Материал: Лучевые метод исследования ЦНС, щитовидной железы

Внимание! Если размещение файла нарушает Ваши авторские права, то обязательно сообщите нам

Тироглобулин является основным компонентом коллоида фолликулов щитовидной железы. В крови здоровых людей тироглобулин циркулирует в небольших количествах - в концентрации 7-60 мкг/л. Концентрация по­вышается при различных заболеваниях щитовидной железы: тиреоидите, токсической аденоме, диффузном токсическом зобе. Однако наибольшее значение имеет определение этого гормона у больных раком железы. При недифференцированном раке содержание тироглобулина в крови не повы­шается, тогда как дифференцированные формы опухоли обладают способ­ностью продуцировать большое количество тироглобулина. Особенно зна­чительно увеличивается концентрация тироглобулина при появлении мета­стазов дифференцированного рака щитовидной железы.

Для изучения формы  ЩЖ а также определения степени накопления РФП применяется сцинтиграфия. Равномерное накопления РФП представлено на рис. 31. 

Рис. 31. Сцинтиграмма нормальной щитовидной железы.

 

Лучевые метод исследования центральной нервной системы

         Применение компьютерной и магнитно-резонансной томографии

привело к формированию в радиологии термина  нейровизуализации.

          Использование этих методов позволяет ответить на вопрос: есть ли

изменения и где они локализуются, оценить состояние ликворсодержащей

системы и приле­гающих к патологическому очагу тканей и, наконец,

определить природу патологического про­цесса.

Из лучевых методов диагностики в настоящее время достаточно широко

применяются

КТ, МРТ, ульт­развуковое исследование головного мозга (нейросонография).

       Череп и позвоночник надежно  защищают головной и спинной  мозг от внешних воздействий, поэтому повреждения черепа и позвоночника часто сочетаются с повреждениями мозга. В то же время многие заболевания мозга и его оболочек ведут к вторичным изменениям в скелете. Естествен­но, лучевую анатомию, лучевую физиологию и лучевую диагностику пора­жений черепа, позвоночника и центральной нервной системы целесообраз­но оценивать в комплексе.

Основным и испытанным методом лучевого исследования черепа явля­ется обзорная рентгенография. Обычно ее выполняют в двух стандартных проекциях -- прямой и боковой. В дополнение к ним иногда требуются ак­сиальные, полуаксиальные и прицельные рентгенограммы. По обзорным и прицельным снимкам устанавливают положение, величину, форму, конту­ры и структуру всех костей черепа.

На обзорных рентгенограммах в прямой и боковой проекциях (рис. III. 187) четко обрисовываются мозговой и лицевой череп. Толщина костей свода варьирует от 0,4 до 1 см. В области височной впадины она наимень­шая, что на боковой рентгенограмме проявляется как просветление. В то же время в области теменных и затылочных бугров кости толще. На фоне мелкоячеистой структуры костей свода заметны различные просветления. К ним относятся древовидно разветвляющиеся борозды оболочечных арте­рий, широкие каналы и звездчатые разветвления диплоических вен, не­большие округлые или полулунные просветления пахионовых ямок и неот­четливые очертания пальцевых вдавлений (преимущественно в лобном от­деле черепа). Естественно, на снимках демонстративно выступают содер­жащие воздух пазухи (лобные, решетчатые, околоносовые, пазухи основ­ной кости) и пневматизированные ячейки височных костей.

Основание черепа хорошо видно на боковых и аксиальных снимках. На его внутренней поверхности определяются три черепные ямки: передняя, средняя и задняя. Границей между передней и средней ямками служат зад­ние края малых крыльев основной кости, а между средней и задней -- верх­ние края пирамид височных костей и спинка турецкого седла. Турецкое седло является костным вместилищем гипофиза. Оно рельефно вырисовы­вается на боковом снимке черепа, а также на прицельных снимках и томо­граммах (рис. 32, 33). По снимкам оценивают форму седла, состояние его передней стенки, дна и спинки, его сагиттальный и вертикальный размеры.

