Материал: инт 01 и 02 (СЕМИОТИКА ЕСТЕСТВЕННОГО И ИСКУССТВЕННОГО КОНТРАСТИРОВАНИЯ)

Внимание! Если размещение файла нарушает Ваши авторские права, то обязательно сообщите нам

Информацию, необходимую для пополнения базисных знаний-умений, Вы найдете в материалах занятия №1, а также в учебниках по патологической анатомии, патологической физиологии и пропедевтики внутренних болезней.

 

Анализ лучевых исследований внутренних органов обычно проводится по такой схеме:

 

1. Метод исследования.

2. Анатомическая область или орган исследования

2. Проекция исследования.

3. Локализация очагов поражения.

4. Количество очагов поражения.

5. Характер тенеобразования.

6. Структура очага поражения.

7. Форма очага поражения.

8. Размеры очага поражения.

9. Контуры очага поражения.

10. Состояние окружающих органов и тканей.

11. Ведущий синдром.

12. Его морфологический субстрат.

 

На первые три вопроса Вы научились отвечать на первом занятии. Для определения локализации очагов поражения необходимо использовать все свои знания по анатомии человека.

Новая информация – правильное определение характера тенеобразования патологического очага. Необходимо подчеркнуть, что нижеуказанные термины применяются при описании рентгенограмм, флюорограмм, линейных томограмм.

 

А. Рентгенологическая семиотика в условиях естественного контрастирования

 

Различают два вида изменений внутренних органов при рентгенографии без применения контрастного вещества. Первый вариант - весь орган или отдельные его части становятся на рентгеноскопическом экране менее прозрачными и вроде затемненными (симптом затемнения), второй – наоборот, орган или отдельные части выглядят более прозрачными (симптом просветления). Рентгенограмма по отношению к изображению на рентгеноскопическом экране, является негативом. Поэтому светлым участкам на экране соответствуют темные на пленке (просветления, рис 2), и наоборот, темним участкам – светлые (тени, рис.3).

Рис. 2. Рентгенограмма органов грудной полости в прямой проекции. Слева на всем протяжении легочного поля – просветление.

Рис. 3. Рентгенограмма органов грудной полости в прямой проекции. Слева в среднем легочном поле большое затемнение округлой формы.

 

Распространенное просветление встречается при пневмотораксе (рис 2). При этом, как правило, в медиальных отделах видим коллабированное легкое, смещение средостения в противоположный бок, а размещение газа не соответствует долевому строению легкого.

Морфологическим субстратом затемнения в легких могут быть следующие патологические процессы: 1) уплотнение легочной ткани и уменьшение (до полного отсутствия) воздушности при различных патологических процессах (воспаление, аномалии развития, цирроз, опухоли); 2) удаление легкого или ее части; 3) патологическое содержимое в плевральной полости: гидроторакс, спайки, диафрагмальная грыжа.

Затемнения могут отображать патологические процессы, поражающие дольку (очаговые тени) (рис. 4), больше чем дольку, но меньше сегмента (фокус затемнения), сегмент или долю (ограниченное затемнение) (рис. 5); большую часть легкого или соответствующей половины грудной клетки (обширное или субтотальное затемнение) (рис. 6). Очаговые тени разделяются на мелкие – до 4 мм в диаметре (поражения ацинуса), средние – 5-10 мм в диаметре (поражения нескольких ацинусов) и большие – 11-15 мм (поражения всей дольки).

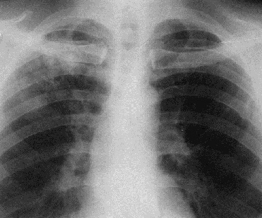
Рис. 4. Рентгенограмма органов грудной полости в прямой проекции. Справа в верхнем легочном поле очаговые тени различного размера. Морфологический субстрат – очаговый туберкулез.

Рис. 5. Рентгенограмма органов грудной полости в прямой проекции. Верхняя доля правого легкого затемнена. Ограниченное затемнение. Морфологический субстрат – воспаление.

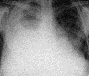
Рис. 6. Рентгенограмма органов грудной полости в прямой проекции. Более 2/3 правого легочного поля затемнено. Субтотальное затемнение. Морфологический субстрат – гидроторакс.

