Материал: Задание+12.+Эпителиальные+опухоли

Внимание! Если размещение файла нарушает Ваши авторские права, то обязательно сообщите нам

ФГБОУ ВО «УРАЛЬСКИЙ ГОСУДАРСТВЕННЫЙ МЕДИЦИНСКИЙ УНИВЕРСИТЕТ»

Министерства здравоохранения Российской Федерации

Кафедра патологической анатомии и судебной медицины

«Утверждаю»

Заведующий кафедрой

Д.м.н., проф. ____________ Л.М. Гринберг

«____» ______________________ 20___ год

МЕТОДИЧЕСКАЯ РАЗРАБОТКА К ПРАКТИЧЕСКОМУ ЗАНЯТИЮ для студентов

(учебное задание)

ООП специальности 31.05.02 «Педиатрия»

Дисциплина Б1.Б.22 «Патологическая анатомия, клиническая патологическая анатомия»

ТЕМА ЗАНЯТИЯ: Эпителиальные опухоли. Опухолевые заболевания кроветворной и лимфатической ткани.

УЧЕБНАЯ ЦЕЛЬ ЗАНЯТИЯ: Изучение клинико-морфологической сущности эпителиальных опухолей (доброкачественных и злокачественных). Изучение клинико-морфологической сущности опухолей кроветворной и лимфоидной ткани.

ЗАДАЧИ ЗАНЯТИЯ:

Студент должен знать:

- эпителиальные опухоли: понятие, сущность, биологическое значение;

- морфогенез предопухолей и эпителиальных опухолей;

- общую характеристику эпителиальных опухолей;

- классификацию эпителиальных опухолей;

- разновидности и характеристику органонеспецифических и органоспецифических опухолей;

- гемобластозы: понятие, сущность, биологическое значение;

-общую характеристику гемоблпстозов: первично-системных опухолей (лейкозов) и первично-локальных опухолей (неходжкинских лимфом и лимфомы Ходжкина);

- морфологические особенности неходжкинских лимфом и лимфомы Ходжкина;

- морфологические изменения в органах и тканях при гемобластозах;

- осложнения и причины смерти больных с опухолями кроветворной и лимфатической ткани.

Студент должен уметь:

- работать с увеличительной техникой (микроскоп);

- описывать гистологические и морфологические изменения в изучаемых препаратах;

- определять макроскопические и микроскопические отличия доброкачественной эпителиальной опухоли от рака;

-определять морфологические и гистологические изменения при лейокзах и лимфомах (Ходжкинскина и неходжкинских лимфомах);

- объяснять причины геморрагических и некротических осложнений в органах и тканях при лейкозах и при генерализации лимфом.

шифр

Содержание компетенции

знать

уметь

владеть

ОК-1

способностью к абстрактному мышлению, анализу, синтезу

анатомо-физиологические, возрастно-половые и индивидуальные особенности строения и развития организма человека;

понятия этиологии, патогенеза, морфогенеза, патоморфоза эпителиальных опухолей и гемобластозов, принципы классификации эпителиальных опухолей и гемобластозов; основные понятия общей нозологии;

функциональные системы организма человека, их регуляция и саморегуляция при воздействии с внешней средой в норме и патологии;

структурные и функциональные основы опухолей и гемобластозов; причины, основные механизмы развития и исходов эпителиальных опухолей и гемобластозов,нарушений функций органов и систем

пользоваться учебной, научной, научно-популярной литературой, сетью Интернет для профессиональной деятельности;

работать с увеличительной техникой (микроскопами, оптическими лупами);

оценить гистофизиологическое состояние различных клеточных, тканевых и органных структур;

описывать морфологические изменения изучаемых макроскопических, микроскопических препаратов и электроннограмм;

визуально оценивать и протоколировать изменения в органах и тканях трупа, обосновать характер эпителиальной опухоли и гемобластозов и их клинические проявления; дать заключение о причине смерти и сформулировать патологоанатомический диагноз;

заполнять медицинское свидетельство о смерти

медико-функциональным понятийным аппаратом;

навыками микроскопирования и анализа гистологических препаратов и электронных микрофотографий;

навыками постановки предварительного диагноза на основании результатов лабораторного и инструментального обследования пациентов

навыками сопоставления морфологических и клинических проявлений эпителиаьной опухоли и гемобластозов;

методами клинико-анатомического анализа вскрытия, исследования биопсийного и операционного материала.

