Материал: Патан Серов учебник

Внимание! Если размещение файла нарушает Ваши авторские права, то обязательно сообщите нам

Регенерация специализированного эпителия органов (печени, поджелудочной железы,

почек, желез внутренней секреции, легочных альвеол) осуществляется по типу регенерационной гипертрофии: в участках повреждения ткань замещается рубцом, а по

периферии его происходят гиперплазия и гипертрофия клеток паренхимы. В печени участок некроза всегда подвергается рубцеванию, однако в остальной части органа происходит интенсивное новообразование клеток, а также гиперплазия внутриклеточных стуктур, что сопровождается их гипертрофией. В результате этого исходная масса и функция органа быстро восстанавливаются. Регенераторные возможности печени почти безграничны. В поджелудочной железе регенераторные процессы хорошо выражены как в экзокринных отделах, так и в панкреатических островках, причем эпителий экзокринных желез становится источником восстановления островков. В почках при некрозе эпителия канальцев происходит размножение сохранившихся нефроцитов и восстановление канальцев, однако лишь при сохранении тубулярной базальной мембраны. При ее разрушении (тубулорексис) эпителий не восстанавливается и каналец замещается соединительной тканью. Не восстанавливается погибший канальцевый эпителий и в том случае, когда одновременно с канальцем погибает сосудистый клубочек. При этом на месте погибшего нефрона разрастается рубцовая соединительная ткань, а окружающие нефроны подвергаются регенерационной гипертрофии. В железах внутренней секреции восстановительные процессы также представлены неполной регенерацией. В легком после удаления отдельных долей в оставшейся части происходит гипертрофия и гиперплазия тканевых элементов. Регенерация специализированного эпителия органов может протекать атипично, что ведет к разрастанию соединительной ткани, структурной перестройке и деформации органов; в таких случаях говорят о циррозе (цирроз печени, нефроцирроз, пневмоцирроз).

Регенерация разных отделов нервной системы происходит неоднозначно.

В головном и спинном мозгеновообразования ганглиозных клеток не про-

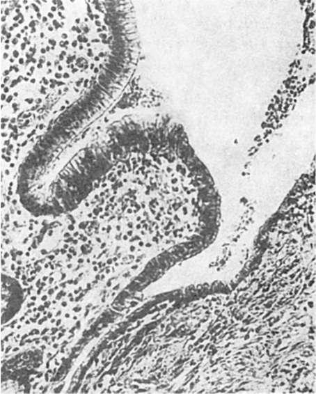
221

Рис. 86. Регенерация

эпителия в дне хронической язвы желудка

исходит и при разрушении их восстановление функции возможно лишь за счет внутриклеточной регенерации сохранившихся клеток. Невроглии, особенно микроглии, свойственна клеточная форма регенерации, поэтому дефекты ткани головного и спинного мозга обычно заполняются пролиферирующими клетками невроглии - возникают так называемые глиальные (глиозные) рубцы. При повреждении вегетативных узлов наряду с гиперплазией ультраструктур клеток происходит и их новообразование. При нарушении целостипериферического нерва регенерация происходит за счет центрального отрезка, сохранившего связь с клеткой, в то время как периферический отрезок погибает. Размножающиеся клетки шванновской оболочки погибшего периферического отрезка нерва располагаются вдоль него и образуют футляр - так называемый бюнгнеровский тяж, в который врастают регенерирующие осевые цилиндры из проксимального отрезка. Регенерация нервных волокон завершается их миелинизацией и восстановлением нервных окончаний. Регенерационная гиперплазиярецепторов, перицеллюлярных синаптических приборов и эффекторов иногда сопровождается гипертрофией их концевых аппаратов. Если регенерация нерва в силу тех или иных причин нарушается (значительное расхождение частей нерва, развитие воспалительного процесса), то в месте его перерыва образуется

222

рубец, в котором беспорядочно располагаются регенерировавшие осевые цилиндры проксимального отрезка нерва. Аналогичные разрастания возникают на концах перерезанных нервов в культе конечности после ее ампутации. Такие разрастания, образованные нервными волокнами и фиброзной тканью, называются ампутационными невромами.

