Материал: Патан Серов учебник

Внимание! Если размещение файла нарушает Ваши авторские права, то обязательно сообщите нам

червеобразном отростке при аппендиците; он подобен механизму местного гиалиноза в очаге хронического воспаления.

Гиалиноз как исход склероза имеет в основном также местный характер: он развивается в рубцах, фиброзных спайках серозных полостей, сосудистой стенке при атеросклерозе, инволюционном склерозе артерий, при организации тромба, в капсулах, строме опухоли и т.д. В основе гиалиноза в этих случаях лежат нарушения обмена соединительной ткани. Подобный механизм имеет гиалиноз некротизированных тканей и фибринозных наложений.

Внешний вид. При выраженном гиалинозе внешний вид органов изменяется. Гиалиноз мелких артерий и артериол ведет к атрофии, деформации и сморщиванию органа (например, развитие артериолосклеротического нефроцирроза).

При гиалинозе собственно соединительной ткани она становится плотной, белесоватой, полупрозрачной (например, гиалиноз клапанов сердца при ревматическом пороке).

Исход. В большинстве случаев неблагоприятный, но возможно и рассасывание гиалиновых масс. Так, гиалин в рубцах - так называемых келоидах - может подвергаться разрыхлению и рассасыванию. Обратим гиалиноз молочной железы, причем рассасывание гиалиновых масс происходит в условиях гиперфункции желез. Иногда гиалинизированная ткань ослизняется.

Функциональное значение. Различно в зависимости от локализации, степени и распространенности гиалиноза. Распространенный гиалиноз артериол может вести к функциональной недостаточности органа (почечная недостаточность при артериолосклеротическом нефроциррозе). Местный гиалиноз (например, клапанов сердца при его пороке) также может быть причиной функциональной недостаточности органа. Но в рубцах он может не причинять особых расстройств.

Амилоидоз

Амилоидоз (от лат. amylum - крахмал), или амилоидная дистрофия, - стромально-сосудистый диспротеиноз, сопровождающийся глубоким нарушением белкового обмена, появлением аномального фибриллярного белка и образованием в межуточной ткани и стенках сосудов сложного вещества - амилоида.

В 1844 г. венский патолог К. Рокитанский описал своеобразные изменения паренхиматозных органов, которые, помимо резкого уплотнения, приобретали восковой, сальный, вид. Заболевание, при котором возникали подобные изменения органов, он назвал «сальной болезнью». Спустя несколько лет Р. Вирхов показал, что изменения эти связаны с появлением в органах особого вещества, которое под действием йода и серной кислоты окрашивается в синий цвет. Поэтому он назвал его амилоидом, а «сальную болезнь» - амилоидозом. Белковая природа амилоида была установлена М.М. Рудневым вместе с Кюне в 1865 г.

Химический состав и физические свойства амилоида. Амилоид представляет собой гликопротеид, основным компонентом которого являются фибриллярные белки (F-компонент).

76

Они образуют фибриллы, имеющие характерную ультрамикроскопическую структуру (рис. 33). Фибриллярные белки амилоида неоднородны. Выделяют 4 типа этих белков, характерных для определенных форм амилоидоза: 1) АА-белок (неассоциированный с иммуноглобулинами), образующийся из своего сывороточного аналога - белка SAA; 2) ALбелок (ассоциированный с иммуноглобулинами), предшественником его являются L-цепи (легкие цепи) иммуноглобулинов; 3) AF-белок, в образовании которого участвует главным образом преальбумин; 4) ASC^-белок, предшественник которого также преальбумин.

Белки фибрилл амилоида можно идентифицировать с помощью специфических сывороток при иммуногистохимическом исследовании, а также ряде химических (реакции с перманганатом калия, щелочным гуанидином) и физических (автоклавирование) реакций.

Фибриллярные белки амилоида, которые продуцируют клетки - амилоидобласты, входят в сложные соединения с глюкопротеидами плазмы крови. Этот плазменный компонент (Р- компонент) амилоида представлен палочковидными структурами («периодические палочки» - см. рис. 33). Фибриллярный и плазменный компоненты амилоида обладают антигенными свойствами. Фибриллы амилоида и плазменный компонент вступают в соединения с хондроитинсульфатами ткани и к образующемуся комплексу присоединяются так называемые гематогенные добавки, среди которых основное значение имеют фибрин и иммунные комплексы. Связи белков и полисахаридов в амилоидном веществе чрезвычайно прочные, чем объясняется отсутствие эффекта при действии на амилоид различных ферментов организма.

