Материал: Патан Серов учебник

Внимание! Если размещение файла нарушает Ваши авторские права, то обязательно сообщите нам

Печеночная (паренхиматозная) желтуха возникает при поражении гепатоцитов, в результате чего нарушаются захват ими билирубина, конъюгация его с глюкуроновой кислотой и экскреция. Такая желтуха наблюдается при остром и хроническом гепатитах, циррозах печени, медикаментозных ее повреждениях и аутоинтоксикации, например при беременности, ведущих к внутрипеченочному холестазу. Особую группу составляютферментопатические печеночные желтухи, возникающие при наследственных пигментных гепатозах, при которых нарушена одна из фаз внутрипеченочного обмена билирубина.

Подпеченочная (механическая) желтуха связана с нарушением проходимости желчных протоков, что затрудняет экскрецию и определяет регургитацию желчи. Эта желтуха развивается при наличии препятствий оттоку желчи из печени, лежащих внутри или вне желчных протоков, что наблюдается при желчнокаменной болезни, раке желчных путей, головки поджелудочной железы и сосочка двенадцатиперстной кишки, атрезии (гипоплазии) желчных путей, метастазах рака в перипортальные лимфатические узлы и печень. При застое желчи в печени возникают очаги некроза с последующим замещением их соединительной тканью и развитием цирроза (вторичный билиарный цирроз). Застой желчи приводит к расширению желчных протоков и разрыву желчных капилляров.

Развивается холемия, которая вызывает не только интенсивную окраску кожи, но и явления общей интоксикации, главным образом от воздействия на организм циркулирующих в крови желчных кислот (холалемия). В связи с интоксикацией понижается способность крови к свертыванию, появляются множественные кровоизлияния (геморрагический синдром). С аутоинтоксикацией связано поражение почек, развитие печеночно-почечной недостаточности.

Гематоидин - не содержащий железа пигмент, кристаллы которого имеют вид яркооранжевых ромбических пластинок или иголок, реже - зерен. Он возникает при распаде эритроцитов и гемоглобина внутриклеточно, но в отличие от гемосидерина в клетках не остается и при гибели их оказывается свободно лежащим среди некротических масс. Химически он идентичен билирубину.

Скопления гематоидина находят в старых гематомах, рубцующихся инфарктах, причем в центральных участках кровоизлияний - вдали от живых тканей.

Гематины представляют собой окисленную форму гема и образуются при гидролизе оксигемоглобина. Они имеют вид темно-коричневых или черных ромбовидных кристаллов или зерен, дают двойное лучепреломление в поляризованном свете (анизотропны), содержат железо, но в связанном состоянии.

К выявляемым в тканях гематинам относят: гемомеланин (малярийный пигмент), солянокислый гематин (гемин) и формалиновый пигмент. Гистохимические свойства этих пигментов идентичны.

Гемомеланин (малярийный пигмент) возникает из простетической части гемоглобина под влиянием плазмодиев малярии, паразитирующих в эритроцитах. При малярии развивается гемомеланоз, так как при разрушении эритроцитов малярийный пигмент

попадает в кровь и подвергается фагоцитозу макрофагами селезенки, печени, костного мозга,

96

лимфатических узлов, головного мозга (при малярийной коме). Эти органы приобретают аспидно-серую окраску. В них наряду с малярийным пигментом наблюдается отложение гемосидерина.

Солянокислый гематин (гемин) находят в эрозиях и язвах желудка, где он возникает под воздействием на гемоглобин ферментов желудочного сока и хлористоводородной кислоты. Область дефекта слизистой оболочки желудка приобретает буро-черный цвет.

Формалиновый пигмент в виде темно-коричневых игл или гранул встречается в тканях при фиксации их в кислом формалине (этот пигмент не образуется, если формалин имеет рН >6,0). Его считают производным гематина.

Порфирины - предшественники простетической части гемоглобина, имеющие, как и гем, то же тетрапиррольное кольцо, но лишенное железа. По химической природе порфирины близки билирубину: они растворимы в хлороформе, эфире, пиридине. Метод выявления порфиринов основан на способности растворов этих пигментов давать красную или оранжевую флюоресценцию в ультрафиолетовом свете (флюоресцирующие пигменты). В норме порфирины обнаруживаются в крови, моче, тканях. Они обладают свойством повышать чувствительность организма, прежде всего кожи, к свету и являются поэтому антагонистами меланина.