Заживление ран

Заживление ран протекает по законам репаративной регенерации. Темпы заживления ран, его исходы зависят от степени и глубины раневого повреждения, структурных особенностей органа, общего состояния организма, применяемых методов лечения. По И.В. Давыдовскому, выделяют следующие виды заживления ран: 1) непосредственное закрытие дефекта эпителиального покрова; 2) заживление под струпом; 3) заживление раны первичным натяжением; 4) заживление раны вторичным натяжением, или заживление раны через нагноение.

Непосредственное закрытие дефекта эпителиального покрова - это простейшее заживление, заключающееся в наползании эпителия нд поверхностный дефект и закрытии его эпителиальным слоем. Наблюдаемое на роговице, слизистых оболочках заживление под струпом касается мелких дефектов, на поверхности которых быстро возникает подсыхающая корочка (струп) из свернувшейся крови и лимфы; эпидермис восстанавливается под корочкой, которая отпадает через 3-5 сут после ранения.

Заживление первичным натяжением (per rimamm intentionem) наблюдается в ранах с повреждением не только кожи, но и подлежащей ткани,

причем края раны ровные. Рана заполняется свертками излившейся крови, что предохраняет края раны от дегидратации и инфекции. Под влиянием протеолитических ферментов неитрофилов происходит частичный лизис свертка крови, тканевого детрита. Нейтрофилы погибают, на смену им приходят макрофаги, которые фагоцитируют эритроциты, остатки поврежденной ткани; в краях раны обнаруживается гемосидерин. Часть содержимого раны удаляется в первый день ранения вместе с экссудатом самостоятельно или при обработке раны - первичное очищение. На 2-3-и сутки в краях раны появляются растущие навстречу друг другу фибробласты и новообразованные капилляры, появляется грануляционная ткань, пласт которой при первичном натяжении не достигает больших размеров. К 10-15-м суткам она полностью созревает, раневой дефект эпителизируется и рана заживает нежным рубчиком. В хирургической ране заживление первичным натяжением ускоряется в связи с тем, что ее края стягиваются нитями шелка или кетгута, вокруг которых скапливаются рассасывающие их гигантские клетки инородных тел, не мешающие заживлению.

Заживление вторичным натяжением (per secundam intentionem), или заживление через нагноение (или заживление посредством гранулирования - per granulationem), наблюдается обычно при обширных ранениях, сопровождающихся размозжением и омертвением тканей, проникновении в рану инородных тел, микробов. На месте раны возникают кровоизлияния, травматический отек краев раны, быстро появляются признаки демаркационного гнойного

223

воспаления на границе с омертвевшей тканью, расплавление некротических масс. В течение первых 5-6 сут происходит отторжение некротических масс - вторичное очищение раны, и в краях раны начинает развиваться грануляционная ткань. Грануляционная ткань, выполняющая рану, состоит из 6 переходящих друг в друга слоев (Аничков Н.Н., 1951):

поверхностный лейкоцитарно-некротический слой; поверхностный слой сосудистых петель, слой вертикальных сосудов, созревающий слой, слой горизонально расположенных фибробластов, фиброзный слой. Созревание грануляционной ткани при заживлении раны вторичным натяжением сопровождается регенерацией эпителия. Однако при этом виде заживления раны на месте ее всегда образуется рубец.

ПРОЦЕССЫ ПРИСПОСОБЛЕНИЯ (АДАПТАЦИИ) И КОМПЕНСАЦИИ

Способность организма приспосабливаться (адаптироваться) к изменившимся условиям внешней среды выработалась в процессе фило- и онтогенеза.

Приспособление - широкое биологическое понятие, объединяющее все процессы жизнедеятельности, благодаря которым осуществляется взаимоотношение организма с внешней средой. Приспособление направлено на сохранение вида, поэтому охватывает как здоровье, так и болезнь. Компенсация - частное проявление приспособления для коррекции нарушений функции при болезни, для «сохранения себя» в критической ситуации. В связи с этим компенсаторные реакции - индивидуальные и ситуационные. Как видно, приспособление и компенсация по своей сути и содержанию процессы разные. Однако ряд патологов их объединяют, говоря о компенсаторно-приспособительных процессах. С этим трудно согласиться.

