ГБОУ ВПО
ВГМА им. Н.Н. Бурденко
МЗ РФ
Кафедра
фтизиатрии
РЕФЕРАТ
На тему:
«Инфильтративный туберкулез легких. Особенности клиники и диагностики на
современном этапе»
Определение
Эта клиническая форма туберкулеза возникает на фоне специфической гиперсенсибилизации легочной ткани и значительного усиления экссудативной тканевой реакции в зоне воспаления.
Клинико-морфологической особенностью инфильтративного туберкулеза является распространенное поражение легких с наклонностью к быстрому прогрессированию туберкулезного процесса.
Заболевают инфильтративным туберкулезом в основном взрослые, чаще молодого возраста. Вероятность развития инфильтративного туберкулеза повышается при плохо организованном выявлении более ранних форм туберкулеза.
Инфильтративный туберкулез диагностируют у 65-75 % впервые выявленных больных туберкулезом легких. Больные с этой формой туберкулеза составляют 45-50 % среди больных активным туберкулезом, наблюдаемых в противотуберкулезных диспансерах.
В структуре смертности от туберкулеза инфильтративный туберкулез составляет около 1 %. Летальный исход заболевания наблюдается в основном при осложнениях - казеозной пневмонии, легочном кровотечении.
Различают следующие клинико-рентгенологические варианты инфильтратов:
бронхолобулярный;
облаковидный (сегментарный, полисегментарный, перисциссурит);
округлый инфильтрат;
лобарный инфильтрат (лобит).
Патогенез
Развитие инфильтративного туберкулеза связано с прогрессированием очагового туберкулеза - появлением и быстрым увеличением зоны инфильтрации вокруг свежих или старых туберкулезных очагов. Распространение перифокального воспаления приводит к значительному увеличению объема специфического поражения легочной ткани и качественному изменению характера процесса - очаговая форма туберкулеза трансформируется в инфильтративную.
Туберкулезный инфильтрат представляет собой
комплекс свежего или старого очага с обширной зоной перифокального воспаления.
туберкулез инфильтративный воспаление легочный
Инфильтраты чаще локализуются в I, II и VI сегментах легкого, т. е. в тех отделах легкого, где обычно располагаются туберкулезные очаги.
Усилению воспалительной реакции вокруг очагов способствуют массивная туберкулезная суперинфекция, сопутствующие заболевания (сахарный диабет, алкоголизм, наркомания, СПИД), а также голодание, психоэмоциональные травмы, естественная гормональная перестройка, лечение гормональными препаратами. Эти важные факторы снижают эффективность иммунных реакций и создают предпосылки для быстрого роста и размножения МБТ. При увеличении численности микробной популяции возрастает вероятность появления в ней высоковирулентных, в том числе лекарственно устойчивых, микобактериальных штаммов. Активные соединения (сульфатиды, липоарабиноманнан, феноликогликолипид-1, миколил- арабино-галактан-пептидогликановый комплекс), входящие в состав высоковирулентных МБТ, создают благоприятные условия для выживания МБТ в макрофагах. Они также индуцируют резкое усиление ПЧЗТ к антигенам микробной клетки. В результате вокруг туберкулезного очага развивается воспалительная реакция с выраженным экссудативным компонентом. Специфическое воспаление распространяется за пределы легочной дольки, общий объем поражения увеличивается. Так формируется бронхолобулярный инфильтрат.
Выраженность и дальнейшая динамика воспалительной реакции могут варьировать в зависимости от степени нарушения иммунологической реактивности и темпов роста микробной популяции.
При относительно умеренных нарушениях
иммунологической реактивности увеличение численности МБТ происходит медленнее,
чувствительность тканей к микобактериям усиливается постепенно. В этих случаях
интенсивность экссудации относительно невелика, клеточная инфильтрация умеренно
выражена. Альвеолы заполнены макрофагами, эпителиоидными и плазматическими
клетками и относительно небольшим количеством экссудата. Воспалительные
изменения имеют смешанный экссудативно-пролиферативный характер и
распространяются относительно медленно (рис. 11.1). Зона туберкулезного
воспаления обычно ограничивается пределами сегмента, в нем формируется
инфильтрат, который принято называть округлым.
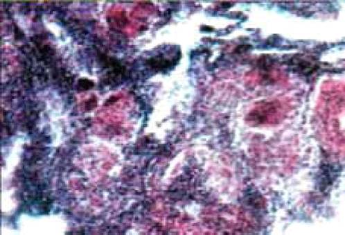
Рис. 11.2. Экссудативное воспаление в легком.