Рис.

33. Ультраструктура амилоида:

а - фибриллы амилоида (Ам), х35 000; б - палочковидные образования, состоящие из пентагональных структур (ПСт), х300 000 (по Гленнер и др.)

Характерным для амилоида является его красное окрашивание конго красным, метиловым (илигенциановым) фиолетовым; характерна специфическая люминесценция с тиофлавинами S или Т. Амилоид выявляют также с помощью поляризационного микроскопа. Ему свойственны дихроизм и анизотропия (спектр двойного лучепреломления лежит в пределах

77

540-560 нм). Эти свойства позволяют отличать амилоид от других фибриллярных белков. Для макроскопической диагностики амилоидоза пользуются воздействием на ткань люголевским раствором, а затем 10% раствором серной кислоты; амилоид становится синефиолетовым или грязно-зеленым.

Красочные реакции амилоида, связанные с особенностями его химического состава, могут быть различными в зависимости от формы, вида и типа амилоидоза. В ряде случаев они отсутствуют, тогда говорят об ахроматическом амилоиде, или ахроамилоиде.

Классификация амилоидоза учитывает следующие признаки: 1) возможную причину; 2) специфику белка фибрилл амилоида; 3) распространенность амилоидоза; 4) своеобразие клинических проявлений в связи с преимущественным поражением определенных органов и систем.

1. Руководствуясь причиной, выделяют первичный (идиопатический), наследственный (генетический, семейный), вторичный (приобретенный) и старческий амилоидоз. Первичный, наследственный, старческий амилоидозы рассматривают в качестве нозологических форм. Вторичный амилоидоз, встречающийся при тех или иных заболеваниях, является осложнением этих заболеваний, «второй болезнью».

Для первичного (идиопатического) амилоидоза характерно: отсутствие предшествующего или сопутствующего «причинного» заболевания; поражение преимущественно мезодермальных тканей - сердечно-сосудистой системы, поперечно-полосатых и гладких мышц, нервов и кожи (генерализованный амилоидоз); склонность к образованию узловатых отложений, непостоянство красочных реакций амилоидного вещества (часты отрицательные результаты при окраске конго красным).

Наследственный (генетический, семейный) амилоидоз. Значение генетических факторов в развитии амилоидоза подтверждается своеобразием его географической патологии и особой предрасположенностью к нему определенных этнических групп населения. Наиболее часто встречающийся тип наследственного амилоидоза с преимущественным поражением почек характерен для периодической болезни (семейная средиземноморская лихорадка), которая чаще наблюдается у представителей древних народов (евреи, армяне, арабы).

Встречаются и другие типы наследственного амилоидоза. Так, известен семейный нефропатический амилоидоз, протекающий с лихорадкой, крапивницей и глухотой, описанный в английских семьях (форма Маккла и Уэллса). Наследственный нефропатический амилоидоз имеет несколько вариантов. Для наследственной нейропатии I типа (португальский амилоидоз) характерно поражение периферических нервов ног, а для нейропатии II типа, встречающейся в американских семьях, - поражение периферических нервов рук. При нейропатии III типа, которая описана также у американцев, встречается сочетание ее с не-

фропатией, а при нейропатии IV типа, описанной в финских семьях, отмечается сочетание не только с нефропатией, но и сетчатой дистрофией роговицы. Наследственный

78

кардиопатический амилоидоз, встречающийся у датчан, мало чем отличается от генерализованного первичного амилоидоза.

Вторичный (приобретенный) амилоидоз в отличие от других форм развивается как осложнение ряда заболеваний («вторая болезнь»). Это хронические инфекции (особенно туберкулез), болезни, характеризующиеся гнойно-деструктивными процессами (хронические неспецифические воспалительные заболевания легких, остеомиелит, нагноение ран), злокачественные новообразования (парапротеинемические лейкозы, лимфогранулематоз, рак), ревматические болезни (особенно ревматоидный артрит). Вторичный амилоидоз, при котором, как правило, поражаются многие органы и ткани (генерализованный амилоидоз), встречается по сравнению с другими формами амилоидоза наиболее часто.

При старческом амилоидозе типичны поражения сердца, артерий, головного мозга и островков поджелудочной железы. Эти изменения, как и атеросклероз, обусловливают старческую физическую и психическую деградацию. У старых людей имеется несомненная связь между амилоидозом, атеросклерозом и диабетом, которая объединяет возрастные нарушения обмена. При старческом амилоидозе наиболее часты локальные формы (амилоидоз предсердий, головного мозга, аорты, островков поджелудочной железы), хотя встречается и генерализованный старческий амилоидоз с преимущественным поражением сердца и сосудов, который клинически мало чем отличается от генерализованного первичного амилоидоза.

