
|
||||
При исследовании абортивного |
||||||||
эритробласт |
|
|||||||
|
материала |
обнаружили |
стенку |
|||||
|
|
|||||||
|
|
органа, в составе которой |
||||||
|
|
находились |
|
структуры, |
||||
|
|
обозначенные |
на |
рис.3.7. |
||||
|
|
Укажите орган. |
|
|
|
|||
|
|
А. Желточный мешок. |
|
|
||||
|
|
Б. Печень. |
|
|
|
|
||
|
|
В. Селезенка. |
|
|
|
|||
Полихроматофильный |
Первичный |
Г. Тимус. |
|
|
|
|
||
эритробласт |
|
|
|
|
||||
Д. Красный костный мозг. |
|
|||||||
эритроцит |
|
|||||||
|
|
|||||||
|
Рис. 3.7 |
|
|
|
|
|
|
|
Базофильный |
|
|
ЗАДАНИЕ 3.8 |
|
|
|||
эритробласт |
Гранулоцит |
При исследовании абортивного |
||||||
|
||||||||
|
материала |
обнаружили |
стенку |
|||||
|
|
|||||||
|
|
внезародышевого |
органа, |
в |
||||
|
|
составе |
которой |
находились |
||||
|
|
структуры, |
обозначенные |
на |
||||
|
|
рис.3.8. Укажите срок эмбрио- |
||||||
|
|
генеза человека. |
|
|
|
|||
|
|
А. 1-2-я недели. |
|
|
|
|||
|
|
Б. 5-6-я недели. |
|
|
|
|||
|
|
В. 4-й месяц. |
|
|
|
|||
Вторичный |
|
Г. 6-й месяц. |
|
|
|
|||
эритроцит |
Рис. 3.8 |
Д. 9-й месяц. |
|
|
|
|||
|
|
|
|
|
|
|
||