Материал: Лекция 12 (Опухоли кроветворной и лимфоидной ткани)

Внимание! Если размещение файла нарушает Ваши авторские права, то обязательно сообщите нам

3.     Смешанно-клеточный - равное соотношение опухолевых и неопухолевых клеток, больные живут до 4.5-5 лет.

4.     С подавлением лимфоидной ткани, много клеток Р-Б-Ш или склеротические изменения, смерть в течении 1.5 лет.

В некоторых случаях может наблюдаться переход одной формы ЛГМ в другую. Более доброкачественное течение у женщин.

 

Причины смерти больных ЛГМ:

1.     Интоксикация

2.     Анемия

3.     Общий амилоидоз

4.     Присоединение вторичной инфекции

5.     Присоединение туберкулеза.

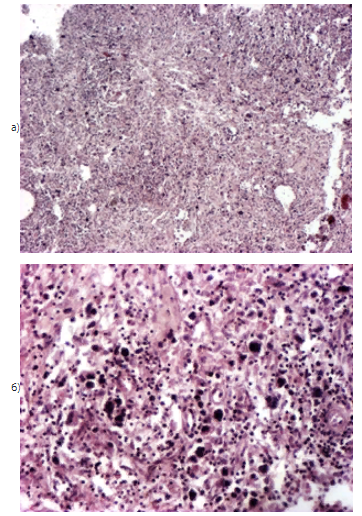
Лимфогранулематоз печени. а) ×10, б) ×60

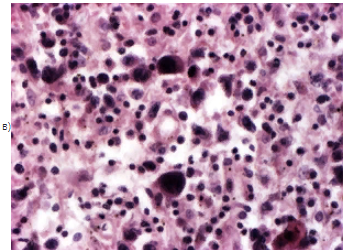
Лимфогранулематоз, вариант нодулярного склероза: стертость структуры лимфоузла, склероз, б) и в) – полиморфноклеточный инфильтрат с клетками Ходжкина и Рид-Березовского-Штернберга. а) ×35, б) ×100, в) ×200