Материал: lektsia_5

Внимание! Если размещение файла нарушает Ваши авторские права, то обязательно сообщите нам

Лекция. Диф. диагностика заболеваний с экзантемами

×Вы должны завершить лекцию за 1 ч. 20 мин..

К настоящему времени Вы заработали баллов: 0 из 0 возможных.

Введение

Дифференциальная диагностика заболеваний с экзантемами

Цель лекции. Сформировать представления о подходах к приведению дифференциального диагноза инфекционных сыпных заболеваний.

План лекции.

1. Основные характеристики сыпи при инфекционных экзантемах

2. Дифференциальная диагностика розеолезной сыпи

3. Мелкоточечная сыпь у инфекционных больных

4. Дифференциальный диагноз кори и краснухи у взрослых

5. Геморрагическая экзантема

6. Заболевания, протекающие с везикулезной сыпью

Экзантемы являются одним из наиболее ярких и значимых в диагностическом и дифференциально-диагностическом отношении симптомов, встречаются при многих инфекционных болезнях.

Существует заболевания, диагноз которых при отсутствии сыпи не выставляется. Это корь , скарлатина, ветряная оспа, опоявывающий лишай, менингококцемия.

При ряде заболеваний сыпь встречается очень часто (в 90-98% случаев), но не всегда: краснуха, сыпной тиф, тифо-паратифозные заболевания, боррелиоз.

При столь частом присутствии экзантемы последняя становится важным дифференциально-диагностическим критерием, на экзантеме зачастую базируется постановка диагноза.

В следующей группе инфекционных болезней экзантема может встречаться от отдельных случаев до частоты более 50-60%: инфекционный мононуклеоз, лептоспироз, вирусный гепатит, энтеровирусная инфекция, грипп, псвевдотуберкулез … При постановке диагноза следует помнить о возможном как наличии, так и отсутствии сыпи.

Последняя группа инфекций, при которых сыпь не бывает никогда:амебиаз, дизентерия, ботулизм, столбняк … И если вдруг выявлена сыпь, то это может быть проявление какого-либо осложнения (например, сывороточная болезнь при ботулизме, лекарственная аллергия), или следует пересмотреть основной диагноз.

Правильной трактовки сыпи помогают правила описания экзантем. При выявлении сыпи необходимо:

— определить срок ее появления (день болезни);

— оценить интенсивность сыпи (количество элементов);

— локализацию;

— порядок высыпания (одномоментное появление, этапное, «подсыпание» элементов);

— характер элементов;

— их дальнейших метаморфоз и сроки исчезновения;

— фон кожи, на котором выявлена сыпь.

Обязательно учитываются другие клинические проявления болезни.

Сроки появления сыпи могут варьировать. Относительно постоянные сроки возникновения экзантемы, а значить более четкая ориентация в диагностике возможна при следующих заболеваниях. Сыпь появляется на

1-й день болезни при скарлатине, краснухе, менингококцемии, герпетической инфекции, ветряной оспе. 3-4 день появления характерны для кори, марсельской лихорадки, сыпного тифа; 7-10 день для брюшного тифа. У большинства инфекционных болезней сроки появления сыпи нефиксированные.

Что касается интенсивности сыпи, то число высыпных элементов может быть самым разным при одном и том же заболевании. Например, при ветрянке очень обильная сыпь буквально на всех участках кожи, за исключением кожи подошв и ладоней, встречается главным образом в тяжелых случаях. Но при этом же заболевании оспе возможны и единичные высыпания. В подозрительных случаях необходимо обязательно осмотреть (и пропальпировать) кожу волосистой части головы: не бывает ветрянки без сыпи в этой области. Большое количество сыпи, не поддающее подсчету, характерно для сыпного тифа, такая же розеолезная сыпь, но единичные элементы типичны для брюшного тифа.

Локализация сыпи коже сгибательных поверхностей конечностей, передней поверхности грудной клетки и живота и к тому же сгущается в местах естественных складок кожи (подмышечные впадины, паховые складки, локтевые и коленные сгибы), в абсолютном большинстве случаев свидетельствует о скарлатине или псевдотуберкулезе. Такая локализация сыпи исключает корь и краснуху, при которых высыпные элементы расположены по всему телу или преимущественно на разгибательных поверхностях и спине. Достаточно характерна локализация сыпи при сыпном тифе и болезни Брилла — обильные розеолы и петехии (в центре розеол и рядом с ними) располагаются преимущественно на боковых поверхностях грудной клетки, реже их можно видеть на коже сгибательных поверхностей рук, верхней половины живота.

