Материал: Задание+23.+Болезни+почек

Внимание! Если размещение файла нарушает Ваши авторские права, то обязательно сообщите нам

ФГБОУ ВО «УРАЛЬСКИЙ ГОСУДАРСТВЕННЫЙ МЕДИЦИНСКИЙ УНИВЕРСИТЕТ»

Министерства здравоохранения Российской Федерации

Кафедра патологической анатомии и судебной медицины

«Утверждаю»

Заведующий кафедрой

Д.м.н., проф. ____________ Л.М. Гринберг

«____» ______________________ 20___ год

МЕТОДИЧЕСКАЯ РАЗРАБОТКА К ПРАКТИЧЕСКОМУ ЗАНЯТИЮ для студентов

(учебное задание)

ООП специальности 31.05.02 «Педиатрия»

Дисциплина Б1.Б.22 «Патологическая анатомия, клиническая патологическая анатомия»

  1. ТЕМА ЗАНЯТИЯ: Заболевания почек. Морфология почечной недостаточности.

  1. УЧЕБНАЯ ЦЕЛЬ ЗАНЯТИЯ: Изучение клинико-морфологической сущности болезней почек.

  2. ЗАДАЧИ ЗАНЯТИЯ:

По окончании занятия студент должен знать:

- этиологию и патогенез болезней почек.

- принципы классификации болезней почек.

- особенности их макроскопических и гистологических изменений при различных формах/ стадиях болезней почек.

- клинико-морфологические особенности течения при различных стадиях/ формах болезней почек.

- осложнения и причины смерти болезнях почек.

Студент должен уметь:

- диагностировать болезни почек.

- проводить дифференциальную диагностику болезни почек.

шифр

Содержание компетенции

знать

уметь

владеть

ОК-1

способностью к абстрактному мышлению, анализу, синтезу

- определение, механизмы развития, разновидности: причины, пато- и морфогенез, этиологию, патоморфоз, принципы классификации клинико-морфологическая характеристику, методы диагностики, исходы различных болезней почек.

- работать с увеличительной техникой (микроскоп);

- оценить гистофизиологическое состояние основных клеточных, тканевых и органных структур организма при;

- описывать морфологические изменения изучаемых макроскопических, микроскопических препаратов и электроннограмм при болезнях почек

- дифференцировать на микро и макро препаратах.

- медико-функциональным понятийным аппаратом;

- методами исследования биопсийного и операционного материала при болезнях почек.

ОК- 2

способностью использовать основы философских знаний для формирования мировоззренческой позиции

ОК- 5

готовностью к саморазвитию, самореализации, самообразованию, использованию творческого потенциала

ОК-8

готовностью к работе в коллективе, толерантно воспринимать социальные, этнические, конфессиональные и культурные различия

ОПК-1

готовностью решать стандартные задачи профессиональной деятельности с использованием информационных, библиографических ресурсов, медико-биологической терминологии, информационно-коммуникационных технологий и учетом основных требований информационной безопасности

ОПК-3

способностью использовать основы экономических и правовых знаний в профессиональной деятельности

ОПК-4

способностью и готовностью реализовать этические и деонтологические принципы в профессиональной деятельности

ОПК- 6

готовностью к ведению медицинской документации

ОПК-9

способностью к оценке морфофункциональных, физиологических состояний и патологических процессов в организме человека для решения профессиональных задач

ПК-5

готовностью к сбору и анализу жалоб пациента, данных его анамнеза, результатов осмотра, лабораторных, инструментальных, патолого-анатомических и иных исследований в целях распознавания состояния или установления факта наличия или отсутствия заболевания

ПК-6

способностью к определению у пациентов основных патологических состояний, симптомов, синдромов заболеваний, нозологических форм в соответствии с Международной статистической классификацией болезней и проблем, связанных со здоровьем - X пересмотр, принятой 43-ей Всемирной Ассамблеей Здравоохранения, г. Женева, 1989 г.

ОК-1

способностью к абстрактному мышлению, анализу, синтезу

ОК- 2

способностью использовать основы философских знаний для формирования мировоззренческой позиции

  1. ПРОДОЛЖИТЕЛЬНОСТЬ ЗАНЯТИЯ: 2 часа

  1. КОНТРОЛЬНЫЕ ВОПРОСЫ ПО ТЕМЕ:

5.1. Проработать тренировочные тесты по теме занятия на сайте кафедры.

5.2. Диагностировать микропрепараты по теме занятия на сайте кафедры.

5.3. Знать теоретический материал:

для успешной работы на практическом занятии необходимо знать теоретический материал.

