Материал: 2020 Практическое занятие № 9

Внимание! Если размещение файла нарушает Ваши авторские права, то обязательно сообщите нам

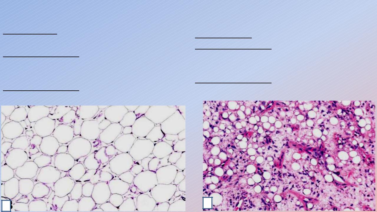
Опухоли из жировой ткани

1. Липома:

Локализация: везде, где есть жировая клетчатка.

Макроскопически: дольчатое узловое образование в капсуле, мягкой консистенции, желтого цвета.

Микроскопически: состоит из дифференцированных адипоцитов (1).

2. Липосаркома:

Локализация: та же, что и липома. Макроскопически: узловое образование без четких границ, мягкой консистенции, желтого цвета.

Микроскопически: состоит из недифференцированных адипоцитов(2).

1

2

 

3. Гибернома – доброкачественная опухоль из бурой жировой клетчатки. Локализация: межлопаточная область, щеки.

Макроскопически: дольчатое образование в капсуле желто-коричневого цвета, с мягкой губчатой поверхностью.

Микроскопически: состоит из круглых клеток с зернистой или пенистой цитоплазмой (1).

1

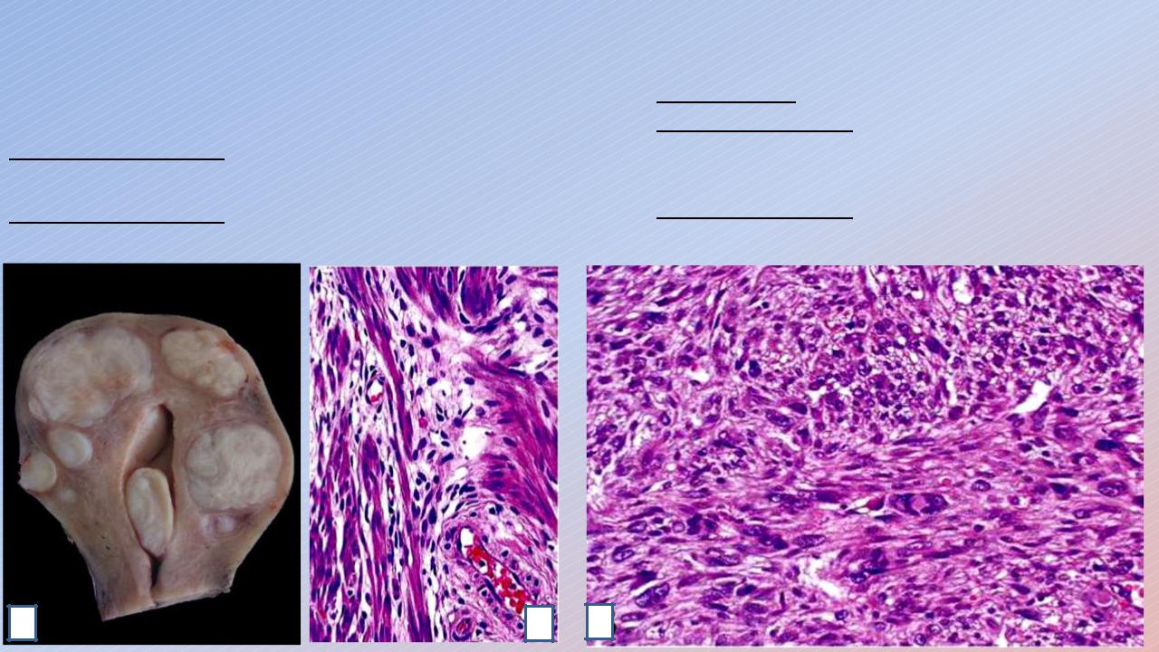
Опухоли из гладкомышечной ткани

1. Лейомиома.

Локализация: забрюшинное пространство, матка, мочевой пузырь, желудок.

Макроскопически: узел, дольчатый, в капсуле,

плотной консистенции, белого цвета (1). Микроскопически: состоит из дифференцированных хаотично расположенных ГМК (2).

2. Лейомиосаркома.

Локализация: та же, что и лейомиома.

Макроскопически: узел без четких границ,

дольчатый, плотной консистенции, белого цвета.