Гистологический препарат. х 40.
Значительное ослабление местного и общего
иммунитета способствует более высоким темпам роста микробной популяции.
Гиперергическая реакция легочной ткани на большую популяцию вирулентных и
быстро размножающихся МБТ обусловливает резко выраженную экссудацию.
Перифокальное воспаление приобретает характер «спленопневмонии». Оно отличается
бедностью клеточного состава и слабой выраженностью признаков специфического
воспаления (рис. 11.2). Альвеолы заполнены тканевой жидкостью, содержащей в
основном полинуклеары и небольшое число макрофагов. Имеется выраженная наклонность
к прогрессированию туберкулеза с быстрым поражением многих сегментов легкого
(облаковидный инфильтрат). Дальнейшее прогрессирование иммунологических
расстройств, развивающихся на фоне туберкулеза, характеризуется повышением
активности Т-супрессоров и угнетением ПЧЗТ. Макрофагальные клетки погибают,
формируя зону казеозного некроза. Казеозные массы постепенно расплавляются и
выделяются в дренирующий бронх. Так в зоне прогрессирующего туберкулезного
воспаления появляется участок деструкции, ограниченный воспаленно-измененной
легочной тканью (рис. 11.3). Постепенно образуется полость распада, которая
служит источником дальнейшего бронхогенного и лимфогенного распространения МБТ
и создает большую угрозу для появления новых очагов и инфильтратов в ранее непораженных
отделах легкого. Вовлечение в патологический процесс почти всей доли легкого и
образование множественных полостей распада в пораженной доле свидетельствуют о
формировании лобита.
Рис. 11.3. Распад в туберкулезной гранулеме.
Гистологический препарат. х 80.
Инфильтраты дифференцируются по особенностям развития в основном в периоде их формирования. Со временем различия между разными инфильтратами в значительной степени утрачиваются.
По локализации и объему поражения ткани легкого выделяют бронхолобулярный инфильтрат, захватывающий обычно две-три легочные дольки, сегментарный - в пределах одного сегмента, а также полисегментарный, или долевой, инфильтраты. Инфильтрат, развивающийся по ходу главной или добавочной междолевой щели, называют перисциссуритом.
При прогрессирующем течении инфильтративный туберкулез легких трансформируется в казеозную пневмонию или кавернозный туберкулез.
Регрессирующее течение инфильтративного туберкулеза характеризуется рассасыванием воспалительных изменений. Выраженность и длительность этого процесса зависят от характера экссудата, распространенности поражения, обширности ка- зеозного некроза, реактивности организма больного. Инфильтраты небольшой протяженности с серозным экссудатом на фоне адекватного лечения могут рассосаться относительно быстро. При серозно-фибринозном или геморрагическом экссудате рассасывание происходит медленнее и сочетается с развитием фиброза. Казеозные массы по мере рассасывания ин- фильтративных изменений уплотняются и осумковываются. На месте полости распада постепенно формируется фиброзный очаг с включениями сухого казеоза. В дальнейшем на месте очага может образоваться линейный или звездчатый рубец.
Патогенез инфильтративного туберкулеза легких
представлен на схеме 11.1.
Клиническая картина
Начало инфильтративного туберкулеза легких примерно в половине случаев бывает острым и напоминает заболевание гриппом или острой пневмонией.
Относительно слабая выраженность клинических проявлений чаще встречается у больных с бронхолобулярным или округлым инфильтратом. У них обычно наблюдаются повышенная утомляемость, снижение аппетита, эпизодические повышения температуры тела после физической нагрузки. Больные часто не воспринимают эти симптомы как проявления болезни и туберкулезный инфильтрат, имеющий ограниченную протяженность, обнаруживают случайно при медицинском обследовании в связи с устройством на работу или при контрольной флюорографии во время диспансеризации.
Облаковидный инфильтрат с поражением одного или
нескольких легочных сегментов и перисциссурит обычно характеризуются острым
началом с выраженными симптомами интоксикации, небольшим кашлем с мокротой,
иногда кровохарканьем. Вовлечение в патологический процесс плевры приводит к
появлению болей в грудной клетке на стороне поражения, которые связаны с
дыхательными движениями. Дальнейшее прогрессирование туберкулезного воспаления
с развитием лобита увеличивается.
