Материал: Задание+19.+ХНЗЛ

Внимание! Если размещение файла нарушает Ваши авторские права, то обязательно сообщите нам

ФГБОУ ВО «УРАЛЬСКИЙ ГОСУДАРСТВЕННЫЙ МЕДИЦИНСКИЙ УНИВЕРСИТЕТ»

Министерства здравоохранения Российской Федерации

Кафедра патологической анатомии и судебной медицины

«Утверждаю»

Заведующий кафедрой

Д.м.н., проф. ____________ Л.М. Гринберг

«____» ______________________ 20___ год

МЕТОДИЧЕСКАЯ РАЗРАБОТКА К ПРАКТИЧЕСКОМУ ЗАНЯТИЮ для студентов

(учебное задание)

ООП специальности 31.05.02 «Педиатрия»

Дисциплина Б1.Б.22 «Патологическая анатомия, клиническая патологическая анатомия»

  1. ТЕМА ЗАНЯТИЯ: БОЛЕЗНИ ОРГАНОВ ДЫХАНИЯ

  1. УЧЕБНАЯ ЦЕЛЬ ЗАНЯТИЯ: Изучение клинико-морфологической сущности болезней органов дыхания.

  1. ЗАДАЧИ ЗАНЯТИЯ:

По окончании занятия студент должен знать:

- Этиологию и патогенез болезней органов дыхания

- принципы классификации болезней органов дыхания.

- особенности их макроскопического и гистологических изменений при различных формах/ стадиях болезней органов дыхания.

- клинико-морфологические особенности течения при различных стадиях/ формах болезней органов дыхания

- поражение ЧЛО при болезнях органов дыхания

- Осложнения и причины смерти болезней органов дыхания.

Студент должен уметь:

- диагностировать болезни органов дыхания.

- проводить дифференциальную диагностику болезней органов дыхания.

шифр

Содержание компетенции

знать

уметь

владеть

ОК-1

способностью к абстрактному мышлению, анализу, синтезу

- анатомо-физиологические, возрастно-половые и индивидуальные особенности строения и развития организма человека;

- понятия этиологии, патогенеза, морфогенеза, патоморфоза болезни, принципы классификации болезней; основные понятия общей нозологии;

- функциональные системы организма человека, их регуляция и саморегуляция при воздействии с внешней средой в норме и при патологических процессах.

- работать с увеличительной техникой (микроскоп);

- оценить гистофизиологическое состояние основных клеточных, тканевых и органных структур организма при данном патологическом процессе;

- описывать морфологические изменения изучаемых макроскопических, микроскопических препаратов и электроннограмм при данной группе заболеваний

- дифференцировать на микро и макро препаратах при данной группе заболеваний болезнях органов дыхания;

- описывать морфологические изменения изучаемых макроскопических, микроскопических препаратов и электроннограмм при болезнях органов дыхания

- дифференцировать на микро и макро препаратах при данной группе заболеваний

- медико-функциональным понятийным аппаратом;

- умения узнавать макро и микро- изменения тканей и органов при болезнях органов дыхания

ОК- 2

способностью использовать основы философских знаний для формирования мировоззренческой позиции

ОК- 5

готовностью к саморазвитию, самореализации, самообразованию, использованию творческого потенциала

ОК-8

готовностью к работе в коллективе, толерантно воспринимать социальные, этнические, конфессиональные и культурные различия

ОПК-1

готовностью решать стандартные задачи профессиональной деятельности с использованием информационных, библиографических ресурсов, медико-биологической терминологии, информационно-коммуникационных технологий и учетом основных требований информационной безопасности

ОПК-3

способностью использовать основы экономических и правовых знаний в профессиональной деятельности

ОПК-4

способностью и готовностью реализовать этические и деонтологические принципы в профессиональной деятельности

ОПК- 6

готовностью к ведению медицинской документации

ОПК-9

способностью к оценке морфофункциональных, физиологических состояний и патологических процессов в организме человека для решения профессиональных задач

ПК-5

готовностью к сбору и анализу жалоб пациента, данных его анамнеза, результатов осмотра, лабораторных, инструментальных, патолого-анатомических и иных исследований в целях распознавания состояния или установления факта наличия или отсутствия заболевания

ПК-6

способностью к определению у пациентов основных патологических состояний, симптомов, синдромов заболеваний, нозологических форм в соответствии с Международной статистической классификацией болезней и проблем, связанных со здоровьем - X пересмотр, принятой 43-ей Всемирной Ассамблеей Здравоохранения, г. Женева, 1989 г.