ОК- 2

способностью использовать основы философских знаний для формирования мировоззренческой позиции

ОК- 5

готовностью к саморазвитию, самореализации, самообразованию, использованию творческого потенциала

ОК-8

готовностью к работе в коллективе, толерантно воспринимать социальные, этнические, конфессиональные и культурные различия

ОПК-1

готовностью решать стандартные задачи профессиональной деятельности с использованием информационных, библиографических ресурсов, медико-биологической терминологии, информационно-коммуникационных технологий и учетом основных требований информационной безопасности

ОПК-3

способностью использовать основы экономических и правовых знаний в профессиональной деятельности

ОПК-4

способностью и готовностью реализовать этические и деонтологические принципы в профессиональной деятельности

ОПК- 6

готовностью к ведению медицинской документации

ОПК-9

способностью к оценке морфофункциональных, физиологических состояний и патологических процессов в организме человека для решения профессиональных задач

ПК-5

готовностью к сбору и анализу жалоб пациента, данных его анамнеза, результатов осмотра, лабораторных, инструментальных, патолого-анатомических и иных исследований в целях распознавания состояния или установления факта наличия или отсутствия заболевания

ПК-6

способностью к определению у пациентов основных патологических состояний, симптомов, синдромов заболеваний, нозологических форм в соответствии с Международной статистической классификацией болезней и проблем, связанных со здоровьем - X пересмотр, принятой 43-ей Всемирной Ассамблеей Здравоохранения, г. Женева, 1989 г.

ОК-1

способностью к абстрактному мышлению, анализу, синтезу

ОК- 2

способностью использовать основы философских знаний для формирования мировоззренческой позиции

ПРОДОЛЖИТЕЛЬНОСТЬ ЗАНЯТИЯ: 3 часа

МЕСТО ПРОВЕДЕНИЯ ЗАНЯТИЯ : учебная комната

КОНТРОЛЬНЫЕ ВОПРОСЫ ПО ТЕМЕ:

Для успешной работы на практическом занятии необходимо :

  1. Проработать тренировочные тесты по теме занятия на сайте кафедры;

  2. Дигностировать микропрепараты по теме занятия на сайте кафедры.

  3. Подготовить теоретический материал :

- Номенклатура и классификация эпителиальных опухолей.

- Виды и разновидности эпителиальных органонеспецифических и органоспецифических опухолей

- Общие положения и принципы классификации опухолей кроветворной и лимфоидной ткани.

- Лейкозы. Определение. Этиология, эпидемиология. Принципы классификации. Методы диагностики.

- Особенности течения острого и хронического лейкоза.

- Лимфомы. Определение. Принципы классификации лимфом.

- Методы диагностики лимфом. Лейкемизация лимфом.

- Лимфома Ходжкина (син. Лимфогрануломатоз, ЛГМ). Макроскопическая и микроскопическая диагностика ЛГМ. Гистологические варианты ЛГМ.

- Осложнения и причины смерти больных при лейкозах и лимфомах.

ЗАДАНИЯ И МЕТОДИЧЕСКИЕ УКАЗАНИЯ К ИХ ВЫПОЛНЕНИЮ

На занятии студенту необходимо выполнить:

1. Ответить на входного тест-контроля

2. Ответить на вопросы преподавателя

3. Принять участие в обсуждении

4. Изучить таблицы: 58, 59, 60, 62, 63, 64

5. Описать по схеме и сделать заключение по макропрепаратам:.

№ 364 , 355 , 362 , 324 , 426, 431 , 433/79 , 284/436 , 432

6. Изучить, зарисовать и отметить существенные элементы на микропрепаратах:

94 –Плоскоклеточный ороговевающий рак кожи

В коже видны различные по величине и форме опухолевые тяжи из многослойного плоского эпителия. В центральных отделах неко­торых опухолевых разрастаний определяются розовые концентри­ческие структуры, которые формируются из ороговевающих клеток. Это раковые «жемчужины». На большем увеличении можно отме­тить полиморфизм опухолевых клеток. В окружающей соединитель­ной ткани обильная клеточная инфильтрация.

Существенные элементы: 1. опухолевые разрастания

2. раковые «жемчужины»

3. клеточная инфильтрация стромы

91 – Фиброаденома молочной железы

Железы различной величины и формы окружены соединительной тканью. Некоторые железы деформированы за счет неравномерного разрастания соединительной ткани особенно в сторону просвета желез. Это интраканаликулярный компонент фиброаденомы. Вокруг некоторых округлых желез соединительная ткань разрос­лась кольцевидно. Это периканаликулярный компонент. На большем увеличении — эпителий желез одно- и двурядный, расположен на базальной мембране, а в соединительной ткани видны фибробласты и фиброциты.