Приспособление (адаптация)

Приспособление в патологии может отражать различные функциональные состояния: функциональное напряжение, снижение или извращение функции ткани (органа). В связи с этим оно может проявляться различными патологическими процессами: 1) атрофией; 2) гипертрофией (гиперплазией); 3) организацией; 4) перестройкой тканей; 5) метаплазией; 6) дисплазией.

Атрофия (а - исключение, греч. trophe - питание) - прижизненное уменьшение объема клеток, тканей, органов - сопровождается снижением или прекращением их функции.

Не всякое уменьшение органа относится к атрофии. В связи с нарушениями в ходе онтогенеза орган может полностью отсутствовать - агенезия, сохранять вид раннего зачатка - аплазия, не достигать полного развития -гипоплазия. Если наблюдается уменьшение всех органов и общее недоразвитие всех систем организма, говорят о карликовом росте.

Атрофию делят на физиологическую и патологическую.

224

Физиологическая атрофия наблюдается на протяжении всей жизни человека. Так, после рождения атрофируются и облитерируются пупочные артерии, артериальный (боталлов) проток; у пожилых людей атрофируются половые железы, у стариков - кости, межпозвоночные хрящи и т.д.

Патологическая атрофия вызывается различными причинами, среди которых наибольшее значение имеют недостаточное питание, нарушение кровообращения и деятельности эндокринных желез, центральной и периферической нервной системы, интоксикации. Патологическая атрофия - обратимый процесс. После удаления причин, вызывающих атрофию, если она не достигла высокой степени, возможно полное восстановление структуры и функции органа.

Патологическая атрофия может иметь общий или местный характер.

Общая атрофия, или истощение, встречаются в форме алиментарного истощения (при голодании или нарушении усвоения пищи); истощения при раковой кахексии (от греч. kakos - плохой, hexis - состояние); истощения при гипофизарной кахексии (болезнь Симмондса при поражении гипофиза); истощения при церебральной кахексии (поражение гипоталамуса); истощения при других заболеваниях (хронические инфекции, такие как туберкулез, бруцеллез, хроническая дизентерия и др.).

Внешний вид больных при истощении характерен. Отмечается резкое исхудание, подкожная жировая клетчатка отсутствует; там, где она сохранилась, имеет буроватую окраску (накопление пигмента липохрома). Мышцы атрофичны, кожа сухая, дряблая. Внутренние органы уменьшены в размерах. В печени и миокарде отмечаются явления бурой атрофии (накопление пигмента липофусцина в клетках). В эндокринных железах имеются атрофические и дистрофические изменения, выраженные в неодинаковой степени в

зависимости от причины истощения. В коре головного мозга обнаруживают участки погибших нервных клеток. Развивается остеопороз.

Местная атрофия возникает от различных причин. Различаются следующие ее виды: дисфункциональная; вызванная недостаточностью кровоснабжения; давлением; нейротическая; под воздействием физических и химических факторов.

Дисфункциональная атрофия (атрофия от бездействия) развивается в результате снижения функции органа. Это атрофия мышц при переломе костей, заболеваниях суставов, ограничивающих движения; зрительного нерва после удаления глаза; краев зубной ячейки, лишенной зуба. Интенсивность обмена веществ в тканях понижена, к ним притекает недостаточное количество крови, питательных веществ.

Атрофия, вызванная недостаточностью кровоснабжения, развивается вследствие сужения артерий, питающих данный орган. Недостаточный приток крови вызывает гипоксию, вследствие чего деятельность паренхиматозных элементов снижается, размер клеток уменьшается. Гипоксия стимулирует пролиферацию фибробластов, развивается склероз. Такой процесс наблюдается в миокарде, когда на почве прогрессирующего атеросклероза

225