ОК-1

способностью к абстрактному мышлению, анализу, синтезу

ОК- 2

способностью использовать основы философских знаний для формирования мировоззренческой позиции

ОК- 5

готовностью к саморазвитию, самореализации, самообразованию, использованию творческого потенциала

4. ПРОДОЛЖИТЕЛЬНОСТЬ ЗАНЯТИЯ: 3 часа

5. КОНТРОЛЬНЫЕ ВОПРОСЫ ПО ТЕМЕ

Для успешной работы на практическом занятии необходимо:

5.1 Проработать тренировочные тесты по теме занятия на сайте кафедры

5.2. Дигностировать микропрепараты по теме занятия на сайте кафедры

5.3. Знать теоретический материал:

  • Пневмонии

  • Морфология дыхательной недостаточности

  • Хронические неспецифические заболевания легких

  • Опухоли легких

6. ЗАДАНИЯ И МЕТОДИЧЕСКИЕ УКАЗАНИЯ К ИХ ВЫПОЛНЕНИЮ

На занятии студенту необходимо выполнить:

6.1. Ответить на входного тест-контроля

6.2. Ответить на вопросы преподавателя

6.3. Принять участие в обсуждении

6.4. Таблицы: 42, 54, 41, 87

6.5. Макропрепараты: 138/139, 140/141, 143, 147, 146, 153, 303/304, 336, 399, 8/9

6.6. Микропрепараты:

245. Легкое при приступе бронхиальной астмы

Стенки бронхов и межальвеолярные перегородки утолщены за счет соединительной ткани, определяются очаги эмфиземы. Резкое полнокровие сосудов микроциркулярного русла. Бронхи гофрированы (спазмированы), железы в состоянии гиперсекреции. Стенки бронхов и межальвеолярных перегородок инфильтрированы эозинофилами, базофилами лимфоцитами, плазматическими клетками. В просвете бронхов и альвеол слоистый секрет, эозинофилы, лимфоциты, плазматические клетки.

