Материал: Холецистит 2

Внимание! Если размещение файла нарушает Ваши авторские права, то обязательно сообщите нам

а

б

а

 

б

А

б

в

б

в

 

 

Б

б

 

б

г

 

г

 

 

 

В

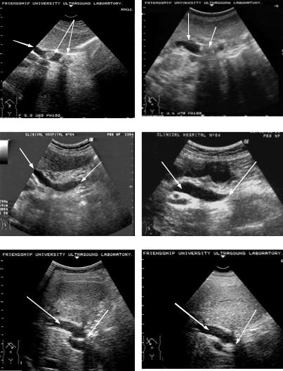
Рис. 45. Ультразвуковые томограммы при холедохолитиазе (А), стенозе БДС (Б), стриктуре желчного протока (В):

а - камень; б - желчный проток; в - зона стеноза; г - зона стриктуры

135

выводящей системы, то они используются у больных с механической непроходимостью желчных путей (при механической желтухе). В качестве контрастирующих препаратов применяются 25-30% растворы водорастворимых йодистых препаратов (кардиотраст, диодон, билиграфин, билигност и др.).

Чрескожная пункция органов желчевыводящей системы с последующим введением в них контрастного раствора может быть выполнена под лапароскопическим контролем

(чрескожная чреспузырная холецистохолангиография -

рис.46); под рентгенологическим или ультразвуковым кон-

тролем (чрескожная чреспеченочная холангиография -

рис.47, а). Прямое контрастирование внепеченочных желчных протоков возможно ретроградным введением в них контрастного раст-

а

б

Рис. 46. Чрескожная лапароскопическая холецистохолангиография:

а - схема; б - холецистохолангиограмма

вора при эндоскопическом исследовании двенадцатиперст-

ной кишки (эндоскопическая ретроградная холангиография -

рис.47, б).

В тех случаях, когда в дооперационном периоде не удается четко определить состояние внепеченочных желчных протоков, для выявления холедохолитиаза и стеноза большого дуоденального сосочка внепеченочные желчные протоки об

136

а

б

Рис. 47. Рентгенограммы при прямом контрастировании желчных протоков:

а - камень в желчном протоке (ЧЧХГ);

б - камень в желчном протоке (ЭРХГ);

в - стеноз большого дуоденального сосочка (операцион-

ная холангиография)

в

137

следуют во время операции (операционная холангиография -

рис.47, в).

Во время операции обследовать желчный проток можно с помощью специальных фиброскопов (холедохоскопия) . Этот метод исследования позволяет выявить воспалительный процесс в стенке желчного протока (холангит), а также обнаружить не удаленные при холедохолитотомии конкременты.

Лечение калькулезного холецистита и его осложнений.

При выявлении калькулезного холецистита необходимо ставить вопрос о показаниях к оперативному лечению. Тактика выполнения ранней операции при калькулезном холецистите основана на том, что даже при неосложненных формах заболевания морфологические изменения в стенке желчного пузыря свидетельствуют о длительности существования патологического процесса. Кроме того, у 30-40% больных при калькулезном холецистите в патологический процесс вовлекаются внепеченочные желчные протоки, большой дуоденальный сосочек и поджелудочная железа. На фоне хронического воспалительного процесса в желчном пузыре может развиться злокачественная опухоль. Поэтому ранняя операция преследует цель предупредить развитие осложнений калькулезного холецистита.

До настоящего времени у хирургов не сформировалось единого мнения о сроках выполнения операции при осложненных формах калькулезного холецистита (при остром воспалении желчного пузыря). Некоторые из них считают необходимым выполнять оперативное вмешательство в первые часы поступления больного в стационар. Другие рекомендуют оперировать больных после стихания явлений острого воспаления и выполнения дооперационной санации желчных протоков. Эта точка зрения в условиях использования ультразвукового исследования, которое позволяет наблюдать за динамикой воспалительного процесса в стенке желчного пузыря под влиянием противовоспалительной терапии, должна считаться более рациональной. Экстренную операцию следу-

138

ет производить лишь в тех случаях, когда при остром холецистите выявляется картина разлитого перитонита.

Если о сроках выполнения хирургического вмешательства хирурги спорят, то по вопросам хирургической тактики их мнение едино - при хирургическом лечении больных с калькулезным холециститом необходимо удалить желчный пузырь и устранить все осложнения со стороны внепеченочных желчных протоков и большого дуоденального сосочка.

Удаление желчного пузыря (холецистэктомия) выполняют как широким лапаротомным доступом, так и с помощью малоинвазивных вмешательств - лапароскопическая холе-

цистэктомия или холецистэктомия из мини-доступа.

Для устранения патологических процессов, находящихся во внепеченочных желчных протоках, обычно производят вскрытие просвета желчного протока (холедохотомия). Чаще всего просвет желчного протока вскрывается продольным разрезом его стенки в супрадуоденальном отделе. После вскрытия просвета желчного протока из него удаляют конкременты (холедохолитотомия) и производят устранение стеноза большого дуоденального сосочка (трансхоледохеаль-

ная папиллосфинктеротомия). Убедившись в полном устра-

нении патологических процессов желчевыводящих путей, рана стенки желчного протока ушивается наглухо с использованием ареактивного шовного материала, применяя прецизионную технику шва (сшиваются ткани стенки желчного протока, расположенные над слизистой оболочкой протока). В отдельных случаях холедохотомия может быть завершена либо наружным дренированием желчного протока с помощью Т-образного латексного дренажа, либо формированием

билиодигестивного анастомоза (холедоходуоденоили хо-

ледохоеюноанастомоза).

В тех случаях, когда имеет место стеноз большого дуоденального сосочка или камень ущемляется в его ампуле, вы-

полняют трансдуоденальную папиллосфинктеротомию с

последующим удалением камня.

139