Материал: Задание+5.+Нарушения+кровообращения

Внимание! Если размещение файла нарушает Ваши авторские права, то обязательно сообщите нам

ФГБОУ ВО «УРАЛЬСКИЙ ГОСУДАРСТВЕННЫЙ МЕДИЦИНСКИЙ УНИВЕРСИТЕТ»

Министерства здравоохранения Российской Федерации

Кафедра патологической анатомии и судебной медицины

«Утверждаю»

Заведующий кафедрой

Д.м.н., проф. ____________ Л.М. Гринберг

«____» _____________________ 20___ год

МЕТОДИЧЕСКАЯ РАЗРАБОТКА К ПРАКТИЧЕСКОМУ ЗАНЯТИЮ для студентов

(учебное задание)

ООП специальности 31.05.02 «Педиатрия»

Дисциплина Б1.Б.22 «Патологическая анатомия, клиническая патологическая анатомия»

  1. ТЕМА ЗАНЯТИЯ: НАРУШЕНИЯ ВОДНО-ЭЛЕКТРОЛИТНОГО БАЛАНСА, КРОВО- И ЛИМФООБРАЩЕНИЯ - I. ОТЕК, ГИПЕРЕМИЯ, СТАЗ, ТРОМБОЗ, ЭМБОЛИЯ. ТРОМБОЭМБОЛИЧЕСКИЙ СИНДРОМ.

  1. УЧЕБНАЯ ЦЕЛЬ ЗАНЯТИЯ: изучение причин, механизмов развития и морфологической сущности различных видов нарушения крово- и лимфообращения, их значение в пато- и морфогенезе различных заболеваний и патологических состояний, нозологической принадлежности; составление представления об интегративных связях между патологической физиологией, патологической анатомией и клиническими дисциплинам на примере становления и развития разных видов нарушения крово- и лимфообращения; изучение тесной связи между нарушениями крово- и лимфообращения с другими общепатологическими процессами (дистрофией, некрозом, воспалением).

  1. ЗАДАЧИ ЗАНЯТИЯ:

3.1 Выяснить причины и механизмы развития разных видов нарушения крово- и лимфообращения.

3.2. Изучить основные принципы классификации нарушения крово- и лимфообращения.

3.3. Изучить клинические проявления, значение и исходы различных видов нарушения крово- и лимфообращения.

3.4. Научиться диагностировать нарушения крово- и лимфообращения на основании описания макропрепаратов и микроскопического исследования микропрепаратов.

шифр

Содержание компетенции

знать

уметь

владеть

ОК-1

способностью к абстрактному мышлению, анализу, синтезу

- анатомо-физиологические, возрастно-половые и индивидуальные особенности строения и развития организма человека;

- понятия этиологии, патогенеза, морфогенеза, патоморфоза болезни, принципы классификации болезней; основные понятия общей нозологии;

- функциональные системы организма человека, их регуляция и саморегуляция при воздействии с внешней средой в норме и при патологических процессах.

- работать с увеличительной техникой (микроскоп);

- оценить гистофизиологическое состояние основных клеточных, тканевых и органных структур организма при нарушениях крово- и лимфообращения;

- описывать морфологические изменения изучаемых макроскопических, микроскопических препаратов и электроннограмм при нарушениях крово- и лимфообращения

- дифференцировать на микро и макро препаратах при нарушениях крово- и лимфообращения

- медико-функциональным понятийным аппаратом;

- умения узнавать макро и микро- изменения тканей и органов при нарушениях крово- и лимфообращения

ОК- 2

способностью использовать основы философских знаний для формирования мировоззренческой позиции

ОК- 5

готовностью к саморазвитию, самореализации, самообразованию, использованию творческого потенциала

ОК-8

готовностью к работе в коллективе, толерантно воспринимать социальные, этнические, конфессиональные и культурные различия

ОПК-1

готовностью решать стандартные задачи профессиональной деятельности с использованием информационных, библиографических ресурсов, медико-биологической терминологии, информационно-коммуникационных технологий и учетом основных требований информационной безопасности

ОПК-3

способностью использовать основы экономических и правовых знаний в профессиональной деятельности

ОПК-4

способностью и готовностью реализовать этические и деонтологические принципы в профессиональной деятельности

ОПК- 6

готовностью к ведению медицинской документации

ОПК-9

способностью к оценке морфофункциональных, физиологических состояний и патологических процессов в организме человека для решения профессиональных задач

ПК-5

готовностью к сбору и анализу жалоб пациента, данных его анамнеза, результатов осмотра, лабораторных, инструментальных, патолого-анатомических и иных исследований в целях распознавания состояния или установления факта наличия или отсутствия заболевания

ПК-6

способностью к определению у пациентов основных патологических состояний, симптомов, синдромов заболеваний, нозологических форм в соответствии с Международной статистической классификацией болезней и проблем, связанных со здоровьем - X пересмотр, принятой 43-ей Всемирной Ассамблеей Здравоохранения, г. Женева, 1989 г.

ОК-1

способностью к абстрактному мышлению, анализу, синтезу

ОК- 2

способностью использовать основы философских знаний для формирования мировоззренческой позиции

ОК- 5

готовностью к саморазвитию, самореализации, самообразованию, использованию творческого потенциала

ОК-8

готовностью к работе в коллективе, толерантно воспринимать социальные, этнические, конфессиональные и культурные различия

  1. ПРОДОЛЖИТЕЛЬНОСТЬ ЗАНЯТИЯ: 3 часа

  1. КОНТРОЛЬНЫЕ ВОПРОСЫ ПО ТЕМЕ:

1. Проработать тренировочные тесты по теме занятия на сайте кафедры.