Существенные элементы: 1. спазмированные бронхи

2. очаги эмфиземы

3. слоистый слизистый секрет

4. лимфоциты

5. эозинофилы

6. плазматические клетки

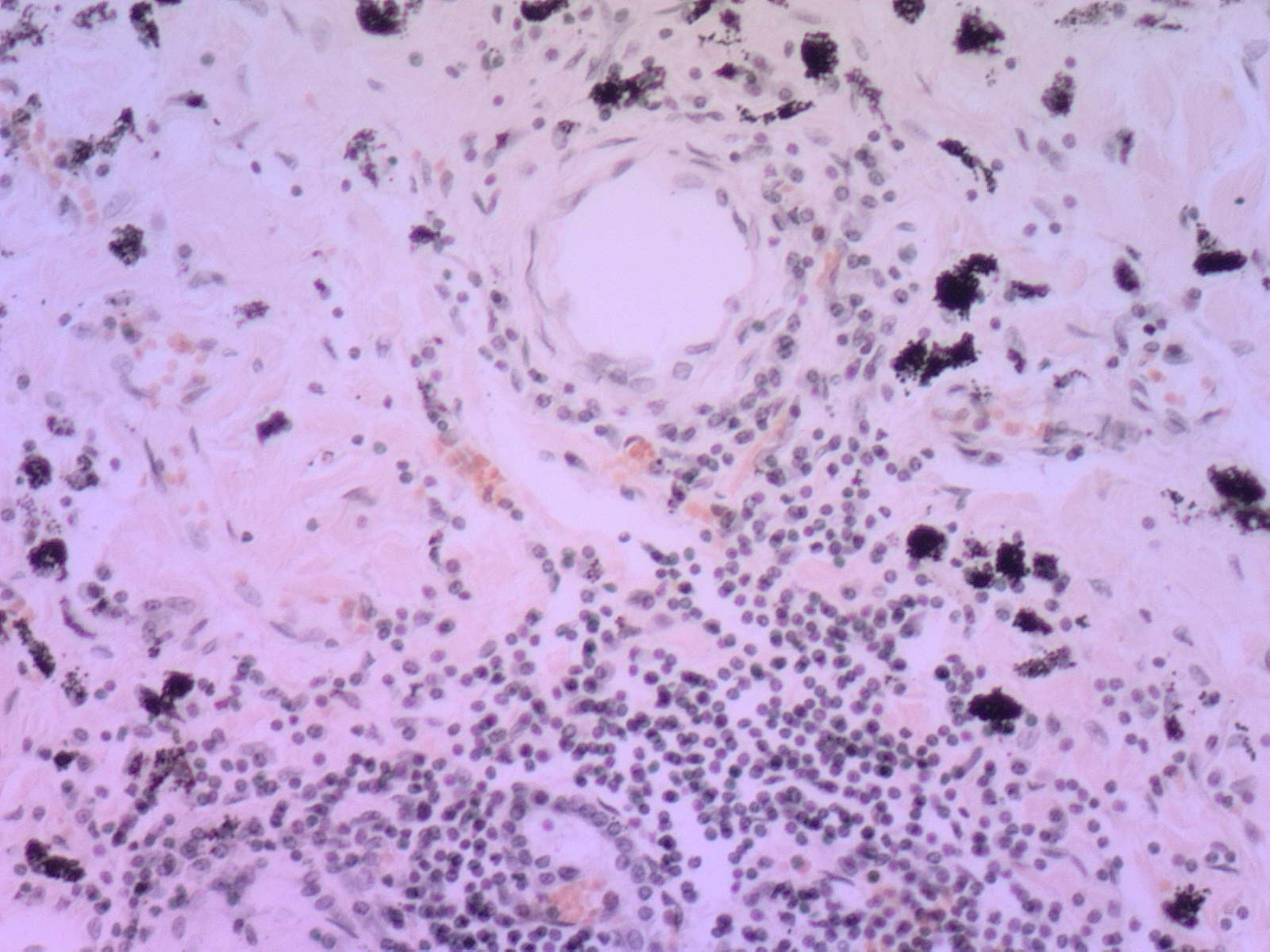
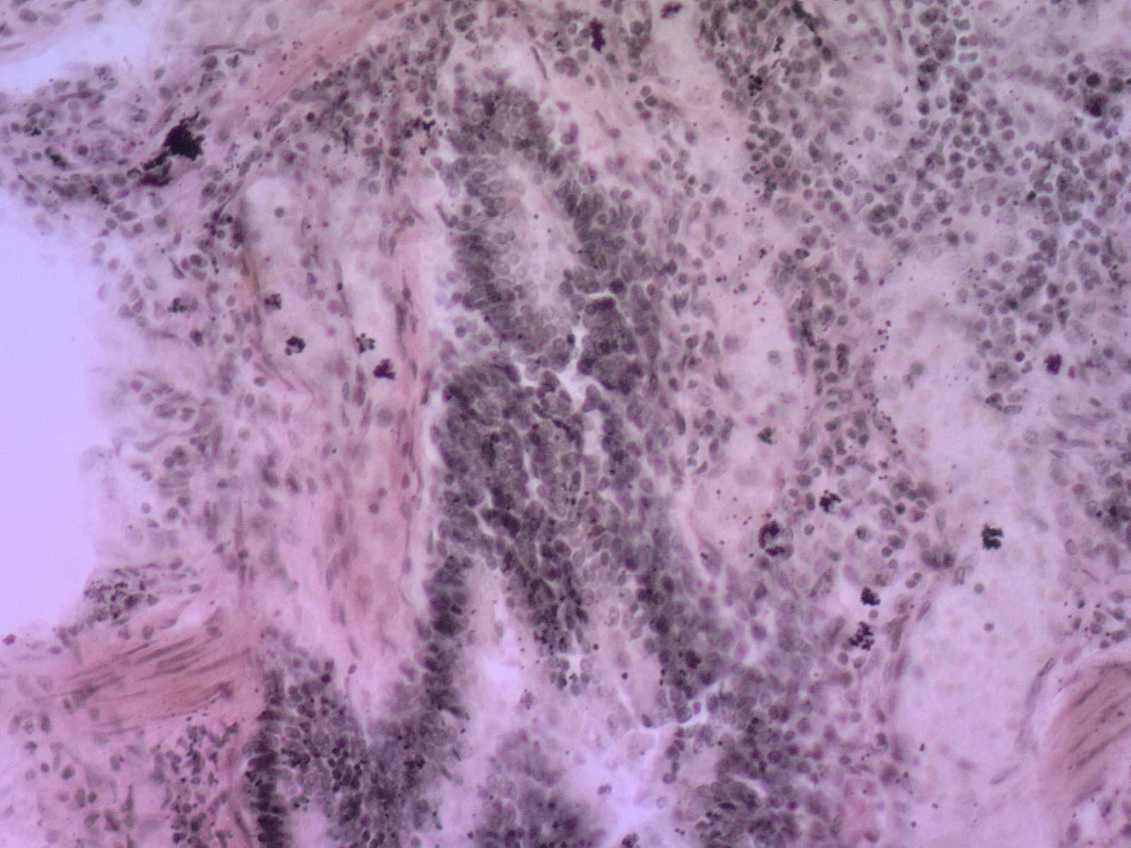
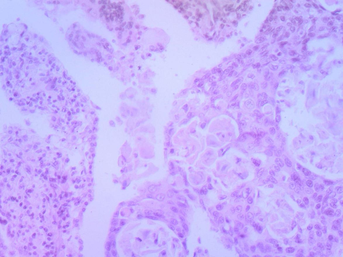
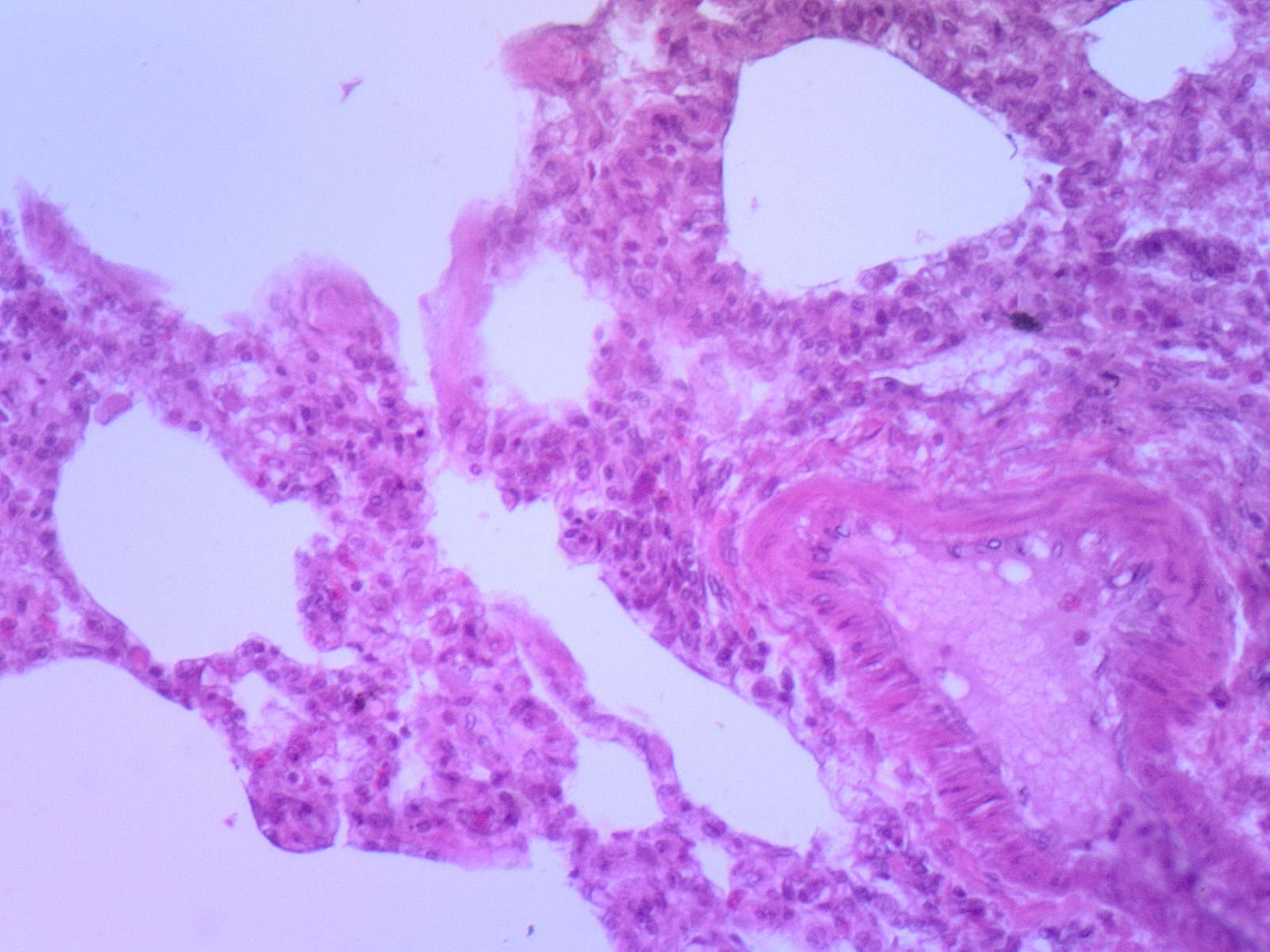
120. Карциноматоз лимфатических сосудов легкого

Альвеолярный рисунок легкого изменен. Альвеолы различной величины и формы, отдельные группы которых образуют неправиль­ные воздушные полости. Нередко в альвеолах содержится розова­тая масса — окрасившийся транссудат. Бронхи расширены и де­формированы. Под плеврой угольный пигмент черного цвета. Ра­ковые клетки в виде скоплений причудливой формы выделяются в альвеолярной паренхиме. На большем увеличении видно» что раковые клетки лежат в про­свете лимфатических сосудов, они полиморфные, ядра в некоторых клетках в состоянии деления.

Существенные элементы: 1. лимфатический сосуд

2. раковые клетки

3. альвеолы

289. Силикоз легкого

Окраска по вам Гизону.

Визуально в срезе легкого отметить очаговые образования бледно-розового цвета. Это силикотические узелки. На малом увеличении в этих узелках определяются бледная кварцевая пыль и коллагеновые волокна розового цвета, идущие в различных направлениях, вихреобразно. Отмечается перибронхиальный и периваскулярный склероз. Альвеолы эмфизематозно изменены. В легком много угольного пигмента.

Существенные элементы: 1. силикотический узелок

2. коллагеновые пучки

3. кварцевая пыль

4. переваскулярный склероз

5. перибронхиальньный склероз

6. эмфизема

250. Хронический бронхит

Окраска по ван Гизону

В легком эмфизема и обширные поля склероза волокнистого строения, кирпично-красного цвета. Стенки бронхов и сосудов утол­щены, склерозированы, причудливых очертаний. На большем уве­личении — альвеолы аденоматозного характера, выстилающий эпителий кубический. В стенке и вокруг бронхов круглоклеточные инфильтраты. В просвете альвеол слущенные клетки и немногочис­ленные лейкоциты.

Существенные элементы: 1. поля склероза

2. деформированные бронхи

3. склерозированные сосуды

4. круглоклеточные инфильтраты

5. аденоматозные альвеолы

109. Плоскоклеточный ороговевающий рак легкого

В препарате резко изменена гистоструктура легкого. Просвет бронхов расширен. Эпителиальная выстилка утолщена. На большем увеличении видно, что эпителиальные клетки, выстилающие бронхи, гиперхромные, расположены в несколько рядов, местами эпителий напоминает многослойный плоский. Эта перестройка цилиндриче­ского эпителия бронхов называется плоскоклеточной метаплазией. В остальных участках определяются комплексы опухолевой ткани, клетки которой напоминают клетки шиповатого слоя плоского эпителия. В отдельных опухолевых гнездах в центре лежат розовые концентрические структуры, которые образуются из ороговевающих клеток. Это раковые «жемчужины».

Существенные элементы: 1. плоскоклеточная метаплазия эпителия бронха

2. опухолевые гнезда

3. раковые «жемчужины»

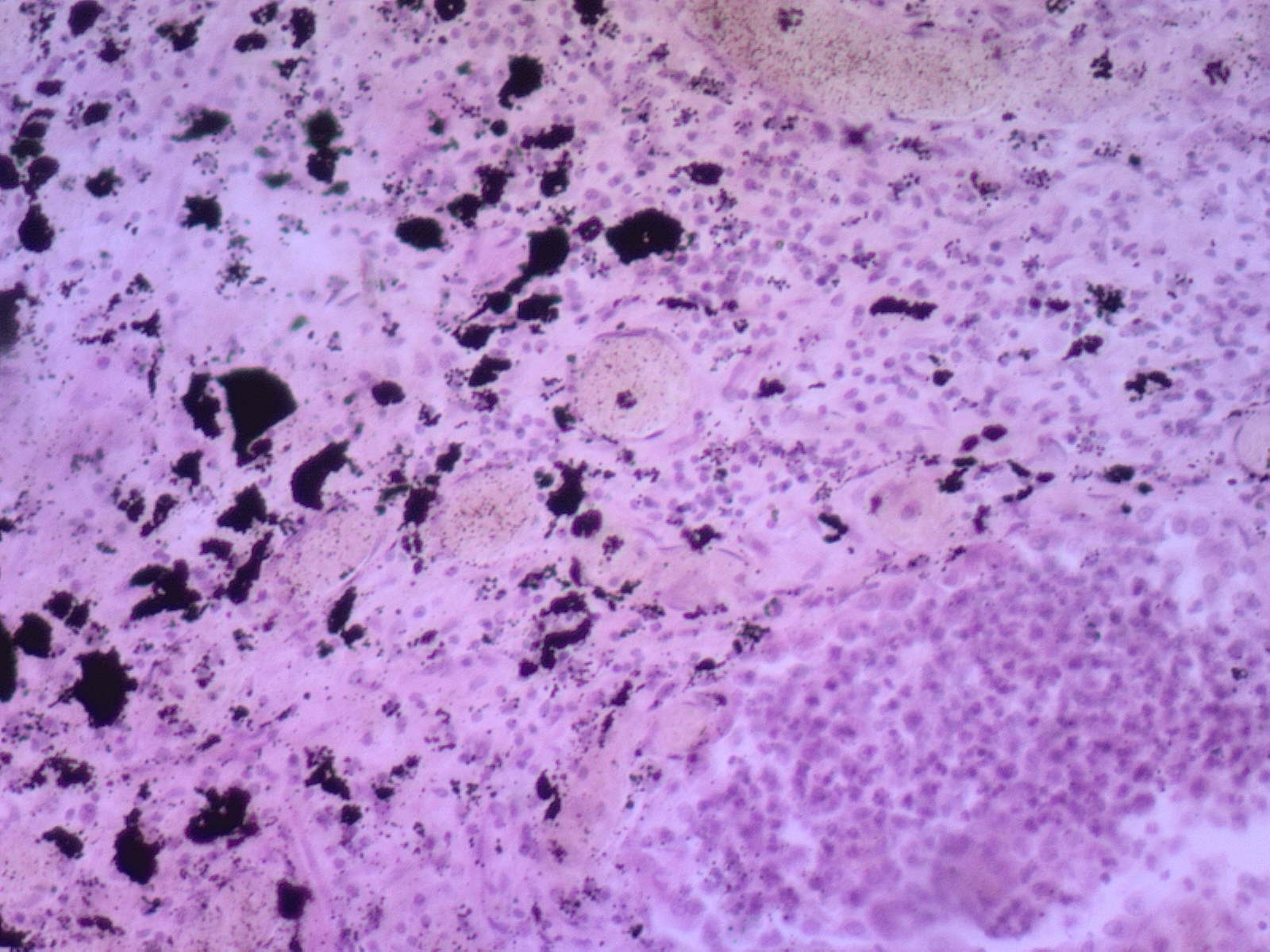
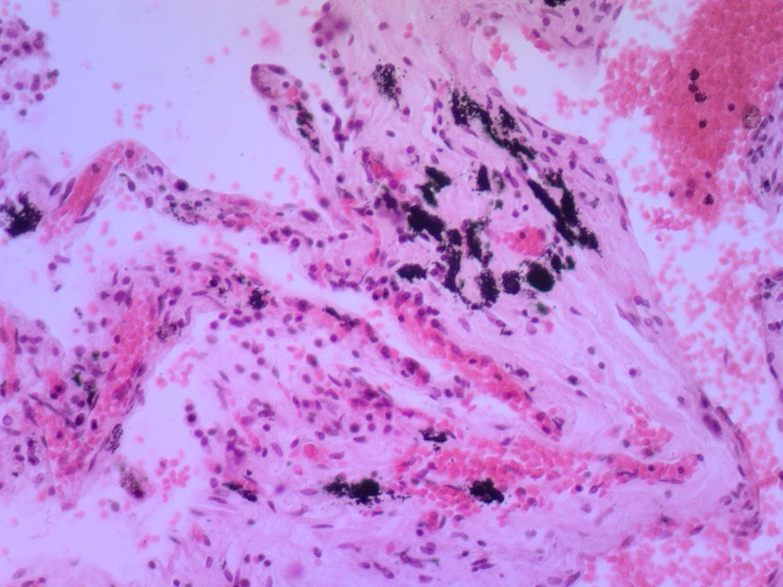
290. Антракоз легкого

Гистологическая структура легкого резко изменена из-за массив­ных тяжей соединительной ткани, эмфизематозных полей, периваскулярного и перибронхиального склероза. Кроме того, имеются оча­говые отложения угольной пыли и круглоклеточные инфильтраты. На большем увеличении угольная пыль определяется в стенках аль­веол; среди волоки истых структур и в цитоплазме макрофагов (пы­левые клетки). Пылевые клетки располагаются и в фиброзных тя­жах, и в просвете альвеол,

Существенные элементы: 1. пылевые клетки

2. угольная пыль

3. поля фиброза

4. периваскулярный склероз

5. перибронхиальный склероз

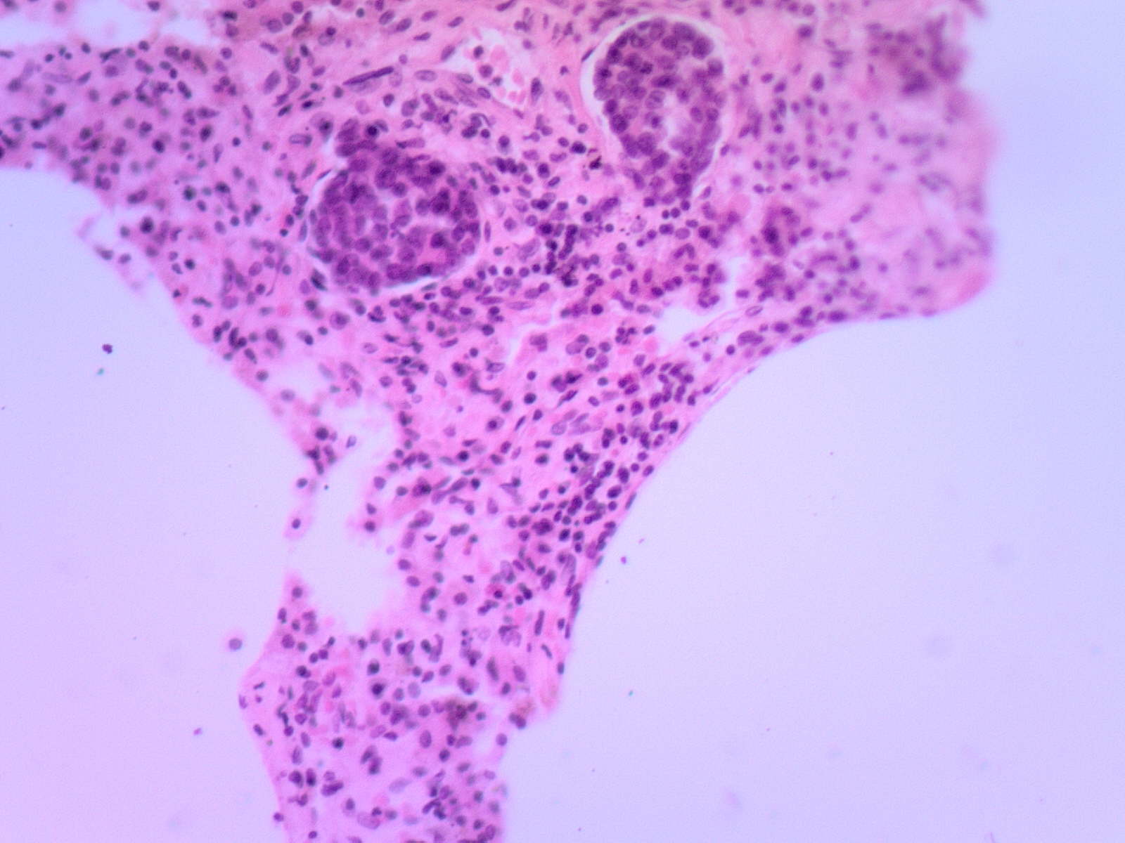
291. Бериллиоз легкого

Микроскопическое строение легкого грубо изменено за счет по­лей разросшейся соединительной ткани, периваскулярного и перибронхиального склероза, круглоклеточных инфильтратов и отло­жений угольного пигмента. Кроме того, в легких видны гранулемы из полиморфных клеток к конхоидальные тельца синего цвета (соединения бериллия).

Существенные элементы: 1. гранулема

2. конхоидальные тельца

3. поля фиброза

4. периваскулярный склероз

5. перибронхиальный склероз

7. ОЦЕНИВАНИЕ ЗНАНИЙ, УМЕНИЙ, НАВЫКОВ ПО ТЕМЕ ЗАНЯТИЯ

ПРАКТИЧЕСКОЕ ЗАНЯТИЕ – max 2,5 балла:

за тест: 1 б. – оц.-5; 0,7 б. – оц.-4; 0,5б. – оц.-3.

за устный ответ: 1 б. – оц.-5; 0,7 б. – оц.-4; 0,5б. – оц.-3.

Отчет по практической части занятия, по лекции – 0,5 балла

8. УЧЕБНО-ИССЛЕДОВАТЕЛЬСКАЯ РАБОТА:

«Метастазирование рака легкого в область головы и шеи»

«Вирусные пневмонии»

  1. ЛИТЕРАТУРА ДЛЯ ПОДГОТОВКИ К ЗАНЯТИЮ:

Основная:

    1. Лекционный материал

    2. Патология. Под редакцией М.А. Пальцева. – М: «Медицина». – 2017. – В 2 томах.

    3. Зайратьянц О.В. Патологическая анатомия. Атлас

Дополнительная:

    1. учебник «Патологическая анатомия», 2017, Т.2, часть 1,

Методическая разработка подготовлена доцентом, к.м.н. А.С. Филатовой

Обсуждена на заседании кафедры № ____ от «___» _______________ 20___ г.