Материал: 26-28_VICh

Внимание! Если размещение файла нарушает Ваши авторские права, то обязательно сообщите нам

Ситуационная задача №26

Пациент Н., 20 лет, обратился с жалобами  на болезненность в  языке, невозможность приема пищи, наличие серого налета в полости рта, общее недомогание.

Анамнез развития заболевания. Болен 3 недели. Причину заболевания назвать не может.

Анамнез жизни. Болеет  ОРЗ 5-6 раз в год. Гепатит, туберкулез, сифилис отрицает. Курит с 15 лет. Аллергоанамнез  без особенностей.

Объективно. Общее состояние средней тяжести. Лицо симметричное. Кожный покров с сероватым оттенком.  В правой и левой поднижнечелюстных областях пальпируются лимфатические узлы с бугристой поверхностью, плотный консистенции,   безболезненные, подвижные  размерами 2,0х1,5х0,4 см. Открывание рта свободное.

При осмотре полости рта обнаружен серо-белого цвета налет, покрывающий слизистую оболочку щек, языка, твердого неба, который при соскабливании снимается с обнажением эрозивной поверхности. Имеются разрушенные зубы в полости рта. Определяется большое количество мягкого   и плотного зубного налета.

1.Поставьте предварительный диагноз и обоснуйте его.

2.Какие данные анамнеза можно уточнить у пациента?

3.Объясните возможную причину заболевания.

4. Составьте план дополнительного обследования пациента.

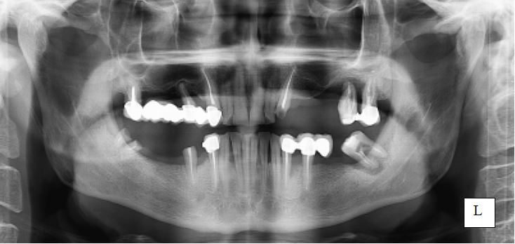
5. Назовите снимок, опишите 3.7 зуб

6. Составьте план лечения

  1. ВИЧ инфекция (4А стадия). Кандидоз. Так как СОПР поражена грибковым заболеванием. В анамнезе частые простудные заболевания. Длительность настоящего заболевания

  2. Наличие наркозависимости, переливание крови в течение жизни, операции по пересадке органов, использование контрацептивов при половых актах.

  3. Как и 2

  4. ОАК, ИФА, ПЦР, БХ, иммуноблоттинг.

Все вариации ИФА основаны на способности антител специфически взаимодействовать только с "собственными" антигенами, т.е. на иммунологической реакции "антиген-антитело".

Наибольшее распространение получил гетерогенный вариант иммуноферментного анализа, при котором антиген (определяемое соединение) или антитела фиксируется на твердой основе, в качестве которой могут выступать полистироловый планшет, полистироловые бусины, пористая подложка или магнитный носитель. Анализ проводят в 3 стадии. В лунку планшета, содержащую на своих стенках тот или иной антиген (т.е. один из белков вируса), добавляют исследуемый биологический материал - сыворотку крови больного. При наличии в организме инфекционного агента, в сыворотке появляются антитела к нему. Они прочно связываются с антигеном и не удаляются при последующей промывке чашки.

На следующем этапе необходимо определить, образовался или нет в лунке иммунный комплекс, то есть произошло ли соединение антигена с антителом. Простым глазом или под микроскопом это нельзя увидеть, поэтому требуются следующие две стадии, которые можно назвать проявляющими.

На второй стадии анализа в лунку вносят специальные (реагирующие с разными антителами) антитела с заранее прикрепленным к ним ферментом (поэтому метод называется ферментным). Слитый в единый комплекс "антитело-фермент" (конъюгат) способен связаться с антителами, уже зацепившимися за антиген, который закреплен на твердой подложке. В результате возникает "молекулярная цепочка", на одном конце которой вирусный белок, а на другом - фермент. После отмывки весь этот многослойный "пирог" остается в лунке планшета. Теперь нужно обнаружить активность фермента, чтобы сделать вывод о наличие антитела. Для этого на третьей стадии в ту же лунку вносят раствор субстрата и специального бесцветного вещества - хромогена, который способен окрашиваться в результате серии биохимических реакций, осуществляемых присутствующим в лунке ферментом. Если в лунке появляется окраска, это означает, что все элементы цепочки присутствуют. Из этого следует вывод: в крови пациента имеются антитела к антигенам ВИЧ и, следовательно, сам пациент инфицирован этим вирусом.

Существуют и другие варианты метода ИФА. Например, можно детектировать не антитела, а сам антиген. Процедура в целом будет похожей, хотя немного более сложной.

Иммунный блоттинг (иммуноблот, Western Blot, вестерн-блот) - сочетает в себе иммуноферментный анализ (ИФА) с предварительным электрофоретическим переносом на нитроцеллюлозную полоску (стрип) антигенов вируса.

В этом красивом ученом названии «blot» переводится скорее всего как «клякса», а «western» - как « западная» отражает направление распространения этой «кляксы» по бумаге слева направо, то есть на географической карте это соответствует направлению с запада на восток.». Суть метода «иммунный блот» заключается в том, что иммуноферментную реакцию проводят не со смесью антигенов, а с антигенами ВИЧ, предварительно распределенными методом иммунофореза по фракциям, располагающимся согласно молекулярному весу по поверхности нитроцеллюлозной мембраны. В результате основные белки ВИЧ, носители антигенных детерминант, распределяются по поверхности в виде отдельных полос, которые и проявляются при проведении иммуноферментной реакции.