Феномен «подсыпания» особенно характерен для брюшного тифа, при котором розеолы появляются на коже живота, обычно в нижних его отделах.

Существенным подспорьем в дифференциальном диагнозе инфекционных сыпей является оценка фона кожи, на котором видны высыпные элементы. Наиболее выразительный пример: точечная экзантема на гиперемированном фоне кожи при скарлатине и сходная сыпь при псевдотуберкулезе и кишечном иерсиниозе, которая появляется на нормальном или слегка желтушном фоне кожи. В сомнительных случаях наличие диффузной гиперемии кожи можно подтвердить, прижав ладонь к коже и тем самым сдавив сосуды. После этого приема кожа короткое время «держит» свою обычную окраску (на ней как бы отпечатывается ладонь), а затем вновь становится гиперемированной, такой же, как и на других участках кожи.

Далее дифференциальный диагноз проводим по основной характеристике сыпи - по характеру элементов

РОЗЕОЛЕЗНАЯ ЭКЗАНТЕМА

РОЗЕОЛЕЗНАЯ ЭКЗАНТЕМА

Брюшной тиф

Сыпной тиф и болезнь Брилла

Блошиный сыпной тиф

Марсельская лихорадка

Клещевой сыпной североазиатский тиф

Псевдотуберкулез

Лептоспироз

Самыми типичными являются тифы: брюшной и сыпной.

Элементом сыпи при брюшном тифе является розеола, для нее характерно появление на 7-10 день болезни, с локализацией на передне-боковых отделах стенки грудной клетки и брюшной стенке, появляется сыпь не одномоментно, т.е. характерен феномен подсыпания, держится 2-4 дня и исчезает бесследно. Элементов сыпи немного они легко поддаются подсчету. Помимо сыпи у пациентов выявляется лихорадка, ваготония, гепатоспленомегалия.

Для сыпного тифа и болезни Брилла также характерны розеолы, которые появляются на 4 день болезни, в этом случае сыпь обильная, может быть полиморфной, возможны первичные (на неизмененной коже) и вторичные (в розеолах) петехии. Локализация на коже боковых поверхностях туловища, груди, сгибательных поверхностях конечностей. Сохраняются розеолы 3-4 дня, петехии – до недели, исчезают бесследно. Кроме этого больного беспокоят лихорадка, головная боль, возможна бессонница, эйфория, энантема, менигоэнцефалит

МЕЛКОТОЧЕЧНАЯ СЫПЬ

Скарлатина

Стафилококковая инфекция

Псевдотуберкулез

Медикаментозный дерматит

 Самым типичным заболеванием является скарлатина, которой болеют только дети. Сыпь мелкоточечная, не сливается, сгущается в местах естественных складок кожи, локализуется чаще на боковых поверхностях туловища, в подмышечных, паховых областях, на сгибательных поверхностях конечностей. В местах сгущения сыпи возможны единичные точечные геморрагии. Такая сыпь независимо от заболевания, при котором развивается, называется скарлатиноподобной. При скарлатине сыпь появляется в первый день болезни на гиперемированной коже, исчезает с шелушением. Помимо сыпи у больных можно обнаружить лихорадку, «малиновый» язык, тонзиллит.

Общий вид сыпи

Сыпь в паховой области

Белый «малиновый» язык

 

Красный «малиновый» язык

Шелушение кожи

Стафилококковая инфекция

Для заболевания характерны лихорадка, гнойные очаги (артриты, остеомиелиты, абсцессы и др), сыпь скарлатиноподобная возможна, но не обязательна. Возникать может в различные сроки, через через 5-7 дней после исчезновения сыпи – шелушение.

Скарлатиноподобная десквамативная рецидивирующая эритема Фереоля—Бенье

Это лекарственная реакция на прием сульфаниламидных препаратов: появляется лихорадка, которая держится 2-3 дня,  на 2-3-й день болез­ни скарлатиноподобная сыпь, для которой характерно жжение в области эритемы. Возможно повторное развитие после приема сульфаниламидов.

