Материал: Задача

Внимание! Если размещение файла нарушает Ваши авторские права, то обязательно сообщите нам

СИТУАЦИОННАЯ ЗАДАЧА № 1

Инструкция: ознакомьтесь с условиями задачи и дайте развернутые ответы на вопросы

Основная часть.

Пациент И., 56 лет.

Доставлен бригадой «скорой медицинской помощи» в приемное отделение центральной районной больницы.

Жалобы общую слабость, повышение температуры до 39°C, озноб, кашель с отделением небольшого количества слизистой мокроты.

Со слов пациента, ухудшение самочувствия отмечает в течение последнего месяца (слабость, сухой кашель), за медицинской помощью не обращался.

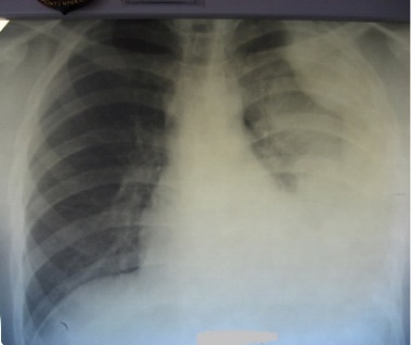
Общее состояние удовлетворительное. Кожные покровы бледные, обычной влажности. Рост 175 см, масса тела 70 кг. ЧДД – 22 в 1 минуту, над правым легким дыхание жёсткое, проводится во все отделы; над средними и нижними отделами левого легкого – резко ослабленное. ЧСС 96 в 1 минуту, тоны сердца приглушены, ритмичные, АД 100/60 мм рт. ст. Живот мягкий, безболезненный, печень не увеличена.

При рентгенологическом исследовании органов грудной клетки выявлены изменения.

После дополнительного обследования диагностирован туберкулез. В плевральной жидкости методом прямой микроскопии мазков КУМ не обнаружены. Определена устойчивость возбудителя заболевания к изониазиду (H) и рифампицину (R).

Задание: перечислите основные принципы организации лечения данного пациента

Ответ:

Пребывание пациента:

- дневной стационар «на дому» или стационар на дому ;

- видеоконтроль приёма препаратов;

При выявлении устойчивости к рифампицину (R) и/или изониазиду (Н) выполняют тест лекарственной чувствительности/устойчивости МБТ к наиболее эффективным препаратам, используемым для терапии лекарственно устойчивого туберкулеза:

  • фторхинолоны (Fq)

  • канамицин (Km)

  • амикацин (Am)

  • капреомицину (Cm)

После обследования возможно получить следующие результаты:

  • туберкулез с широкой лекарственной устойчивостью (ШЛУ-ТБ) - вызван МБТ, устойчивыми к рифампицину,  изониазиду, фторхинолонам,  канамицину/капреомицину/амикацину

  • пре-ШЛУ-ТБ - вызван МБТ, устойчивыми к рифампицину, изониазиду и к фторхинолонам или к рифампицину, изониазиду/капреомицину

Лекарственные препараты, к которым определена устойчивость МБТ, в схему химиотерапии не включают!

Терапия длится 9 месяцев препаратами — левофлоксацин, бедаквилин, линезолид, клофазимин

Эффективность:

- Бактериологический мониторинг эффективности химиотерапии ( исследование мокроты 1 раз в месяц );

- Лучевой мониторинг эффективности химиотерапии (1 раз в 2-3 мес RG-органов грудной клетки);