Схема 11.1. Патогенез инфильтративного
туберкулеза
Симптомы интоксикации могут несколько уменьшиться при образовании в инфильтрате полости распада. Однако вскоре в результате бронхогенного распространения инфекции и появления новых бронхолобулярных очагов туберкулезная интоксикация вновь усиливается.
У больных с бронхолобулярным и округлым инфильтратом изменения в легких с помощью перкуссии и аускультации выявить часто не удается. Ранним симптомом прогрессирующего туберкулезного воспаления в легких является отставание пораженной половины грудной клетки при дыхании. Развитие локального воспаления плевры, прилежащей к пораженному легкому, обусловливает напряжение дыхательных мышц, а при прогрессировании и верхушечной локализации инфильтративных изменений - напряжение и болезненность мышц надплечья (симптом Воробьева- Поттенджера).
У больных с облаковидным инфильтратом, перисциссуритом, а тем более с лобитом объективное исследование органов дыхания позволяет выявить более грубые изменения. Над зоной поражения обнаруживают укороченный легочный звук, усиление голосового дрожания, везикобронхиальное дыхание. Иногда выслушивают немногочисленные влажные мелкопузырчатые хрипы, свидетельствующие о выраженности экссудативного компонента воспаления. Над полостью распада бывают слышны непостоянные среднепузырчатые хрипы, которые часто появляются только на вдохе после покашливания больного. На фоне эффективного лечения хрипы довольно быстро (через 2-3 нед) исчезают.
У взрослых описанную картину обычно выявляют в
так называемых зонах тревоги, где туберкулезные очаги и инфильтраты проявляются
особенно часто. К этим зонам относятся над- и подключичные пространства,
надлопаточная, межлопаточная и подмышечная области. Иногда патологические
изменения обнаруживают у нижнего угла лопатки.
Диагностика
Диагноз инфильтративного туберкулеза легких устанавливают с учетом особенностей его развития. Больные, как правило, начало заболевания не замечают. Они хорошо переносят повышенную температуру тела, склонны недооценивать тяжесть клинических проявлений болезни и в целом предъявляют мало жалоб. Первым симптомом больные часто считают кровохарканье - грозное осложнение туберкулезного процесса, по поводу которого они обращаются к врачу. В этом случае важно изучить анамнестические данные и выявить возможные факторы социального и медико-биологического риска развития туберкулеза. Большое внимание надо уделить сведениям о контакте с больным туберкулезом и перенесенном туберкулезе в прошлом.
Отсутствие выраженных изменений при физикальном исследовании больного не исключает и даже усиливает предположение о возможной туберкулезной этиологии воспалительного процесса в легких. Положение о том, что при аускультации у больных туберкулезом легких «мало слышно», хорошо известно и давно отмечено корифеями фтизиатрии. Этому важному диагностическому признаку придавали большое значение многие опытные клиницисты - корифеи российской фтизиатрии Г. А. Захарьин, А. А. Остроумов, В. А. Воробьев, Г. Р. Рубинштейн, А. Е. Рабухин, А. Г. Хоменко.
Значимая информация может быть получена при туберкулиновой пробе Манту с 2 ТЕ. Реакция на туберкулин у больных с бронхолобулярным и округлым инфильтратом обычно положительная, нормергическая. Резко выраженную и даже гиперергическую чувствительность к туберкулину можно обнаружить в случаях прогрессирующего течения облаковидного инфильтрата, а также лобита в начале заболевания. Эффективная химиотерапия у таких больных обычно сопровождается снижением чувствительности к туберкулину до нормергической. Осложненное течение инфильтративного туберкулеза с развитием казеозной пневмонии может привести к отрицательной анергии.
Бактериологические исследования в диагностике инфильтративного туберкулеза легких имеют важное и часто решающее значение. Выделение МБТ с мокротой происходит у большей части больных инфильтративным туберкулезом. Даже при скудном количестве мокроты МБТ нередко обнаруживают методом прямой бактериоскопии после окраски мазка мокроты по Цилю-Нельсену. Массивность бактериовыделения ассоциирована с клинико-рентгенологическим типом инфильтрата. У больных с бронхолобулярным или округлым инфильтратом количество выделяемых микобактерий не столь велико и бактериовыделение чаще устанавливают методом люминесцентной микроскопии и/или посева. При облаковидном инфильтрате, особенно при лобите, выражена тенденция к формированию множественных полостей распада, поэтому бактериовыделение обычно массивное.