При нарушениях обмена порфиринов возникают порфирии, для которых характерно увеличение содержания пигментов в крови (порфиринемия) и моче (порфиринурия), резкое повышение чувствительности к ультрафиолетовым лучам (светобоязнь, эритема, дерматит). Различают приобретенную и врожденную порфирии.

Приобретенная порфирия наблюдается при интоксикациях (свинец, сульфазол, барбитураты), авитаминозах (пеллагра), пернициозной анемии, некоторых заболеваниях печени. Отмечаются нарушения функции нервной системы, повышенная чувствительность к свету, нередко развиваются желтуха, пигментация кожи, в моче обнаруживают большое количество порфиринов.

Врожденная порфирия - редкое наследственное заболевание. При нарушении синтеза порфирина в эритробластах (недостаточность уропорфириногена III - косинтетазы) развивается эритропоэтическая форма,

а при нарушении синтеза порфирина в клетках печени (недостаточность уропорфирина III - косинтетазы) - печеночная форма порфирии. При эритропоэтической форме порфирии развивается гемолитическая анемия, поражаются нервная система и желудочно-кишечный тракт (рвота, диарея). Порфирины накапливаются в селезенке, костях и зубах, которые приобретают коричневый цвет; моча, содержащая большое количество порфиринов, становится желто-красной. При печеночной форме порфирии печень увеличивается, становится серо-коричневой, в ожиревших гепатоцитах, помимо отложений порфиринов, находят гемосидерин.

97

Нарушения обмена протеиногенных (тирозиногенных) пигментов

К протеиногенным (тирозиногенным) пигментам относят меланин, пигмент гранул энтерохромаффинных клеток и адренохром. Накопление этих пигментов в тканях служит проявлением ряда заболеваний.

Меланин (от греч. melas - черный) - широко распространенный буро-черный пигмент, с которым у человека связана окраска кожи, волос, глаз. Он дает положительную аргентаффинную реакцию, т.е. обладает способностью восстанавливать аммиачный раствор нитрата серебра до металлического серебра. Эти реакции позволяют гистохимически отличить его в тканях от других пигментов.

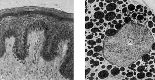
Синтез меланина происходит из тирозина в клетках меланинобразующей ткани - меланоцитах, имеющих нейроэктодермальное происхождение. Их предшественниками являются меланобласты. Под действием тирозиназы в меланосомах меланоцитов (рис. 39) из тирозина образуется диоксифенилаланин (ДОФА), или промеланин, который полимеризуется в меланин. Клетки, фагоцитирующие меланин, называютмеланофагами.

Рис.

39. Кожа при аддисоновой болезни:

а - в базальном слое эпидермиса скопления меланоцитов; в дерме много меланофагов; б - меланоцит кожи. В цитоплазме много меланосом. Я - ядро. Электронограмма. х10 000

Меланоциты и меланофаги содержатся в эпидермисе, дерме, радужной и сетчатой оболочках глаз, в мягкой мозговой оболочке. Содержание меланина в коже, сетчатке и радужке зависит от индивидуальных и расовых особенностей и подвергается колебаниям в различные периоды жизни. Регуляция меланогенезаосуществляется нервной системой и эндокринными железами. Стимулируют синтез меланина меланостимулирующий гормон гипофиза, АКТГ, половые гормоны, медиаторы симпатической нервной системы, тормозят - мелатонин и медиаторы парасимпатической нервной системы. Образование меланина стимулируется ультрафиолетовыми лучами, что объясняет возникновение загара как адаптивной защитной биологической реакции.

98

Нарушения обмена меланина выражаются в усиленном его образовании или исчезновении. Эти нарушения имеют распространенный или местный характер и могут быть приобретенными или врожденными.

Распространенный приобретенный гипермеланоз (меланодермия) особенно часто и резко выражен приаддисоновой болезни (см. рис. 39), обусловленной поражением надпочечников, чаще туберкулезной или опухолевой природы. Гиперпигментация кожи при этой болезни объясняется не столько тем, что при разрушении надпочечников вместо адреналина из тирозина и ДОФА синтезируется меланин, сколько усилением продукции АКТГ в ответ на уменьшение адреналина в крови. АКТГ стимулирует синтез меланина, в меланоцитах увеличивается количество меланосом. Меланодермия встречается также при эндокринных расстройствах (гипогонадизм, гипопитуитаризм), авитаминозах (пеллагра, цинга), кахексии, интоксикации углеводородами.