 

Псевдотуберкулез

 

Заболевание имеет много различных проявлений: лихорадка, «малиновый» язык, терминальный илеит, гепатоспленомегалия, диарея, артриты, менингиты… Одна из форм – скарлатиноподобная дальневосточная лихорадка – протекает с скарлатиноподобной сыпью, клинически очень напоминает скарлатину. В дифференциальной диагностике учитывается возраст больных, поражение желудочно-кишечного тракта, опорно-двигательного аппарата, нервной системы и других проявлений псевдотуберкулеза. Помимо указанной характеристики сыпи возможны  симптомы «перчаток», «носков», «капюшона». Часто сыпь локализуется на симметричных участках тела и имеет тенденцию к сгущению вокруг суставов.

Локализация сыпи

Симптом «перчаток»

ПЯТНИСТАЯ СЫПЬ

ПЯТНИСТАЯ СЫПЬ

Корь

Краснуха

Инфекционные эритемы

Инфекционный мононуклеоз

Клещевой сыпной североазиатскии тиф

Лептоспироз

Энтеровирусная (бостонская) экзантема

Трихинеллез

Медикаментозный дерматит

 

Самой частой причиной пятнисто папулезной сыпи является аллергия.

Сыпь при аллергии

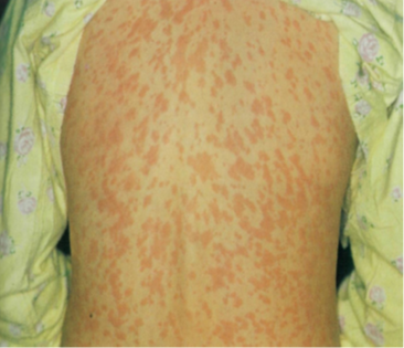
Корь и краснуха

Корь, как и краснуха, начинается остро. При кори температура тела повышается всегда, при краснухе лихо­радка может отсутствовать. Продромальный период (период перед высыпаниями) при кори очень богат симптомами: самочувствие у больных доволь­но тяжелое, развивается ринит, конъюнктивит, ларингит с грубым, «лающим» кашлем. При краснухе продро­мальный период нередко отсутствует или протекает коротко, в течение нескольких часов, и в смягченном варианте. Для краснухи характерен заднешейный и затылоч­ный лимфаденит.  При кори на 2-3-й, а иногда и с 1 -го дня болезни появляются пятна Бельского—Филатова—Коплика, которые сразу решают все диагностические проблемы. Сыпь при кори крупная, яркая, обильна, высыпает на неизмененном фоне кожи в течение 3 дней поэтапно, сверху вниз. С 4-го дня высыпного периода экзантема начинает угасать в том же порядке, в котором появилась — сверху вниз. Коревая сыпь оставляет после себя коричневую пигментацию, которая через несколько дней бесследно исчезает.

При краснухе сыпь тоже обильная, но она неяркая, обычно бледно-розового цвета с нежно-сиреневым оттенком, состоит из мелких пятен, которые появляются практически одномоментно. Сыпь сосредоточена главным образом на разгибательных поверхно­стях рук, наружных поверхностях бедер, на коже спины и всег­да есть на ягодицах. Через 2-3 дня экзантема при краснухе полностью уга­сает, не оставляя никаких следов, даже пигментации.

Дифференциальному диагнозу кори и краснухи помогает наличие увеличенных, чувствительных при пальпации заты­лочных и заднешейных лимфатических узлов при краснушной инфекции.