Существенные элементы: 1. опухолевые железы

2. интраканаликулярный компонент

3. периканаликулярный компонент

92 – Базалиома кожи

В коже отмечается погружного характера разрастание клеток в виде тяжей и комплексов. На большем увеличении — клетки мел­кие, с небольшим количеством цитоплазмы и темным округлым, овальным или вытянутым ядром. Клетки напоминают базальный слой эпидермиса. В наружном слое опухолевых разрастаний клетки расположены частоколом, во внутренних отделах хаотично. В клет­ках видны фигуры деления ядер — митозы.

Существенные элементы: 1. тяжи и комплексы опухолевого эпи­телия

2. частокольный слой клеток

3. фигуры митозов

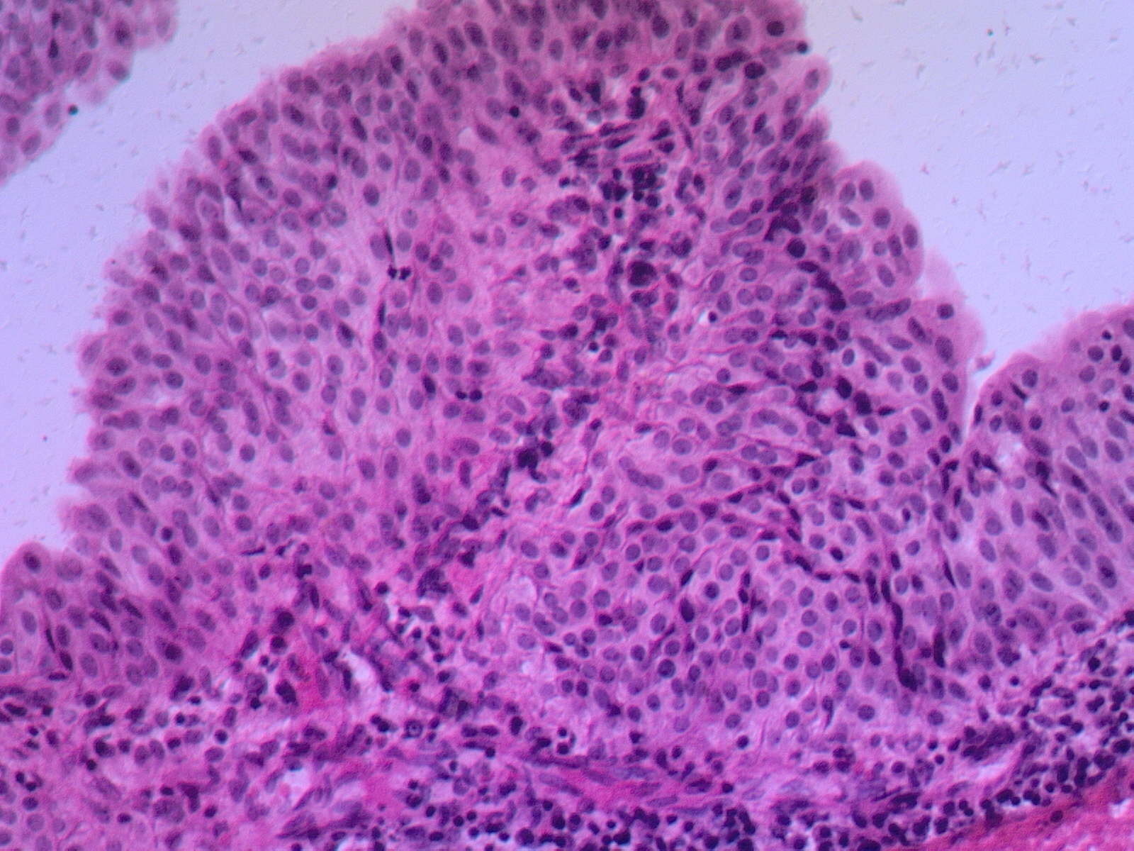
87 – Папиллома гортани

В препарате видны разрастания многослойного плоского неороговевающего эпителия и соединительной ткани сосочкового харак­тера. В эпителии паракератоз — пролиферативное утолщение эпи­телиального пласта. Сосочковые разрастания встречаются кругло-овальной и причудливой формы, что связано с различным направ­лением среза.

