Материал: Патан Серов учебник

Внимание! Если размещение файла нарушает Ваши авторские права, то обязательно сообщите нам

Стадия заживления язв характеризуется процессами регенерации и продолжается в течение 3-4-й недели болезни. Дефекты слизистой обо-

лочки заполняются грануляционной тканью, которая созревает. При незначительных дефектах регенерация может быть полной; при глубокой и распространенной деструкции слизистой оболочки образуются рубцы, приводящие к сужению просвета кишки. Возможно вялое заживление язв, при этом появляются псевдополипы слизистой оболочки. В таких случаях говорят о хронической дизентерии, хотя ряд исследователей понятие хронической дизентерии отвергает, считая такой колит постдизентерийным. Однако у таких больных из краев язв удается высеять дизентерийные бактерии и обнаружить положительную реакцию агглютинации с дизентерийным антигеном.

Классическая схема стадийных изменений слизистой оболочки толстой кишки в ряде случаев нарушается, иногда изменения могут ограничиваться только стадией катарального колита - катаральная дизентерия(абортивная форма). У детей на фоне катарального воспаления слизистой оболочки могут возникать резкие изменения лимфатического аппарата кишки. Происходит гиперплазия клеток солитарных фолликулов, они увеличиваются в размерах и выступают над поверхностью слизистой оболочки (фолликулярный колит).Центральные участки фолликулов могут подвергнуться некрозу и гнойному расплавлению, на поверхности фолликулов появляются язвочки (фолликулярно-язвенный колит).

В регионарных лимфатических узлах при дизентерии возникает воспаление - лимфаденит с явлениями миелоидной метаплазии.

Общие изменения. Каких-либо характерных черт общие изменения не имеют.

В селезенке происходит гиперплазия лимфоидных клеток, она увеличивается, но незначительно. В сердце и печени часто наблюдается жировая дистрофия, в печени, кроме того, возможны мелкоочаговые некрозы. В почках нередко наблюдается некроз эпителия канальцев. Часто возникают нарушения минерального обмена, что ведет к появлению известковых метастазов, образованию микро- и макролитов.

Осложнения связаны прежде всего с язвенными изменениями толстой кишки. Это - перфорация (микроперфорация) язвы с развитием парапроктита или перитонита, флегмона кишки, реже - внутрикишечное кровотечение, рубцовые стенозы кишки. Среди внекишечных осложнений встречаются бронхопневмония, пиелит и пиелонефрит, серозные (токсические) артриты, пилефлебитические абсцессы печени, амилоидоз, интоксикация, истощение.

Смерть больных дизентерией наступает от кишечных или внекишечных осложнений.

Иерсиниоз

Иерсиниоз - острое инфекционное заболевание, характеризующееся поражением желудка и кишечника с наклонностью к генерализации процесса и поражением различных органов.

Иерсиниоз относится к зоонозам. В природе существует естественный резервуар заболевания (грызуны, кошки, собаки, свиньи, крупный и

636

мелкий рогатый скот). Источником заражения могут быть больные иерсиниозом и носители. Чаще болеют дети.

Этиология и патогенез. Возбудитель заболевания - Yersinia enterocolitica. Путь заражения обычно алиментарный через зараженные овощи, фрукты, мясо, молоко. В развитии заболевания выделяют несколько фаз. После заражения инфект преодолевает желудочный барьер, проникает в слизистую оболочку тонкой кишки, вызывает энтерит. Затем иерсинии лимфогенно проникают в мезентериальные лимфатические узлы, где размножаются и накапливаются, - развивается мезентериальный лимфаденит. Далее происходит прорыв бактерий из лимфатической системы в кровь, что ведет к диссеминации инфекции,

поражению внутренних органов, интоксикации. Адекватная иммунная реакция на возбудитель обычно ведет к выздоровлению.

Патологическая анатомия. Выделяют 3 клинико-морфологические его формы: абдоминальную (гастроэнтероколит), аппендикулярную и септическую.

Абдоминальная форма может быть представлена гастроэнтероколитом, энтероколитом или энтеритом, реже острым гастритом. Доминирует терминальный катаральный или катаральноязвенный энтерит. Слизистая оболочка терминального отдела подвздошной кишки отечна, просвет ее сужен, в области гиперплазированных групповых лимфоидных фолликулов определяются округлые язвы. Иногда в процесс вовлекается слепая кишка, где обнаруживают изменения типа псевдомембранозного колита. Характерна инфильтрация всех слоев стенки кишки нейтрофилами, мононуклеарными клетками, эозинофилами, плазматическими клетками. В дне язв находят иерсинии и полиморфно-ядерные лейкоциты.

