Материал: Лекция 12 (Опухоли кроветворной и лимфоидной ткани)

Внимание! Если размещение файла нарушает Ваши авторские права, то обязательно сообщите нам

ОПУХОЛИ КРОВЕТВОРНОЙ И ЛИМФОИДНОЙ ТКАНИ.

 

ЭТИОЛОГИЯ этих заболеваний такая же, как и других опухолей. В их возникновении играют большое значение имеет:

1.      Ионизирующая радиация, причем частота мутаций зависит непосредственно  от дозы ионизирующей радиации. После атомного взрыва в Хиросиме и Нагасаки заболеваемость лейкозами возросла в 7.5 раз, в нашей стране после Чернобыльской аварии резко выросла заболеваемость различными опухолями кроветворной и системы.

2.      Велика роль и вирусов - у человека она доказана для лимфомы Беркитта (ДНК-вирус Эпштейна-Бара), эндемического Т-лимфоцитарного лейкоза (ретровирус HTLV-1).

3.      Играют роль и наследственные факторы - например при хроническом миелоцитарном лейкозе обнаруживается уменьшение аутосомы 22-пары хромосом лейкозных клеток (филадельфийская хромосома, Ph-хромосома). У детей при болезни Дауна (трисомия по 21 паре хромосом), обнаруживается Ph-хромосома, лейкоз встречается в 10-15 раз чаще.

4.      Меньшую роль играют химические канцерогены, например бензпирен, метилхолантрен, дибензантрацен, мышьяк, бензол, фенилбутазон, некоторые цитотоксические лекарственные препараты.

 

КЛАССИФИКАЦИЯ ГЕМОБЛАСТОЗОВ. Делятся на:

1.      Системные опухолевые заболевания кроветворной ткани - лейкемии (лейкозы) - лимфо- и миелопролиферативные заболевания и;

2.      Регионарные опухолевые заболевания - злокачественные лимфомы.

 

ЛЕЙКОЗЫ.

Наиболее часто встречаются и имеют наибольшее значение в патологии, относящейся к системным опухолевым заболеваниям.

Лейкоз (лейкемия) - это системное (с первого момента склонны к диссеминации) прогрессирующее разрастание незрелой опухолевой кроветворной ткани в органах кроветворения и вне их. В начале в органах кроветворения появляются опухолевые клетки, затем гематогенно опухолевые клетки заселяют другие органы и ткани, образуя лейкемические инфильтраты (является аналогом метастазов, но следует учитывать, что кроветворные клетки и в норме обладают способностью к рециркуляции, т.е. заселяют другие органы).

Классификация лейкозов.

I     По степени зрелости и клиническому течению.

1. Острые лейкозы - разрастание самых незрелых форм - клеток-предшественников или бластов, поэтому течет быстро, приводит к смерти.

2. Хронические лейкозы - разрастание созревающих клеток (промиелоцитов, миелоцитов, пролимфоцитов), может протекать длительно, даже десятки лет.

II  По гистогенезу (цитогенезу) - по направлению дифференцировки клеток.

1. Острые лейкозы:

¨ Миелобластный

¨ Лимфобластный

¨ Монобластный

¨ Недифференцированный - из клеток предшественников

¨ и друие (эритробластный, мегакариобластный).

2. Хронические лейкозы:

¨ Миелоцитарного происхождения: хронический миелоидный лейкоз и другие, которые Вам знать не обязательно (эритремия, истинная полицитемия – болезнь Ваккеза);

¨ Лимфоцитарного происхождения: хронический лимфолейкоз, парапротеинемические (миеломная болезнь, первичная макроглобулинемия Вандельстрема, б-нь тяжёлых цепей Франклина);

¨ Моноцитарного происхождения: хронический моноцитарный лейкоз, гистиоцитозы.