Существенные элементы: 1. эпителиальные сосочковые разраста­ния

2. строма сосочков

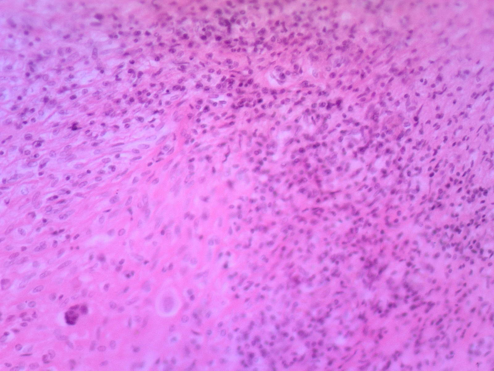
174 - Лимфогрануломатоз

Структура лимфатического узла утрачена, лимфатические фол­ликулы отсутствуют, видны поля склероза. На большем увеличении определяются крупные базофильные клетки с большим гиперхромным ядром — клетки Ходжкина; гигантские клетки с центральным расположением двух и более ядер — клетки Березовского—Штерн­берга; эозинофилы; ретикулярные и лимфоидные клетки, нейтрофилы. Встречаются очаги некроза.

Существенные элементы: 1. клетки Ходжкина

2. клетки Березовского—Штернберга

3. эозинофилы

4. очаги некроза

5. поля склероза

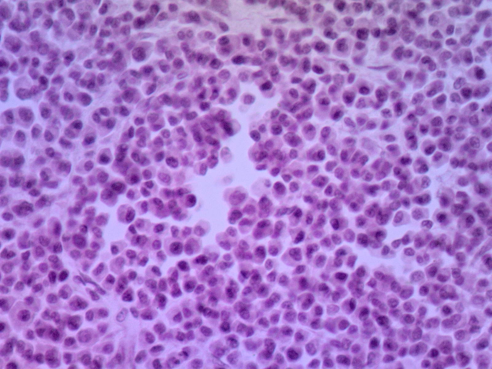
173 – Плазмоцитома

В гистологическом срезе определяется диффузно разросшиеся плазматические клетки разнообразного вида. В основном они содержат темно-окрашенные эксцентрично расположенные ядра и довольно обильную базофильную цитоплазму. Видны ядра с тонкой структурой хроматина и бледной цитоплазмой.

Существенные элементы: 1. поля плазматических клеток

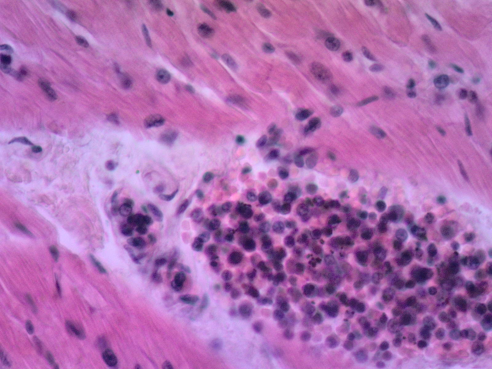
168 - Миокард при лейкозе

Структура миокарда и эндокарда сохранена. В строме миокар­да и в толще эндокарда имеются лейкемические инфильтраты из низкодифференцированных клеток. На большем увеличении — инфильтраты состоят из миелоподобных низкодифференцированных клеток. Их ядра крупные, неправильной формы, ободок цитоплазмы узкий.

Существенные элементы: 1. лейкемические инфильтраты в строме миокарда

2. лейкемические инфильтраты в эндокарде

3. опухолевые полиморфные клетки

ОЦЕНИВАНИЕ ЗНАНИЙ, УМЕНИЙ, НАВЫКОВ ПО ТЕМЕ ЗАНЯТИЯ

ПРАКТИЧЕСКОЕ ЗАНЯТИЕ – max 2,5 балла:

за тест: 1 б. – оц.-5; 0,7 б. – оц.-4; 0,5б. – оц.-3.

за устный ответ: 1 б. – оц.-5; 0,7 б. – оц.-4; 0,5б. – оц.-3.

Отчет по практической части занятия, по лекции – 0,5 балла

УЧЕБНО-ИССЛЕДОВАТЕЛЬСКАЯ РАБОТА:

Доклады по темам:

« Исторические аспекты изучения опухолей»

«Морфологические аспекты прижизненной верификации опухолевых поражений»

«Роль иммуногистохимии в определении гистогенеза опухолей лимфоидной ткани»

ЛИТЕРАТУРА ДЛЯ ПОДГОТОВКИ К ЗАНЯТИЮ :

Основная:

    1. Лекционный материал

    2. Патология. Под редакцией М.А. Пальцева. – М: «Медицина». – 2017. – В 2 томах.

    3. Зайратьянц О.В. Патологическая анатомия. Атлас

Дополнительная:

    1. учебник «Патологическая анатомия», 2017, Т.2, часть 1,

Методическая разработка подготовлена доцентом, к.м.н. А.С. Филатовой

Обсуждена на заседании кафедры № ____ от «___» _______________ 20___ г.