Пятна Бельского—Филатова—Коплика

Сыпь при кори

Сыпь при краснухе

ГЕМОРРАГИЧЕСКАЯ ЭКЗАНТЕМА

Сыпной тиф и болезнь Брилла

Геморрагические лихорадки

Лептоспироз

Менингококкемия

Сепсис

Грипп

 

Менингококцемия

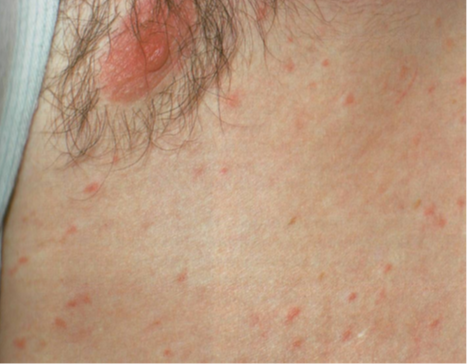
Сыпь при менингококковой инфекции всегда знаменует собой менингококцемию (менингококковый сепсис), она всег­да полиморфна: у одного и того же больного выявляются и ро­зеолы, и более крупные пятна, и папулы, и самые разнообраз­ные геморрагии. Высыпания происходят беспорядочно и с са­мого начала элементы сыпи можно видеть в различных областях тела, на лице они встречаются достаточно редко, излюбленная локализация нижние конечности и ягодицы. Закономерное появление при менингококцемии геморрагических элементов: петехий, экхимозов раз­личной величины и формы, но особенно звездчатых кровоиз­лияний.

Диагноз менингококковой инфекции, ко­нечно, облегчается, когда менингококцемия с характерной экзантемой сопровождается симптомокомплексом менинги­та (менингоэнцефалита). При особо тяжелых формах кори появление петехий возможно, но звездчатых экхимозов при ней не бывает.

Некрозы при менингококцемии

Сыпь при менингококцемии

Геморраги­ческие лихорадки

Природно-очаговые заболевания с трансмиссивным механизмом передачи, характеризуются лихорадкой, гиперемия лица и шеи, ретроорбитальными болями, ОПН, поражение ЦНС,  геморрагическим синдром. Сыпь в виде петехий, иногда   более крупных элементов - пурпу­ра, экхимозы, располагается на туловище, подмы­шечные области, над- и подключичные области.

Сыпь при геморрагических лихорадках

ВЕЗИКУЛЕЗНАЯ ЭКЗАНТЕМА

Гепрпетическая инфекция, вызванная вирусом простого герпеса ½ типа

Ветряная оспа

Опоясывающий лишай

Натуральная оспа

Оспа обезьян

Везикулезный (гамазовый) риккетсиоз

 

Затруднений в дифференциальном диагнозе везикулезной сыпи, как правило, не бывает. Везикулы при простом герпесе локализуются главным образом вокруг естественных отвер­стий (герпес вокруг губ, на щеках, конъюнктивах, вокруг гени­талий, ануса), при опоясывающем лишае — по ходу нервных стволов, при ветрянке сыпь носит беспорядочный, диссемини­рованный характер. Сложности могут возникать при генерали­зованном опоясывающем лишае — тяжелейшем осложнении, развивающемся у иммуноскомпрометированных лиц (онко­логические больные, облученные, больные СПИДом и т. п.). В этих случаях разграничить опоясывающий лишай и ветря­ную оспу помогает эпидемиологический анамнез и истинный полиморфизм сыпи, свойственный ветряной оспе и не харак­терный для Herpes zoster. Иными словами, при ветряной оспе на коже можно одновременно видеть все этапы превращения вы­сыпных элементов - макулы, папулы, везикулы, корочки.

 

Герпетическая инфекция обусловлена вирусами герпеса 1/2 типов

Сыпь везикулезная развивается обычно в течение недели со сменой стадий: пятно—папула—везикула—корка; чаще локализуется вокруг рта, на губах, на крыльях носа

Лабиальный герпес

 

Нозальный герпес

 

Ветряная оспа

Для заболевания характерна везикулезная сыпь,  может располагаться на любых участках кожи, в. ч. волосистой части головы, слизистые оболочки полости рта, половых органов. Стадия развития сыпи такие же, как при герпетической инфекции (пятно—папула—везикула—корка); везикулы однокамерные, часто имеют пупковидное вдавление в центре.

Сыпь при ветряной оспе.

 

Опоясывающий лишай

При опоясывающем лишае сыпь везикулезная, располагается ходу отдельных нервных стволов или нервных сплетений, сопровождается болью до и во время высыпаний, часто протекает на фоне лихорадки и значительной интоксикации. Все больные с опоясывющем лишаем подлежат обследованию на ВИЧ.

Локализация и характер сыпи при опоясывающем лишае.