III  По картине периферической крови:

1. Лейкемические лейкозы (название от слова лейкемия – белокровие): когда резко возрастает число лейкоцитов в периферической крови (от нескольких десятков тыс. до 1 млн. и более за счет незрелых форм – бластов) и снижается число эритроцитов, кровь белесовата, не такая яркая;

2. Сублейкемические - 15-25 тыс. лейкоцитов+бласты;

3. Алейкемические - т.е. отсутствует лейкемия, нет резкого увеличения лейкоцитов нормальное количество и качество лейкоцитов, незрелых форм лейкоцитов в периферической крови нет, для диагностики проводят трепанобиопсию или берут пунктат костного мозга, где обнаруживаются незрелые формы;

4. Лейкопенический лейкоз - 1-2 тыс. лейкоцитов, среди которых есть и незрелые лейкоциты-бласты.

 

Клиника и морфология зависит от степени зрелости и гистогенеза опухоли.

ОСТРЫЕ ЛЕЙКОЗЫ

Протекают очень тяжело, с высокой лихорадкой, резкой интоксикацией, обусловленной продуктами атипичного обмена и распада, в крови обнаруживается лейкемический провал - есть незрелые клетки (бласты или клетки-предшественники) и зрелые, а созревающих клеток нет, быстро нарастает малокровие. Лимфобластный лейкоз (Т-зависимый) встречается в основном у детей, миелобластный может развиваться в любом возрасте.

Морфология:

1.   Костный мозг - в норме источник кроветворения только красный костный мозг эпифизов трубчатых костей и плоских костей, то при лейкозах – и диафизы трубчатых костей. Костный мозг как плоских, так и трубчатых костей сочный, при миелобластном лейкозе - пиоидно-гноевидныйпри лимфобластном (который чаще встречается у детей)‑малиново-красный. Разрастающаяся незрелая кроветворная ткань вытесняет эритробластический и тромбоцитарный ростки. Этим объясняется анемия, тромбоцитопения.

2.   Увеличиваются печень и селезенка, лимфоузлы, но относительно нерезко, по сравнению с хроническими лейкозами (селезенка до 500-600гр.), за счет лейкемических инфильтратов, печень отчасти за счет дистрофии. Рисунок лимфрузлов стерт, микро - «однообразная» картина в л/узлах. При лимфобластном лейкозе лимфоузлы более резко увеличены (при этом лейкозе увеличивается и вилочковая железа), чем при миелобластном, при котором больше увеличивается селезенка..

3.   Лейкемические инфильтраты появляются в почках, легких, головном мозге, полости рта, миндалинах, селезенке, ЖКТ. Для острого лейкоза характерен некротический синдром: некрозы чаще появляются в ЖКТ, полости рта (некротические ангины, гингивиты, стоматиты, расшатывание зубов), могут быть в селезенке по типу инфарктов, они обусловлены:

a.      лейкемической инфильтрацией: сдавлением сосудов или лейкозной инфильтрацией их стенки, при которой нарушается кровоснабжение, развиваются инфаркты (селезенка);

b.     присоединение вторичной инфекции в связи со снижением иммунитета, общей реактивности, которое приводит к активации эндогенной флоры, развивается воспаление с преобладанием альтеративного компонента, и появляются очаги некроза, особенно в органах, сообщающихся с внешней средой.

4.   У больных развивается геморрагический диатез, в виде точечных кровоподтеков в коже, желудочных кровотечений, кровоизлияний в мозговые оболочки. Это обусловлено поражением стенки сосудов лейкемическими инфильтратами по типу разъедания, анемией, и резкой интоксикацией, что ведет к повышению проницаемости сосудистой стенки, тромбоцитопенией, что приводит к снижению свертываемости. Появляется кровоточивость десен, носовые кровотечения, кишечные и т.д.

5.    При промиелобластном и недифференцированном лейкозах может развиваться ДВС – в гранулах опухолевых клеток много тромбопластических веществ, которые при гибели клеток выходят в кровь.

Причины смерти:

1. Кровоизлияния в головной мозг, желудочно-кишечные кровотечения;

2. Некротически-язвенные процессы в кишечнике - это приводит к прободению, развитию перитонита;

3. Развитие сепсиса, пневмонии, менингита из-за присоединения инфекции;

4. Анемия;

5. Иинтоксикация.

