Материал: 44_Spetsificheskie_zabolevania_chelyusto-litsevoy_oblasti_Aktinomikoz_Tuberkulyoz_Sifilis

Внимание! Если размещение файла нарушает Ваши авторские права, то обязательно сообщите нам

Ситуационная задача №44

Пациент А., 18 лет, обратился с жалобами на припухлость на боковой поверхности шеи слева, общую слабость, потерю аппетита.

Анамнез развития заболевания. При профилактическом осмотре терапевтом обнаружены увеличенные шейные лимфатические узлы слева. Пациент ранее не обследовался.

Анамнез жизни. Три месяца назад перенес пневмонию. ВИЧ, гепатит отрицает. Страдает хроническим тонзиллитом.

Объективно. Общее состояние удовлетворительное. Температура тела 37,5°С. Лицо симметричное. Кожа физиологической окраски. Вдоль заднего края кивательной мышцы и в поднижнечелюстной области слева пальпируются болезненные лимфатические узлы плотной консистенции, с  бугристой поверхностью, четкими границами, размерами от 1 см до 2,5 см в диаметре.   Открывание рта свободное.

Слизистая оболочка полости рта бледно-розового цвета, влажная. Язык чистый, влажный. На зубах мягкий зубной налет.

1.Поставьте предварительный диагноз и обоснуйте его.

2.Объясните возможную причину заболевания.

3.Какие дополнительные методы обследования необходимы для уточнения клинического диагноза?

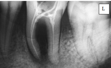
4.Назовите снимок, опишите 3.6 зуб.

5.Проведите дифференциальный диагноз заболевания.

6.      Составьте план лечения

Ответ:

1. предварит.диагноз: основное заболевание – (вторичный) туберкулезный лимфаденит подн/ч области слева и бокового отдела шеи слева. Сопут. Заболевания – хр. Тонзиллит. Обоснование: жалобы (жалобами на припухлость на боковой поверхности шеи слева, общую слабость, потерю аппетита), анамнез заболевания (При профилактическом осмотре терапевтом обнаружены увеличенные шейные лимфатические узлы слева), осмотр (Общее состояние удовлетворительное. Температура тела 37,5°С. – СИМПТОМЫ ОБЩЕЙ ИНТОКСИКАЦИИ. Вдоль заднего края кивательной мышцы и в поднижнечелюстной области слева пальпируются болезненные лимфатические узлы плотной консистенции, с  бугристой поверхностью, четкими границами, размерами от 1 см до 2,5 см в диаметре)

2. МИКОБАКТЕРИИ ТУБЕРКУЛЕЗА

3. Доп. Методы

  • Туберкулинодиагностика (пробы Манту, Перке, Коха)

  • РГ метод исследования легких

  • Достоверный метод: ПА исследование тканей из очага

4. название – внутриротовая рентгенограмма зуба 3.6

По снимку всё понятно основное, самое главное: деструкция костной ткани в области бифуркации корней и в области медиального корня, а также расширение период.щели

5. Диф.диагноз

С хроническим лимфаденитом

Еще с:

6. План лечения: