Материал: Задание+3.+Обратимые+повреждения+_дистрофии-1_

Внимание! Если размещение файла нарушает Ваши авторские права, то обязательно сообщите нам

ФГБОУ ВО «УРАЛЬСКИЙ ГОСУДАРСТВЕННЫЙ МЕДИЦИНСКИЙ УНИВЕРСИТЕТ»

Министерства здравоохранения Российской Федерации

Кафедра патологической анатомии и судебной медицины

«Утверждаю»

Заведующий кафедрой

Д.м.н., проф. ____________ Л.М. Гринберг

МЕТОДИЧЕСКАЯ РАЗРАБОТКА К ПРАКТИЧЕСКОМУ ЗАНЯТИЮ для студентов

(учебное задание)

ООП специальности 31.05.02 «Педиатрия»

Дисциплина Б1.Б.22 «Патологическая анатомия, клиническая патологическая анатомия»

ТЕМА ЗАНЯТИЯ: ОБРАТИМЫЕ ПОВРЕЖДЕНИЯ. ЭНДОГЕННЫЕ И ЭКЗОГЕННЫЕ ВНУТРИ- И ВНЕКЛЕТОЧНЫЕ НАКОПЛЕНИЯ (ПАРЕНХИМАТОЗНЫЕ И СТРОМАЛЬНО-СОСУДИСТЫЕ ДИСТРОФИИ).

  1. УЧЕБНАЯ ЦЕЛЬ ЗАНЯТИЯ: усвоить сущность структурной перестройки клеток (тканей) при нарушении клеточного (тканевого) метаболизма, как наиболее древнего в онтогенезе процесса, носящего универсальный характер и постоянно встречающегося в патологии (нозологии).

  1. ЗАДАЧИ ЗАНЯТИЯ:

3.1.Выяснить причины и морфогенетические механизмы развития дистрофий.

3.2. Изучить основные принципы классификации дистрофического процесса.

3.3. Изучить морфологические проявления отельных видов дистрофий, их роль в патологии (нозологии).

3.4. Усвоить сущность структурной перестройки клеток (тканей) при нарушении клеточного (тканевого) метаболизма, как наиболее древнего в онтогенезе процесса, носящего универсальный характер и постоянно встречающегося в патологии (нозологии).

3.5. Научиться диагностировать смешанные дистрофии на основании описания макропрепаратов и микроскопического исследования микропрепаратов.

шифр

Содержание компетенции

знать

уметь

владеть

ОК-№1

способностью и готовностью анализировать социально значимые проблемы и процессы, использовать на практике методы гуманитарных, естественнонаучных, медико-биологических и клинических наук в различных видах профессиональной и социальной деятельности

- анатомо-физиологические, возрастно-половые и индивидуальные особенности строения и развития организма человека;

- понятия этиологии, патогенеза, морфогенеза, патоморфоза болезни, принципы классификации болезней; основные понятия общей нозологии;

- функциональные системы организма человека, их регуляция и саморегуляция при воздействии с внешней средой в норме и при дистрофиях.

- работать с увеличительной техникой (микроскоп);

- оценить гистофизиологическое состояние основных клеточных, тканевых и органных структур организма при дистрофиях;

- описывать морфологические изменения изучаемых макроскопических, микроскопических препаратов и электроннограмм при дистрофиях

- дифференцировать на микро и макро препаратах при дистрофиях

- медико-функциональным понятийным аппаратом;

- умения узнавать макро и микро- изменения тканей и органов при дистрофиях

ОК-1

способностью к абстрактному мышлению, анализу, синтезу

ОК- 2

способностью использовать основы философских знаний для формирования мировоззренческой позиции

ОК- 5

готовностью к саморазвитию, самореализации, самообразованию, использованию творческого потенциала

ОК-8

готовностью к работе в коллективе, толерантно воспринимать социальные, этнические, конфессиональные и культурные различия

ОПК-1

готовностью решать стандартные задачи профессиональной деятельности с использованием информационных, библиографических ресурсов, медико-биологической терминологии, информационно-коммуникационных технологий и учетом основных требований информационной безопасности

ОПК-3

способностью использовать основы экономических и правовых знаний в профессиональной деятельности

ОПК-4

способностью и готовностью реализовать этические и деонтологические принципы в профессиональной деятельности

ОПК- 6

готовностью к ведению медицинской документации

ОПК-9

способностью к оценке морфофункциональных, физиологических состояний и патологических процессов в организме человека для решения профессиональных задач

ПК-5

готовностью к сбору и анализу жалоб пациента, данных его анамнеза, результатов осмотра, лабораторных, инструментальных, патолого-анатомических и иных исследований в целях распознавания состояния или установления факта наличия или отсутствия заболевания

ПК-6

способностью к определению у пациентов основных патологических состояний, симптомов, синдромов заболеваний, нозологических форм в соответствии с Международной статистической классификацией болезней и проблем, связанных со здоровьем - X пересмотр, принятой 43-ей Всемирной Ассамблеей Здравоохранения, г. Женева, 1989 г.

  1. ПРОДОЛЖИТЕЛЬНОСТЬ ЗАНЯТИЯ: 3 часа

  1. МЕСТО ПРОВЕДЕНИЯ ЗАНЯТИЯ: учебная комната

  1. ОСНАЩЕНИЕ ЗАНЯТИЯ:

6.1. Методическая разработка для преподавателей

6.2. Учебное задание для студентов

6.3. Тесты и эталоны программированного контроля

6.4. Микроскопы

6.5. Таблицы:

6.4. Изучить таблицы: № 16, №17, №22, №23, № 24, № 31.

6.5. Описать по схеме и сделать заключение по макропрепаратам: № 1, 2, № 3, 4, № 11, 15, 330.

6.6. Изучить, зарисовать и отметить существенные элементы на микропрепаратах:

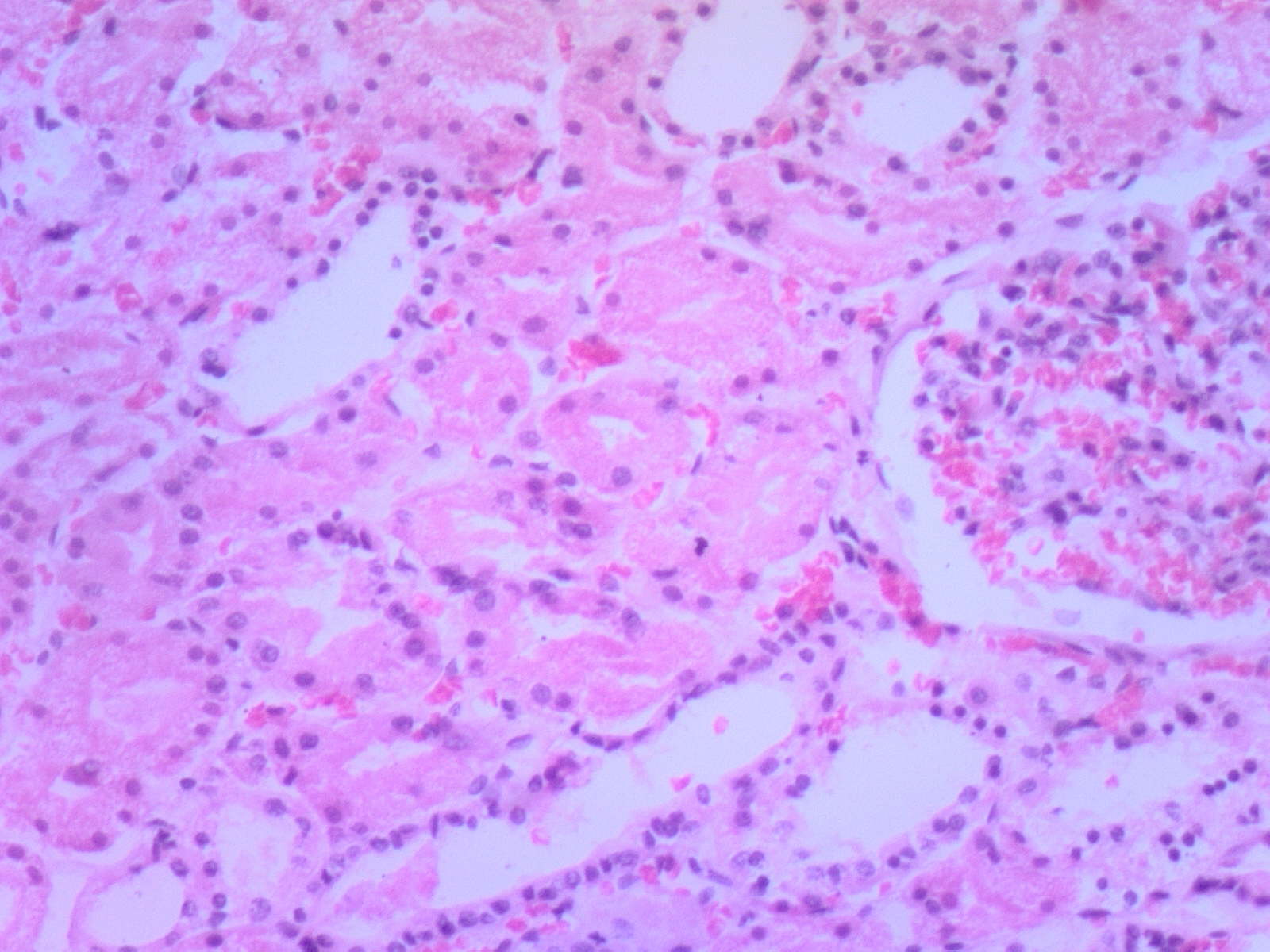
20. Гиалиново-капельная дистрофия эпителия извитых канальцев почки