Микроскопически: состоит из недифференцированных ГМК (3).

1

2

3

Опухоли из поперечнополосатой мышечной ткани

1. Рабдомиома.

2. Рабдомиосаркома.

Локализация: скелетные мышцы.

Локализация: та же, что и рабдомиома.

Макроскопически: узел, в капсуле или с

Макроскопически: узел красного цвета без

инфильтрирующим ростом, красного цвета.

четких границ.

Микроскопически: состоит из хаотично

расположенных мышечных клеток различной

Микроскопически: состоит из атипичных

формы, в которых обнаруживается

клеток с выраженным полиморфизмом(3).

поперечная исчерченность (1).

 

1

2

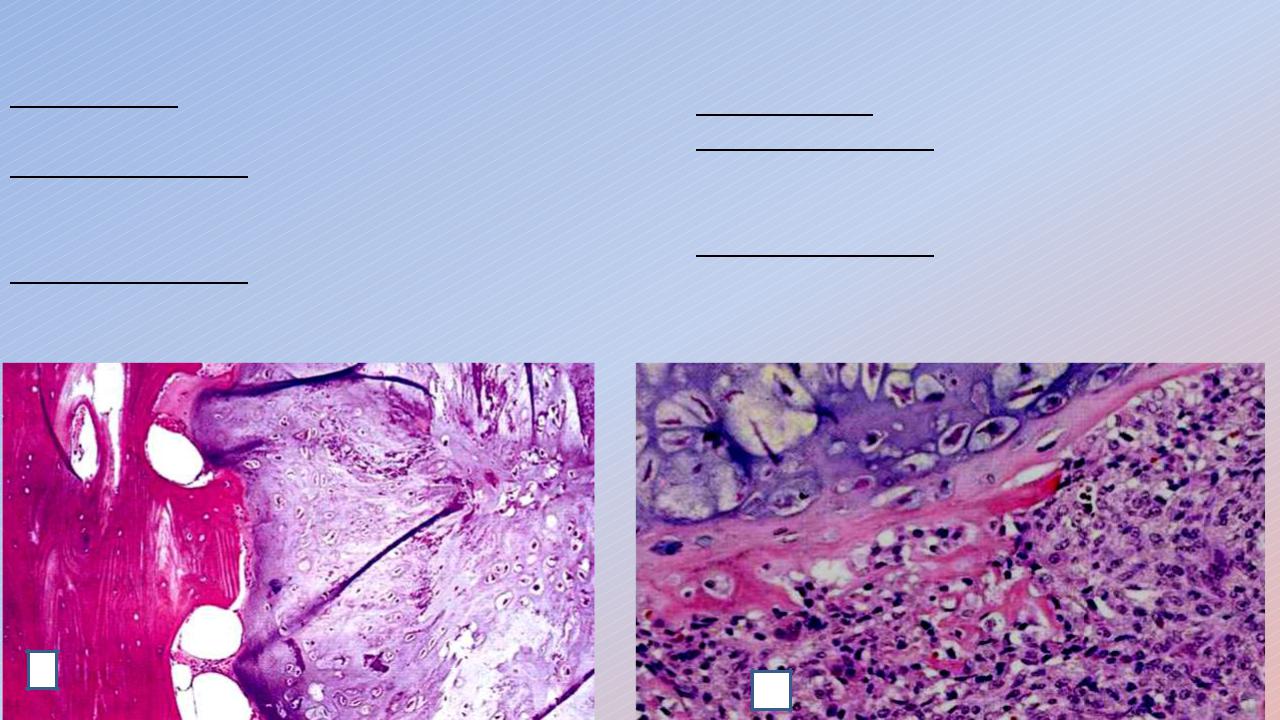
Опухоли из хрящевой ткани

1. Хондрома:

Локализация: кости кисти, стопы, таза, позвонки, грудина.

Макроскопически: узловое образование в капсуле, плотной консистенции серо-белого цвета, часто крупных размеров.

Микроскопически: состоит из беспорядочно расположенных дифференцированных клеток гиалинового хряща (1).

2. Хондросаркома:

Локализация: та же, что и хондрома. Макроскопически: образование без четких границ плотной консистенции серо-белого цвета.

Микроскопически: состоит из беспорядочно расположенных недифференцированных клеток гиалинового хряща (2).

1

2