Вследствие сложного анатомического строения черепа на рентгенограм­мах определяется довольно пестрая картина: изображения отдельных костей и их частей накладываются друг на друга. В связи с этим иногда прибегают к линейной томографии, чтобы получить изолированное изображение нужного отдела той или иной кости. При необходимости выполняют КТ. Это осо­бенно относится к костям основания черепа и лицевого скелета.

Рис 32. Обзорные рентгенограммы черепа и схемы к ним.

а -- прямая проекция: 1 -- наружная пластинка, 2 -- внутренняя пластинка, 3 -- ве­нечный шов, 4 -- сагиттальный шов, 5 -- ламбдовидный шов, б -- лобный гребень, 7 -- лобные синусы, 8 -- верхние края малых крыльев основной кости, 9 -- височ­ный край большого крыла основной кости, 10 -- верхние края пирамид височной кости, 11 -- верхушки пирамид, 12 -- глазницы, 13 -- отверстие канала зрительного нерва, 14 -- носовая перегородка, 15 -- носовые ходы, 16 -- верхнечелюстные пазу­хи, I/ -- подглазничное отверстие, 18 -- сосцевидный отросток, 19 -- верхняя челюсть, 20 -- нижняя челюсть, 21 -- клетки решетчатого лабиринта; б -- боковая проекция: 1 -- венечный шов, 2 -- костные борозды ветвей средней оболочечной артерии, 3 -- ламбдовидный шов, 4 -- лобные синусы, 5 -- дно боковых отделов передней черепной ямы, 6 -- основная пластинка, 7 -- дно среднего отдела передней черепной ямы, 8 -- турецкое седло, 9 -- скуловая кость, 10 -- клетки решетчатого лабиринта, 11 -- верхнечелюстные пазухи, 12 -- дно боковых отделов средней череп­ной ямы, 13 -- пирамиды височных костей, 14 -- угол нижней челюсти, 15 -- сустав­ной отросток нижней челюсти, 16 -- венечный отросток нижней челюсти, 17 -- зу­бовидный отросток Си, 18 -- отверстие наружного слухового прохода.

Рис. 33. Рентгенограмма турецкого седла и схема к ней.

1 -- площадка основной кости; 2 -- пазухи ос­новной кости; 3 -- бугорок седла; 4 -- апофиз переднего клиновидного отростка; 5 -- апофиз заднего клиновидного отростка; б -- спинка седла; 7 -- дно седла; 8 -- задняя стенка пазухи основной кости; 9 -- средний клиновидный отросток; 10 -- большое крыло основной кости; 11 -- суставной отросток нижней че­люсти; 12 -- отверстие наружного слухового прохода; ab -- сагиттальный размер седла; h -- вертикальный размер седла.

Мозг и его оболочки слабо поглощают рентгеновское излучение и на обычных снимках не дают различимой тени. Отражение находят лишь отложения извести, которые в нормальных условиях иногда встречаются в эпифизе, сосудистых сплетениях боковых желудочков и серповидном отростке.

 

Лучевая анатомия головного мозга

            Основными методами прижизненного исследования структуры голов­ного мозга в настоящее время являются КТ и особенно МРТ.

               Наиболее часто показаниями к лучевому исследованию головного мозга служат

наличие признаков нарушения мозгового кровообращения, повышение внутричерепного давления, общемозговая и очаговая неврологическая симптоматика, нарушения зрения, слуха, речи, памяти.

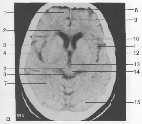
Компьютерные томограммы головы производят при горизонтальном положении пациента, выделяя изображения отдельных слоев черепа и головного мозга (рис. 34).

Рис. 34.         КТ изображение  головы в аксиальной плоскости. Определяется перелом затылочной кости на уровне внутреннего затылочного выступа справа.

 Специальной подготовки к исследованию не требуется. Полное исследование головы состоит из 12--17 срезов (в зависи­мости от толщины выделяемого слоя). Об уровне среза можно судить по конфигурации желудочков мозга; они, как правило, видны на томограммах. Часто при КТ мозга используют методику усиления путем внутривенного введения водорастворимого контрастного вещества.