Наибольшие изменения определяются в извитых канальцах первого и второго порядка, расположенных около клубочков. На большем увеличении — цитоплазма эпителиальных клеток содержит мелкие и крупные оксифильные (розовые) зерна. Границы клеток размытые, апикальная часть разрушена, в просвете канальцев оксифильные крупные зерна и глыбки. В одних клетках ядра отсутствуют, в других прослеживаются контуры их, в третьих- ядро сохранено. Эпителиальная выстилка прямых канальцев не изменена, в просвете их встречается оксифильные зернистые и гомогенные цилиндры. Структура клубочков и стромы без особенностей.

Существенные элементы:1. гиалиново-капельная структура цитоплазмы

2. оксифильные глыбки и зерна в просвете извитых канальцев

3. белковые и гиалиновые цилиндры в прямых канальцах

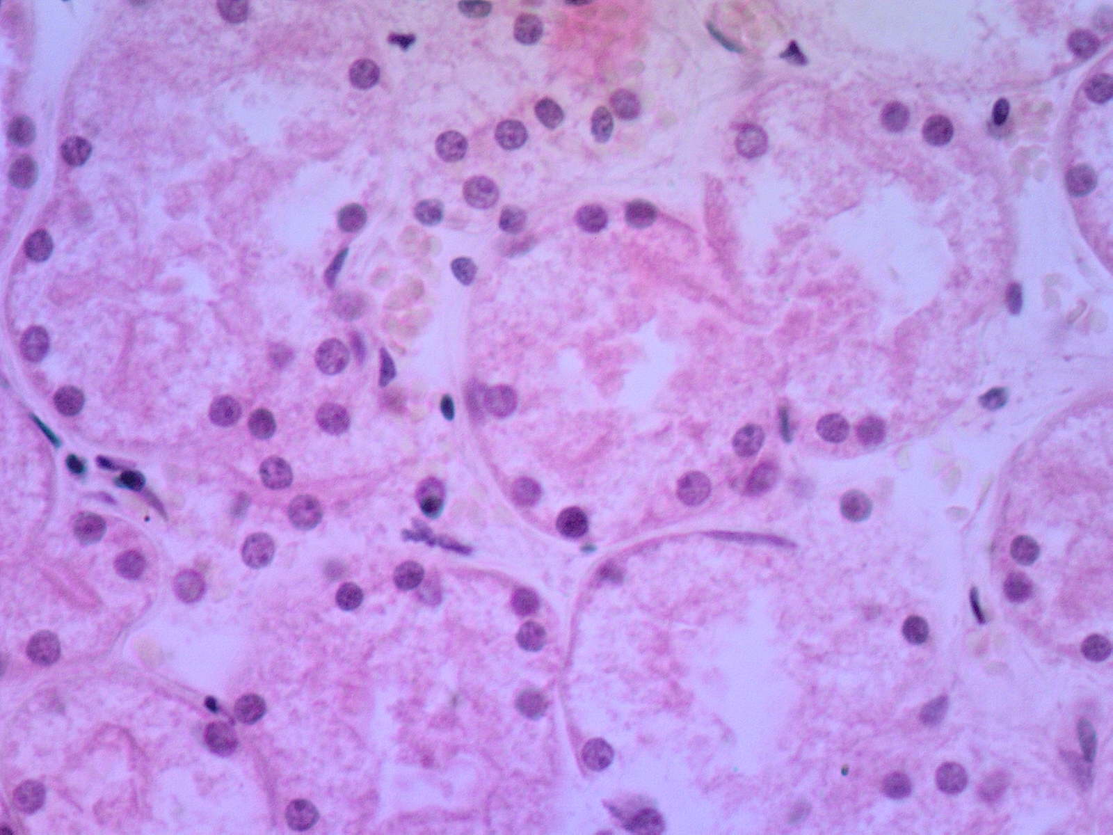
21. Гидропическая дистрофия эпителия извитых канальцев почки