Этиология, патогенез, морфологическая характеристика, исходы. Общие принципы классификации болезней почек. Гломерулярные болезни почек: гломерулопатии и гломерулонефрит. Нефротический синдром. Мембранозная нефропатия. Липоидный нефроз. Фокальный сегментарный гломерулосклероз. IgA-нефропатия. Фокальный пролиферативный и некротизирующий гломерулонефрит. Уремия.

Тубулопатии. Острый тубулярный некроз канальцев, Тубулоинтерстициальный нефрит. Пиелонефрит и инфекции мочевыводящих путей. Острая и хроническая почечная недостаточность – сравнительная характеристика. Уролитиаз (камни почек). Опухоли почек. Врожденные аномалии развития.

6. ЗАДАНИЯ И МЕТОДИЧЕСКИЕ УКАЗАНИЯ К ИХ ВЫПОЛНЕНИЮ

На занятии студенту необходимо выполнить:

6.1. Ответить на входного тест-контроля

6.2. Ответить на вопросы преподавателя

6.3. Принять участие в обсуждении

6.4. Изучить таблицы: 6,13,15,16,18,24,26,34,48,61.

6.5. Описать по схеме и сделать заключение по макропрепаратам: 182, 183,184, 185, 187, 191, 327, 522, 8

6.6. Изучить, зарисовать и отметить существенные элементы на микропрепаратах:

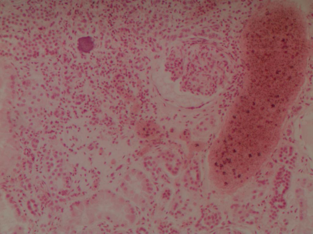
116. Гипернефроидный рак почки

Опухоль состоит из клеток со светлой цитоплазмой. Клетки фор­мируют примитивные железистые комплексы. В опухоли много кро­воизлияний. На большем увеличении в клетках отмечается оптиче­ски пустая цитоплазма и эксцентрично расположенное ядро.

Существенные элементы: 1. опухолевые клетки

2. кровоизлияния

1

2

1

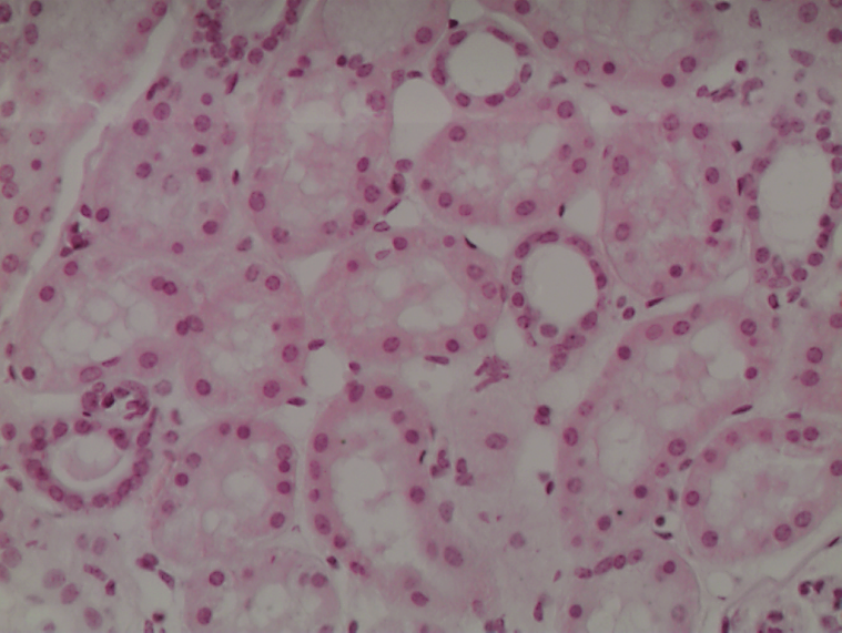
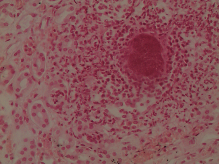
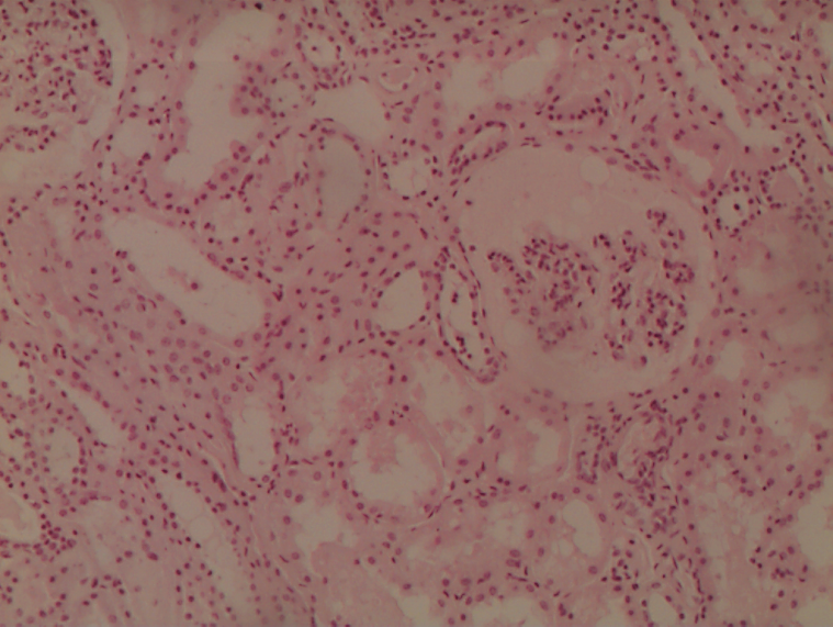
219. Острый серозный гломерулонефрит