            На компьютерных и магнитно-резонансных томограммах хорошо разли­чимы полушария большого мозга, мозговой ствол и мозжечок. Можно дифференцировать серое и белое вещество, очертания извилин и бо­розд, тени крупных сосудов, ликворные пространства. Как КТ, так и МРТ наряду с послойным изображением могут реконструировать трех­мерное отображение и анатомическую ориентацию во всех структурах черепа и головного мозга. Компьютерная обработка позволяет полу­чить увеличенное изображение интересующей врача области.

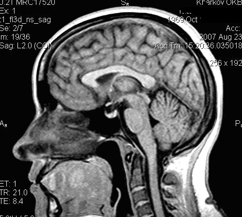
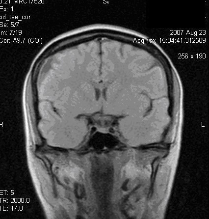
При изучении структур мозги МРТ имеет некоторые преимущества перед КТВо-первых, на MP-томограммах более четко различаются структурные элементы головного мозга, отчетливее дифференцируются белое и серое вещество, все стволовые структуры. На качестве магнитно-резонансных то­мограмм не отражается экранирующее действие костей черепа, ухудшаю­щее качество изображения при КТ. Во-вторых, МРТ можно производить в разных проекциях и получать не только аксиальные, как при КТ, но и фронтальные, сагиттальные и косые слои. В-третьих, это исследование не связано с лучевой нагрузкой. Особым достоинством МРТ является возмож­ность отображения сосудов, в частности сосудов шеи и основания головно­го мозга, а при контрастировании гадолинием -- и мелких сосудистых вет­вей (см. рис. 35 и 36).

Рис. 35.         МРТ изображения  области головы в сагиттальной и фронтальной плоскостях Т1 ВИ,  хорошо различимы структуры головного мозга.

Рис. 36. Изображения аксиальных срезов КТ и МРТ области головы над уровнем  четвертого желудочка:

а -- аксиальный срез КТ; б -- аксиальный срез МРТ

(Т1-ВИ); в -- аксиальный срез МРТ (Т2-ВИ).

1 -- лобная доля; 2 -- лобный рог бокового желудочка; 3 -- латеральная щель мозга; 4 -- третий желудочек; 5 -- ножка мозга; 6 -- цистерна четверохолмия; 7 -- височная доля; 8 -- верхний сагиттальный синус; 9 -- серп мозга; 10 -- головка хвостатого ядра; 11 -- кора островка; 12 -- скорлупа; 13 -- внутренняя вена мозга; 14 -- четверохолмие; 15 -- полушарие мозжечка; 16 -- зрительный нерв; 17 -- височный рог бокового желу­дочка; 18 -- гиппокамп; 19 -- передняя долька мозжечка; 20 -- хиазма; 21 -- внутренняя сонная артерия; 22 -- охватывающая цистерна; 23 -- четвертый желудочек; 24 -- прямая извилина; 25 -- ольфакторная бо­розда; 26 -- средняя мозговая артерия; 27 -- червь; 28 -- затылочная доля; 29 -- клетчатка орбиты; 30 -- пе­редняя мозговая артерия; 31 -- межножковая цистерна.

         Представленные изображения  в полной мере дают возможность оценить структуры головного мозга.

 

Лучевая анатомия спинного мозга

            У взрослого человека спинной мозг начинается на уровне большого затылочного отверстия и заканчивается примерно на уровне межпозвоночного диска между L, и Ln. От каждого сегмента спинного мозга отходят передние и задние корешки спинномоз­говых нервов (рис. 3.12, 3.13). Корешки направляются к соответствующему межпозвоночному отверстию.

  Здесь задний корешок образует спинномоз­говой узел (локальное утолщение -- ганглион). Передний и задний корешки соединяются сразу после ганглия, формируя ствол спинномозгового нерва.

 

         МРТ исследования дают широкую возможность исследовать  все структуры спинного мозга в разных плоскостях. ( рис. 37-41 )

Рис. 37. Срединные сагиттальные МРТ пояснично-крестцового отдела позвоночника.

а-Т2-ВИ;б-Т1-ВИ.

1 -- конус спинного мозга; 2 -- конский хвост спинного мозга; 3 -- субарахноидальное пространство; 4 -- дуральный мешок; 5 -- терминальная нить; 6 -- эпидуральное пространство; 7 -- тело Sp 8 -- пуль­позное ядро межпозвонкового диска; 9 -- фиброзное кольцо межпозвонкового диска; 10 -- каналы бази-вертебральных вен; 11 -- остистый отросток LIV.     