 

Затемнения могут быть различной интенсивности. Это зависит от многих показателей: характера изменений в органе (более плотные ткани, жидкость), а также от других причин, связанных с получением рентгенограммы (сила тока, условия фотопроцесса, конституция пациента и т.д.). Поэтому интенсивности (при однократном исследовании) не придают большого значения, за исключением тех случаев, когда она равна интенсивности кортикального слоя кости. Последнее свидетельствует о высокой плотности изменений, характерных для обызвествления (рис. 7) или костеобразования.

Прозрачность легочных полей зависит от количества воздуха и общей массы крови в капиллярах легких.

 

Для диагностики того или иного заболевания очень важно выявить форму поражения. Оно может быть в виде доли (рис. 5) или сегмента, или различных геометрических фигур: треугольную, округлую (рис. 3), кольцевидную (рис. 8) или неправильную.

Рис. 7. Рентгенограмма органов грудной полости в прямой проекции. На всем протяжении обоих легких видны большой интенсивности очаги (обызвествления).

Рис. 8. Рентгенограмма левой половины грудной полости в прямой проекции. В нижних отделах легочного поля кольцевидная тень.

Морфологическим субстратом кольцевидной тени является полость, причем кольцевидная тень отображает стенку этой полости. Полость может содержать жидкость. В этом случае нижняя часть полости имеет затемнение с верхней горизонтальной границей – горизонтальный уровень жидкости под газом (рис. 9).

   а                                                           б

Рис. 9. Рентгенограммы органов грудной полости в прямой (а) и правой боковой (б) проекциях. Справа в нижней доле – большая кольцевидная тень с толстой стенкой и горизонтальным уровнем жидкости – абсцесс.

В оценке характера заболевания принципиальное значение имеет характеристика контуров поражения. Если зона поражения по всему контуру четко отделена от окружающих тканей, то можно говорить о четких контурах. Если изображение патологии постепенно переходит в изображение окружающей ткани и между ними нет четкой границы, то это признак нечетких контуров. Но контуры очагов поражения при цифровой рентгенографии благодаря особенностям метода всегда четкие.

 

Определение характера тенеобразования, локализации, формы и структуры очага поражения дает возможность выделить следующие ведущие синдромы патологии легких и средостения:

- обширное (тотальное или субтотальное) затемнение легочного поля,

- ограниченное затемнение легочного поля,

- круглая тень в легочном поле,

- кольцевидная тень в легочном поле,

- очаги и ограниченная диссеминация,

- диффузная диссеминация,

- изменения легочного рисунка,

- патология корней легких и средостения,

- обширное просветление легочного поля.

 

 

 

 

Б. Рентгенологическая семиотика в условиях искусственного контрастирования

 

Большинство рентгенологических признаков поражений органов пищеварительного тракта,  желчного пузыря и желчных протоков, мочевой системы, протоков некоторых желез выявляются лишь в условиях искусственного контрастирования.

Общее увеличение тени органа развивается или вследствие стеноза (престенотическое расширение) или нарушение иннервации стенок. Причиной стеноза обычно являются злокачественные опухоли (рис. 10),  рубцовые изменения, чаще язвенного и воспалительного происхождения, а также конкременты (рис. 11).

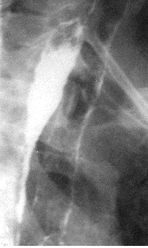
Рис. 10. Рентгенограмма пищевода в правой косой проекции. Тень пищевода расширена вследствие рака его нижнегрудного отдел а.

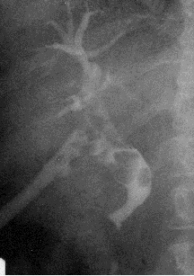
Рис. 11. Экскреторная урограмма. Слева чашечно-лоханочная система и проксимальный отдел мочеточника резко расширены. Дистальнее тень мочеточника не визуализируется. Обтурация мочеточника конкрементом.

Значительно чаще выявляется ограниченное увеличение тени. Морфологическим субстратом является или дивертикулы, или язвы стенки. Дивертикул – это мешотчатое выбухание слизистой и подслизистой оболочек через щели в мышечном слое органа. Рентгенологически дивертикул (рис. 12) имеет правильную округлую форму, ровные контуры, нередко шейку, через которую часто входят неизмененные складки слизистой оболочки. Дивертикулы чаще встречаются в пищеводе, в тонкой кишке.