Иммуноблот включает в себя несколько стадий:

Подготовка стрипа. Предварительно очищенный и разрушенный до составных компонентов вирус иммунодефицита (ВИЧ) подвергается электрофорезу, при этом входящие в состав ВИЧ антигены разделяются по молекулярному весу. Затем методом блоттинга (аналог выдавливания на "промокашку" избытка чернил) антигены переносят на полоску нитроцеллюлозы, которая отныне содержит невидимый пока глазом спектр антигенных полос, характерный для ВИЧ.

Исследование пробы. На нитроцеллюлозную полоску наносится исследуемый материал (сыворотка, плазма крови пациента и т.п.), и если в пробе есть специфические антитела, то они связываются со строго соответствующими им (комплиментарными) антигенными полосами. В результате последующих манипуляций результат этого взаимодействия визуализируется - делается видимым.

Трактовка результата. Наличие полос в на определённых участках нитроцеллюлозной пластины подтверждает присутствие в исследованной сыворотке антител к строго определённым антигенам ВИЧ.

  • Полоска А - Положительный контроль

  • Полоска В - Слабоположительный контроль

  • Полоска С - Отрицательный контроль

  • Полоска D - Положительный образец (обнаружено присутствие антител к ВИЧ-1)

  1. Панорамная томограмма ЗЧС

  2. Антиретровирусная терапия. удаление зуба 3.7. Патогенетическая терапия кандидоза, противогрибковые средства.

Ситуационная задача №27

Пациент Ф., 32 лет, обратился к стоматологу с жалобой на появление белесоватых высыпаний в полости рта.

Анамнез развития заболевания. Обратил внимание на изменение слизистой оболочки полости рта неделю назад. Болевых ощущений не отмечает. Причину назвать не может. 2 года назад изготовлен мостовидный протез на верхнюю челюсть в месте отсутствующего 2.6 зуба.

Анамнез жизни. Гепатит, туберкулез, сифилис отрицает. Аллергии нет. Курит в течение 5 лет. Соматически считает себя здоровым.

Объективно. Общее состояние удовлетворительное. Лицо симметричное. Кожа физиологической окраски. В поднижнечелюстных областях  с двух сторон пальпируются три лимфатических узла плотной консистенции, безболезненные, округлой формы до 1 см в диаметре. Открывание рта свободное.

При осмотре полости рта на слизистой оболочке  твердого и мягкого неба имеется  белесоватый налет с шероховатой поверхностью, четкими границами, не снимающийся при соскабливании.

1.Поставьте предварительный диагноз и обоснуйте его.

2.Какие данные анамнеза можно уточнить у пациента?

3.Объясните возможную причину заболевания

4.Составьте план дополнительного обследования пациента.

5.Назовите снимок, опишите 3.6 зуб.

6.    Составьте план лечения

1. ВИЧ инфекция (4А стадия). Так как СОПР поражена грибковым заболеванием. В анамнезе частые простудные заболевания. Длительность настоящего заболевания

2. Наличие наркозависимости, переливание крови в течение жизни, операции по пересадке органов, использование контрацептивов при половых актах.

3. Как и 2

4. ОАК, ИФА, ПЦР, БХ, иммуноблоттинг.

5. Внутриротовой дентальный снимок 3.6

6. Антиретровирусная терапия. удаление зуба 3.6. Патогенетическая терапия кандидоза, противогрибковые средства.

Ситуационная задача №28

Пациент Ш., 24 лет, во время прохождения профилактического осмотра предъявил жалобы на увеличение шейных лимфатических узлов с обеих сторон.

Анамнез развития заболевания. В течение месяца до обращения к врачу отмечал насморк, сухой кашель, умеренную боль в горле при глотании.

Анамнез жизни. Гепатит С установлен 2 года назад. Туберкулез, сифилис отрицает. Аллергоанамнез без особенностей. Признает факт употребления наркотических средств (героин) внутривенно в течение последнего года.

Объективно. Общее состояние удовлетворительное. Лицо симметричное. Кожа физиологической окраски. Пальпируются увеличенные до 2 см множественные лимфатические узлы в поднижнечелюстных областях, вдоль кивательных мышц, плотной консистенции, слабо болезненные. Открывание рта свободное.

При осмотре полости рта выявлена умеренная гиперемия слизистой оболочки зева, увеличение небных миндалин.

1.Поставьте предварительный диагноз и обоснуйте его.

2.Объясните возможную причину заболевания.

3.Составьте план дополнительного обследования.

4.Назовите снимок, опишите 3.6 зуб.

5.Какие заболевания необходимо дифференцировать в данном случае?

6.   Составьте план лечения.

1. ВИЧ инфекция (стадию трудно поставить)

2. Наркозависимость

3. как в предыдущих

4. Внутриротовая дентальная рентгенограмма зуба 3.6

5. Туберкулез, сифилис, актиномикоз, лимфогранулематоз, лимфосаркома

6. Антиретровирусная терапия, физиотерапия л/у