Материал: 2020 Практическое занятие № 1

Внимание! Если размещение файла нарушает Ваши авторские права, то обязательно сообщите нам

Самостоятельная работа

ОПИШИТЕ МАКРОПРЕПАТАТ

1. Гипертрофия сердца при

2. Гидронефроз

гипертонической болезни

ОПИШИТЕ МАКРОПРЕПАТАТ

3. Бурая атрофия миокарда

4. Артериолосклеротический нефросклероз

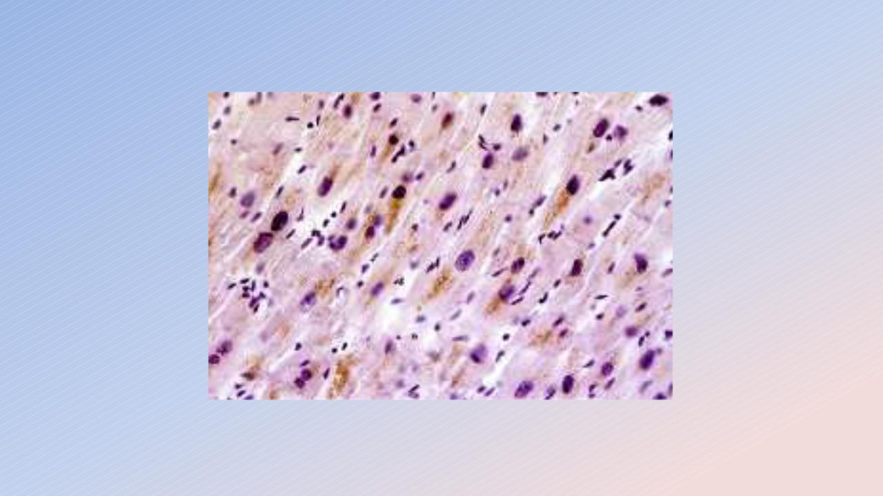
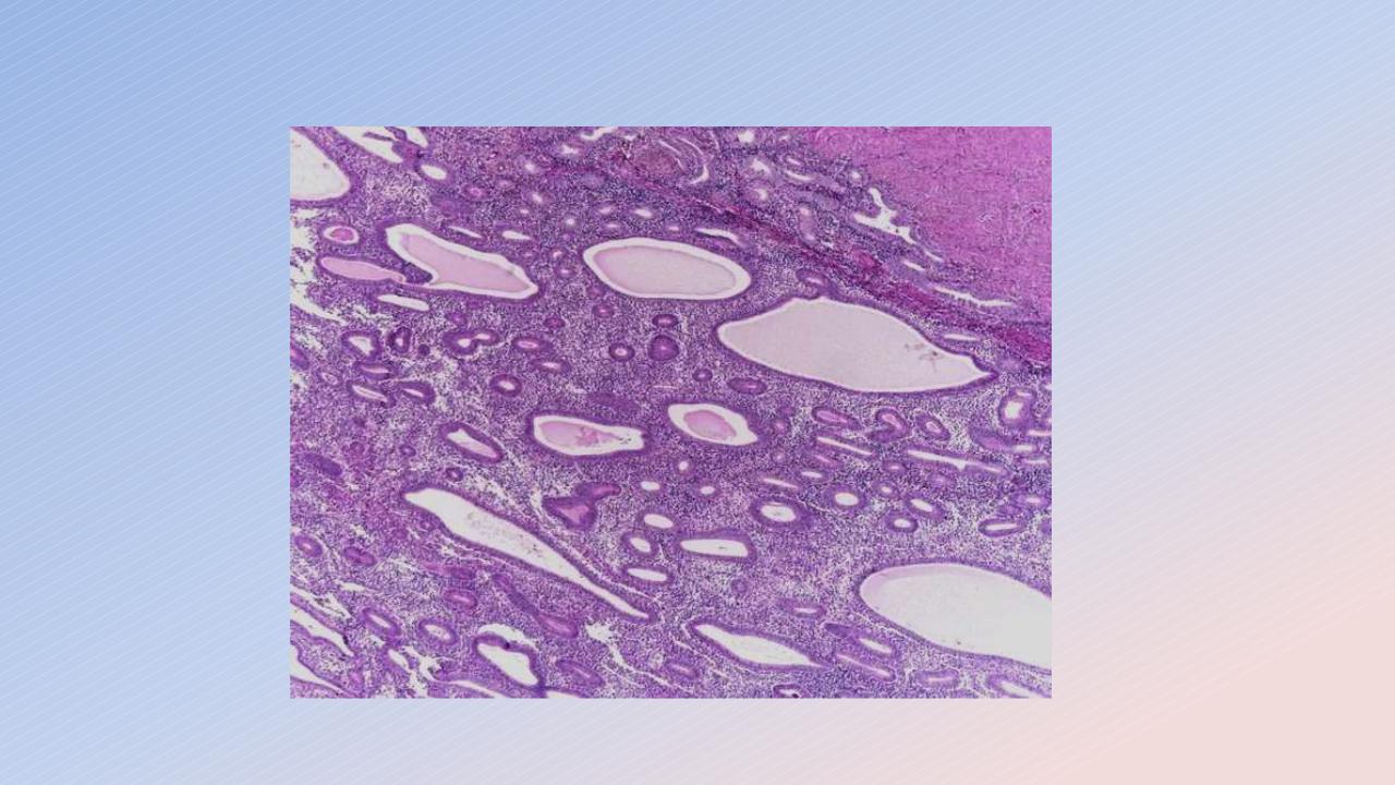
ОПИШИТЕ МИКРОСКОПИЧЕСКИЕ ИЗМЕНЕНИЯ

1. Гиперплазия эндометрия

ОПИШИТЕ МИКРОСКОПИЧЕСКИЕ ИЗМЕНЕНИЯ

2. Бурая атрофия миокарда