Материал: Ангиология+БЕП

Внимание! Если размещение файла нарушает Ваши авторские права, то обязательно сообщите нам

Классификация ХЗВ (СЕАР 1994 – 2004 гг.)

С 1

С 2

С 3

 

 

С 4

 

 

 

С 5

С 6

 

Субъективные симптомы ХЗВ

(ощущения, жалобы пациента)

Тяжесть ,«налитость» в ногах

Отёчность нижних конечностей

Судорожный синдром (икроножные мышцы)

Боли в нижних конечностях

Наличие варикозных вен различного диаметра

Зуд кожного покрова

Изменение окраски кожного покрова ( пигментация)

Появление очагов кожной экземы, трофических язв

Объективные симптомы ХВН

Осмотр:

-варикозное расширение подкожных, ретикулярных или внутрикожных вен ( локализация в системе БПВ или МПВ)

-отечность стоп и голеней

-изменение кожного покрова: пигментация, трещины, экзема, трофические язвы

Пальпация:

-

-

-

термоасимметрия(на стороне поражения потепление)

гипергидроз индурация кожного покрова

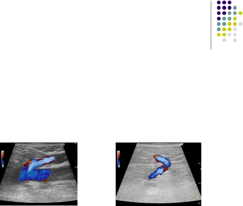
Ультразвуковые методы исследования венозного русла

Ультразвуковая допплерография применяется для общей характеристики состояния магистрального и коллатерального кровообращения.

Ультразвуковое ангиосканирование (дуплескное сканирование).

Метод позволяет определить наличие патологических рефлюксов по глубоким,поверхностным и перфорантным венам. Верифицирует наличие, границы и протяженность патологического процесса в вене (окклюзия, стеноз, тромбоз). Позволяет изучить структуру клапана.

Рентгенологические методы исследования венозного русла

Ангиография (флебография) ретгеноконтрастный метод изучения венозного русла для определения характера и локализации патологического процесса(гипоили аплазия, рефлюкс, тромбоз,окклюзия). Сочетается с рентгенэндовазальными процедурами (фильтр, стент)

КТ-ангиография, сКТ-ангиография, МРТ-ангиография методы контрастного и безконтрастного исследования, применяемые для верификации сложных видов патологии вен