При лечении лейкозов у детей мощными дозами цитостатиков, лейкемические инфильтраты возникают в головном мозге, развивается нейролейкоз (лейкемические инфильтраты «прячутся» за гемато-энцефалический барьер), тогда цитостатики необходимо вводить субдурально. У детей острый лейкоз излечим.

 

ХРОНИЧЕСКИЕ ЛЕЙКОЗЫ

Протекают обычно более длительно, иногда в пожилом возрасте лимфолейкоз, возникающий из В-лимфоцитов, может длиться до 10-15 лет, начало медленное. Сопровождаются незначительной интоксикацией, субфебрильной температурой. В органах и тканях не обнаруживаются некрозы и кровоизлияния, они могут появляться во время бластных кризов, когда в крови появляется много бластов и клиника, как при остром лейкозе.

При развитии хронического миелоидного лейкоза обнаруживаются хромосомные изменения в 22 паре хромосом (филадельфийская хромосома).

Характерна морфологическая картина хронических лейкозов вне обострения:

1.   Костный мозг становится кроветворным и в трубчатых костях, при миелоидном лейкозе - пиоидный, при лимфоидном - малиново-красный. Вытесняется красный росток, поэтому развивается малокровие, оно прогресструет медленнее, чем при остром, но может достигать большей степени.

2.   Более резко, чем при остром лейкозе увеличиваются внутренние органы: особенно резко печень и селезенка увеличиваются при миелоидном лейкозе до 5-6-8 кг. При лимфоидном (из В-лимфоцитов) лейкозе эти органы увеличиваются менее значительно, селезенка достигает 1 кг, малиново-красного цвета, рисунок стерт. Однако при лимфоидном лейкозе более значительно, чем при миелоидном увеличиваются лимфатические узлы, они образуют огромные мягкие или плотноватые пакеты, но не сращены между собой, контурируются, сочные, бело-розовые.

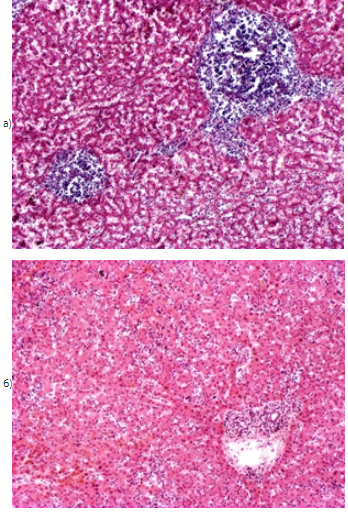
3.   Лейкемические инфильтраты в печени отличаются различной локализацией:

·  при миелоидном лейкозе - внутри долек и между дольками, клетки инфильтратов полиморфные, ядра их светлые, глыбки хроматина располагается рыхло, в клетках видна цитоплазма;

·  при лимфоидном лейкозе лейкемические инфильтраты располагаются только между дольками (по ходу разветвлений глиссоновой капсулы – в портальных трактах), клетки их мономорфные, в них мало цитоплазмы, ядра с компактным хроматином, они более темные, чем при миелоидном лейкозе.

Лейкемические инфильтраты обнаруживаются и в других органах - почках, пейеровых бляшках, миндалинах, иногда в коже, головном мозге, миокарде.

Погибают больные от присоединения инфекции, чаще во время бластного криза, когда присоединяются геморрагии, некротические изменения.

Лечебный патоморфоз.

При лечении может быть очаговое или повсеместное уменьшение лейкозных разрастаний в кроветворных органах с явлениями аплазии кроветворной ткани. Опухолевые клетки могут «уходить» за пределы гемато-энцефалического барьера, поэтому цитостатики вводят в спинно-мозговой канал. Цитостатики могут усиливать некротически-язвенные процесс в ЖКТ, т.к. цитостатики угнетают размножающийся эпителий ЖКТ, может нарушаться физиологическая регенерация.

