Материал: Задание+2.+Смерть+клетки

Внимание! Если размещение файла нарушает Ваши авторские права, то обязательно сообщите нам

ФГБОУ ВО «УРАЛЬСКИЙ ГОСУДАРСТВЕННЫЙ МЕДИЦИНСКИЙ УНИВЕРСИТЕТ»

Министерства здравоохранения Российской Федерации

Кафедра патологической анатомии и судебной медицины

«Утверждаю»

Заведующий кафедрой

Д.м.н., проф. ____________ Л.М. Гринберг

«____» _____________________ 20___ год

МЕТОДИЧЕСКАЯ РАЗРАБОТКА К ПРАКТИЧЕСКОМУ ЗАНЯТИЮ для студентов

(учебное задание)

ООП специальности 31.05.02 «Педиатрия»

Дисциплина Б1.Б.22 «Патологическая анатомия, клиническая патологическая анатомия»

  1. ТЕМА ЗАНЯТИЯ: СМЕРТЬ И ПОСМЕРТНЫЕ ИЗМЕНЕНИЯ. НЕКРОЗ. АПОПТОЗ.

  1. УЧЕБНАЯ ЦЕЛЬ ЗАНЯТИЯ: Изучение клинико-морфологической сущности процессов некроза и апоптоза, а так же и их значение для организма.

  1. ЗАДАЧИ ЗАНЯТИЯ:

3.1. Студент должен знать клинико-морфологическую характеристику апоптоза.

3.2. Студент должен знать клинико-морфологическую сущность некроза.

3.3. Студент должен знать макроскопические признаки разных видов некроза.

3.4. Студент должен уметь диагностировать изученные патологические процессы в макропрепаратах и микропрепаратах.

3.3. Студент должен запомнить основные принципы классификации некроза.

3.4. Студент должен научиться правильно описывать морфологические изменения в предложенных макро- и микропрепаратах при изученных процессах некроза.

3.5. Студент должен научиться правильно формулировать патологоанатомические заключения по предложенным макропрепаратам.

шифр

Содержание компетенции

знать

уметь

владеть

ОК-1

способностью к абстрактному мышлению, анализу, синтезу

- анатомо-физиологические, возрастно-половые и индивидуальные особенности строения и развития организма человека;

- понятия этиологии, патогенеза, морфогенеза, патоморфоза болезни, принципы классификации болезней; основные понятия общей нозологии;

- функциональные системы организма человека, их регуляция и саморегуляция при воздействии с внешней средой в норме и при патологических процессах.

- работать с увеличительной техникой (микроскоп);

- оценить гистофизиологическое состояние основных клеточных, тканевых и органных структур организма при некрозе, апоптозе;

- описывать морфологические изменения изучаемых макроскопических, микроскопических препаратов и электроннограмм при некрозе, апоптозе

- дифференцировать на микро и макро препаратах при некрозе, апоптозе

- медико-функциональным понятийным аппаратом;

- умения узнавать макро и микро- изменения тканей и органов при некрозе, апоптозе

ОК- 2

способностью использовать основы философских знаний для формирования мировоззренческой позиции

ОК- 5

готовностью к саморазвитию, самореализации, самообразованию, использованию творческого потенциала

ОК-8

готовностью к работе в коллективе, толерантно воспринимать социальные, этнические, конфессиональные и культурные различия

ОПК-1

готовностью решать стандартные задачи профессиональной деятельности с использованием информационных, библиографических ресурсов, медико-биологической терминологии, информационно-коммуникационных технологий и учетом основных требований информационной безопасности

ОПК-3

способностью использовать основы экономических и правовых знаний в профессиональной деятельности

ОПК-4

способностью и готовностью реализовать этические и деонтологические принципы в профессиональной деятельности

ОПК- 6

готовностью к ведению медицинской документации

ОПК-9

способностью к оценке морфофункциональных, физиологических состояний и патологических процессов в организме человека для решения профессиональных задач

ПК-5

готовностью к сбору и анализу жалоб пациента, данных его анамнеза, результатов осмотра, лабораторных, инструментальных, патолого-анатомических и иных исследований в целях распознавания состояния или установления факта наличия или отсутствия заболевания

ПК-6

способностью к определению у пациентов основных патологических состояний, симптомов, синдромов заболеваний, нозологических форм в соответствии с Международной статистической классификацией болезней и проблем, связанных со здоровьем - X пересмотр, принятой 43-ей Всемирной Ассамблеей Здравоохранения, г. Женева, 1989 г.

  1. ПРОДОЛЖИТЕЛЬНОСТЬ ЗАНЯТИЯ: 3 часа

  1. КОНТРОЛЬНЫЕ ВОПРОСЫ ПО ТЕМЕ:

1. Проработать тренировочные тесты по теме занятия на сайте кафедры.

2. Диагностировать микропрепараты по теме занятия на сайте кафедры.

3. Знать теоретический материал.

  • Некроз: определение, классификация, клинико-морфологическая сущность.

  • Апоптоз: определение, клинико-морфологическая сущность.