Мезентериальные лимфатические узлы увеличены в размерах, спаяны в пакеты, ткань их инфильтрирована полиморфно-ядерными лейкоцитами, эозинофилами, гистиоцитами; иногда определяются микроабсцессы.

Печень увеличена, гепатоциты подвергаются дистрофическим изменениям, изредка развивается острый гепатит. Селезенка гиперплазирована (масса увеличена в 1,5-2 раза), с большими зародышевыми центрами в лимфоидных фолликулах и редукцией лимфоидной ткани. Очень часты иммунокомплексные поражения сосудов- васкулиты, тромбоваскулиты, фибриноидный некроз. Следствием системных васкулитов является сыпь, которая отмечается у больных иерсиниозом в 95% случаев, иногда гломерулонефрит.

При аппендикулярной форме, которая некоторыми авторами рассматривается как вариант абдоминальной, обнаруживают любые формы острого аппендицита, сочетающегося с терминальным илеитом и брыжеечным мезаденитом. В стенке червеобразного отростка находят обильную инфильтрацию полиморфно-ядерными лейкоцитами, эозинофилами, гистиоцитами, иногда иерсиниозные гранулемы из макрофагов, эпителиоидных клеток и

единичных гигантских клеток типа Пирогова-Лангханса; для гранулем характерны кариорексис и гнойное расплавление.

637

Септическая форма заболевания протекает по типу септицемии; в 50% случаев она заканчивается летально.

Осложнения. Они имеют инфекционно-аллергический характер. В раннем периоде болезни возможны перфорация язв кишечника с развитием перитонита, желтуха, пневмония. В позднем периоде чаще находят полиартрит, узелковую эритему, синдром Рейтера, миокардит. Осложнения пролонгируют течение заболевания, которое может занимать несколько месяцев.

Исход обычно благоприятный, но заболевание может рецидивировать, принимать хронический характер. Смертельный исход отмечается в основном при септической форме.

Холера

Холера (от древнеевр. choul ran - дурная болезнь или греч. chole - желчь и rheo - течь) - острейшее инфекционное заболевание с преимущественным поражением желудка и тонкой кишки. Холера относится к группе карантинных, или конвенционных, инфекций и чрезвычайно контагиозна. Это - строгий антропоноз.

Этиология. Возбудителем является вибрион, выделенный Р. Кохом в 1884 г. Наибольшее значение имеет вибрион азиатской холеры Коха и вибрион Эль-Тор (Эль-Тор - карантинный пункт в Египте, где в 1906 г. был выделен новый тип вибриона, считавшийся ранее условнопатогенным). Вибрион Эль-Тор по сравнению с вибрионом Коха вызывает более легкие формы заболевания, дает меньшую летальность.

Эпидемиология и патогенез. Распространение холеры имеет характер эпидемий и пандемий. За последние 150 лет было 7 пандемий холеры. Седьмая пандемия началась в 1961 г. в Индонезии (Сулавеси), распространившись впоследствии на страны Азии, Европы и Африки. Она связана с вибрионом Эль-Тор, который по сравнению с вибрионом азиатской холеры более устойчив, обитает как в пресной, так и в морской воде и дольше переживает во внешней среде.

Источником заражения является больной холерой или вибриононоситель, резервуаром возбудителя - вода. Заражение энтеральное и происходит обычно при питье инфицированной воды. Инкубационный период длится 3-5 сут. «Щелочелюбивые» вибрионы, преодолев кислотный барьер желудка (у добровольцев холеру удавалось вызвать лишь после нейтрализации желудочного сока), находят оптимальную среду обитания в тонкой кишке. Здесь они размножаются и выделяют экзотоксин (холероген). Под действием экзотоксина эпителий слизистой оболочки секретирует большое количество изотонической жидкости. Обильная секреция жидкости происходит в результате взаимодействия холерогена с ферментными системами клетки; при этом имеет значение блокада «натриевого насоса» клетки, что нарушает обратное всасывание жидкости из просвета кишки. С обильной секрецией жидкости и нарушением обратного ее всасывания связана профузная диарея. В развитии диареи имеет значение

638

повреждение клеточных и сосудистых мембран, что ведет к повышению тканево-сосудистой проницаемости, причем повреждение мембран связано с наличием у вибриона муциназы (мембранно-фильтрационная теория патогенеза). Профузная диарея приводит к быстрой потере воды и электролитов (натрия, калия, бикарбонатов), а обезвоживание - к гиповолемическому шоку и обменному ацидозу, сгущению крови и гипоксии, нарастающей олигурии и падению температуры тела - алгидный (от лат. algor - холод) период холеры. Прогрессирующий эксикоз и нарушение электролитного баланса играют ведущую роль в возникновении холерной комы.