В извитых канальцах первого и второго порядка, расположенных около клубочков, в их эпителии определяется зернистая, гиалиново-капельная к гидрорипическая дистрофии. Водяночная, или гидропическая дистрофия характеризуется наличием в цитоплазме эпителия бесцветных вакуолей различной величины, Канальцы с таким эпителием выделяются в препарате бледной окраской. Ядра в таких клетках набухшие, с рыхлым расположением хроматина. Просвет из витых канальцев значительно сужен. Гидропическая дистрофия наблюдается в эндотелии капиллярных петель, в нефротелии капсулы Шумлянского.

Существенные элементы: 1. вакуольная дистрофия эпителия

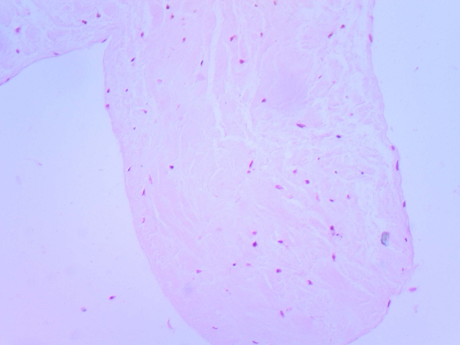
24. Мукоидное набухание створки клапана сердца

Окраска по Хейлу.

Створка клапана утолщена, рыхлая, набухшая, неравномерно окрашена. Имеются участки бледно-розового и различных оттенков синего цвета - базофилия (мукоидное набухание). При окраске по Хейлу эти участки сине-зеленого цвета, при окраске толуидиновым синим они розово-красного цвета (метахромазия).

Существенные элементы: 1. участки мукоидного набухания

2. утолщенная створка

28. Гиалиноз артериол поджелудочной железы

Артериолы поджелудочной железы имеют Узкий просвет за счет утолщения стенки, которая гомогенна, розового цвета. Слоистость не определяется, эндотелий сохранен.

Существенные элементы: 1. Гиалинизированные артериолы

34. Мезенхимальное ожирение сердца.

Подэпикардиальный слой жировой ткани выражен. Поля и не­большие скопления жировых клеток лежат и в глубине мышечного слоя. Мышечные пучки, расположенные среди жировой ткани, со­стоят из истонченных (атрофированных) миоцитов. Разросшаяся жирован ткань прослеживается и по ходу соединительнотканных прослоек.