2. Диагностировать микропрепараты по теме занятия на сайте кафедры.

3. Знать теоретический материал.

  • Классификация нарушений кровообращения.

  • Гиперемия: определение, виды (общее, местное, артериальное и венозное полнокровие).

  • Местное артериальное полнокровие: определение, разновидности и причины их развития, макро- и микроскопические проявления, значение.

  • Малокровие (ишемия): определение, разновидности и причины их развития, макро- и микроскопические проявления, значение и исходы.

  • Инфаркт: определение, классификация, исходы.

  • Стаз: определение, причины, морфологические проявления. Сладж-феномен.

  • Тромбоз и тромб: определение, причины (местные и общие), механизмы тробообразования, виды тромбов, отличия тромба от посмертного свертка, значение тромбоза, исходы и осложнения тромбов.

  • Эмболия и эмбол: определение, классификации по направлению движения и виду эмболов, причины развития и значение различных разновидностей эмболии.

  • Тромбоэмболия ветвей легочной артерии: значение, источники эмболов.

  • Тромбоэмболический синдром: определение, причины, морфологические проявления, значение.

  • Нарушения лимфообращения: причины развития, виды, терминология, макро- и микроскопические проявления, значение.

  • Нарушения содержания тканевой жидкости: причины развития, виды, терминология, макро- и микроскопические проявления, значение.

6. ЗАДАНИЯ И МЕТОДИЧЕСКИЕ УКАЗАНИЯ К ИХ ВЫПОЛНЕНИЮ

На занятии студенту необходимо выполнить:

6.1. Ответить на вопросы входного тест-контроля

6.2. Ответить на вопросы преподавателя

6.3. Принять участие в обсуждении

6.4. Изучить таблицы: № 3, 4, 5, 6, № 7, № 8, 9.

6.5. Описать по схеме и сделать заключение по макропрепаратам: № 23, № 24, 40, № 41, №43, 45 № 47, 55.

6.6. Изучить, зарисовать и отметить существенные элементы на микропрепаратах:

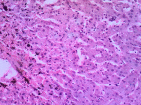
1. Венозная гиперемия печени («мускатная» печень)

В печени определяется неравномерное кровенаполнение. Цент­ральные вены и синусоидные капилляры долек значительно расши­рены и переполнены кровью. Печеночные трабекулы центральной зоны истончены (атрофичны). Часть печеночных клеток погибла. На их месте образовались кровяные озера. В периферической зоне до­лек структура сохранена. На большем увеличении — в цитоплазме гепатоцитов видны округлой формы пустоты. Это растворенные при обработке капли жира.

Существенные элементы: 1. гиперемия центральной части дольки

2. расширенная центральная вена

3. обычное кровенаполнение периферической части дольки

2. Венозная гиперемия легкого (бурая индурация легкого)

Капилляры межальвеолярных перегородок расширены, переполнены кровью. В альвеолах видны единичные эритроциты, бледно-розовая жидкость и различное количество клеток — легочных макрофагов. На большем увеличении - в цитоплазме макрофагов содержатся глыбки и зерна золотисто-бурого кровяного пигмента (гемосидерина). Это «клетки сердечных пороков». В строме легкого определяется пигмент как свободнолежащий, так и в цитоплазме макрофагов. Межальвеолярные перегородки утолщены за счет разросшейся соединительной ткани.

Существенные элементы: 1. гиперемия межальвеолярных перегородок

2. эритроциты в просвете альвеол

3. «клетки сердечных пороков» в альвеолах

4. разросшаяся соединительная ткань альвеолярных

перегородок

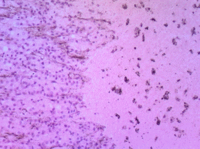
7. Кровоизлияние в надпочечник

В надпочечнике сохранены только клубочковая и часть пучковой зоны коркового вещества. На большем увеличении видно, что клетки сетчатой зоны коры и мозгового вещества выглядят в виде бледных теней, ядра их сморщены. Местами клетки полностью разрушены. Межклеточные пространства заполнены эритроцитами.

Существенные элементы: 1. сетчатая и часть пучковой зоны коры надпочечника

2. эритроциты на месте сетчатой зоны коры и мозгового слоя

    1. Оценивание знаний, умений навыков по теме занятия – см. методику БРС оценки достижений студентов кафедры патологической анатомии

  1. УЧЕБНО-ИССЛЕДОВАТЕЛЬСКАЯ РАБОТА:

- тромбоэмболический синдром.

  1. ЛИТЕРАТУРА ДЛЯ ПОДГОТОВКИ К ЗАНЯТИЮ:

Основная:

    1. Лекционный материал

    2. Патология. Под редакцией М.А. Пальцева. – М: «Медицина». – 2017. – В 2 томах.

    3. Зайратьянц О.В. Патологическая анатомия. Атлас

Дополнительная:

    1. учебник «Патологическая анатомия», 2017, Т.2, часть 1,

  1. Методическая разработка подготовлена доц. А.С. Филатовой

Обсуждена на заседании кафедры № ____ от «___» _______________ 20___ г.