Отчет по практике: Діагностика лейкозу

Внимание! Если размещение файла нарушает Ваши авторские права, то обязательно сообщите нам

Діагностика лейкозу

Міністерство освіти та науки України

Львівський національний університет імені Івана Франка

Кафедра біофізики та біоінформатики










ЗВІТ

про проходження виробничої індивідуальної практики


Виконала :

Студентка V курсу,блб-52з

Костур Л.В.

Перевірила:

доц. Гарасим Н.П.



Львів-2015

Зміст

Вступ

Розділ I. ОГЛЯД ЛІТЕРАТУРИ

.1 Характеристика та етіологія лейкозу

.2 Фактори ризику розвитку лейкемії.Патогенез та клінічна картина

.3 Діагностика лейкозів

.4 Трансплантація кісткового мозку

.5 Побічні ефекти лікування

.6 Лікування після пересадки кісткового мозку

.1 Характеристика об’єкта дослідження

.2 Виготовлення фіксованих препаратів

.3 Загальні методи фарбування

.4 Метод фарбування зрізів гематоксилін-еозином

.5 Метод фарбування гістопрепаратів Романовського-Гімза

Розділ III.РЕЗУЛЬТАТИ ТА ЇХ ОБГОВОРЕННЯ

Висновки

Список літератури

ВСТУП

Чому розвивається лейкемія у дітей? Як вона проявляє себе і яким чином лікується? Які ж саме інфекції можуть зробити подібний вплив на організм дитяти? Ці і багато інших питань цікавлять всіх онкологів світу.

Лейкемі́я (білокрів'я) - онкологічне захворювання <#"816022.files/image001.jpg"> <#"816022.files/image002.jpg">

Рис. 2. Кістковий мозок здорової людини. Гематоксилін-еозин. Збільшення 90.

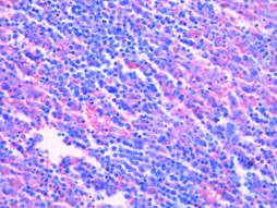
При виготовленні фіксованих препаратів нами виявлено велику кількість лейкоцитів по всій площі гістопрепарату, при фарбуванні використовуючи гематоксилін-еозин. Лейкоцити (пофарбовані у фіолетовий колір) не є дозрілими, про що свідчать не характерної форми ядра. На препараті видно і еритроцити, які зафарбовані у рожевий колір. Крім них є велика кількість макрофагів, які в такій кількості не властиві здоровому кістковому мозку (рис. 3).

Рис. 3. Кістковий мозок дитини. Фарбування гематоксилін-еозином. Збільшення 40.

При фарбуванні гістозрізів кісткової тканини методом Романовського-Гімза на зразках видно велику кількість лейкоцитів, в яких ядра не проглядаються, а також клітини-макрофаги (рис. 4).

Рис. 4. Кістковий мозок дитини. Фарбування методом Романовського-Гімза. Збільшення 40.

Отже, проаналізувавши гістозрізи, нами було встановлено гострий лейкоз у дитини, який підтверджується наявністю незрілих лейкоцитів та макрофагів.

ВИСНОВКИ

Використовуючи метод Романовського-Гімза підтверджено незрілість клітин кісткового мозку.

СПИСОК ЛІТЕРАТУРИ

Giemsa G. «Eine Vereinfachung und Vervollkommnung meiner Methylenazur-Methylenblau-Eosin-Färbemethode zur Erzielung der Romanowsky-Nochtschen Chromatinfärbung.». Centralbl f Bakt etc. - 1904. - 37: 308-311.S., Roath S. Hematology. A problem-orsented approach / - 1996. - 814 p.R.P., Harmeningpittiglio d. Clinical hematology. A problem-oriented approach. -, 1988. - 251p.K. Hematologia-warzczawa: wydewnictwo lekazskie pz wl, 2001. - 467s.

Алексеев Н.А. Гематология детского возраста: Руководство для врачей. - СПб.: Гиппократ, 1998. - С. 345-468, 488-499.

Алексеев Н.А., Воронцов И.М. Острые лейкозы у детей. -Л.: Медицина, 1989. - 176с.

Вершинина С.Ф., Потявина Е.В. Руководство для пациентов с онкологическими заболеваниями. СПб., 2005. - 235 с.