Существенные элементы: 1. жировая ткань в миокарде

2. атрофичные миоциты

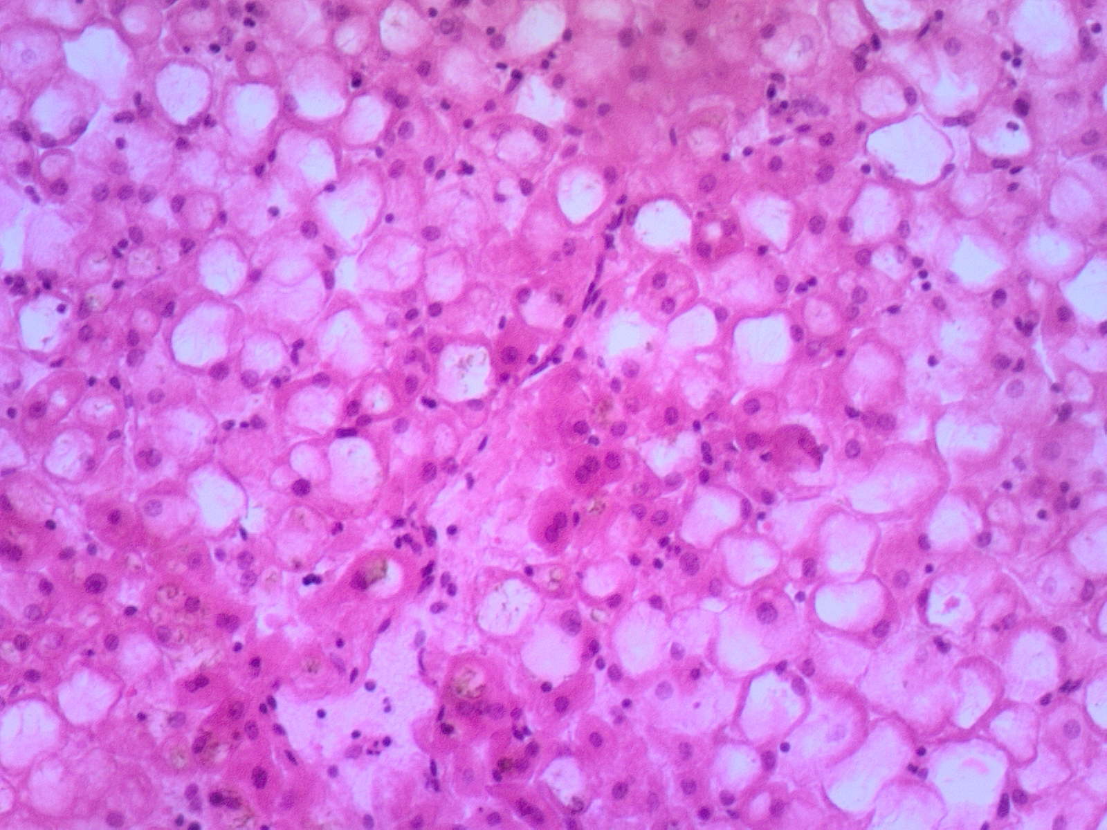
36. Жировая дистрофия печени

Видны многочисленные гепатоциты с «пустой» (вакуолизированной) цитоплазмой. Это ожиревшие печеночные клетки. Округлые пустоты, распределенные в печеночных дольках неравномерно,— это места локализации цитоплазматического жира, который растворил­ся при обработке среза во время его изготовления. При большем увеличении — вакуоли лежат в цитоплазме гепатоцитов, ядра клеток оттеснены на периферию.

Существенные элементы: 1. ожиревшие гепатоциты

6.7 ОЦЕНИВАНИЕ ЗНАНИЙ, УМЕНИЙ, НАВЫКОВ ПО ТЕМЕ ЗАНЯТИЯ

ПРАКТИЧЕСКОЕ ЗАНЯТИЕ – max 2,5 балла:

за тест: 1 б. – оц.-5; 0,7 б. – оц.-4; 0,5б. – оц.-3.

за устный ответ: 1 б. – оц.-5; 0,7 б. – оц.-4; 0,5б. – оц.-3.

Отчет по практической части занятия, по лекции – 0,5 балла

  1. ПЛАН ПРОВЕДЕНИЯ ЗАНЯТИЯ И БЮДЖЕТ УЧЕБНОГО ВРЕМЕНИ:

7.1. Проверка присутствующих 3 мин.

7.2. Контроль входного уровня знаний 10 мин.

7.3. Опрос 20 мин.

7.4. Самостоятельная работа студентов 60 мин.

7.5. Повторный опрос 30 мин.

7.6. Подведение итогов 10 мин.

7.7. Задание к следующему занятию 2 мин.

  1. МЕТОДИЧЕСКИЕ УКАЗАНИЯ К ПРОВЕДЕНИЮ ЗАНЯТИЯ:

8.1. Занятие начать с проверки присутствующих и изложения цели и задач занятия.