В препарате почка. Клубочки незначительно увеличены, капил­лярные петли клеточные. В просвете капсулы Шумлянского эпителий извитых канальцев в состоянии зернистой дистрофии, в просвете их белковые розовые массы.

Существенные элементы: 1. серозный экссудат в просвете капсу­лы Шумлянского

2. зернистая дистрофия эпителия ка­нальцев

3. белок в просвете канальцев

1

3

2

3

2

3

2

1

222. Вторично сморщенная почка

В почке клубочки, а основном мелкие, расположены густо, склерозированы и гиалинизированы. В строме разросшаяся соедини­тельная ткань и круглоклеточные инфильтраты. В просвете каналь­цев белковые цилиндры. Стенки сосудов значительно утолщены, склерозированы и гиалинизированы, просветы сосудов резко сужены.

Существенные элементы: 1. склерозированные клубочки

2. гиалинизированные клубочки

3. склероз стромы

4. круглоклеточные инфильтраты

5. белковые цилиндры

1

2

4

4

2

5

1

3

5

5

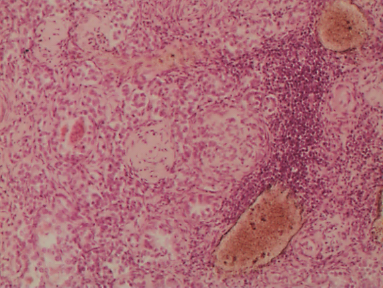
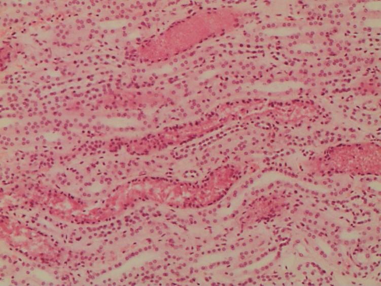
225. Фолликулярный пиелонефрит

В почке выражено разрастание зрелой соединительной ткани с инфильтрацией лимфоцитами и единичными нейтрофилами. Много лимфатических фолликулов со светлыми «зародышевыми центрами». Канальцы атрофичные. Часть канальцев резко растянут эпителий их уплощен, в просвете — белковые цилиндры. Отмечается склероз отдельных клубочков, стенок артерий и вен.