 

Своеобразной формой алейкемического лейкоза является МИЕЛОМНАЯ БОЛЕЗНЬ, болезнь Рустицкого-Калера, относящаяся к группе хронических лейкозов лимфоцитарного происхождения - парапротеинемическим лейкозам или их выделяют в группу лимфопролиферативных болезней. Характеризуется разрастанием опухолевых клеток типа В-лимфоцитов, плазмоцитов, обычно в костном мозге и вне костей. Встречается после 30 лет.

Возможны следующие формы миеломной болезни:

·  солитарная (костная и внекостная) - имеется одиночный узел, тогда иногда говорят о плазмоцитоме и

·  множественная или генерализованная (узловая, диффузно-очаговая форма). При этом инфильтраты в костном мозге могут быть диффузными или в форме множественных узлов. Они разрастаясь ведут к атрофии кости.

Таким образом, при диффузной форме миеломной болезни рентгенологически наблюдается остеопороз (пазушное рассасывание), при узловой форме - гладкостенные дефекты кости, как бы штампованные. Чаще наблюдается поражение плоских костей (ребра, кости черепа, позвоночник), реже - трубчатых (плечевая, бедренная кость). Кости становятся ломкими, возникают патологические переломы, возможно развитие гиперкальциемии, известковых метастазов.

Возможны инфильтраты из миеломных клеток в селезенке, л/узлах, печени, почках, легких. Органы становятся увеличенными, плотными, микроскопически отмечается скопления плазмоцидов, отложение белковых масс – амилоида AL.

Опухолевые клетки, копируя исходные В-клетки дифференцируются в плазматические, вырабатывают иммуноглобулины, которые циркулируют в крови, развивается диспротеинемия, парапротеинемия. Это ведет к развитию амилоидоза (АL-амилоидоз), отложению в тканях амилоидоподобных и кристаллических веществ, развитию парапротеинемического отека - парапротеиноз миокарда, легких, и особенно важно - миеломной почки. Парапротеины выводятся с мочой (белок Бенс-Джонса), но при этом откладываются в почке (строме и канальцах), что ведет к склерозу мозгового вещества, а затем и коркового, сморщиванию почек (миеломно сморщенная почка, миеломная нефропатия), с развитием уремии. Почки увеличены в размере, бледные. Возможно присоединение инфекции, с развитием пневмонии, пиелонефрита.

 

К группе парапротеинемических лейкозов относится и ПЕРВИЧНАЯ МАКРОГЛОБУЛИНЕМИЯ, впервые описанное Вальденстремом в 1944 г., при которой опухолевые клетки секретируют патологический макроглобулин – Ig М. Характерно увеличение селезенки, печени, л/узлов, что связано с лейкозной инфильтрацией их. Поражение костей наблюдается редко. Характерен геморрагический синдром. Наиболее частые осложнения: геморрагии, парапротеинемическая ретинопатия, парапротеинемическая кома, возможен амилоидоз.

 

Еще одно заболевание из этой группы лейкозов - БОЛЕЗНЬ ТЯЖЕЛЫХ ЦЕПЕЙ, описанная Франклиным в 1963 г. Опухолевые клетки продуцируют своеобразный парапротеин, соответствующий Fc-фрагменту тяжелой цепи Ig G. Наблюдается увеличение л/узлов, печени, селезенки, изменения костей отсутствуют, не всегда поражается костный мозг. Больные умирают от присоединения инфекции, развития сепсиса, в связи с гипогаммаглобулинемией (недостаток антител).

Лейкемические инфильтраты в печени: а) при лимфоидном лейкозе, б) при миелоидном лейкозе. ×40

Переходим к РЕГИОНАРНЫМ ОПУХОЛЕВЫМ ЗАБОЛЕВАНИЯМ, ЗЛОКАЧЕСТВЕННЫМ ЛИМФОМАМ, которые делят на:

1.     Лимфогрануломатоз (ЛГМ) или болезнь Ходжкина и

2.     Неходжскинские лимфомы, которые могут быть Т-клеточного или В-клеточного происхождения.