Культуральное исследование мокроты является обязательным компонентом бактериологической диагностики при инфильтративном туберкулезе. Оно позволяет не только уточнить видовую принадлежность обнаруженных микобактерий, но исследовать их чувствительность к химиопрепаратам. Лекарственную устойчивость к отдельным противотуберкулезным препаратам обнаруживают примерно у 18 % больных инфильтративным туберкулезом. Эти данные необходимо учитывать при определении лечебной тактики и оценке эпидемической опасности больного.
У больных инфильтративным туберкулезом при
исследовании мокроты нередко выявляют свежие эластические волокна.
а б
Рис. 11.4. Бронхолобулярный инфильтрат во II сегменте правого легкого.
а - фрагмент рентгенограммы легких; б - фрагмент продольной томограммы в прямой проекции.
Их наличие подтверждает образование полости распада в легочной ткани. Выявление обызвествленных эластических волокон, кристаллов холестерина, солей кальция свидетельствует о локализации распадающегося инфильтрата в зоне обострившихся старых обызвествленных туберкулезных очагов.
Рентгенологическое исследование позволяет установить клинико-рентгенологический тип инфильтрата и ряд деталей поражения.
Бронхолобулярный инфильтрат обычно
характеризуется наличием в кортикальной зоне легочного поля, чаще в I,
II или IV
сегментах, ограниченного затемнения (фокусной тени) в основном малой
интенсивности, диаметром до 3 см. Инфильтрат имеет полигональную форму,
вытянутую по направлению к корню легкого, и размытые наружные контуры (рис.
11.4). КТ-исследование позволяет выявить просвет и деление мелкого бронха,
вокруг которого сформировался инфильтрат (рис. 11.5). Просвет бронха иногда
заполнен плотными казеозными массами. На томограмме бронхолобулярный инфильтрат
нередко выглядит как конгломерат из нескольких более или менее плотных мелких
очагов, объединенных зоной перифокального воспаления.
Рис. 11.5. Бронхолобулярный инфильтрат во II
сегменте правого легкого. КТ.
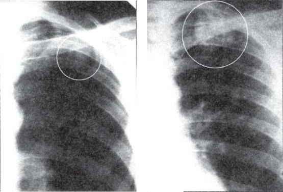
Округлый инфильтрат представлен ограниченным
(фокусным) затемнением округлой формы, преимущественно средней интенсивности с
ясными, но не резкими очертаниями(рис. 11.6).
а б
Рис. 11.6. Округлый инфильтрат во II сегменте
правого легкого (а) и во II сегменте левого легкого (б). Фрагменты
рентгенограмм легких в прямой проекции.
Рис. 11.7. Инфильтрат Ассманна-Редекера в левом
легком. Фрагменты рентгенограмм легких в прямой проекции.

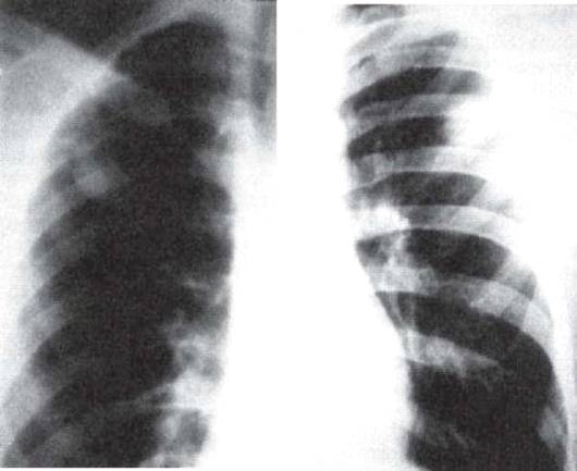
На обзорной рентгенограмме в прямой проекции затемнение часто локализуется в подключичной области (классический тип инфильтрата Ассманна-Редекера, рис. 11.7). От медиальных отделов затемнения к корню легкого отходит воспалительная дорожка, в которой иногда выявляют проекцию дренирующего бронха (симптом «теннисной ракетки» - рис. 11.8, 11.9). При распаде инфильтрата в его центральных отделах обычно выявляются образовавшиеся полости (рис. 11.10). В нижележащих отделах легкого нередко заметны очаги бронхогенного обсеменения. При томографии в инфильтрате иногда можно обнаружить плотные и кальцинированные очаги - важный признак туберкулезной этиологии поражения.