Существенные элементы: 1. разросшаяся соединительная ткань

2. лимфатические фолликулы

3. атрофичные канальцы

4. склероз и гиалиноз клубочков

5. регенерационная гипертрофия нефронов

6. лимфоплазмоцитарные и нейтрофильные инфильтраты

4

3

1

6

2

3

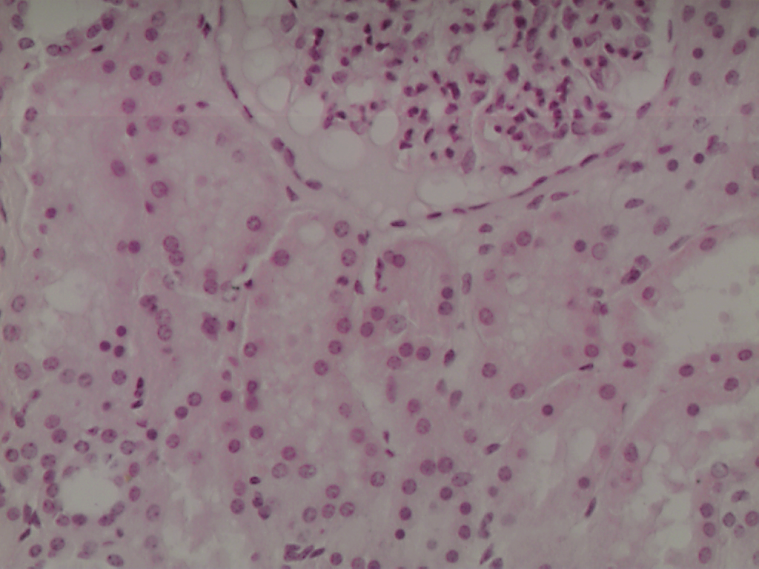
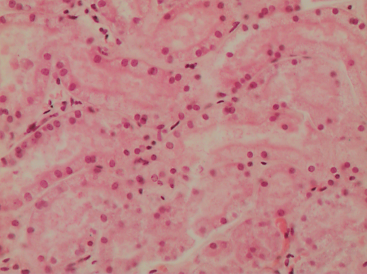
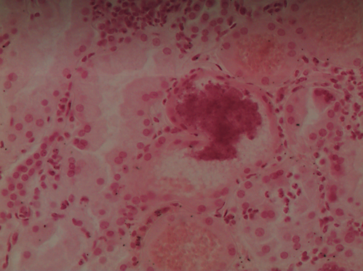
227. Некротический нефроз при синдроме размозжения

В почке очаговое полнокровие. На большем увеличении — в эпителии извитых канальцев зернистая и гиалиново-капельная дистрофия некоторые клетки некротизированы. Отдельные мертвые извитые канальцы распавшиеся — тубулорексис. В просвете навитых особенно прямых канальцев скопления глыбчатых розовых масс миоглобина. Строма отечная, рыхлая.

Существенные элементы: 1. дистрофия эпителия

2. миоглобин в просвете канальцев

3. тубулорексис

4. очаговое полнокровие

2

1

3

3

1

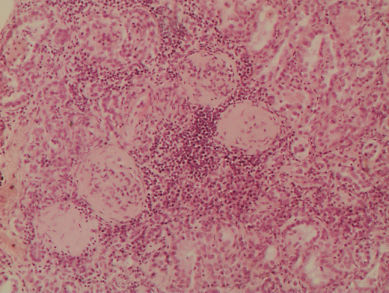
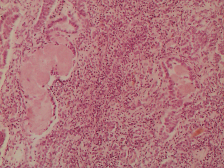
277. Гнойничковый пиелонефрит

В почке полнокровие, очаги некроза, скопления нейтрофильных лейкоцитов и колоний бактерий, которые окрашены в темно-синий цвет. Гнойники — абсцессы «привязаны» к клубочкам почки. В просвете сосудов бактериальные эмболы.

Существенные элементы: 1. полнокровные сосуды

2. бактериальные эмболы

3. колония бактерий

4. абсцесс

2

1

2

1

4

3

1

6.7. ОЦЕНИВАНИЕ ЗНАНИЙ, УМЕНИЙ, НАВЫКОВ ПО ТЕМЕ ЗАНЯТИЯ

ПРАКТИЧЕСКОЕ ЗАНЯТИЕ – max 2,5 балла:

за тест: 1 б. – оц.-5; 0,7 б. – оц.-4; 0,5б. – оц.-3.

за устный ответ: 1 б. – оц.-5; 0,7 б. – оц.-4; 0,5б. – оц.-3.

Отчет по практической части занятия, по лекции – 0,5 балла

7. УЧЕБНО-ИССЛЕДОВАТЕЛЬСКАЯ РАБОТА:

«Морфологические изменения в почке при мочекаменной болезни»

«Значение функционального почечного резерва при хронических заболеваниях почек»

8. ЛИТЕРАТУРА ДЛЯ ПОДГОТОВКИ К ЗАНЯТИЮ:

Основная:

    1. Лекционный материал

    2. Патология. Под редакцией М.А. Пальцева. – М: «Медицина». – 2017. – В 2 томах.

    3. Зайратьянц О.В. Патологическая анатомия. Атлас

Дополнительная:

    1. учебник «Патологическая анатомия», 2017, Т.2, часть 1,

9. Методическая разработка подготовлена доцентом, к.м.н. А.С. Филатовой

Обсуждена на заседании кафедры № ____ от «___» _______________ 20___ г.