Рис. 38. МРТ. Срединное сагиттальное изображение шейного отдела позвоночника.

а-Т2-ВИ;б-Т1-ВИ.

1 -- спинной мозг; 2 -- субарахноидальное пространство; 3 -- дуральный мешок (задняя стенка); 4 -- эпидуральное пространство; 5 -- передняя дуга С1; 6 -- задняя дуга С1; 7 -- тело С2; 8 -- межпозвонко­вый диск; 9 -- гиалиновая пластинка; 10 -- артефакт изображения; 11 -- остистые отростки позвонков; 12 -- трахея; 13 -- пищевод.

Рис. 39. МРТ. Парасагиттальное изображение пояснично-крестцового отдела позвоночника.

а-Т2-ВИ;б-Т1-ВИ.

-- эпидуральное пространство; 2 -- субарахно-идальное пространство; 3 -- корешки спинно­мозговых нервов; 4 -- пластины дуг позвонков.

Рис. 40. Схематическое изображение оболочек спинного мозга и спинномозговых корешков [П.Дуус].

1 -- эпидуральная клетчатка; 2 -- твердая мозговая оболоч­ка; 3 -- паутинная мозговая оболочка; 4 -- субарахнои-дальное пространство; 5 -- мягкая мозговая оболочка; 6 -- задний корешок спинномозгового нерва; 7 -- зубчатая связ­ка; 8 -- передний корешок спинномозгового нерва; 9 -- се­рое вещество; 10 -- белое вещество.

Рис. 41. МРТ. Поперечный срез на уровне межпоз­вонкового диска Clv_v. Т2-ВИ.

1 -- серое вещество спинного мозга; 2 -- белое веще­ство спинного мозга; 3 -- субарахноидальное про­странство; 4 -- задний корешок спинномозгового нерва; 5 -- передний корешок спинномозгового не­рва; 6 -- спинномозговой нерв; 7 -- позвоночная ар­терия; 8 -- крюч ко видный отросток; 9 -- фасетки суставных отростков; 10 -- трахея; 11 -- яремная вена; 12 -- сонная артерия.

Ультразвуковое сканирование также может быть использовано для ис­следования головного мозга, но лишь в раннем детском возрасте, когда со­хранен родничок. Именно над мембраной родничка и располагают детек­тор ультразвуковой установки. У взрослых производят преимущественно одномерную эхографию (эхоэнцефалографию) для определения расположения срединных структур мозга, что необходимо при распознавании объемных процессов в мозге (рис. 42).

Рис. 42. Нейросонография. Изображения головного мозга в сагиттальной плоскости: а -- срединно-сагиттальный срез; б -- парасагиттальный срез через тела боковых желудочков.

I -- поясная борозда; 2 -- мозолистое тело; 3 -- межжелудочковое отверстие; 4 -- сосудистое сплетение нижнего рога; 5 -- клубок сосудистого сплетения; 6 -- III желудочек; 7 -- височная доля; 8 -- лобная доля; 9 -- теменная доля; 10 -- инфундибулярный карман; 11 -- водопровод среднего мозга; 12 -- четверохол-мная цистерна; 13 -- IV желудочек; 14 -- мозжечок; 15 -- межталамическая спайка.

Ультразвуковое исследование выполняют посредством как сонографии, так и, главным образом, допплерографш -- одномерной и двухмерной {цветное допплеровское картирование). Специальной подготовки больного не тре­буется. Процедуру обычно производят при горизонтальном положении его на спине. Руководствуясь анатомическими ориентирами и результатами пальпации, определяют местоположение изучаемого сосуда и покрывают поверхность тела над ним гелем или вазелиновым маслом. Датчик устанав­ливают над артерией, не сдавливая ее. Затем его постепенно и медленно продвигают по ходу артерии, рассматривая изображение сосуда на экране. Исследование проводят в режиме реального времени с одновременной ре­гистрацией направления и скорости кровотока. Компьютерная обработка обеспечивает получение на бумаге цветного изображения сосудов, допплерограммы и соответствующих цифровых показателей. Исследование прово­дят обязательно с обеих сторон.