8.2.Проведение программированного контроля в течение 10 минут.

8.3.Разбор основных вопросов темы.

Определение. Дистрофия как выражение нарушений тканевого (клеточного) метаболизма и форма повреждения (альтерации). Клеточные и внеклеточные механизмы трофики. Причины развития дистрофий. Морфогенетические механизмы (инфильтрация, извращенный синтез, трансформация, .декомпозиция), структурные уровни проявлений и исхо­ды дистрофий. Классификация дистрофий: в зависимости от преобладания морфологических изменений в специализированных элементах паренхимы или строме и в сосудах (паренхиматозные, стромально-сосудистые, сме­шанные), по преобладанию того или иного вида обмена (белковые, жиро­вые, углеводные, минеральные), в зависимости от влияния генетических факторов (приобретенные, наследственные) и распространенности про­цесса (общие, местные).

Наследственные ферментопатии (болезни накопления) как выраже­ние наследственных дистрофий, их значение в патологии детского воз­раста.

Паренхиматозные дистрофии, их деление на белковые (диспротеинозы), жировые (липидозы) и углеводные.

Паренхиматозные белковые дистрофии: гиалиновокапельная, гидро-дическая, роговая. Морфологическая характеристика, причины, патоге­нез, исход, функциональное значение.

Паренхиматозные жировые дистрофии. Жировая дистрофия мио­карда, печени, почек. Морфологическая характеристика причины, пато­генез, исход. Функциональное значение.

Паренхиматозные углеводные дистрофии. Дистрофии, связанные с нарушением обмена гликогена. Морфология, причины, патогенез нару­шений обмена гликогена при сахарном диабете. Макроглоссия при бо­лезни Помпе.

Дистрофии, связанные с нарушением обмена гликопротеидов. Стромально-сосудистые (мезенхимальные) дистрофии, их деление на бел­ковые (диспротеинозы), жировые (лшшдозы) и углеводные.

Стромально-сосудистые белковые дистрофии: мукоидное набуха­ние, фибриноидное набухание (фибриноид), гиалиноз, амилоидоз. Мор­фологическая характеристика, причины, патогенез, исходы, функцио­нальное значение. Классификация амилоидоза, характеристика его форм. Амилоидоз десен, языка.

Стромально-сосудистые жировые дистрофии, связанные с наруше­нием обмена нейтрального жира или холестерина и его эстеров. Общее ожирение (тучность). Причины, патогенез, морфологическая характерис­тика, классификация. Истощение (кахексия). Причини, патогенез, мор­фологические проявления. Местное ожирение (липоматоз). Доброкачест­венный билатеральный липоматоз шеи.

Стромально-сосудистые углеводные дистрофии, связанные с нару­шением обмена гликопротеидов и гликозаминогликанов. Морфологиче­ская характеристика, причины, патогенез, исходы, функциональное зна­чение.

Преподаватель во время занятия

- координирует работу студентов

-направляет действия студентов при изучении макро- микропрепаратов, давая необходимые разъяснения по ходу работы

-консультирует студентов по вопросам, возникающим в процессе их самостоятельной работы

-проводит в ходе занятия дополнительную проверку степени усвоения информации студентами, задавая им соответствующие теоритические вопросы по ходу самостоятельной работы студентов

-в конце занятия проверяет тетради для практических занятий

-краткое подведение итогов

-объявление темы следующего занятия

10. УЧЕБНО-ИССЛЕДОВАТЕЛЬСКАЯ РАБОТА:

Жировая дистрофия печени, ее значение в клинике (при сахарно диабете, алкоголизме, алиментарных нарушениях и общем ожирении).

Амилоидоз

ЛИТЕРАТУРА ДЛЯ ПОДГОТОВКИ К ЗАНЯТИЮ:

1. Основная:

Лекционный материал

Патология. Под редакцией М.А. Пальцева. – М: «Медицина». – 2017. – В 2 томах.

Зайратьянц О.В. Патологическая анатомия. Атлас

2. Дополнительная:

учебник «Патологическая анатомия», 2017, Т.2, часть 1,

  1. Методическая разработка подготовлена доцентом, к.м.н. А.С. Филатовой

Обсуждена на заседании кафедры № ____ от «___» _______________ 20___ г.