Они характеризуются локальным, ограниченным опухолевым ростом, но возможна генерализация процесса, «трансформация» их в лейкоз. В условиях современной цитостатической терапии некоторые лимфомы нередко развиваются в терминальной стадии лейкозов.

 

КЛАССИФИКИЦИЯ ЛИМФОМ.

По степени злокачественности:

·        низкой степени злокачественности;

·        высокой степени злокачественности.

По характеру распространенности процесса:

·       регионарные (нодулярная лимфосаркома);

·       диффузные, которые в зависимости от морфологии клеток, стадии созревания лимфоцитов, от которой зависит и злокачественность их течения, делят на лимфоцитарные, лимфоплазмоцитарные, пролимфоцитарные, лимфобластные, иммунобластные, опухоль Беркитта).

 

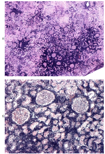
НОДУЛЯРНАЯ или фолликулярная лимфома - болезнь Брилла-Симмерса, характеризуется длительным течением, до 10 лет, хотя прогноз не предсказуем возможен и быстрый переход в диффузную лимфому. Ранним клиническим проявлением заболевания является увеличение одного л/узла или группы их в одной или двух областях. Л/узлы безболезнены, различной плотности, подвижны, не спаяны, реже спаяны между собой. Иногда первичным может быть и экстранодальный рост опухоли (ЖКТ, кожа, миндалины). По мере прогрессирования заболевания поражаются л/узлы смежных и отдаленных областей, селезенка, печень, костный мозг. Опухолевые клетки происходят из светлых центров (центров размножения) лимфоидных фолликулов, т.е. В-лимфоцитов. Поэтому (микро) лимфатические фолликулы, и особенно их светлые центры, очень крупные, иногда гигантские (макрофолликулярная лимфома).

 

ДИФФУЗНЫЕ ЛИМФОМЫ, могут исходить как из В-клеток, так и из Т-клеток. Поражаются л/узлы, чаще медиастинальные, забрюшинные, реже паховые, подмышечные. Возможно развитие опухоли в желудке, кишечнике, в селезенке, При этом л/узлы увеличены, спаяны, образуют пакеты, плотные, серо-розовые, с некрозами и кровоизлияниями.

Различают несколько вариантов диффузных лимфом в зависимости от степени зрелости клеток: (лимфоцитарная, лимфоплазмоцитарная, пролимфоцитарная, лимфобластная, иммунобластная, опухоль Беркитта). При развитии заболевания возможно лимфогенное и гематогенное метастазирование в л/узлы, легкие, кожу, кости и т.д. Может происходить трансформация в лейкоз.

АФРИКАНСКАЯ ЛИМФОМА или ОПУХОЛИ БЕРКИТТА, является эндемической (встречается среди населения Экваториальной Африки - Уганда, Гвинея-Бисау, Нигерия), спорадические случаи наблюдаются в разных странах и у нас.

В развитии опухоли установлена этиологическая роль вируса Эпштейна-Бара (семейства герпес вируса).

Болеют обычно дети 4-8 лет, или взрослые до 30 лет.

Опухоль наиболее часто локализуется в верхней или нижней челюсти, яичниках, реже в почках, надпочечниках, л/узлах; плоские кости лица и длинные трубчатые кости, щитовидная и слюнная железы поражаются редко. Довольно часто наблюдается генерализация опухоли с поражением многих органов.

Микроскопически опухоль состоит из мелких лимфоцитоподобных клеток, среди которых разбросаны крупные, со светлой цитоплазмой макрофаги, что создает своеобразную картину «звездного неба» (starry sky).

 

ГРИБОВИДНЫЙ МИКОЗ - относительно доброкачественная Т-клеточная лимфома кожи. Могут поражаться кожа, реже мышцы, слизистые, внутренние органы. Развиваются в коже множественные опухолевые узлы, мягкой консистенции, возвышающиеся над поверхностью кожи, иногда в форме гриба, синюшной окраски, которые часто изъязвляются, распадаются. Микроскопически опухолевые узлы состоят из пролиферирующих светлых, со светлыми ядрами, полиморфных клеток (лимфобласты), но в инфильтрате могут быть лимфоциты и плазматические клетки, эозинофилы, фибробласты. Ранее развитие опухоли связывали с инвазией мицелия грибов, отсюда и название болезни.