Рис. 12. Рентгенограмма выходного отдела желудка и 12-перстной кишки в правой косой проекции. В нисходящей части 12-перстной кишки по медиальному контуру выявляется ограниченное увеличение тени округлой формы с «ножкой» - дивертикул.

 

Ограниченное увеличение тени, обусловленное язвой, называется «ниша». Если ниша выходит на контур органа (рис. 13), то она имеет вид выступа треугольной или неправильной формы (1). Выше и ниже ниши часто определяется вогнутое вдавление – симптом „язвенного вала” (2). Морфологически в основе его - спазм стенки около язвы, отек слизистой оболочки и рубцовые изменения. За счет наличия язвенного вала создается впечатление большей глубины ниши. Если ниша не выходит на контур, то она определяется в виде контрастного пятна на слизистой оболочке – «ниша на рельефе» (рис. 14). Язвенный вал в подобных случаях представлен кольцевидным дефектом рельефа вокруг бариевого пятна. Язвы чаще определяются в желудке и луковице 12-перстной кишки.

Рис. 13. Рентгенограмма желудка в прямой проекции в вертикальном положении больного. В нижней трети тела по малой кривизне определяется ниша (описание в тексте). Язвенная болезнь желудка.

В средней трети тела желудка на фоне рельефа слизистой оболочки определяется бариевое пятно. Вокруг – дефект наполнения, обусловленный язвенным валом. Язвенная болезнь желудка.

Общее уменьшение тени морфологически  обусловлено, как правило, опухолевой инфильтрацией или рубцовыми изменениями (рис. 15) Общее уменьшение тени может наблюдаться и при частичной резекции органа.

Рис. 15. Рентгенограмма пищевода в правой косой проекции. Определяется выраженное сужение средней и нижней трети его грудного отдела после перенесенного химического ожога.

 

Нередко при исследовании пищеварительного канала можно выявить ограниченное уменьшение тени органа. Этот симптом называется также «дефект наполнения». В основе его чаще лежит опухолевый узел (рис 16, рис. 17), конкремент (рис. 18), который, заполняя часть полости органа, не дают проникать туда контрастной массе. Кроме этого, этот симптом может быть обусловлен наличием инородного тела неметаллической плотности. Дефект наполнения по локализации по отношению к просвету органа разделяется на 1) центральный; 2) краевой; 3) циркулярный.

Рис. 16. Прицельная рентгенограмма выходного отдела желудка и луковицы 12-перстной кишки в вертикальном положении больного. В выходном отделе определяется центральный дефект наполнения средних размеров. Опухоль.

Рис. 17. Прицельная ирригограма в условиях тугого наполнения. В сигмовидной кишке определяется краевой дефект наполнения больших размеров. Опухоль

Рис. 18. Послеоперационная холангиограмма. В расширенных общем печеночном и общем желчных протоках определяется множество центральных дефектов наполнения округлой формы – конкременты.

Различные заболевания органов пищеварительного канала сопровождается изменениями его слизистой оболочки. Так, при язве желудка определяется конвергенция (схождение) складок слизистой оболочки к нише.

 

При рентгенологическом исследовании хорошо видны различные деформации и смещение органов. Они могут быть обусловлены спайками или сдавлением каким-нибудь близко расположенным органом. Смещение желудка и пищевода, часто обусловлены грыжами пищеводного отверстия диафрагмы. Грыжи могут быть аксиальными и параэзофагиальными. При первых (рис. 19) брюшной отдел пищевода и желудок смещаются в грудную полость, при других - брюшной отдел пищевода и кардиальный отдел желудка размещены в брюшной полости, а часть желудка – в грудной.

Рис. 19. Прицельная рентгенограмма нижней половины грудного отдела пищевода и желудка в горизонтальном положении пациента лежа на животе. Брюшной отдел пищевода и кардиальный отдел желудка размещены в грудной полости. Грыжа пищеводного отверстия диафрагмы.

Рентгенологические исследования используются также для диагностики функциональных изменений. Для этого проводят исследования через определенные интервалы времени. Вводя газ в орган после контрастного исследования (двойное контрастирование), оценивают эластичность стенки. Эластичная стенка хорошо раздувается. Эта методика широко используется для дифференциации органических (опухоль, рубцовое сужение) и функциональных сужений. С этой же целью применяется и медикаментозная гипотония.