2. Специфика белка фибрилл амилоида позволяет выделить AL-, АА-, AF- и ASC1-

амилоидоз.

AL-амилоидоз включает первичный (идиопатический) амилоидоз и амилоидоз при «плазмоклеточной дискразии», которая объединяет парапротеинемические лейкозы (миеломная болезнь, болезнь Вальденстрема, болезнь тяжелых цепей Франклина), злокачественные лимфомы и др. AL-амилоидоз всегда генерализованный с поражением сердца, легких и сосудов. АА-амилоидоз охватывает вторичный амилоидоз и две формы наследственного - периодическую болезнь и болезнь Маккла и Уэллса. Это также генерализованный амилоидоз, но с преимущественным поражением почек. AF-амилоидоз - наследственный, представлен семейной амилоидной нейропатией (FAP); поражаются прежде всего периферические нервы. ASC-амилоидоз - старческий генерализованный или системный (SSA) с преимущественным поражением сердца и сосудов.

3. Учитывая распространенность амилоидоза, различают генерализованную и локальную формы. Кгенерализованному амилоидозу, как это видно уже из сказанного, относят первичный амилоидоз и амилоидоз при «плазмоклеточной дискразии» (формы ALамилоидоза), вторичный амилоидоз и некоторые типы наследственного (формы ААамилоидоза), а также старческий системный амилоидоз (ASC^-амилоидоз).Локальный амилоидоз

79

объединяет ряд форм наследственного и старческого амилоидоза, а также локальный опухолевидный амилоидоз («амилоидная опухоль»).

4. Своеобразие клинических проявлений в связи с преимущественным поражением органов и систем позволит выделять кардиопатический, нефропатический, нейропатический, гепатопатический, эпинефропатический, смешанный типы амилоидоза и APUD-амилоидоз. Кардиопатический тип, как говорилось ранее, чаще встречается при первичном и старческом системном амилоидозе, нефропатический - при вторичном амилоидозе, периодической болезни и болезни Маккла и Уэллса; для вторичного амилоидоза характерны и смешанные типы (сочетание поражения почек, печени, надпочечников, желудочно-кишечного тракта). Нейропатический амилоидоз, как правило, имеет наследственный характер. APUD-амилоид развивается в органах APUD-системы при развитии в них опухолей (апудом), а также в островках поджелудочной железы при старческом амилоидозе.

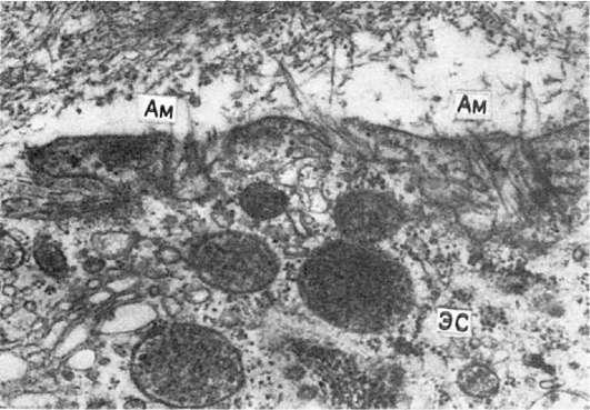
Морфо- и патогенез амилоидоза. Функцию амилоидобластов, продуцирующих белок фибрилл амилоида (рис. 34), при различных формах амилоидоза выполняют разные клетки. При генерализованных формах амилоидоза - это главным образом макрофаги, плазматические и миеломные клетки; однако не исключается роль фибробластов, ретикулярных клеток и эндотелиоцитов. При локальных формах в роли амилоидобластов могут выступать кардиомиоциты (амилоидоз сердца), гладкие мышечные клетки (амилоидоз аорты), кератиноциты (амилоидоз кожи), В-клетки островков поджелудочной железы (инсулярный амилоидоз), С-клетки щитовидной железы и другие эпителиальные клетки APUD-системы.

Рис.

34. Амилоидобласт. Фибриллы амилоида (Ам) в инвагинатах плазмолеммы звездчатого ретикулоэндотелиоцита с гиперплазией гранулярной эндоплазматической сети (ЭС), свидетельствующей о его высокой синтетической активности. х30 000

80