 

Переходим к следующему часто встречающемуся заболеванию и разберем ЛИМФОГРАНУЛЕМАТОЗ (болезнь Ходжкина). Заболевание не дает лейкемизации, имеет цитогенетические особенности - нарушение 17 пары хромосом (мельбурнская хромосома). Протекает хронически, рецидивирует, реже протекает остро, характеризуется разрастанием опухоли преимущественно в л/узлах.

В настоящее время считают, что в основе заболевания лежит повреждение (возможно вирусами) Т-лимфоцитов с их мутацией, трансформацией. Хотя существуют и другие гипотезы возникновения ЛГМ - трансформация гистиоцитов, В-лимфоцитов, из клеток микроокружения Т-лимфоцитов. Трудность объясняется тем, что при ЛГМ наряду с опухолевым ростом, резко выражены иммунные реакции, и в состав клеточного инфильтрата, напоминающего гранулему, входят, наряду с опухолевыми клетками, и реактивные клетки, т.е. лимфоциты, эозинофилыи т.д.

Клинически наблюдается слабость, субфебриллитет, потливость, лихорадка, иногда по ночам «свечи», кожный зуд, картина крови не изменена, ускоренное СОЭ, со временем может появиться эозинофилия, анемия.

Морфологически различают: изолированную или локальную форму ЛГМ и генерализованную форму. При изолированной форме поражена одна группа л/узлов или один орган. Чаще поражаются шейные, медиастинальные, реже - подмышечные, паховые л/узлы. Из внутренних органов могут поражаться желудок, кожа, легкое, печень, селезенка. При генерализованной форме поражаются многие группы л/узлов, часто (до 70%) селезенка. Возможен переход изолированной формы в генерализованную.

 

 

Морфология:

Макроскопические изменения. Чаще поражение начинается с л/узлов заднего треугольника шеи, затем поражаются медиастинальные, забрюшинные и т.д. (сверху вниз) л/узлы. Макроскопически:

·  л/узлы резко увеличены в размере, в начале мягкие, с четкими контурами, серовато-розового цвета на разрезе, затем узлы становятся плотными, спаиваются между собой, с участками казеозного некроза и склероза. На разрезе - участки матовые, желто-белые, крошащиеся, и плотные белые, волокнистые участки;

·  Селезенка приобретает характерный вид - увеличена в размере, имеет своеобразный пестрый вид - на фоне темно-красной пульпы наблюдаются участки серовато-розового цвета (опухоль), бело-желтые очаги (очаги некроза) и участки белого цвета (склероз) - порфировая селезенка.

Микроскопические изменения. Наиболее характерными для ЛГМ являются следующие типы клеток:

1.     Малые клетки Ходжкина, аналогичны лимфобластам - клетки со светлым ядром, крупным ядрышком;

2.     Большие клетки Ходжкина - гигантские одноядерные клетки, с крупным светлым ядром, крупным эозинофильным ядрышком и просветлением вокруг;

3.     Гигантские многоядерные клетки Рид-Березовского-Штернберга.

Также: клетки иммунной реакции организма на опухоль - лимфоциты, плазматические клетки, эозинофилы, нейтрофилы.

На основании соотношения опухолевых и неопухолевых клеток и характера склероза создана классификация Lukes, которая положена в основу клинико-морфологической классификации ВОЗ, имеющей 4 варианта ЛГМ:

1.     Вариант с преобладанием лимфоидной ткани - лимфогистиоцитарный, с единичными клетками Р-Б-Ш, протекает доброкачественно, продолжительность жизни до 7 лет без лечения.

2.     Нодулярный (узловатый) склероз - обнаруживаются разрастания соединительной ткани, окружающей очаги клеточных скоплений, больные живут до 7.5-9.5 лет. Часто заболевание начинается с поражения л/узлов средостения.