Распространенный врожденный гипермеланоз (пигментная ксеродерма) связан с повышенной чувствительностью кожи к ультрафиолетовым лучам и выражается в пятнистой пигментации кожи с явлениями гиперкератоза и отека.

К местному приобретенному меланозу относят меланоз толстой кишки, который встречается у людей, страдающих хроническим запором, гиперпигментированные участки кожи (черный акантоз) при аденомах гипофиза, гипертиреоидизме, сахарном диабете. Очаговое усиленное образование меланина наблюдается в пигментных пятнах (веснушки, лентиго) и в пигментных невусах. Из пигментных невусов могут возникать злокачественные опухоли - меланомы.

Распространенный гипомеланоз, или альбинизм (от лат. albus - белый), связан с наследственной недостаточностью тирозиназы. Альбинизм проявляется отсутствием меланина в волосяных луковицах, эпидермисе и дерме, в сетчатке и радужке.

Очаговый гипомеланоз (лейкодерма, или витилиго) возникает при нарушении нейроэндокринной регуляции меланогенеза (лепра, гиперпаратиреоидизм, сахарный диабет), образовании антител к меланину (зоб Хасимото), воспалительных и некротических поражениях кожи (сифилис).

Пигмент гранул энтерохромаффинных клеток, разбросанных в различных отделах желудочно-кишечного тракта, является производным триптофана. Он может быть выявлен с помощью ряда гистохимических реакций - аргентаффинной, хромаффинной реакции Фалька, образование пигмента связано с синтезом серотонина имелатонина.

Накопление гранул, содержащих пигмент энтерохромаффинных клеток, постоянно обнаруживают в опухолях из этих клеток, называемых карциноидами.

Адренохром - продукт окисления адреналина - встречается в виде гранул в клетках мозгового вещества надпочечников. Дает характерную хромаффинную реакцию, в основе которой лежит способность окрашиваться хромовой кислотой в темно-коричневый цвет и восстанавливать бихромат. Природа пигмента изучена мало.

99

Патология нарушений обмена адренохрома не изучена.

Нарушения обмена липидогенных пигментов (липопигментов)

В эту группу входят жиробелковые пигменты - липофусцин, пигмент недостаточности витамина Е, цероид и липохромы. Липофусцин, пигмент недостаточности витамина Е и цероид имеют одинаковые физические и химические (гистохимические) свойства, что дает право считать их разновидностями одного пигмента -липофусцина. Однако в настоящее время липофусцином считают липопигмент лишь паренхиматозных и нервных клеток; пигмент недостаточности витамина Е - разновидность липофусцина. Цероидом называют липопигмент мезенхимальных клеток, главным образом макрофагов.

Патология обмена липопигментов разнообразна.

Липофусцин представляет собой гликолипопротеид. Он представлен зернами золотистого или коричневого цвета, электронно-микроскопически выявляется в виде электронно-плотных гранул (рис. 40), окруженных трехконтурной мембраной, которая содержит миелиноподобные структуры.

Образование липофусцина происходит путем аутофагии и проходит несколько стадий. Первичные гранулы, или пропигмент-гранулы, появляются перинуклеарно в зоне наиболее активно протекающих обменных процессов. Они содержат ферменты митохондрий и рибосом (металлофлавопротеиды, цитохромы), связанные с липопротеидами их мембран. Пропигмент-гранулы поступают в пластинчатый комплекс, где происходит синтез гранул незрелого липофусцина, который суданофилен, ШИК-положителен, содержит железо,

иногда медь, обладает светло-желтой аутофлюоресценцией в ультрафиолетовом свете. Гранулы незрелого пигмента перемещаются в периферическую зону клетки и абсорбируются там лизосомами; появляется зрелый липофусцин, обладающий высокой активностью лизосомных, а не дыхательных ферментов. Гранулы его становятся коричневыми, они стойко суданофильны, ШИК-положительны, железо в них не выявляется, аутофлюоресценция становится красно-коричневой. Накапливающийся в лизосомах липофусцин превращается в остаточные тельца - телолизосомы.

В условиях патологии содержание липофусцина в клетках может резко увеличиваться. Это нарушение обмена называется липофусцинозом. Он может быть вторичным и первичным (наследственным).

100