Материал: ДЭ.+Деменции

Внимание! Если размещение файла нарушает Ваши авторские права, то обязательно сообщите нам

Множественные лакунарные инсульты

Парфенов В.А, кафедра неврологии ММА им. Сеченова

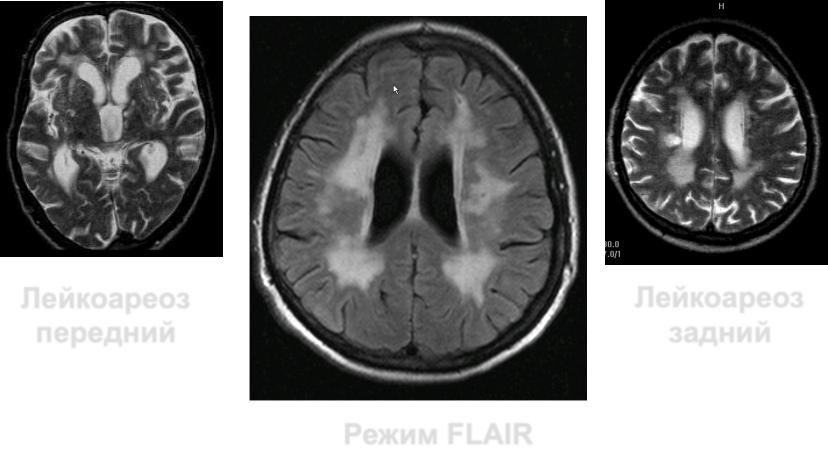
Термин лейкоареоз (от греч. leuko- белый и araiosis- разрежение) впервые был введен V.

Hachinski в 1987 году

Лейкоареоз

Лейкоареоз

передний

задний

Режим FLAIR

Нейровизуализационные критерии дисциркуляторной энцефалопатии

(О.С. Левин, 2006)

I СТАДИЯ:

1)лейкоареоз  — тип перивентрикулярный и/или пунктирный субкортикальный, ширина менее 10 мм; 2)лакуны  — число 2–5;

3) территориальные инфаркты — число 0–1, площадь не более 1/8 полушарий, диаметр до 10 мм; 4) атрофия головного мозга +/–;

II СТАДИЯ:

1)лейкоареоз  — тип пятнистый, частично сливающийся субкортикальный, ширина более 10 мм; 2)лакуны  — число 3–5;

3)территориальные  инфаркты — число 2–3, площадь не более 1/4 полушарий, диаметр до 25 мм; 4)атрофия  головного мозга +/++;

III СТАДИЯ:

1)лейкоареоз  — тип сливающийся субкортикальный, ширина более 20 мм; 2)лакуны  — число более 5; 3)территориальные  инфаркты — более 3, площадь не менее 1/4 полушарий, диаметр более 25 мм; 4)атрофия  головного мозга ++/+++.

Дополнительные методы исследования

  Офтальмоскопия; Нистагмография

  Биохимическое исследование крови, исследование системы гемостаза, липидного спектра крови;

  Кардиологическое обследование (ЭКГ, ЭхоКГ, холтеровское мониторирование);

  Ультразвуковая допплерография магистральных сосудов головы, транскраниальная допплерография;

  При наличии показаний - ангиография, в т.ч. МР-ангиография, ДСА;

  Однофотонная эмиссионная компьютерная томография с использованием препаратов Tc-99m;