Материал: Поджелудочная железа 2

Внимание! Если размещение файла нарушает Ваши авторские права, то обязательно сообщите нам

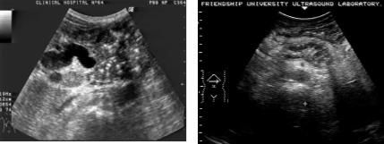
а

б

Рис. 55. Ультразвуковые томограммы при хроническом панкреатите:

а- кальцинаты в области головки поджелудочной железы;

б- панкретикоэктазия

Сцинтиграфическое исследование поджелудочной железы после внутривенного введения метионина, меченного 75Se (панкреатосцинтиграфия), позволяет получить изображение распределения радионуклида в железе и по нему судить о характере патологического процесса в органе.

При исследовании больного с хроническим панкреатитом не следует забывать о том, что панкреатит нередко является следствием патологического процесса, находящегося в органах желчевыводящей системы, а также в желудке и двенадцатиперстной кишке. Поэтому исследование этих органов обязательно.

Лечение хронического панкреатита зависит от фазы те-

чения патологического процесса в поджелудочной железе. Основным методом лечения неосложненного хронического панкреатита является консервативный. Он предусматривает: 1) использование лекарственной терапии в фазе обострения воспалительного процесса; 2) коррекцию функциональной недостаточности поджелудочной железы; 3) проведение профилактических мероприятий для предупреждения развития острого воспаления в поджелудочной железе.

Основными моментами при консервативном лечении хронического панкреатита в фазе обострения являются: устранение болей и спазма сфинктера Одди с помощью анальгети-

169

ков и спазмолитиков; обеспечение функционального покоя поджелудочной железе за счет диеты, холода.

Коррекция функциональной недостаточности поджелудочной железы зависит от характера нарушений. При внешнесекреторной недостаточности проводят заместительную терапию ферментными препаратами в зависимости от степени стеатореи, креатореи. При инкреторной недостаточности назначают соответствующую диету и сахароснижающие препараты.

Рекомендуется проводить общеукрепляющую терапию, витаминотерапию, стимуляцию панкреатической секреции с помощью белковых гидролизатов, анаболических гормонов, ферментных препаратов.

Большое значение в лечении хронического панкреатита имеет соблюдение поэтапного лечения - стационар, курорт, диспансер, а также профилактика - своевременная санация желчевыводящих путей, лечение язвенной болезни желудка

идвенадцатиперстной кишки, исключение алкоголя. Хирургическое лечение хронического панкреатита показано:

1)при постоянных или часто повторяющихся болях, которые не поддаются консервативному лечению;

2)развитии псевдокист поджелудочной железы;

3)патологических процессах в протоковой системе поджелудочной железы, препятствующих оттоку панкреатического секрета (сужение проксимального отдела панкреатического протока, камни);

4)патологическом процессе в поджелудочной железе, нарушающем функцию прилежащих к железе органов (при сдавлении головкой поджелудочной железы желчного протока, сдавлении головкой поджелудочной железы двенадцатиперстной кишки);

5)при наличии патологического процесса, вызывающего развитие хронического панкреатита (стеноз большого дуоденального сосочка, холедохолитиаз, пенетрирующая язва желудка или двенадцатиперстной кишки);

170

6) при подозрении на развитие рака поджелудочной железы.

Для ликвидации болей, связанных с хроническими изменениями в ткани поджелудочной железы, предлагалось выполнять оперативные вмешательства на вегетативной нервной системе: а) постганглионарная невротомия по Yochioka - Wakobayashi; б) маргинальная невротомия по Трункову - Напалкову; в) резекция левого чревного нерва по MalletGuy;

г) симпатэктомия. Как показала клиническая практика, большого эффекта от этих операций получено не было.

Чаще для лечения хронического панкреатита используются различные варианты резекции поджелудочной железы:

1)дистальная, или каудальная, резекция;

2)субтотальная резекция, при которой сохраняется лишь небольшая часть поджелудочной железы, прилежащая к двенадцатиперстной кишке;

3)резекция среднего отдела с сохранением головки и хвоста железы;

4)панкреатодуоденальная резекция.

Кроме этого при хроническом панкреатите может быть произведена тотальная панкреатэктомия.

При образовании псевдокист поджелудочной железы выполняются операции внутреннего дренирования кист путем формирования кистогастроанастомоза по методике Jurasz или кистоэнтероанастомоза. В последнее время формирование кистогастроанастомоза выполняется под контролем ультразвукового исследования.

Нарушение оттока панкреатического секрета в результате блокады проксимальной части панкреатического протока удается ликвидировать путем эндоскопической парциальной панкреатикотомии, а также за счет формирования панкреатикоеюноанастомоза без резекции (рис.56) поджелудочной железы (Cattell, Puestow-I, Puestow-II) или с резекцией хвоста поджелудочной железы (Du-Val).

171

Стеноз большого дуоденального сосочка и холедохолитиаз, как причина развития хрониче

а

в

б

г

Рис. 56. Панкреатикоеюностомия:

апо Cattell; б - по Cattell в модификации А.А.Шалимова;

в- по Puestow-I; г - по Puestow-II

быть устранены с помощью эндоскопического вмешательства - эндоскопической папиллотомии и литоэкстракции. В тех случаях, когда при хроническом панкреатите нарушается пассаж по желчевыводящим протокам или по двенадцатиперстной кишке, а вмешательства на поджелудочной железе невозможны, выполняются операции, направленные на формирование билиодигестивного соустья или гастроэнтероанастомоза.

Кисты поджелудочной железы

172

Кисты поджелудочной железы представляют собой ограниченные сформированными стенками скопления жидкости, локализующиеся в паренхиме железы или в окружающих ее тканях и имеющие вид мешотчатых опухолей.

Вклинической практике принята классификация кист поджелудочной железы, основанная на этиологическом принципе. По этой классификации кисты поджелудочной железы делят на следующие виды:

1. Травматические кисты возникают при повреждении паренхимы и выводных протоков поджелудочной железы, в результате чего в ней или вокруг нее скапливаются кровь и панкреатический сок, которые осумковываются и образуют кистозные полости.

2. Кисты воспалительного происхождения развиваются в зоне панкреонекроза (при остром панкреатите) или в результате аутолиза отдельных участков железистой ткани вследствие закупорки протоковой системы поджелудочной железы рубцовой тканью или конкрементами, приводящей к скоплению панкреатического секрета и формированию кистозных полостей в паренхиме железы (при хроническом панкреатите).

3. Опухолевые кисты относятся к пролиферационным кистам, формирующимся в результате особенностей роста самой опухоли, или дегенерационным кистам, образующимся при размягчении ткани новообразования вследствие ее некроза и аутолитических процессов.

4. Паразитарные кисты представляют собой пузырчатую стадию развития ленточных червей (эхинококкоз, цистицеркоз).

5. Врожденные кисты образуются в результате пороков развития ткани поджелудочной железы.

Взависимости от места локализации кист и их патологоанатомических особенностей различают истинные и ложные кисты.

Истинные кисты поджелудочной железы представляют собой мешотчатые полости, выстланные эпителием и лока-

173