Патологическая анатомия. В развитии холеры различают 3 стадии (периоды): холерный энтерит, холерный гастроэнтерит и алгидный период.

Холерный энтерит имеет серозный или серозно-геморрагический характер. Слизистая оболочка становится набухшей, отечной и полнокровной; отмечается гиперсекреция бокаловидных клеток, цитоплазматические мембраны которых разрываются и секрет выбрасывается в просвет кишки. На этом фоне появляются единичные или множественные кровоизлияния. Энтерит (особенно вызванный вибрионом Эль-Тор) при своевременном лечении нередко заканчивается выздоровлением, однако он может смениться вторым периодом болезни - холерным гастроэнтеритом.

При холерном гастроэнтерите явления энтерита нарастают, эпителиальные клетки вакуолизируются и теряют микроворсинки; некоторые из них погибают и десквамируются. К энтериту присоединяются серозный или серозно-геморрагический гастрит. Прогрессирующее обезвоживание в этот период связано не только с диареей, но и рвотой.

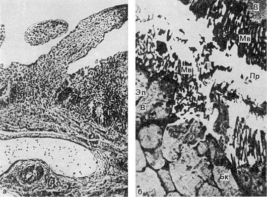
Валгидный период морфологические изменения выражены наиболее отчетливо (рис. 264).

Втонкой кишкеотмечаются резкое полнокровие, отек, некроз и слущивание эпителиальных клеток ворсин, инфильтрация слизистой оболочки лимфоцитами, плазматическими клетками, нейтрофилами, очаги кровоизлияний. Петли кишки растянуты, в просвете их содержится большое количество (3-4 л) бесцветной жидкости без запаха, которая имеет вид рисового отвара. В этой жидкости удается обнаружить вибрионы. Серозная оболочка кишки сухая, с точечными кровоизлияниями, матовая, окрашена в розово-желтый цвет. Между петлями тонкой кишки обнаруживается прозрачная, липкая, тянущаяся в виде нитей слизь.

Проявления эксикоза ярко выражены и обнаруживаются как при осмотре, так и при внутреннем исследовании трупа. Трупное окоченение наступает быстро и сохраняется в течение нескольких дней. В результате этого мышцы резко контурированы («поза гладиатора»). Кожа, как правило, сухая, морщинистая, особенно на пальцах рук («руки прачки»). Вследствие быстро наступающего трупного окоченения она иногда напоминает гусиную. Слизистые оболочки, подкожная клетчатка, мышцы сухие, причем мышцы становятся темно-красными. Кровь в венах густая

639

Рис.

264. Холера. Энтерит (энтеробиопсия):

а - полнокровие, отек, слущивание эпителиальных клеток ворсин, клеточная инфильтрация стромы (препарат А.К. Агеева); б - гомогенизация цитоплазмы клеток кишечного эпителия (Эп), множественные вакуоли (В); разрушение и слущивание микроворсинок (Мв); Бк - гиперсекретирующая бокаловидная клетка. Пр - просвет кишки. х10 000 (по А.А. Авакяну и др.)

и темная. Серозные оболочки также сухие, покрыты липкой, прозрачной слизью, которая тянется в виде нитей. С обезвоживанием связаны изменения многих внутренних органов - селезенки, печени, желчного пузыря, почек, миокарда, головного мозга. Селезенка уменьшается, капсула ее морщиниста, фолликулы атрофичны, отмечается

гемосидероз пульпы. В печени развиваются дистрофия гепатоцитов и очаговые некрозы паренхимы; желчеобразование нарушается. Желчный пузырь растянут прозрачной светлой желчью («белая желчь»). В почках отмечают некроз эпителия канальцев главных отделов нефрона, т.е. изменения, наблюдаемые при олигурии или острой почечной недостаточности. В миокарде, головном мозге имеются дистрофические и некробиотические изменения.

Осложнения. Выделяют специфические и неспецифические осложнения холеры. К специфическимосложнениям относятся холерный тифоид и постхолерная уремия. Холерный тифоид развивается как гиперергическая реакция на повторное

поступление вибрионов. Не исключено значение и патогенной флоры кишечника. Клиникоморфологические проявления алгидного периода при тифоиде исчезают. Основные изменения наблю-

даются в толстой кишке и представлены дифтеритическим колитом, похожим на дизентерийный. Селезенка увеличивается, помимо гиперплазии пульпы в ней находят

640