Владимирская Е.В., Кисляк Н.С., Румянцев А.Г. Причины и пути преодоления лекарственной резистентности при лейкозах и лимфомах у детей // Гематология и трансфузиология. -1998. - Т.43. №6. - С. 3-9.

Владимирская Е.В., Торубарова Н.А. Острые лейкозы и гипоплазии кроветворения у детей. - М.: Медицина, 1985. - 208 с.

Воробьева А.И. - Москва: Медицина. Руководство по гематологии, 1985. - Т.1. - 232 с.

Глузман Д.Ф., Надгорная В.А., Скляренко Л.М., Абраменко И.В. Новая классификация ВОЗ опухолей кроветворной и лимфоидной ткани // Онкология. - 2001. - Т.3. - №1. - С. 33-38.

Зарецкая Ю.М. Современное состояние проблемы трансплантации костного мозга от неродственного донора. Анализ роботы международных объединений // Гематология и трансфузиология. -1998. - Т.43. №1. - С.21-23.

Иммунологичный фенотип лейкозной клетки/ А.Ю. Барышников, З.Г.Кадиидзе, Л.А.Махонова, И.Н.Пушцин. - М.: Медицина, 1989.- 240с.

Кассирский И. А., Алексеев Г. А., Клиническая гематология, 4 изд., М., 1970. - 322 с.

Коцюмбас І.Я. Доклінічні дослідження ветеринарних лікарських засобів. - Львів: Тріада плюс, 2006. - 360 с.

Лимфоциты: пер с англ./ Ред. Клауса О. - М.: Медицина, 1990.- 397с.

Маркеры аутоиммунных процессов при острых лейкозах / М.Г. Крюков, С.А.Казаков, В.В.Черепанова и др.// Гематология и трансфузиология. -1998. - Т.43. №4. - С.18-19.

Меркулов Г.А. Курс патологической техники. - М.: Медицина, 1969. - 240 с.

Миелодиспластический синдром у детей: классификация, вариант ХММЛ / Н.А. Торубарова, М.В. Кошель, О.А. Полякова и др. // Гематология и трансфузиология. -1998. - Т.43. №5. - С.12-16.

Миелодиспластический синдром у детей: отличие от острого миелоидного лейкоза с низким числом бластов. / Г.Чан, В.Ванг, С.Раймонди и др. // Гематология и трансфузиология. -1998. - Т.43. №3. - С.33-35.

Онкологические заболевания: профилактика и методы лечения. Под ред. В.В. Маршака. СПб., 2005 4. Смолева Э.В. Сестринское дело в терапии. Ростов-на-Дону: Феникс, 2007.

Романова А. Ф. Справочник по гематологи / За ред. Я. І. Виговської, В. Л. Новала - Львів. : ПП”Кварт”, 2002. - 165 с.

Руководство по общей патологии. Под ред. Н.К. Хитрова, Д.С. Саркисова, М.А. Пальцева. - М.: «Медицина», 1999. - 728 с.

Саркисов Д.С., Пальцев М.А., Хитров Н.К.. Общая патология человека. Издание второе, перераб. и дополн. - М.: «Медицина», 1997. - 608с.

Серова В.В., А. Пальцева М. Патологическая анатомия. Курс лекций. Медицина, 1998. - 165 с.

Сіддгартха Мукерджі.  <http://uk.wikipedia.org/wiki/%D0%90%D0%BD%D0%B3%D0%BB%D1%96%D0%B9%D1%81%D1%8C%D0%BA%D0%B0_%D0%BC%D0%BE%D0%B2%D0%B0>The Emperor of All Maladies: A Biography of Cancer, 2013.- 452 с.

Третяк Н.М. Гематологія: Навч. посібник / Н.М. Третяк - К.: Нора-прінт, 2005 - 240 с.

Хомченковскийкий Е.И. Экспериментальная химиотерапия лейкозов. - М.: Медицина, 1980. - с.3-54

Чернова О.В. Уход за онкологическими больными. Ростов-на-Дону, 2002. - 156 с.

Шиффман Ф. Д. Патофизиология крови / Ф. Д. Шиффман, Пер. с анг. - [изд. “Біоном” 5-т.] - М. : Невський діалект, 2000. - 448 с.