Головной мозг получает кровь из двух систем: двух внутренних сон­ных и двух позвоночных артерий. Крупные кровеносные сосуды различимы на компьютерных томограммах, полученных в условиях внутривенного искусственного контрастирования. В последние годы быстро развилась и получила всеобщее признание MP-ангиография. Ее достоинствами явля­ются неинвазивность, простота выполнения, отсутствие рентгеновского облучения.

Лучевые методы незаменимы в исследовании кровотока в мозге. С их помощью устанавливают положение, калибр и очертания краниальных вет­вей дуги аорты, наружной и внутренней сонных артерий, позвоночных артерий, их вне- и внутримозговых ветвей, вен и синусов мозга. Лучевые ме­тоды позволяют регистрировать направление, линейную и объемную ско­рость кровотока во всех сосудах и выявлять патологические изменения как в строении, так и в функционировании сосудистой сети.

Наиболее доступным и весьма эффективным методом изучения мозгового кровотока является ультразвуковое исследование. Речь идет, естественно, только об ультразвуковом исследовании внечерепных сосудов, т.е. сосудов шеи. Оно показано при диспансерном и клиническом исследовании на самом первом этапе. Исследование не обременительно для пациента, не со­провождается осложнениями, не имеет противопоказаний.

Однако детальное изучение сосудистой системы мозга возможно только при ангиографии, причем предпочтение всегда отдают цифровой регистрации изображения, т.е. выполнению ДСЛ (рис. 43). Катетеризацию сосудов обычно осущест­вляют через бедренную артерию, затем катетер под контролем рентгеноско­пии проводят в исследуемый сосуд и вливают в него контрастное вещество. При введении его в наружную сонную артерию на ангиограммах отобража ются ее ветви -- поверхностная височная, средняя оболочечная и др. Если контрастное вещество вливают в общую сонную артерию, то на снимках на­ряду с ветвями наружной сонной артерии дифференцируются сосуды мозга. Наиболее часто прибегают к каротидной ангиографии -- контрастное веще­ство вводят во внутреннюю сонную артерию. В этих случаях на снимках вы­рисовываются только сосуды мозга.  Вначале появляется тень артерий, позднее -- поверхностных вен мозга и, наконец, глубоких вен мозга и венозных пазух твердой мозговой оболочки, т.е. синусов. Для исследова­ния системы позвоночной артерии контрастное вещество вводят непосред­ственно в этот сосуд. Такое исследование называют вертебральной ангиогра­фией.

Рис. 43. Каротидные артериограммы черепа (норма), а -- прямая проекция; б -- боковая проекция.

Ангиографию, как правило, производят после КТ или МРТ. Показа­ниями к выполнению ангиографии служат сосудистые поражения (инсульт, субарахноидальное кровоизлияние, аневризмы, поражения экстракрани­альной части магистральных сосудов шеи). Ангиографию осуществляют также при необходимости выполнения внутрисосудистых лечебных вмеша­тельств -- ангиопластики и эмболии. Противопоказаниями считают эндо­кардит и миокардит, декомпенсацию деятельности сердца, печени, почек, очень высокую артериальную гипертензию, шок.

Исследование мозга методами радиоиуклидной диагностики ограничива­ется в основном получением функциональных данных. Принято считать, что величина мозгового кровотока пропорциональна метаболической ак­тивности головного мозга, поэтому, применив соответствующий РФП, на­пример пертехнетат, можно выявить участки гипо- и гиперфункции (рис. 44). 

Рис. 44.   Эмиссионная  однофотонная томография головного мозга до (а) и после (б) эпилептического припадка. Снижение функциональной активности в лобной доле слева. 

Такие исследования проводят для локализации эпилептических очагов, при выявлении ишемии у пациентов с деменцией, а также для изу­чения ряда физиологических функций головного мозга. В качестве метода радиоиуклидной визуализации, помимо сцинтиграфии, с успехом применя­ют однофотонную эмиссионную томографию и особенно позитронную эмиссионную томографию.          Последняя по техническим и экономическим соображениям, как отмечалось ранее, может быть выполнена только в крупных научных центрах.