  • Отличия некроза от апоптоза.

  • Исходы и значение для организма.

  • Смерть.

6. ЗАДАНИЯ И МЕТОДИЧЕСКИЕ УКАЗАНИЯ К ИХ ВЫПОЛНЕНИЮ

На занятии студенту необходимо выполнить:

6.1. Ответить на вопросы входного тест-контроля

6.2. Ответить на вопросы преподавателя

6.3. Принять участие в обсуждении

6.4. Изучить таблицы: № 10-15, 38

6.5. Описать по схеме и сделать заключение по макропрепаратам: № 63, 64, 67, 57, 73, 74, 93, № 94/95, № 100, № 101, 105, № 137.

6.6. Изучить, зарисовать и отметить существенные элементы на микропрепаратах:

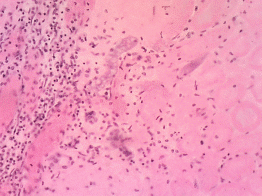
15. Ишемический инфаркт почки

В корковом слое почки виден участок некроза розового цвета, в котором сохранены лишь контуры канальцев и клубочков, ядра клеток отсутствуют (кариолизис). Это ишемический инфаркт, он отграничен демаркационной зоной, состоящей из лейкоцитов, полибластов и гиперемированных кровеносных сосудов

Существенные элементы: 1. участок некроза

2. демаркационная зона

16. Геморрагический инфаркт легкого

Пропитанный кровью участок некроза легкого ярко-красного цвета. Клетки альвеолярных перегородок отсутствуют, но контуры перегородок определяются, видны также очертания кровеносных сосудов. По периферии инфаркта имеется демаркационная зона, которая выражена нечетко. Она характеризуется гиперемией межальвеолярных капилляров, наличием в просвете альвеол фибрина, лейкоцитов и эритроцитов (экссудативное воспаление). За демаркационной зоной в просвете альвеол встречаются гемосидерофаги.

Существенные элементы: 1. участок некроза

2. демаркационная зона

3. гемосидерофаги в просвете альвеол

17. Ишемические инфаркты в плаценте

В плаценте видны множественные очаги некроза неправильной формы розового цвета. В них определяются контуры ворсин хориона, ядерная пыль (кариорексис), сморщивание и гиперхромия ядер ланггансова эпителия (пикноз). Демаркационная зона не выражена.

Существенные элементы: 1. участок некроза

2. кариорексис

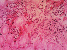
226. Некротический нефроз при отравлении сулемой

В почке очаговое полнокровие. На большем увеличении — отек стромы; эпителий извитых канальцев набухший и в основном без ядер (кариолизис), цитоплазма в состоянии глыбчатого распада (плазморексис). Некоторые извитые канальцы разрушены — тубулорексис. Прямые канальцы запустевшие, эпителий в них сохранен. Ядра клубочков сморщенные, гиперхромные — кариопикноз.

Существенные элементы: 1. очаговое полнокровие

2. некротизированный эпителий извитых канальцев (кариолизис, плазморексис)

3. тубулорексис

4. отечная строма

5. кариопикноз в клубочках

309. Остеомиелит

Костный мозг губчатой кости клеточный, ростковая зона нерав­номерной толщины, колонки хрящевых клеток ветвистые. Костные балки редки, различной величины и распределены неравномерно. На значительном протяжении костно-хрящевой участок некротизирован и характеризуется бесструктурностью. На большем увеличении в этом участке определяются гнойно-фибринозный экссудат и грану­ляционная ткань с большим количеством сосудов.

Существенные элементы: 1. участок некроза

2. гнойно-фибринозный экссудат

3. грануляционная ткань

6.7 ОЦЕНИВАНИЕ ЗНАНИЙ, УМЕНИЙ, НАВЫКОВ ПО ТЕМЕ ЗАНЯТИЯ

ПРАКТИЧЕСКОЕ ЗАНЯТИЕ – max 2,5 балла:

за тест: 1 б. – оц.-5; 0,7 б. – оц.-4; 0,5б. – оц.-3.

за устный ответ: 1 б. – оц.-5; 0,7 б. – оц.-4; 0,5б. – оц.-3.

Отчет по практической части занятия, по лекции – 0,5 балла

  1. УЧЕБНО-ИССЛЕДОВАТЕЛЬСКАЯ РАБОТА:

- «История танатологии»;

- «Особенности инфаркта легкого».

  1. ЛИТЕРАТУРА ДЛЯ ПОДГОТОВКИ К ЗАНЯТИЮ:

Основная:

    1. Лекционный материал

    2. Патология. Под редакцией М.А. Пальцева. – М: «Медицина». – 2017. – В 2 томах.

    3. Зайратьянц О.В. Патологическая анатомия. Атлас

Дополнительная:

  1. учебник «Патологическая анатомия», 2017, Т.2, часть 1,

  1. Методическая разработка подготовлена доцентом, к.м.н. А.С. Филатовой

Обсуждена на заседании кафедры № ____ от «___» _______________ 20___ г.